LEUKOCYTOCLASTISCHE VASCULITIS / CUTANEOUS SMALL VESSEL VASCULITIS home ICD10: D69.0

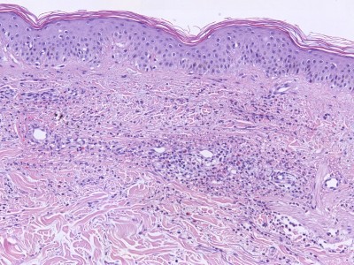
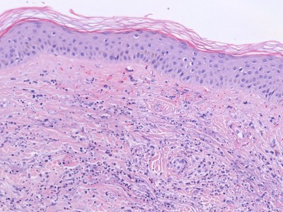
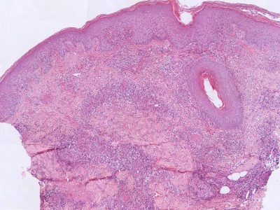
Leukocytoclastische vasculitis (vasculitis allergica) is een verzamelnaam voor een heterogene groep systemische, cutane of gemengd cutane/systemische aandoeningen die als gemeenschappelijk histopathologisch criterium een ontsteking van arteriolen, capillairen, en venulen hebben. Cutaneous Small Vessel Vasculitis (CSVV) is een klinisch begrip, bedoeld wordt een vasculitis (niet nader omschreven, meestal leukocytoclastisch) van de kleine vaten, beperkt tot de huid. De belangrijkste PA-kenmerken van leukocytoclastische vasculitis zijn: leukocytair perivasculair infiltraat (soms lymfocytair, soms eosinofiel), gezwollen endotheelcellen, fibrinoide necrose van de vaatwand, kernpuin rond de vaten (leukocytoclasie), erytrocyten extravasatie, en getromboseerde vaten. Zie ook onder vasculitis.

Leukocytoclastische vasculitis    Leukocytoclastische vasculitis    Leukocytoclastische vasculitis
leuko's   endotheel   necrose
Leukocytoclastische vasculitis   Leukocytoclastische vasculitis   Leukocytoclastische vasculitis
kernpuin   ery's   trombose


Leukocytoclastische vasculitis Leukocytoclastische vasculitis Leukocytoclastische vasculitis
leukocytoclastische vasculitis fibrine in vaten trombocyten kleuring

Histologie leukocytoclastische vasculitis Histologie leukocytoclastische vasculitis Histologie leukocytoclastische vasculitis
ingescande coupe (zoom) ingescande coupe (zoom) ingescande coupe (zoom)

Bron hoge resolutie PA-foto's: Kevin Kwee en Afdeling Pathologie MUMC. Klik op de afbeelding om in te zoomen.


Het meest frequent is de huid aangedaan; vele andere organen kunnen zijn betrokken. Karakteristiek zijn palpabele purpura, donker/erythemateuze soms livide papels die bij diascopie niet verbleken. Andere primaire efflorescenties (erythema, urticaria/angio-oedeem) zijn mogelijk (zie onder vasculitis). Later kunnen noduli, bullae, infarcering en ulcera optreden. De laesies ontstaan met name op afhangende lichaamsdelen: onderbenen, enkels, handen, onderarmen, bij bedlegerigen op de rug of eenzijdig. De acute eruptie gaat vaak gepaard met algemene malaise, myalgie en koorts. Vaak is er perifeer oedeem.

Leukocytoclastische vasculitis Leukocytoclastische vasculitis Leukocytoclastische vasculitis
leukocytoclastische vasculitis leukocytoclastische vasculitis leukocytoclastische vasculitis

Leukocytoclastische vasculitis Leukocytoclastische vasculitis Leukocytoclastische vasculitis
leukocytoclastische vasculitis leukocytoclastische vasculitis leukocytoclastische vasculitis

Leukocytoclastische vasculitis Leukocytoclastische vasculitis Leukocytoclastische vasculitis
leukocytoclastische vasculitis leukocytoclastische vasculitis leukocytoclastische vasculitis


DD: purpura o.b.v. verhoogde stollingsneiging, meningitis, gedissemineerde intravasale stolling, atrium myxoema, bacteriële endocarditis, cholesterolembolie, thoracic outlet syndromes, hypertensie-arteritis.


