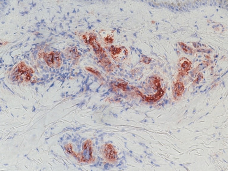
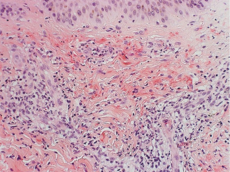
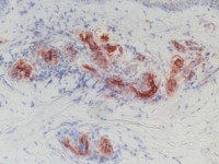
| VASCULITIS |
|

![]() |
![]() |
![]() |
![]() |
![]() |
| purpura | ecchymosen | macula | papels | urticaria |
![]() |
![]() |
![]() |
![]() |
![]() |
| pustels | bullae | nodi | ulcera | livedo |
![]() |
![]() |
![]() |
![]() |
![]() |
| pyoderma | EEM | Sweet | purpura | menigitis |

| Indeling van vasculitis varianten (2012 Chapel Hill Consensus Conference): |
|---|
| Large vessel vasculitis (LVV) - Takayasu arteritis (TAK) - Giant cell arteritis (GCA) Medium vessel vasculitis (MVV) - Polyarteritis nodosa (PAN) - Kawasaki disease (KD) Small vessel vasculitis (SVV) - Antineutrophil cytoplasmic antibody (ANCA)-associated vasculitis (AAV) - Microscopic polyangiitis (MPA) - Granulomatosis with polyangiitis (Wegener’s) (GPA) - Eosinophilic granulomatosis with polyangiitis (Churg-Strauss) (EGPA) - Immune complex SVV - Anti-glomerular basement membrane (anti-GBM) disease - Cryoglobulinemic vasculitis (CV) - IgA vasculitis (Henoch-Schönlein) (IgAV) - Hypocomplementemic urticarial vasculitis (HUV) (anti-C1q vasculitis) Variable vessel vasculitis (VVV) - Behçet’s disease (BD) - Cogan’s syndrome (CS) Single-organ vasculitis (SOV) - Cutaneous leukocytoclastic angiitis - Cutaneous arteritis - Primary central nervous system vasculitis - Isolated aortitis - Others Vasculitis associated with systemic disease - Lupus vasculitis - Rheumatoid vasculitis - Sarcoid vasculitis - Others Vasculitis associated with probable etiology - Hepatitis C virus-associated cryoglobulinemic vasculitis - Hepatitis B virus-associated vasculitis - Syphilis-associated aortitis - Drug-associated immune complex vasculitis - Drug-associated ANCA-associated vasculitis - Cancer-associated vasculitis - Others |
![]() |
![]() |
![]() |
| arteritis temporalis | polyarteritis nodisa | Wegener |
![]() |
![]() |
![]() |
| Churg Strauss | Henoch-Schönlein | vasculitis |
![]() |
![]() |
![]() |
| leukocytoclastische vasculitis | leukocytoclastische vasculitis | leukocytoclastische vasculitis |
![]() |
![]() |
![]() |
| leukocytoclastische vasculitis | leukocytoclastische vasculitis | leukocytoclastische vasculitis |
| 1. | NVDV Richtlijn diagnostiek kleine vaten vasculitis 2010. PDF |
| 2. | Jennette JC, Falk RJ, Bacon PA, Basu N, Cid MC, Ferrario F, Flores-Suarez LF, Gross WL, Guillevin L, Hagen EC, Hoffman GS, Jayne DR, Kallenberg CG, Lamprecht P, Langford CA, Luqmani RA, Mahr AD, Matteson EL, Merkel PA, Ozen S, Pusey CD, Rasmussen N, Rees AJ, Scott DG, Specks U, Stone JH, Takahashi K, Watts RA. 2012 revised International Chapel Hill Consensus Conference Nomenclature of Vasculitides. Arthritis Rheum 2013;65(1):1-11. PDF |
| 31-05-2023 (JRM) - www.skin-diseases.eu |
|
| ICD10 | D69.0 | Allergische purpura: leukocytoclastische vasculitis |
| ICD10 | D69.0 | Allergic purpura: leukocytoclastic vasculitis |
| SNOMED | 60555002 | Hypersensitivity angiitis |
| DBC | 13
![]() |
Inflammatoire dermatosen |
| ICD10 | D69.0 | Allergische purpura: Henoch-Schönlein purpura |
| ICD10 | D69.0 | Allergic purpura: Henoch-Schönlein purpura |
| SNOMED | 191306005 | Henoch-Schönlein purpura |
| DBC | 13
![]() |
Inflammatoire dermatosen |
| ICD10 | L95.0 | Livedo vasculitis (livedoide vasculopathie) |
| ICD10 | L95.0 | Livedoid vasculitis |
| SNOMED | 238762002 | Livedoid vasculitis |
| DBC | 13
![]() |
Inflammatoire dermatosen |
| ICD10 | L95.1 | Erythema elevatum diutinum |
| ICD10 | L95.1 | Erythema elevatum diutinum |
| SNOMED | 58872001 | Erythema elevatum diutinum |
| DBC | 13
![]() |
Inflammatoire dermatosen |
| ICD10 | D69.0 | Allergische purpura: Henoch-Schönlein purpura |
| ICD10 | D69.0 | Allergic purpura: Henoch-Schönlein purpura |
| SNOMED | 191306005 | Henoch-Schönlein purpura |
| DBC | 13
![]() |
Inflammatoire dermatosen |
| ICD10 | L95.8 | Overige gespecificeerde vormen van vasculitis beperkt tot huid: lymfocytaire vasculitis |
