Het
plaveiselcelcarcinoom is na het
basaalcelcarcinoom de meest voorkomende
vorm van huidkanker en de incidentie neemt gestaag toe. De incidentie is 108/100.000
per jaar voor mannen en 69/100.000 per jaar voor vrouwen. Circa 1:15 Nederlanders
ontwikkelt een plaveiselcelcarcinoom voor het 85ste levensjaar. De totale incidentie
in Nederland is circa 15.000 per jaar en stijgt met circa 2.3% per jaar. In
2021 waren er in Nederland 14.884 nieuwe patiënten met een plaveiselcelcarcinoom,
waarvan 8.233 man en 6.651 vrouw. Het komt vaker voor bij blanken (verhouding
70:1 ten opzichte van niet-blanken), bij ouderen (75% >65 jaar), en bij mannen.
De belangrijkste etiologische factor is chronische blootstelling aan ultraviolet
licht; ruim 80% van de plaveiselcelcarcinomen is in het hoofd-halsgebied gelokaliseerd,
en de overige 20 % met name in de aan zonlicht blootgestelde delen van romp
en extremiteiten (handruggen).
Bepaalde genodermatosen zoals
xeroderma pigmentosum,
epidermodysplasia verruciformis,
en recessieve dystrofische
epidermolysis bullosa
hebben ook een sterk verhoogd risico op huidkanker en in het bijzonder plaveiselcelcarcinoom.
Het risico op plaveiselcelcarcinoom is verhoogd na blootstelling aan ioniserende
straling, arsenicum, na PUVA behandeling, in chronische wonden, littekens, brandwonden,
zweren of fistels, en bij pre-existente aandoeningen zoals de ziekte van Bowen
(intra-epidermaal plaveiselcelcarcinoom). Patiënten met veel
actinische keratosen hebben ook
een verhoogd risico op plaveiselcelcarcinoom; er kan niet worden aangetoond
dat actinische keratose overgaat in plaveiselcelcarcinoom, maar het hebben van
veel actinische keratosen betekent dat er veel zonschade is en dus is er een
verhoogd risico. Patiënten met een immuunstoornis of patiënten die immunosuppressiva
gebruiken na een orgaantransplantatie of patiënten met een lymfoom of leukemie
hebben een verhoogd risico op plaveiselcelcarcinoom. De kans op een plaveiselcelcarcinoom
stijgt evenredig met de duur (en diepte) van immunosuppressie. Het gebruik van
ciclosporine na langdurige blootstelling aan UV therapie (vooral PUVA) verhoogt
het risico op plaveiselcelcarcinoom exponentieel. Roken geeft eveneens een tot
tweemaal verhoogde kans op plaveiselcelcarcinoom. Sommige plaveiselcelcarcinomen
zijn geassocieerd met een HPV-infectie. Ook het gebruik van
hydrochloorthiazide
is genoemd als een risicofactor voor huidkanker, maar in een recentere
studie van betere kwaliteit (Heisel et al. 2023) wordt dit toch weer
tegengesproken. Er zijn aanwijzingen dat nicotinamide een beschermend effect
heeft.
Klinisch beeld:
Het plaveiselcelcarcinoom ziet er aanvankelijk uit als een huidkleurige of lichtrode
nodulus, vaak met een ruw aanvoelend oppervlak (hyperkeratose). De nodulus wordt
in de loop der tijd langzaam groter en kan uitgroeien tot een grote tumor, soms
met centrale ulceratie. Andere varianten zijn erosieve of ulcererende laesies
zonder tekenen van keratinisatie, wondjes die langzaam groter worden, of papillomateuze
varianten. Soms veroorzaakt de tumor pijnklachten. Het plaveiselcelcarcinoom
kan overal op het lichaam voorkomen. Er bestaat echter een voorkeur voor de
schedelhuid, de oren, het gezicht, de lippen, de onderarmen, de handruggen en
de benen.
![Plaveiselcelcarcinoom, carcinoma spinocellulare (click on photo to enlarge) [source: www.huidziekten.nl] Plaveiselcelcarcinoom, carcinoma spinocellulare](../../../images/plaveiselcelcarcinoom-1z.jpg) |
![Plaveiselcelcarcinoom, carcinoma spinocellulare (click on photo to enlarge) [source: www.huidziekten.nl] Plaveiselcelcarcinoom, carcinoma spinocellulare](../../../images/plaveiselcelcarcinoom-2z.jpg) |
![Plaveiselcelcarcinoom, carcinoma spinocellulare (click on photo to enlarge) [source: www.huidziekten.nl] Plaveiselcelcarcinoom, carcinoma spinocellulare](../../../images/plaveiselcelcarcinoom-3z.jpg) |
| plaveiselcel
carcinoom |
plaveiselcel
carcinoom |
plaveiselcel
carcinoom |
![Plaveiselcelcarcinoom, carcinoma spinocellulare (click on photo to enlarge) [source: www.huidziekten.nl] Plaveiselcelcarcinoom, carcinoma spinocellulare](../../../images/plaveiselcelcarcinoom-4z.jpg) |
![Plaveiselcelcarcinoom, carcinoma spinocellulare (click on photo to enlarge) [source: www.huidziekten.nl] Plaveiselcelcarcinoom, carcinoma spinocellulare](../../../images/plaveiselcelcarcinoom-lip-2z.jpg) |
![Plaveiselcelcarcinoom, carcinoma spinocellulare (click on photo to enlarge) [source: www.huidziekten.nl] Plaveiselcelcarcinoom, carcinoma spinocellulare](../../../images/plaveiselcelcarcinoom-oorz.jpg) |
| plaveiselcel
carcinoom |
plaveiselcel
carcinoom lip |
plaveiselcel
carcinoom oor |
![Plaveiselcelcarcinoom, carcinoma spinocellulare (click on photo to enlarge) [source: www.huidziekten.nl] Plaveiselcelcarcinoom, carcinoma spinocellulare](../../../images/plaveiselcelcarcinoom-handz.jpg) |
![Plaveiselcelcarcinoom, carcinoma spinocellulare (click on photo to enlarge) [source: www.huidziekten.nl] Plaveiselcelcarcinoom, carcinoma spinocellulare](../../../images/plaveiselcelcarcinoom-penisz.jpg) |