Oorzaken van cutaneous small vessel vasculitis:
- Henoch Schönlein purpura
- immuuncomplexvasculitis (of ANCA-vasculitis) door geneesmiddelen (zie onder)
- immuuncomplexvasculitis door lichaamsvreemd eiwit (serumziekte)
- immuuncomplexvasculitis door infecties (zie onder)
- immuuncomplexvasculitis bij auto-immuunziekten (SLE, reuma, sclerodermie)
- cryoglobulinemie (Kahler, Waldenström's macroglobulinemie e.a. monoclonale gammopathieën, virale hepatitis e.a. chronische ontstekingen, auto-immuunziekten, maligniteiten )
- (hypocomplementemische) urticariële vasculitis
- livedo reticularis vasculitis (livedoid vasculopathie)
- ANCA geassocieerde microscopische polyangitis
- Wegener's granulomatosis en Churg-Strauss syndroom
- vasculitis bij sepsis (Neisseria, streptokokken, S. aureus)
- Goodpasture syndroom
- erythema induratum Bazin bij lepra, papulonecrotic tuberculid bij TBC
- erythema elevatum diutinum
- ziekte van Behçet
- reuma noduli, acuut reuma
- intestinal bypass syndrome
- auto-immuunhepatitis, chronische actieve hepatitis, primaire biliaire cirrhose
- cystic fibrosis
- auto-immuun thyroiditis
- immunodeficiëntie: C1r, C2, C3, selectieve IgA deficiëntie
- idiopathisch
- paraneoplastisch (hematologische maligniteiten)
- levamisol-induced vasculitis


Geneesmiddelen
Vooral vaccins (o.a. influenza, hepatitis), dierlijke sera, insuline, e.a. lichaamsvreemde eiwittten; antibiotica (penicilline, sulfonamiden, minocycline, e.a.); NSAID's (diclofenac, naproxen, etc.), salicylaten; ACE-remmers (captopril, enalapril, etc.), hydantoine derivaten (fenytoïne), barbituraten, en vele anderen (Allopurinol, amiodaron, amitryptiline, atenolol, azathioprine, carbamazepine, ciprofloxacine, clindamycine, corticosteroiden, cyclofosfamide, diltiazem, etacrinezuur, famotidine, fenbufen, fenothiazinen, flurbiprofen, furosemide, goudverbindingen, griseofulvine, guanethidine, heparine, hydralazine, levamisol, indometacine, maprotiline, metolazon, mefenamine, metformine, methotrexaat, metolazon, natriumcromoglycaat, ofloxacine, procainamide, psoralenen, quinidine, ranitidine, retinoiden, ritodrine, spironolacton, tamoxifen, terbutaline, thiazide diuretica, trazodon, zidovudine). ANCA-vasculitis is beschreven bij gebruik van minocycline, sulfasalazine, en propylthiouracil.

Infecties
Bacteriën (Streptococcus pyogenes, S. aureus, N. meningitides, Mycobacterium leprae en tuberculosis, E. coli, Shigella), spirochaeten (syphilis); Rickettsia (Rocky Mountains spotted fever); virussen (hepatitis A B C, herpes, influenza, CMV, EBV); schimmels (Candida, diepe mycosen); protozoa (Plasmodium falciparum); helminthes (Schistosoma haematobium, mansoni, Onchocercus volvolus).


