Morbus Jessner (synoniemen:
lymphocytic
infiltration of the skin, Jessner's benigne lymfocytische infiltratie
van de huid, ziekte van Jessner-Kanof, Jessner's disease) is een chronische,
goedaardige proliferatie van T-lymfocyten, meestal van de aan zon blootgestelde
huid. Het is voor het eerst beschreven in 1953. Het is een onduidelijk gedefinieerde
entiteit. Er zijn auteurs die denken dat morbus Jessner niet echt bestaat, maar
een variant is van
lupus erythematosus (klinisch en
histologisch lijkt het ook erg op
lupus erythematosus tumidus),
of van een
polymorfe lichteruptie (want bij een deel
van de patiënten kan fotosensitiviteit worden aangetoond), of van
REM (reticular erythematous mucinosis), of dat het een
pseudolymfoom is, een CD8+ polyclonaal reactief pseudolymfoom,
ook wel cutaneous lymphoid hyperplasia of lymphocytoma cutis benigna genoemd.
De oorzaak is onbekend, genoemd worden o.a. een reactie op een infectieus proces
(o.a.
Borrelia burgdorferi), LE, PMLE, of een vroeg, ontwikkelend T
cel lymfoom.
Erythema migrans arciforme et palpabile
(
EMAP) kan worden beschouwd
als een bijzondere klinische variant. Er zijn gevallen met gelijktijdig LE,
polymorfe lichteruptie en EMAP beschreven. Op dit moment lijkt de meest plausibele
theorie dat Jessner een milde variant van lupus erythematosus is.
Indeling van benigne T-lymfocyt infiltraten in de huid:
- morbus Jessner (lymphocytic infiltration of the skin)
- EMAP (
erythema
migrans arciforme et palpabile) als bijzondere klinische variant
- cutane
lymfoide hyperplasie (lymphocytoma cutis benigna)
Klinisch beeld:
Enkele of meerdere meestal asymptomatische (soms branderige of jeukende), niet-schilferende
erythemateuze papels, plaques (annulair, vaak met centrale genezing) en, minder
vaak, noduli. Beloop is variabel en onvoorspelbaar, meestal maanden tot jaren
durend. Periode van remissies en exacerbaties mogelijk, evenals spontane resolutie.
De laesies genezen zonder restafwijkingen. Voorkeurslokalisaties: hoofd (wangen,
jukbeenderen, voorhoofd), nek en rug. Ook beschreven op romp en extremiteiten.
Het komt vooral voor bij patiënten van middelbare leeftijd, zeldzaam bij kinderen.
Over de man-vrouw ratio circuleren tegenstrijdige cijfers. Jessner heeft een
goedaardig beloop. Bij een deel van de patiënten is er een duidelijke relatie
met blootstelling aan de zon en kan met lichttesten een (vertraagde) fotosensitieve
reactie worden opgewekt.
![Morbus Jessner (click on photo to enlarge) [source: www.huidziekten.nl] Morbus Jessner](../../../images/jessner1z.jpg) |
![Morbus Jessner (click on photo to enlarge) [source: www.huidziekten.nl] Morbus Jessner](../../../images/jessner2z.jpg) |
![Morbus Jessner (click on photo to enlarge) [source: www.huidziekten.nl] Morbus Jessner](../../../images/jessner3z.jpg) |
| Jessner |
Jessner |
Morbus
Jessner |
![Morbus Jessner (click on photo to enlarge) [source: www.huidziekten.nl] Morbus Jessner](../../../images/jessner4z.jpg) |
![Morbus Jessner (click on photo to enlarge) [source: www.huidziekten.nl] Morbus Jessner](../../../images/jessner5z.jpg) |
| Morbus
Jessner |
Morbus
Jessner |
DD: plaque vorm van polymorfe lichteruptie (seizoensgebonden),
lupus erythematosus tumidus (vaak ook behaarde hoofdhuid), CDLE, erythema migrans
arciforme et palpabile (EMAP), cutane lymfoide hyperplasie (lymphocytoma cutis
benigna), Borrelia lymfocytoom, cutaan T-cel lymfoom, REM (reticulaire erythemateuze
mucineosis), erythema annulare centrifugum, granuloma annulare, granuloma faciale,
fixed drug eruption (gelijke histopathologie), allergische contactdermatitis,
fototoxische contactdermatitis, sarcoidose, toxicodermie (ACE-remmers).
Diagnostiek: routine PA lesionale huid. Onderzoek naar
SLE (ANA's) alleen als er klinisch aanwijzingen zijn voor een SLE. Bij één of
enkele plekken staat ook een Borrelia lymfocytoom in de DD en zou men kunnen
overwegen Borrelia serologie te doen.
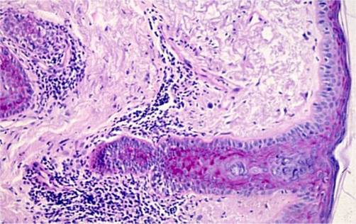
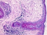
PA:De epidermis
is niet aangedaan. In de dermis, zowel oppervlakkig als diep is er sprake van
een dicht infiltraat van kleine, normaal uitziende lymfocyten rond de bloedvaten
en adnexen. De infiltraten zijn nodulair en hebben een scherpe overgang naar
de normale aangrenzende dermis. Immunohistochemisch wordt voornamelijk een infiltraat
gezien van CD8+ T-lymfocyten, hoewel ook CD4+ T-lymfocyten kunnen worden gezien.