| ICD10 | L95.8 | Other vasculitis limited to skin: lymphocytic vasculitis of skin |
| SNOMED | 46286007 | Lymphocytic vasculitis of skin |
| DBC | 13
![]() |
Inflammatoire dermatosen |
| ICD10 | L95.8 | Overige gespecificeerde vormen van vasculitis beperkt tot huid: pustuleuze vasculitis |
| ICD10 | L95.8 | Other vasculitis limited to skin: pustular vasculitis |
| SNOMED | 402663007 | Pustular vasculitis |
| DBC | 13
![]() |
Inflammatoire dermatosen |
| ICD10 | L95.8 | Overige gespecificeerde vormen van vasculitis beperkt tot huid: eosinofiele vasculitis |
| ICD10 | L95.8 | Other vasculitis limited to skin: eosinophilic vasculitis |
| SNOMED | 427356003 | Eosinophilic vasculitis |
| DBC | 13
![]() |
Inflammatoire dermatosen |
| ICD10 | L95.8 | Overige gespecificeerde vormen van vasculitis beperkt tot huid: necrotiserende vasculitis |
| ICD10 | L95.8 | Other vasculitis limited to skin: necrotising cutaneous vasculitis |
| SNOMED | 402655006 | Necrotising cutaneous vasculitis |
| DBC | 13
![]() |
Inflammatoire dermatosen |
| ICD10 | L95.8 | Overige gespecificeerde vormen van vasculitis beperkt tot huid: nodulaire vasculitis |
| ICD10 | L95.8 | Other vasculitis limited to skin: nodular vasculitis |
| SNOMED | 55275006 | Nodular vasculitis |
| DBC | 13
![]() |
Inflammatoire dermatosen |
| ICD10 | L95.8 | Overige gespecificeerde vormen van vasculitis beperkt tot huid: Schnitzler syndroom |
| ICD10 | L95.8 | Other vasculitis limited to skin: Schnitzler syndrome |
| SNOMED | 402415001 | Schnitzler syndrome |
| DBC | 13
![]() |
Inflammatoire dermatosen |
| ICD10 | L95.9 | Vasculitis beperkt tot huid, niet gespecificeerd |
| ICD10 | L95.9 | Vasculitis limited to the skin, unspecified |
| SNOMED | 53312001 | Vasculitis of the skin |
| DBC | 13
![]() |
Inflammatoire dermatosen |
| ICD10 | M31.3 | Granulomatose van Wegener |
| ICD10 | M31.3 | Wegener's granulomatosis |
| SNOMED | 195353004 | Wegener's granulomatosis |
| DBC | 13
![]() |
Inflammatoire dermatosen |
| ICD10 | M31.4 | Aortaboogsyndroom [Takayasu] |
| ICD10 | M31.4 | Aortic arch syndrome [Takayasu] |
| SNOMED | 359789008 | Takayasu's disease |
| DBC | 13
![]() |
Inflammatoire dermatosen |
| ICD10 | L95.8 | Overige gespecificeerde vormen van vasculitis beperkt tot huid: eosinofiele vasculitis |
| ICD10 | L95.8 | Other vasculitis limited to skin: eosinophilic vasculitis |
| SNOMED | 427356003 | Eosinophilic vasculitis |
| DBC | 13
![]() |
Inflammatoire dermatosen |
| ICD10 | M31.5 | Giant cell arteritis met polymyalgia rheumatica |
| ICD10 | M31.5 | Giant cell arteritis with polymyalgia rheumatica |
| SNOMED | 239938009 | Giant cell arteritis with polymyalgia rheumatica |
| DBC | 13
![]() |
Inflammatoire dermatosen |
| ICD10 | M31.6 | Overige reuscelarteriitis: arteriitis temporalis |
| ICD10 | M31.6 | Other giant cell arteritis: arteriitis temporalis |
| SNOMED | 400130008 | Temporal arteritis |
| DBC | 13
![]() |
Inflammatoire dermatosen |
| ICD10 | M31.7 | Microscopische polyangiitis |
| ICD10 | M31.7 | Microscopic polyangiitis |
| SNOMED | 239928004 | Microscopic polyangiitis |
| DBC | 13
![]() |
Inflammatoire dermatosen |
| ICD10 | M31.8 | Overige gespecificeerde necrotiserende vaataandoeningen: necrotiserende vasculitis |
| ICD10 | M31.8 | Other specified necrotizing vasculopathies: necrotizing vasculitis |
| SNOMED | 11791001 | Necrotizing vasculitis |
| DBC | 13
![]() |
Inflammatoire dermatosen |
| ICD10 | M31.9 | Necrotiserende vaataandoening, niet gespecificeerd |
| ICD10 | M31.9 | Necrotizing vasculopathy, unspecified |
| SNOMED | 402859003 | Necrotising vasculitis of undetermined aetiology |
| DBC | 13
of 25
![]() |
Inflammatoire dermatosen |
| ICD10 | M31.9 | Necrotiserende vaataandoening, niet gespecificeerd: systemische vasculitis |
| ICD10 | M31.9 | Necrotizing vasculopathy, unspecified: systemic vasculitis |
| SNOMED | 46956008 | Systemic vasculitis |
| DBC | 13
of 25
![]() |
Inflammatoire dermatosen |