![Plaveiselcelcarcinoom ontstaan in een chronisch ulcus (click on photo to enlarge) [source: www.huidziekten.nl] Plaveiselcelcarcinoom ontstaan in een chronisch ulcus](../../../images/plaveiselcelcarcinoom-in-chronisch-ulcus-1z.jpg) |
| plaveiselcel
carcinoom |
plaveiselcel
carcinoom |
plaveiselcel
carcinoom |
![Plaveiselcelcarcinoom ontstaan in een chronisch ulcus (click on photo to enlarge) [source: www.huidziekten.nl] Plaveiselcelcarcinoom ontstaan in een chronisch ulcus](../../../images/plaveiselcelcarcinoom-in-chronisch-ulcus-2z.jpg) |
![Plaveiselcelcarcinoom ontstaan in een chronisch ulcus (click on photo to enlarge) [source: www.huidziekten.nl] Plaveiselcelcarcinoom ontstaan in een chronisch ulcus](../../../images/plaveiselcelcarcinoom-in-chronisch-ulcus-3z.jpg) |
![Plaveiselcelcarcinoom ontstaan in een chronisch ulcus (click on photo to enlarge) [source: www.huidziekten.nl] Plaveiselcelcarcinoom ontstaan in een chronisch ulcus](../../../images/plaveiselcelcarcinoom-in-chronisch-ulcus-4z.jpg) |
| plaveiselcel
carcinoom |
plaveiselcel
carcinoom |
plaveisel
celcarcinoom |
Premaligne afwijkingenEr zijn enkele (premaligne)
afwijkingen en in situ carcinomen die over kunnen gaan in een invasief plaveiselcelcarcinoom:
Actinische keratose: het is niet zeker of dit een
premaligne afwijking is, maar het hebben er van is wel geassocieerd met een
verhoogd risico op het ontstaan van plaveiselcelcarcinomen. Zie verder onder
keratosis actinica.
Morbus Bowen (carcinoma in situ, intra-epitheliaal plaveiselcelcarcinoom):
kan zich onder zeer verschillende beelden manifesteren, wat de klinische diagnose
moeilijk maakt. Vaak een solitaire erythemateuze, licht schilferende of erosief-crusteuze,
scherp begrensde efflorescentie van 10-50 mm, die doet denken aan psoriasis
of eczeem.
Morbus Bowen kan overal op de huid
voorkomen, maar het meest op aan zonlicht blootgestelde gedeelten, met een voorkeur
voor de strekzijde van handen en vingers.
Carcinoma in situ
manifesteert zich ook op slijmvliezen van de mond, vulva en penis. De afwijking
is dan fluweelrood (soms erosief). Bij de penis wordt dit ook wel
erythroplasie van Queyrat genoemd.
Kenmerkend ten opzichte van goedaardige afwijkingen is dat de roodheid persisteert,
geleidelijk groter wordt en niet op lokale antimycotische of anti-inflammatoire
therapie reageert. Morbus Bowen kan evenals een plaveiselcelcarcinoom door middel
van excisie worden behandeld, maar ook oppervlakte therapieën zoals photodynamische
therapie kunnen een mogelijkheid zijn.
Verruceus carcinoom:
dit is een hoog gedifferentieerd, dus laaggradig plaveiselcelcarcinoom. Kan
ontstaan in chronische tumoren. Zie verder onder
verruceus carcinoom.
Keratoacanthoom: goedaardige huidtumor die in korte
tijd ontstaat.
Keratoacanthomen komen
vrijwel alleen voor op huidgebieden die veelvuldig aan zonlicht worden blootgesteld,
zoals het gelaat, de oren, de armen en de handen. Het keratoacanthoom ontstaat
veelal tijdens of na de middelbare leeftijd. In de loop van enkele weken ontwikkelt
zich een ronde, huidkleurige of rode tumor op de huid. De tumor kan uitgroeien
tot een doorsnede van enkele centimeters. Kenmerkend is de aanwezigheid van
een hoornprop in het centrum. Het keratoacanthoom veroorzaakt geen pijn- of
jeukklachten. Er is geen sprake van bloedverlies. Na verloop van enkele maanden
zal het keratoacanthoom kleiner worden en uiteindelijk vanzelf verdwijnen. Na
de spontane genezing blijft een litteken zichtbaar. In zeldzame gevallen kunnen
meerdere keratoacanthomen tot ontwikkeling komen. De klinische differentiatie
tussen een keratoacanthoom en een plaveiselcelcarcinoom kan erg lastig zijn.
Ook histopathologisch is er vaak geen uitsluitsel te geven. Er is een
periode geweest waarin de WHO keratoacanthoom classificeerde als een goed
gedifferentieerd plaveiselcelcarcinoom, maar nu wordt het toch weer
beschouwd als een aparte entiteit, met een goede prognose. Bij twijfel worden
keratoacanthomen behandeld als een goed gedifferentieerd plaveiselcelcarcinoom.
Er bestaat een zeldzame erfelijke aandoening waarbij multipele op keratoacanthomen
lijkende goed gedifferentieerde plaveiselcelcarcinomen voorkomen: zie onder
Ferguson-Smith disease.
![Keratosis actinica, actinische keratose (click on photo to enlarge) [source: www.huidziekten.nl] Keratosis actinica, actinische keratose](../../../images/keratosis-actinica-4z.jpg) |
![Morbus Bowen (Intra-epidermaal spinocellulair carcinoom) (click on photo to enlarge) [source: www.huidziekten.nl] Morbus Bowen](../../../images/morbus-bowen-9z.jpg) |
| actinische
keratose |
morbus
Bowen |
![Verruceus carcinoom van de hiel (click on photo to enlarge) [source: www.huidziekten.nl] Verruceus carcinoom van de hiel](../../../images/verruceus-carcinoom-hiel-1z.jpg) |
![Keratoacanthoom (click on photo to enlarge) [source: www.huidziekten.nl] Keratoacanthoom](../../../images/keratoacanthoom-1z.jpg) |
| verruceus
carcinoom |
keratoacanthoom |
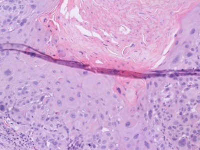
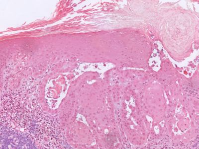
Histologie:In de epidermis of
mucosa is het epitheel meestal deels afwezig, er is een erosie of ulcus; verder
bestaat er epitheelwoekering die infiltratief groeit en de basale membraan doorbreekt.
