Morbus Bowen (
intra-epidermaal spinocellulair
carcinoom) kan worden beschouwd als een in situ variant van een
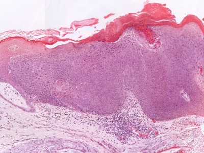
plaveiselcelcarcinoom. Klinisch is het een scherp
begrensde, langzaam groter wordende erythemato-squameuze plek die kan lijken
op eczeem of psoriasis. Vaak zijn er crustae aanwezig. Soms zijn ze gepigmenteerd.
Ook exofytisch groeiende nodulaire tumoren kunnen voorkomen. De ziekte van Bowen komt vooral voor bij ouderen (rond de 70 jaar, vooral vrouwen).
Circa 75% van de morbus Bowen zit op de onderbenen. Maar in principe kan het
overal zitten (gelaat, palmair, vingers, genitaal, perianaal, subunguaal en
periunguaal). Meestal zijn het solitaire laesies, soms (10-20%) multipel. Multipele
morbus Bowen wordt vooral gezien bij patiënten met een immuunstoornis.
Oorzaken en uitlokkende factorenDe belangrijkste
oorzaak is blootstelling aan zonlicht en andere straling (PUVA, radiotherapie).
Het wordt ook gezien na blootstelling aan arsenicum en bij afweerstoornissen
(immunosuppresiva, HIV). Het wordt vaak gezien bij patiënten met een donornier.
Bij vulvaire (VIN) en perianale of
genitale
varianten (PIN) spelen oncogene HPV virussen een rol, bij circa 30% van
de Bowens in deze regio is het virus aantoonbaar, vooral HPV 16 en 18, maar
ook HPV 31,33,51. Verder kan het ontstaan bij chronische beschadiging van de
huid en chronische huidaandoeningen zoals epidermolysis bullosa. Er is geen
relatie met interne maligniteiten. Er is wel een associatie met het voorkomen
van andere huidmaligniteiten zoals basaalcelcarcinoom en plaveiselcelcarcinomen,
vanwege de gemeenschappelijke risicofactor blootstelling aan zonlicht.
Risico op overgaan in een plaveiselcelcarcinoomBowen's
disease is in feite al een plaveiselcelcarcinoom. Het is niet precies bekend
hoeveel van de Bowens overgaan in een invasief carcinoom. Geschat wordt 3-5%,
bij morbus Queyrat is het hoger (circa 10%) en bij de HPV geassocieerde perianale,
peniele en vulvaire varianten ook (Bowenoide papulose, PIN, AIN, CIN, VIN).
DD: plaveiselcelcarcinoom,
keratosis actinica, romphuid type
basaalcelcarcinoom, sprieterig basaalcelcarcinoom,