Verder is er een licht verhoogde hoeveelheid mucine in de reticulaire dermis.
Vacuolisatie van de basale membraan en folliculaire plugging worden niet gezien.
IF (lupus band) is negatief. Als er histologisch een dicht lymfocytair infiltraat
is dan is er altijd een PA DD van 5 dermatosen die ook wel
de 5
L's worden genoemd:
Lymphocytic infiltration
of the skin, polymorfe
Licht eruptie, discoïde
LE,
Lymphocytoma cutis benigna, en
Lymfoom. Soms
wordt ook lichen planus opgenomen in dit rijtje.
![Histologie van lymphocytic infiltration of the skin (Morbus Jessner) (click on photo to enlarge) [source: www.huidziekten.nl] Histologie van lymphocytic infiltration of the skin (Morbus Jessner)](../../../images/jessner6z.jpg) |
| Morbus
Jessner |
Therapie:De huidafwijkingen kunnen spontaan verdwijnen
na maanden tot jaren. Expectatief beleid met camouflagetechnieken overwegen.
Beschermen tegen de zon (als daar een relatie mee lijkt te bestaan). Eventuele
farmaceutische therapieopties kunnen zijn:
R/ corticosteroïden topicaal,
intralesionaal of systemisch.
R/ Plaquenil (hydroxychloroquine) 1 dd 200-400
mg (Braun-Falco: verbetering tot 50% van de patiënten, bron onbekend).
R/
thalidomide 1 dd 100 mg gedurende 2 maanden.
R/ PUVA therapie.
R/ dapson.
R/ acitretine 10 of 25 mg, 1 dd 10-40 mg.
R/ methotrexaat 1 x per week 7.5-22.5
mg + foliumzuur 5-10 mg 1 dag er na.

Fysische
opties zijn radiotherapie, cryotherapie of excisie.

Ook behandeling
met pulsed-dye laser en met PDT (photodynamische therapie) zijn beschreven.
Referenties
| 1. |
Jessner M, Kanof NB. Lymphocytic infiltration
of the skin. Arch Dermatol 1953;68:447-449. |
| 2. |
Lipsker D, Mitschler A, Grosshans E, Cribier
B. Could Jessner's lymphocytic infiltrate of the skin be a dermal
variant lupus erythematosus? A analysis of 210 cases. Dermatology
2006:213(1):15-22. |
| 3. |
Ziemer M, Eisendle K, Müller H, Zelger B.
Lymphocytic infiltration of the skin (Jessner-Kanof) but not reticular
erythematous mucinosis occasionally represents clinical manifestations
of Borrelia-associated pseudolymphoma. Br J Dermatol 2009;161(3):583-590. |
| 4. |
Weber F, Schmuth M, Fritsch P, Sepp N. Lymphocytic
infiltration of the skin is a photosensitive variant of lupus erythematosus:
evidence by phototesting. Br J Dermatol 2001;144(2):292-296. |
| 5. |
Toonstra J, Wildschut A, Boer J, Smeenk G,
Willemze R, van de Putte SC, Boonstra H, van Vloten WA. Jessner's
lymphocytic infiltration of the skin. A clinical study of 100 patients.
Arch Dermatol 1989;125:1525. |
| 6. |
Rijlaarsdam JU, Nieboer C, de Vries E, Willemze
R. Characterization of the dermal infiltrates in Jessner's lymphocytic
infiltrate of the skin, polymorphous light eruption and cutaneous
lupus erythematosus: differential diagnostic and pathogenetic aspects.
J Cutan Pathol 1990;17(1):2-8. |
| 7. |
Guillaume J, Moulin G, Dieng M. Crossover
study of thalidomide vs placebo in Jessner's lymphocytic infiltration
of the skin. Arch Dermatol 1995;131(9):1032-1035. |
| 8. |
Laurinaviciene R, Clemmensen O, Bygum A.
Successful treatment of Jessner's lymphocytic infiltration of the
skin with methotrexate. Acta Derm Venereol 2009;89(5):542-543. |
| 9. |
Green CM. Successful treatment of Jessner's
lymphocytic infiltrate with auranofin. Clin Exp Dermatol 2008;33(1):108-109. |
| 10. |
Borges da Costa J, Boixeda P, Moreno C. Pulsed-dye
laser treatment of Jessner lymphocytic infiltration of the skin.
J Eur Acad Dermatol Venereol 2009;23(5):595-596. |
| 11. |
Park KY, Kim HK, Li K, Kim BJ, Seo SJ, Kim
MN, et al. Photodynamic therapy: new treatment for refractory lymphocytic
infiltration of the skin. Clin Exp Dermatol 2012;37(3):235-237. |
Author(s):dr. Marian de Groot. Dermatoloog, Antonius
Ziekenhuis, Sneek.
Wouter F.M. Goldschmidt. Dermatoloog, Amstelland Ziekenhuis,
Amstelveen.
dr. Jan R. Mekkes. Dermatologist, Amsterdam UMC.