De cellen hebben deels het aspect van gedifferentieerde stratum spinosum en
stratum corneum cellen. Bovendien zijn er, in wisselende hoeveelheid, anaplastische
elementen. De epitheelwoekering is omgeven door een dicht lymfocytair infiltraat.
Hoe kwaadaardiger de afwijking is, des te meer atypie bestaat er; de cellen
zijn ongelijk van grootte en vorm (stekel verlies), bij de kernen ziet men atypische
vormen, atypische kleurbaarheid en delingen. Vaak ziet men temidden van groepen
cellen centraal optredende verhoorning, omgeven door afgeplatte cellen (hoornparels).
Hoornparels zijn een teken van uitrijpen, hoe kwaadaardiger de tumor, hoe minder
hoornparels er zijn. De meest kwaadaardige vormen zijn opgebouwd uit stekelloze,
spoelvormige cellen die veel op sarcoma lijken. Kwaadaardigheid wordt beoordeeld
op de diepte van infiltratie, de differentiatiegraad (goed, matig, slecht),
de aanwezigheid/afwezigheid van sprieterige groeiwijze (desmoplastisch), aanwezigheid/afwezigheid
van perineurale of angio-invasieve groei, en of er sprake is van ingroei in
diep dermale structuren.
![Histologie plaveiselcelcarcinoom (click on photo to enlarge) [source: Kevin Kwee / Afdeling Pathologie MUMC] Histologie plaveiselcelcarcinoom](../../../pacoupes/thumbnails/plaveiselcelcarcinoom-1.jpg) |
![Histologie plaveiselcelcarcinoom (click on photo to enlarge) [source: Kevin Kwee / Afdeling Pathologie MUMC] Histologie plaveiselcelcarcinoom](../../../pacoupes/thumbnails/plaveiselcelcarcinoom-2.jpg) |
![Histologie plaveiselcelcarcinoom (click on photo to enlarge) [source: Kevin Kwee / Afdeling Pathologie MUMC] Histologie plaveiselcelcarcinoom](../../../pacoupes/thumbnails/plaveiselcelcarcinoom-3.jpg) |
|
ingescande coupe (zoom) |
ingescande coupe (zoom) |
ingescande coupe (zoom) |
Bron
hoge resolutie PA-foto's: Kevin Kwee en Afdeling Pathologie MUMC. Klik
op de afbeelding om in te zoomen.
Prognose:Brantsch et al. publiceerden in 2008 de
resultaten van een goed uitgevoerd prospectief observationeel cohortonderzoek
bij 653 blanke patiënten met een eerste plaveiselcelcarcinoom. Bij 26 patiënten
(4%) ontstonden metastasen, 9 patiënten (1.3%) overleden ten gevolge van gemetastaseerde
ziekte. Prognostische factoren waren de dikte van de tumor, de diameter van
de tumor, slechte prognose was er voor tumoren gelokaliseerd op het oor, en
immuungecompromitteerde patiënten. De Nederlandse data zijn gunstiger, Tokez
et al. (2020) rapporteren een sterfte aan plaveiselcelcarcinoom van 0.7%.
Anamnese:Wanneer is de laesie ontstaan of voor het
eerst opgevallen, groeisnelheid, pijn, bloeden, eerder keratinocyt-maligniteiten
gehad? Een plaveiselcarcinoom kan pijnlijk zijn, pijn / drukpijn kan de laesie
onderscheiden van premaligne afwijkingen. Inventariseer risicofactoren zoals
zonlichtblootstelling, buitenberoep, UVB of PUVA therapie, radiotherapie, arseen,
huidtype, immunosuppressiva, orgaantransplantatie, hematologische maligniteit,
HIV/AIDS, HPV-infectie, roken.
Lichamelijk onderzoek:
Onderzoek en beschrijf de locatie, rangschikking, efflorescentie, de grootte
en eventuele induratie. Verdachte kenmerken zijn induratie, diameter > 1 cm, snelle
uitbreiding in
diameter, bloeding, erytheem en ulceratie. Locatie, afmeting en induratie zijn van invloed op de
prognose en de behandeling. Beoordeel bij palpatie of er sprake is van fixatie
aan de onderlaag, dit kan een teken zijn van groei in dieper gelegen structuren,
zoals spier, kraakbeen of bot. Beoordeel, palpeer de regionale lymfeklierstations.
Inspecteer de gehele huid op andere tumoren en op huidafwijkingen passend bij
zonlichtschade, en noteer het huidtype.
Diagnostiek:Bij klinische verdenking dient histologisch
onderzoek te worden verricht, middels een
biopt of excisie
(liever geen shave-excisie of currettage). PA is nodig om de tumor te kunnen
stagieren volgens het
TNM systeem. Voor classificatie
(AJCC 8e editie) zijn de volgende gegevens nodig:
invasiediepte
gemeten vanaf de aangrenzende niet aangedane huid tot aan de tumorbodem, aanwezigheid
van
doorgroei voorbij het subcutane vetweefsel of > 6 mm,
perineurale groei in een zenuw van meer dan 0,1 mm
diameter of voorbij de dermis gelegen, en intraneurale groei. Voor risico-inschatting
is nodig de
differentiatiegraad en de
minimale
marge richting de zijsnijrand en de bodem.
Verricht bij voorkeur
eerst een stansbiopt voor histologisch onderzoek en stadiëring bij verdenking van PCC. Er kan hiervan worden afgeweken indien een directe excisie wenselijk is. Maar dan ontbreekt de histologische informatie waarop de risico-inschatting en de aanbevolen marge (4, 6 of 10 mm) is gebaseerd. Er kan dan achteraf blijken dat een ruimere marge nodig was geweest. Een biopt moet voldoende diep zijn, om de invasie diepte te kunnen beoordelen en eventuele ingroei in zenuwen onder het niveau van de dermis. Het kan met een 3 mm biopt, maar een 4 mm biopt is beter.