morphea type basaalcelcarcinoom,
benigne
lichenoide keratose,
verruca seborroica,
verruca planae en verruca vulgaris,
lichen
planus.
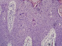
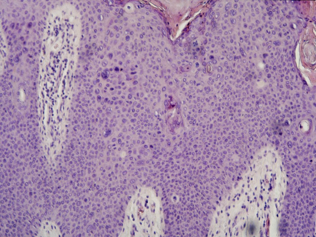
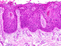
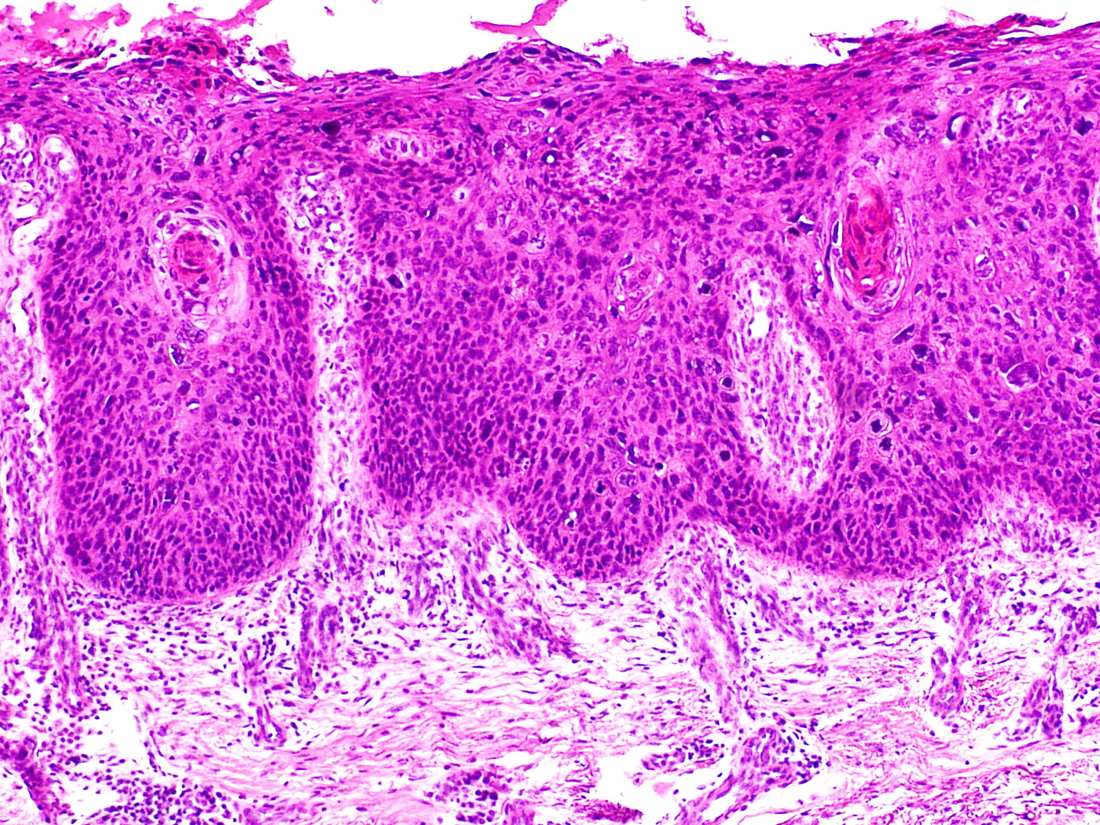
Histologie:M. Bowen
is een intra-epidermaal spinocellulair carcinoom, een 'carcinoma in situ'. In
het sterk acanthotische epitheel ziet men onder een deels hyperkeratotische
deels parakeratotische hoornlaag, hoe wanordelijk de cellen zijn gerangschikt;
er zijn vele kern- en celatypien, irregulaire kernvormen, atypische celdelingen,
reuscellen, pycnotische kernen en individueel verhoornde cellen met pycnotische
kernen (dyskeratose); ook hoornparels komen voor. Het stratum basale is intact
en er is geen infiltratieve groei. Treedt metastasering op dan zijn de basale
laag en de basale membraan wel doorgroeid door de anaplastische cellen en gedraagt
de tumor zich als een spinocellulair carcinoom. Deze doorgroei kan soms pas
na jaren optreden, maar bij m. Queyrat ziet men dit doorgaans veel sneller gebeuren.
In de cutis bestaat een banaal lymfocytair ontstekingsinfiltraat, soms gemengd
met plasmacellen.
Therapie:Er zijn meerdere therapeutische
opties zoals Efudix, Aldara, cryotherapie, curettage, PDT (photodynamische therapie),
radiotherapie en ablatieve laserbehandeling. De effectiviteit van al deze behandelingen,
mits deskundig uitgevoerd, ontloopt elkaar niet veel en ligt in de range 90-95%
effectiviteit. Andere factoren zoals de grootte, de locatie, de ervaring van
de behandelaar en de kosten (Imiquimod en PDT zijn erg duur) bepalen wat de
voorkeursbehandeling is. De Nederlandse NVDV
richtlijn plaveiselcelcarcinoom gaat niet in op morbus Bowen maar er is
een Engelse BAD (British Association of Dermatologists) richtlijn die probeert
aanwijzingen te geven voor een keuze (zie de onderstaande tabel). Bij zeer oude
patiënten is niet behandelen overigens ook een optie.
R/ PDT (photodynamische
therapie) is een effectieve therapie, EMA (European Medicines Authority) goedgekeurd
voor de indicatie morbus Bowen.