Onderzoek voor uitsluiten systemische vasculitis:
urinesediment (leuko's, ery's, cylinders?), urine kwalitatief (eiwit, glucose, hemoglobine), zonodig 24 uurs-urine op eiwit en kreatinine kwantitatief
faeces op occult bloed (darmlokalisaties vasculitis, carcinomen), zonodig endoscopie / gastroscopie
ECG (ischemie, myocarditis, pericarditis)
X-thorax (infiltraten, tumoren, lymfomen, metastasen, sarcoidose, TBC, Wegener, Churg-Strauss)
routine bloedonderzoek: BSE, Hb, Leuko's + diff, trombo's, totaal eosinofielen, Na, K, kreatinine, CPK, ALAT, Alkalische fosfatase, ASAT, GGT, amylase.
Op indicatie consult oogarts (retina-afwijkingen), KNO-arts of neuroloog (EMG).
Op indicatie spierbiopt, nierbiopt, longbiopt.
Op indicatie angiografie (dilatatie aorta, atheroma, embolie, afsluitingen mesenteriale e.a. arteriën).
Op indicatie Echocardiografie (klepvegetaties, myxoema)

Laboratoriumonderzoek voor zoeken naar oorzaak vasculitis:
biopt formaline (HE) en vers voor vriescoupes (IF; Ig-deposities?)
eiwitspectrum (hypergammaglobulinemie, paraproteïnen, andere abnormale proteïnen)
eventueel totaal IgG, IgA, IgM (kwantitatief)
typering M-proteïne (paraproteïnen)
Reumafactor (latex)
ANA, anti-DNA cascade onderzoek
eventueel andere antigenen (SS-A, SS-B, Sm, n-RNP, Scl-70, Jo-1, centromeren)
circulerende immuuncomplexen
complementfactoren C4, C3, CH50 (eventueel C2, C1q)
ANCA's (antineutrophil cytoplasmic antibodies)
cryoglobulinen
keelkweken (streptokokken; virale luchtweginfectie), sputumkweken (luchtweginfectie)
AST, anti-DNAse B
faeceskweken bij diarree (S.S.Y.C., virale gastroenteritis)
bloedkweken bij koorts (sepsis, endocarditis)
virus serologie (hepatitis C, B, A, herpes, influenza, CMV, EBV, HIV)
cholesterol en triglyceriden (dd cholesterolembolieën)
PTT, APTT e.a. screenend onderzoek naar verhoogde bloedingsneiging (dd purpura)
bij uitgebreide necrose o.b.v. vasculitis screenen op verhoogde stollingsneiging
op indicatie handdiff, speciële hematologie (hematologische maligniteiten)
op indicatie gynaecologisch onderzoek + kweken (infecties, carcinoma)
op indicatie cryofibrinogeen, volbloed en plasmaviscositeit, fibrinogeen, FDP


Beleid:
Rust en warmte, zoveel mogelijk in bed blijven of in stoel met benen hoog. Verdachte medicatie stoppen of vervangen door niet-verwante alternatieven. Aandacht op detecteren en bestrijden onderliggende afwijking. Eventueel Venoruton (tegen capillaire lekkage, verbetert ook viscositeit). Verder expectatief beleid, bij uitbreiding en/of schade aan huid en nieren immunosuppressiva.
R/ acetylsalicylzuur, NSAID's als pijnstiller en ontstekingsremmer.
R/ prednison 0.5-1.0 mg/kg (40-60 mg dd).
R/ dapson 50-200 mg dd (met name bij IgA deposities).
R/ immunosuppressiva (azathioprine, chloorambucil, cyclofosfamide).


patientenfolder


Author(s):
dr. Jan R. Mekkes. Dermatologist, Amsterdam UMC.

31-05-2023 (JRM) - www.skin-diseases.eu Terug naar homepagina



Diagnosis codes:
ICD10 D69.0 Allergische purpura: leukocytoclastische vasculitis
ICD10 D69.0 Allergic purpura: leukocytoclastic vasculitis
SNOMED 60555002 Hypersensitivity angiitis
DBC 13 Inflammatoire dermatosen