Echo en echogeleide punctie is nodig als er verdachte lymfklieren
zijn te voelen, bij zenuwuitval / zenuwbetrokkenheid, bij een tumor > 4 cm,
en bij histologische bevindingen die een tumor in stadium T3 of hoger plaatsen
(zie tabel TNM classificatie).
De aanvraag voor histopathologisch
onderzoek dient tenminste te bevatten:
| • |
personalia patiënt; |
| • |
beschrijving tumor, lokalisatie, (klinisch gemeten) diameter en
verhouding tot onderlaag; |
| • |
aard van de ingreep (stansbiopsie of excisie); |
| • |
bij diagnostiek: differentiële diagnose; |
| • |
bij therapeutische (of diagnostische) excisie: excisie marge. |
Het verslag van de patholoog dient tenminste te bevatten:
| • |
anatomische lokalisatie (indien vermeld door aanvrager); |
| • |
aard van het ingezonden materiaal (huidbiopt, huidexcisie, huidshave); |
| • |
diameter, afmetingen (macroscopisch); |
| • |
diagnose / conclusie (eventueel met vermelding histologisch subtype);
|
| • |
tumor differentiatiegraad (goed, matig, slecht); |
| • |
invasiediepte gemeten vanaf de aangrenzende niet aangedane huid
tot aan de tumorbodem; in een biopt ontbreekt meestal aangrenzend epitheel,
geef dan de tumordikte); |
| • |
indien er sprake is van doorgroei voorbij het subcutane vet moet
dit apart worden vermeld (dit is eigenlijk bijna nooit goed te beoordelen
op een biopt) |
| • |
indien er sprake is van ingroei in diepe structuren zoals spier,
bot of kraakbeen moet dit eveneens apart worden vermeld; |
| • |
aanwezigheid/afwezigheid van perineurale en/of intraneurale groei;
indien aanwezig, de locatie van de zenuw (in de dermis of lager dan
de dermis), de diameter van de zenuw; |
| • |
aanwezigheid/afwezigheid van angio-invasieve of lymfangio-invasieve
groei; |
| • |
in geval van excisie: de radicaliteit en de krapste marge richting
de zijsnijrand en de bodem. |
| TNM-Classificatie (AJCC-8)*: |
| Tumor |
| T |
Tx |
primaire tumor niet bekend |
| Tis |
carcinoma in situ |
| T1 |
tumor ≤ 2 cm** |
| T2 |
tumor > 2 cm en ≤ 4 cm*** |
T3
|
tumor > 4 cm of perineurale invasie in een zenuw met een
diameter ≥ 0.1 mm, of ingroei in een zenuw gelegen onder niveau
dermis of klinische (motorische of sensorische uitval) of radiografische
betrokkenheid van zenuwen of diepe invasie (> 6 mm of voorbij
het subcutane vet) minimale boterosie (anders is het T4a of T4b) |
| T4a |
tumor met bot/beenmerg invasie |
| T4b |
tumor met ingroei in schedelbot of ingroei in foramen (openingen)
in de schedelbasis |
| Lymfklieren (klinisch) |
| N |
Nx
|
regionale lymfklierstatus niet bekend
|
| N0 |
geen regionale lymfkliermetastase |
| N1 |
1 ipsilaterale lymfekliermetastase ≤ 3 cm zonder extranodale
extensie |
| N2a |
1 ipsilaterale lymfekliermetastase 3 - 6 cm zonder extranodale
extensie |
| N2b |
multipele ipsilaterale lymfekliermetastasen < 6 cm zonder
extranodale extensie |
| N2c |
bilaterale of contralaterale lymfekliermetastasen < 6 cm
zonder extranodale extensie |
| N3a |
lymfekliermetastase > 6 cm zonder extranodale extensie |
| N3b |
lymfekliermetastase(n) met klinisch extranodale extensie |
| Lymfklieren (pathologisch) |
| N |
Nx
|
regionale lymfklierstatus niet bekend |
| N0 |
geen regionale lymfkliermetastase |
| N1 |
1 ipsilaterale lymfekliermetastase ≤ 3 cm zonder extranodale
extensie |
| N2a |
ipsilaterale of contralaterale lymfekliermetastase ≤ 3 cm en
extranodale extensie of 1 ipsilaterale lymfekliermetastase 3-
6 cm zonder extranodale extensie |
| N2b |
multipele ipsilaterale lymfekliermetastasen < 6 cm zonder
extranodale extensie |
| N2c |
bilaterale of contralaterale lymfekliermetastasen < 6 cm
zonder extranodale extensie |
| N3a |
lymfekliermetastase > 6 cm zonder extranodale extensie |
| N3b |
1 ipsilaterale lymfekliermetastase > 3 cm en extranodale
extensie of multipele, ipsilaterale, contralaterale of bilaterale
lymfekliermetastasen met extranodale extensie |
| metastasen |
| M |
M0 |
geen metastasen op afstand
|
| M1 |
metastasen op afstand |
| * |
De AJCC-8 classificatie (American Joint Committee
on Cancer) is eigenlijk bedoeld voor plaveiselcelcarcinomen in het
hoofd hals gebied, maar kan ook worden gebruikt voor andere locaties.