R/ Efudix (5-fluoro-uracil) crème 2 dd gedurende 4 weken. Zie de
folder over
Efudix crème. Mildere schema's zijn ook gebruikt, bijvoorbeeld 2 dd op 1 dag
per week gedurende 3 maanden.

Cryotherapie
is een simpele en effectieve therapie.

Curettage
(zonodig in combinatie met electrocoagulatie) is ook een effectieve therapie.

Excisie is
ook een optie, vooral geschikt voor kleine plekken.

De aanbevolen excisie marge (Westers-Attema A. et al) is 5 mm (94.4% radicaal,
bij 4 mm 87% en bij 3 mm 74.1%). Goed kijken bij goed licht en zorgvuldig aftekenen
verhoogt de radicaliteit. Bij zeer grote laesies is chirurgische excisie niet
de eerste keus omdat er eenvoudigere technieken zijn die een mooier litteken
achterlaten. Bij dikkere laesies of laesies met crustae of ulceraties; in gevallen
waarbij er klinisch twijfel is aan de diagnose morbus Bowen (een biopt is ook
maar een sample uit een deel van de laesie) is chirurgische excisie een goede
keuze. Er is geen indicatie voor Mohs chirurgie.
R/ Aldara (imiquimod) crème
5% (sachet 250 mg), 1 dd gedurende 16 weken.

Radiotherapie
is ook een optie maar wordt vanwege praktische bezwaren (vele bezoeken) weinig
toegepast.

Ablatieve
laser (bv CO2 laser) is ook een optie. Hetzelfde effect (verwijderen van de
epidermis) is echter ook met goedkopere technieken te bereiken.
R/ Neotigason
(acitretine) 1 dd 10-25 mg bij multipele laesies bij immuunsuppressie.