T4 is dan ingroei in diepere structuren zoals bot of spier. |
| ** |
In de oorspronkelijke versie was het <
2 cm, dit is later gewijzigd in ≤ 2 cm. |
| *** |
In de oorspronkelijke versie was het ≥ 2
cm en < 4 cm, dit is later gewijzigd in > 2 cm en ≤ 4 cm. |
| |
Perineurale invasie wordt gedefinieerd als
ingroei in de zenuwschede van een zenuw met een diameter ≥ 0.1 mm,
of ingroei in een zenuw die dieper ligt dan de dermis, of klinische
(motorische of sensorische uitval) of radiografische betrokkenheid
van zenuwen, zonder invasie in de schedelbasis. |
| |
Diepe invasie = invasie voorbij het subcutane
vet of > 6 mm. |
| |
Klinisch extranodale extensie = de aanwezigheid
van huidbetrokkenheid of invasie van weke delen met diepe fixatie
aan onderliggende spier of omliggende structuren of klinisch tekenen
van zenuwbetrokkenheid. |
| Prognostische groepering (stadium indeling)
op basis van T, N en M |
Prognost. groepering |
Grootte |
Regionale lymfeklier metastasen |
Metastasen op afstand |
| Stadium 0 |
T in situ |
N0 |
M0 |
| Stadium I |
T1 |
N0 |
M0 |
| Stadium II |
T2 |
N0 |
M0 |
| Stadium III |
T3 T1,T2,T3 |
N0 N1 |
M0 M0 |
| Stadium IV |
T1,T2,T3 elke T T4 elke
T |
N2 N3 elke N elke N |
M0 M0 M0 M1 |
| Risicoclassificatie o.b.v. prognostische
ziekte uitkomsten: lokaal recidief, (lymfeklier)metastasen,
ziekte-gerelateerde sterfte |
|
laag risico |
Intermediair risico |
hoog risico |
| Tumor karakteristieken* |
T1 (tumor ≤ 2 cm) |
T2 (tumor > 2 cm en ≤ 4 cm) of T1 én minstens één van
onderstaande factoren:
| • |
Histologie slecht of ongedifferentieerd, sarcomatoid
of spoelcellig/sprieterig |
| • |
Lymfangio-invasie |
| • |
Dermale perineurale invasie van elke zenuwdiameter aanwezig
buiten de contour van de tumor |
|
T3-T4 (tumor > 4 cm) of recidief tumor of T2 én minstens
één van onderstaande factoren:
| • |
Histologie slecht of ongedifferentieerd, sarcomatoid
of spoelcellig/sprieterig |
| • |
Lymfangio-invasie |
| • |
Dermale perineurale invasie van elke zenuwdiameter aanwezig
buiten de contour van de tumor |
|
| Echo / Lymfklierpunctie |
alleen bij regionale lymfadenopathie en/of klinisch palpabele
lymfeklieren |
alleen bij regionale lymfadenopathie en/of klinisch palpabele
lymfeklieren |
altijd |
| Chirurgische marge |
4 mm |
6 mm |
10 mm |
| Histologische marge** |
≥ 1 mm |
≥ 2 mm |
≥ 2 mm |
| MDO |
Chirurgische radicaliteit (alsnog) niet haalbaar: lokaal MDO |
Chirurgische radicaliteit (alsnog) niet haalbaar: lokaal MDO |
Referentiecentrum*** Overweeg dit ook bij T1- en T2 tumoren
wanneer het bereiken van chirurgische radicaliteit een significante
impact heeft op de functie of cosmetiek van de specifieke locatie |
| Follow-up |
| • |
Postoperatief < 3 mnd |
| • |
Jaar 1-2: 1 x/ 6-12 mnd |
|
| • |
Jaar 1-2: 1x / 3-4 mnd |
| • |
Jaar 3: 1x / jr |
|
| • |
Jaar 1-2: 1x / 3-4 mnd |
| • |
Jaar 3-5: 1x / jr |
|
| * |
Op basis van de initiële histologie wordt
het risico bepaald en opnieuw geëvalueerd na (re-)excisie. |
| ** |
Deze marge is niet van toepassing indien
gebruik wordt gemaakt van micrografisch gecontroleerde chirurgie.
Verricht een re-excisie als de tumor reikt tot in de rand of krap
radicaal is verwijderd (< 1 mm bij laag-risico
plaveiselcelcarcinoom). Verricht bij intermediair
en hoog-risico een re-excisie als de beoogde histopathologische
marge van ≥ 2 mm niet behaald is. |
| *** |
Gezien de beschikbaarheid van een uitgebreid
behandelarsenaal waaronder o.a. immunotherapie en behandelingen
in studieverband. |
Aanvullende diagnostiek:
Het plaveiselcelcarcinoom
verspreidt zich over het algemeen naar de lokale lymfklieren, meestal gedurende
het eerste jaar na vaststellen van de primaire tumor. De kans op metastasering
naar locoregionale lymfklieren is <5% voor laag-risico tumoren en 10-20%
voor hoog-risico tumoren. Als er vergrote lymfklieren palpabel zijn dan dienen
die uiteraard te worden onderzocht (
echo en echogeleide punctie). Als er geen
palpabele klieren zijn dan is bij laag-risico en intermediair-risico plaveiselcelcarcinomen
geen diagnostiek nodig. Bij hoog-risico plaveiselcelcarcinomen in het hoofd-halsgebied
wordt echografische screening van de hals, inclusief parotisgebied aanbevolen,
met cytologische punctie van verdachte lymfklieren vanaf 5 mm grootte. Is de
punctie daarbij negatief en is er sprake van een sterke radiologische dan wel
klinische verdenking op een pathologische lymfklier, dan dient deze te worden
herhaald, wederom onder echogeleide.
| • |
Palpeer bij laag en intermediair-risico de regionale lymfeklieren
en verricht alleen een echografie bij suspecte bevindingen. |
| • |
Verricht in de diagnostische fase bij hoog-risico en bij laag- en
intermediair risico met regionale lymfadenopathie en/of klinisch palpabele
lymfeklieren een echografie die gecombineerd kan worden met een cytologische
punctie van radiologisch suspecte lymfklieren. |
| • |
Echografie wordt verricht door een ervaren radioloog met het betreffende
aandachtsgebied. Vermeldt in de radiologieverslaglegging duidelijk welke
lymfeklieren zijn onderzocht. |
| • |
Overweeg een CT of MRI te verrichten bij klinische verdenking op
ossale betrokkenheid c.q. infiltratie in diepere weke delen of bij perineurale
uitbreiding van de primaire tumor. |
| • |
Verricht een FDG PET-CT bij patiënten met lymfogeen gemetastaseerd
cPCC als screeningsonderzoek naar afstandsmetastasen. |
Therapie:- Conventionele chirurgische excisie
- Radiotherapie
- Mohs micrografische chirurgie
- Cryochirurgie
- Curettage en coagulatie
- Andere therapieën
Conventionele
chirurgische excisieChirurgische excisie is de voorkeursbehandeling
voor de meerderheid van de plaveiselcelcarcinomen van de huid.
Voor
laag-risico tumoren (zie tabel) wordt een klinische
marge van
4 mm rondom de tumor aanbevolen.
Voor
intermediair-risico tumoren (zie tabel) wordt een
klinische marge van
6 mm rondom de tumor aanbevolen.
Voor
hoog-risico tumoren (zie tabel) wordt een
klinische marge van
10 mm rondom de tumor aanbevolen.
Diepte van de excisieVerwijder de tumor inclusief het
subcutane vet tot aan de volgende anatomische structuur (fascie, spier), bij
laesies op de scalp de galea. Overweeg op de scalp tot subgaleaal te opereren
(grotere kans op radicaliteit, gemakkelijkere wondsluiting). Dit geldt voor
klinisch mobiele laesies. Bij uitgebreidere laesies zal de diepte van de excisie
bepaald worden door de bevindingen op preoperatieve beeldvorming. Op het oor
is vanwege de dunne subcutis het advies het kraakbeen mee te nemen. Er kan gekozen
worden voor een wigexcisie of, indien de laesie zich centraal op het oor bevindt,
voor het verwijderen van huid en kraakbeen met behoud van achter het kraakbeen
gelegen huid. Ook op de neus kan er sprake zijn van beperkte subcutis. Ter hoogte
van de neusbrug wordt derhalve geadviseerd om tot op het periost te opereren
en lager op de neus tot op het perichondrium.
Sluiten /
re-excisieSluit defecten waarbij geen plastiek nodig is direct.
Als een plastiek nodig is of een andere reconstructie, wacht dan bij
voorkeur histopathologisch onderzoek af alvorens het defect te sluiten.
Verricht een re-excisie als de tumor reikt tot in de rand of krap
radicaal is verwijderd (< 1 mm). Bij laag-risico SCC kan men
bij krap radicaal ook kiezen voor strikte follow-up. Verricht bij
intermediair en hoog risico een re-excisie als de beoogde histopathologische
marge van ≥ 2 mm niet behaald is.
OperatieverslagNadat excisie heeft plaatsgevonden is een OK-verslag met daarin de prognostische
factoren uit de TNM-classificatie belangrijk, om correcte stadiëring van de
tumor mogelijk te maken.
Dit OK-verslag bevat minstens de volgende items:
- gehanteerde excisiemarge en niveau van excisie (subcutis, fascie);
- lokalisatie van de excisie;
- wijze van sluiting;
- wijze van markering.
RadiotherapieRadiotherapie als primaire
behandeling bij plaveiselcelcarcinoom
biedt genezingskansen > 90%, vergelijkbaar met andere behandelingen.
Radiotherapie kan in bepaalde omstandigheden de voorkeur hebben,
bijvoorbeeld bij tumoren op de lip (T2 tumoren), het vestibulum nasi (en
soms de buitenkant van de neus (ala en neuspunt)) en het oor (gehoorgang),
en bij
vergevorderde tumoren waarbij de morbiditeit van chirurgische excisie onacceptabel hoog
zou zijn.
Sommige locaties hebben een lage
tolerantie voor radiotherapie, bijvoorbeeld de handrug en het onderbeen, en
chirurgische excisie heeft op deze plaatsen de voorkeur. Bij een tumor die invadeert
in kraakbeen of bot (bijvoorbeeld bij oor of neus) heeft chirurgie de
voorkeur, omdat radiotherapie necrose van kraakbeen of bot kan veroorzaken.
Radiotherapie is niet de standaardbehandeling voor
plaveiselcelcarcinoom, maar is een bewezen effectieve behandeling en
kan overwogen worden indien chirurgie niet mogelijk is en/of weefselbesparing belangrijk is voor de functie en/of cosmetiek van de specifieke locatie, zoals in het gelaat en extremiteiten.
SCC op de lip kan worden behandeld met brachytherapie (45-49 Gy in 9-14 fracties).
Kleinere laesies zonder onderliggend kraakbeen of andere kritische structuren
kunnen worden bestraald met
orthovolt, electronen, of VMAT (Volumetric-Modulated Arc Therapy, 40-55 Gy in 10-22 fracties).
Grotere laesies inclusief onderliggend kraakbeen of andere kritische structuren
kunnen worden bestraald met electronen of VMAT (54-70 Gy in 18-35 fracties).
Adjuvante lokale radiotherapie kan worden
overwogen bij plaveiselcelcarcinomen waarbij chirurgisch de beoogde histopathologische marges niet behaald kunnen worden bij re-excisie,
bij lokaal recidiverende tumoren en bij perineurale invasie (orthovolt, elektronen of VMAT, 54-66 Gy in 18-33 fracties).
MOHS micrografische chirurgieBij moeilijk afgrensbare tumoren en/of op locaties waar weefselbesparing belangrijk is voor behoud van functie en/of cosmetiek kan toepassing van
Mohs chirurgie voordelen hebben. Ook in geval van positieve resectiemarges bij eerdere resectie kan micrografische chirurgie overwogen worden
CryochirurgieGezien de mogelijkheid van radicaliteitscontrole
verdient chirurgische excisie ook voor kleine tumoren de voorkeur boven cryochirurgie.
Cryochirurgie kan men enkel bij zeer kleine en laagrisico tumoren overwegen
en zou uitsluitend door clinici met ervaring in cryochirurgie moeten worden
toegepast.
Curettage en coagulatieGezien de mogelijkheid van radicaliteitscontrole
verdient chirurgische excisie ook voor kleine tumoren de voorkeur boven curettage
en coagaluatie. Curettage en coagulatie kan men bij zeer kleine en laagrisico
tumoren overwegen en zou uitsluitend door clinici met ervaring in curettage
en coagulatie moeten worden toegepast. Curettage en coagulatie is niet
geschikt bij recidief tumoren of hoogrisico tumoren. De techniek kan wel worden gebruikt bij uitgebreide
gedissemineerde carcinomen (field cancerization) waarbij er geen gezonde tussenliggende
huid meer over is om primaire excisies te kunnen sluiten. Dit is soms het
geval bij orgaantransplantatiepatiënten. Stuur het curettage materiaal in
voor PA, als daar uitkomt dat het toch gaat om een hoog-risico SCC, bespreek het verdere beleid in een multidisciplinair overleg.