From: Cox et al. BAD guideline for management of Bowen's disease. BJD 2007.
Referenties
| 1. |
Cox NH, Eedy DJ, Morton CA. Guidelines for
management of Bowen's disease: 2006 update. Br J Dermatol. 2007
Jan;156(1):11-21.
PDF |
| 2. |
Cox NH, Eedy DJ, Morton CA. Guidelines for
management of Bowen’s disease. Br J Dermatol 1999;141:633-641. |
| 3. |
Derancourt C, Mougin C, Chopard-Lallier M
et al. Oncogenic human papillomaviruses in extra-genital Bowen disease
revealed by in situ hybridization. Ann Dermatol Venereol 2001;128:715-718. |
| 4. |
Bordea C, Wojnarowska F, Millard PR et al.
Skin cancers in renal-transplant recipients occur more frequently
than previously recognized in a temperate climate. Transplantation
2004;77:574-579. |
| 5. |
Kao GF. Carcinoma arising in Bowen’s disease.
Arch Dermatol 1986;122:1124-1126. |
| 6. |
Sarmiento JM, Wolff BG, Burgart LJ et al.
Perianal Bowen’s disease: associated tumors, human papillomavirus,
surgery, and other controversies. Dis Colon Rectum 1997;40:912-918. |
| 7. |
Cox NH. Bowen’s disease: where now with therapeutic
trials? Br J Dermatol 2000;143:699-700. |
| 8. |
Salim A, Leman JA, McColl JH et al. Randomized
comparison of photodynamic therapy with topical 5-fluorouracil in
Bowen’s disease. Br J Dermatol 2003;148:539-543. |
| 9. |
Bargman H, Hochman J. Topical treatment of
Bowen’s disease with 5-fluorouracil. J Cutan Med Surg 2003;7:101-105. |
| 10. |
Stone N, Burge S. Bowen’s disease of the
leg treated with weekly pulses of 5% fluorouracil cream. Br J Dermatol
1999;140:987-988. |
| 11. |
Patel GK, Goodwin R, Chawla M et al. Imiquimod
5% cream monotherapy for cutaneous squamous cell carcinoma in situ
(Bowen’s disease): a randomised, double-blind, placebo-controlled
trial. J Am Acad Dermatol 2006;54:1025-1032. |
| 12. |
Arlette JP. Treatment of Bowen’s disease
and erythroplasia of Queyrat. Br J Dermatol 2003;149 (Suppl. 66):43-47. |
| 13. |
Smith KJ, Germain M, Skelton H. Squamous
cell carcinoma in situ (Bowen’s disease) in renal transplant patients
treated with 5% imiquimod and 5% fluorouracil therapy. Dermatol
Surg 2001;27:561-564. |
| 14. |
Plaza de Lanza M, Ralphs I, Dawber RPR. Cryosurgery
for Bowen’s disease of the skin. Br J Dermatol 1980;103 (Suppl.
18):14. |
| 15. |
Morton CA, Whitehurst C, Moseley H et al.
Comparison of photodynamic therapy with cryotherapy in the treatment
of Bowen’s disease. Br J Dermatol 1995;135:766-771. |
| 16. |
Ahmed I, Berth-Jones J, Charles-Holmes S
et al. Comparison of cryotherapy with curettage in the treatment
of Bowen’s disease: a prospective study. Br J Dermatol 2000;143:759-766. |
| 17. |
Leibovitch I, Huilgol S, Selva D et al. Cutaneous
squamous cell carcinoma in situ (Bowen’s disease): treatment with
Mohs’ micrographic surgery. J Am Acad Dermatol 2005;52:997-1002. |
| 18. |
Morton CA, Brown SB, Collins S et al. Guidelines
for topical photodynamic therapy: report of a workshop of the British
Photodermatology Group. Br J Dermatol 2002;146:552-567. |
| 19. |
Varma S, Wilson H, Kurwa HA et al. Bowen’s
disease, solar keratoses and superficial basal cell carcinomas treated
by photodynamic therapy using a large-field incoherent light source.
Br J Dermatol 2001;144:567-574. |
| 20. |
Morton CA, Whitehurst C, McColl JH et al.
Photodynamic therapy for large or multiple patches of Bowen disease
and basal cell carcinoma. Arch Dermatol 2001;137:319-324. |
| 21. |
Morton CA, Horn M, Leman J et al. Comparison
of topical methylaminolevulinate photodynamic therapy with cryotherapy
or fluorouracil for treatment of squamous cell carcinoma in situ:
results of a multicenter randomized trial. Arch Dermatol 2006;142:729-735. |
| 22. |
Blank AA, Schnyder UW. Soft-X-ray therapy
in Bowen’s disease and erythroplasia of Queyrat. Dermatologica 1985;171:89-94. |
| 23. |
Dupree MT, Kiteley RA, Weismantle K et al.
Radiation therapy for Bowen’s disease: lessons for lesions of the
lower extremity. J Am Acad Dermatol 2001; 45:401-404. |
| 24. |
Chung YL, Lee JD, Bang D et al. Treatment
of Bowen’s disease with a specially designed radioactive skin patch.
Eur J Nucl Med 2000;27:842-846. |
| 25. |
Tantikun N. Treatment of Bowen’s disease
of the digit with carbon dioxide laser. J Am Acad Dermatol 2000;43:1080-1083. |
| 26. |
Westers-Attema A, van den Heijkant F, Lohman
BG, Nelemans PJ, Winnepenninckx V, Kelleners-Smeets NW, Mosterd
K. Bowen's disease: A six-year retrospective study of treatment
with emphasis on resection margins. Acta Derm Venereol 2014;94:431-435. |
Author(s):dr. Jan R. Mekkes. Dermatologist, Amsterdam UMC.