Andere
therapieënBij morbus Bowen of carcinoma in situ kan lokale therapie
(cryotherapie, 5-fluorouracil, imiquimod) worden overwogen. Topisch imiquimod, intralesionaal interferon alfa, intralesionaal/lokaal
5-fluorouracil en topische fotodynamische therapie zijn gecontraïndiceerd bij
de behandeling van het plaveiselcelcarcinoom. Neotigason (acitretine) 1 dd 10-20
mg en nicotinamide 2 dd 500 mg hebben een preventief effect en kunnen worden
voorgeschreven bij patiënten die risico lopen op het krijgen van plaveiselcelcarcinomen
en actinische keratosen.
Antilichamen tegen geprogrammeerde
celdood-1(PD-1)-receptorLibtayo (cemiplimab) is sinds 2019 geregistreerd
voor lokaal gevorderd of gemetastaseerd plaveiselcelcarcinoom, sinds 2021 ook
voor lokaal gevorderd of gemetastaseerd basaalcelcarcinoom. Cemiplimab is een
humaan immunoglobuline G4 (IgG4) monoklonaal antilichaam dat zich bindt aan
de geprogrammeerde celdood-1(PD-1)-receptor en daardoor de interactie voorkómt
tussen de PD-1-receptor en de liganden PD-L1 en PD-L2, die tot expressie kunnen
komen in tumoren of andere cellen in de micro-omgeving van de tumor. Hechting
van PD-1 aan deze liganden zorgt voor de remming van T-cel-proliferatie en secretie
van cytokinen. Door blokkering hiervan maakt cemiplimab T-celrespons mogelijk,
waaronder anti-tumorrespons.
R/ Libtayo (cemiplimab) 350 mg i.v. elke 3 weken
(behoort tot de
dure geneesmiddelen,
kosten circa € 107.596 per jaar).
Transplantatie/immuungecompromiteerde
patiëntenOrgaantransplantatiepatiënten hebben een 65 keer tot 250
keer verhoogd risico op het ontstaan van plaveiselcelcarcinoom van de huid
vergeleken met
de algemene populatie. De plaveiselcelcarcinomen in transplantatiepatiënten
groeien vaak sneller en hebben bovendien een verhoogde kans op metastasering.
Het risico op het ontstaan van een plaveiselcelcarcinoom lijkt afhankelijk van
de levenslange blootstelling (accumulatie) aan UV-straling en de uitgebreidheid
van immunosuppressie.
| • |
Verwijs patiënten al bij opwerking voor orgaantransplantatie
door naar de dermatologie voor voorlichting over het verhoogde
risico op huidkanker, preventieve maatregelen en zelfinspectie.
Eventueel kan dit ook nog in het eerste jaar na transplantatie. |
| • |
Weeg per individuele patiënt die een orgaantransplantatie heeft
ondergaan af of de medicatie omgezet dient te worden. Dit dient te
worden gedaan in nauw overleg tussen dermatoloog en behandelend
orgaanspecialist. |
| • |
Overweeg chemopreventie met systemische retinoïden (acitretine 10-25 mg per
dag) bij immuungecompromitteerde patiënten met multipele
plaveiselcelcarcinomen. |
| • |
Geef specifieke voorlichting en informatie over huidafwijkingen
met bijbehorende instructies over zelfinspectie bij patiënten die
een orgaantransplantatie hebben ondergaan, chronische lymfatische
leukemie hebben of behandeling krijgen middels Hydroxyurea of DMD’s. |
| • |
Kies een follow up schema passend bij de patiënt en diens
kenmerken. Volg het standaard follow-up schema, of dit schema: 2
keer per jaar als er premaligne afwijkingen zijn en 1 keer een NMSC
(non melanoma skin cancer) is vastgesteld. Bij meer dan 1 NMSC 4
keer per jaar. |
Behandeling bij
loco-regionale metastasenEen hoogrisico plaveiselcelcarcinoom kan
locale metastasen geven die niet continu met de primaire tumor zijn ('in-transit'
metastasen). Microscopische metastasen kunnen verwijderd worden door een ruime
chirurgische excisie of kunnen meegenomen worden door adjuvante bestraling van
een ruim veld om de primaire lesie. Dit biedt een hogere genezingskans dan een
krappe marge. Met Mohs' micrografische chirurgie wordt een per continuitatem
groeiende tumor wel verwijderd, maar identificeert men niet de 'in-transit'
micrometastasen. Bij grote, diep infiltrerende plaveiselcelcarcinomen (grote
T2 tumoren, T3 tumoren en T4 tumoren) heeft conventionele chirurgie met ruime
marge daarom de voorkeur. In geval van negatieve histologische groeikenmerken
moet overwogen worden chirurgische excisie te laten volgen door adjuvante radiotherapie.
In een klein percentage van de gevallen (ongeveer 10%) is bij plaveiselcelcarcinomen
van de huid sprake van metastasering naar regionale lymfeklierstations, wat
de kans op overleving voor de patiënt aanzienlijk verkleint. Onder het niveau
van de clavicula betreft dit meestal de lies of de oksel. Boven het niveau van
de clavicula betreft dit meestal de glandula parotis en de diepe halsklieren.
De distributie van regionale lymfekliermetastasen is gerelateerd aan de lokalisatie
van de primaire tumor. De rol van een biopsie van de poortwachterklier is
nog niet duidelijk en wordt niet aanbevolen.
Behandel patiënten met één of meerdere lymfekliermetastasen van een
plaveiselcelcarcinoom middels chirurgische dissectie van het betreffende lymfekliergebied.
Overweeg behandeling met adjuvante radiotherapie bij patiënten met
plaveiselcelcarcinoom met multiple lymfekliermetastasen, lymfekliermetastase(n) met extracapsulaire groei, lymfekliermetastase(n) met een afmeting van ≥ 3 cm of irradicale resectie van lymfekliermetastase(n).
Bespreek behandelopties voor patiënten met (locoregionaal) gemetastaseerd cPCC altijd binnen een gespecialiseerd centrum in een multidisciplinair team met ervaring met deze behandelingen.
Follow-up:Het doel
van een controle na behandeling van de patiënt met een cutaan plaveiselcelcarcinoom
is vroege detectie en behandeling van locale en regionale recidieven ten einde
de overleving van deze patiënten te verbeteren. 95% van de locale recidieven
en metastasen worden ontdekt binnen 5 jaar. Daarnaast bestaat er een kans van
30% op een tweede primair plaveiselcelcarcinoom binnen 5 jaar. Het lijkt daarom
redelijk om voor patiënten met een plaveiselcelcarcinoom deze 5 jaar als maximale
observatietermijn aan te houden. Voor laag-risico SCC is 2 jaar voldoende, voor
intermediair-risico SCC is 3 jaar voldoende. Hoogrisico plaveiselcelcarcinomen
dienen gedurende de eerste 2 tot 3 jaar frequent gecontroleerd te worden.
De controle moet bestaan uit inspectie en palpatie van het behandelde gebied
en de regionale lymfklierstations alsmede inspectie van de gehele huid. In het
dossier van de patient moet dit onderzoek en de resultaten hiervan vermeld worden
(inspectie hele huid; lymfklieren hoofd-hals, oksels, liezen). Laboratoriumonderzoek
en beeldvormend onderzoek moet alleen op indicatie worden verricht.
Aanbevolen follow-up schema's Follow-up schema
laag-risico plaveiselcelcarcinomen:
postoperatieve
controle na 3 maanden
1 keer per 6-12 maanden gedurende de eerste 2 jaar
Follow-up schema
intermediair-risico plaveiselcelcarcinomen:
1 keer per 3-4 maanden gedurende de eerste 2 jaar
1 keer per jaar gedurende
het derde jaar
Follow-up schema
hoog-risico
plaveiselcelcarcinomen:
1 keer per 3-4 maanden gedurende de eerste 2 jaar
1 keer per jaar gedurende het derde, vierde en vijfde jaar
Zelfonderzoek:Patiënten die hiertoe in staat zijn dienen
geïnstrueerd te worden in zelfonderzoek van het litteken, de omgevende huid
en de lymfklieren.
Zelfonderzoek houdt in dat de patiënt de huid om de paar
maanden onderzoekt:
- Terugkeer van de huidkanker in de behandelde huid
(onderzoek van het litteken);
- Zwellingen in de aanpalende regionale klierstations;
- Ontstaan van nieuwe huidkankers elders op het lichaam.
Het zelfonderzoek
dient bij voldoende belichting te worden uitgevoerd. Behalve inspectie, eventueel
met een loep, moet de patiënt ook goed aan het verdachte huidgezwel voelen.
Preventie en voorlichting:
| • |
Informeer de patiënt mondeling en schriftelijk over de diagnose
plaveiselcelcarcinoom. Benoem dat het een potentieel metastaserende
tumor is en dat adequate behandeling nodig is. |
| • |
Bespreek de mogelijke behandelopties, informeer de patiënt over
de procedure, eventuele herstelperiode (denk aan mobiliteit en werkhervatting),
het te verwachten resultaat, mogelijke complicaties, en andere gevolgen,
zoals bijvoorbeeld het litteken. |
| • |
Het plaveiselcelcarcinoom wordt overduidelijke veroorzaakt door
zonlicht en kan dus worden voorkomen door zonbeschermende maatregelen.
Adviseer de patiënt om overmatige zonexpositie te vermijden, beschermende
kleding te dragen, zonnebrandcrèmes met hoge beschermingsfactor (SPF
30) te gebruiken, zonnebanken te vermijden, en te stoppen met roken. |
| • |
Benadruk het belang van zelfcontrole bij patiënten met een plaveiselcelcarcinoom
in het verleden. Instrueer patiënten om zelfinspectie van litteken en
omliggende huid, en locoregionale lymfklieren uit te voeren. |
| • |
Overweeg chemopreventie met systemische retinoïden bij patiënten
met multipele plaveiselcelcarcinomen. Bij patiënten met immunosuppressiva
nagaan of de dosering niet te hoog is; tevens kan Neotigason 1 dd 10-25
mg worden overwogen. |
| • |
Informeer patiënten met uitgebreide actinische keratosen over het
feit dat zij een verhoogd risico hebben op het ontwikkelen van een plaveiselcelcarcinoom.
|
Referenties
| 1. |
NVDV Richtlijn plaveiselcelcarcinoom van
de huid 2010 (PDF). |
| 2. |
NVDV Richtlijn plaveiselcelcarcinoom van
de huid 2018 (PDF)
en samenvatting richtlijn plaveiselcelcarcinoom van de huid 2018
(PDF). |
| 3. |
NVDV Richtlijn plaveiselcelcarcinoom van
de huid 2024 (PDF). |
| 4. |
Elshot YS. Samenvatting richtlijn plaveiselcelcarcinoom
van de huid 2024 (PDF). |
| 5 |
Brantsch KD, Meisner C, Schënfisch B, Trilling
B, Wehner-Caroli J, Rëcken M, et al. Analysis of risk factors determining
prognosis of cutaneous squamous-cell carcinoma: a prospective study.
Lancet Oncol 2008; 9:713-720. |
| 6. |
Amin MB, Greene FL, Edge SB, Compton CC,
Gershenwald JE, Brookland RK, Meyer L, Gress DM, Byrd DR, Winchester
DP. The Eighth Edition AJCC Cancer Staging Manual: Continuing to
build a bridge from a population-based to a more "personalized"
approach to cancer staging. CA Cancer J Clin 2017;67(2):93-99 (PDF). |
| 7. |
Mahul B. Amin, Stephen B. Edge, Frederick
L. Greene, David R. Byrd, Robert K. Brookland, Mary Kay Washington,
Jeffrey E. Gershenwald, Carolyn C. Compton, Kenneth R. Hess, Daniel
C. Sullivan, J. Milburn Jessup, James D. Brierley, Lauri E. Gaspar,
Richard L. Schilsky, Charles M. Balch, David P. Winchester, Elliot
A. Asare, Martin Madera, Donna M. Gress, Laura R. Meyer (Editors).
American College of Surgeons 2017. AJCC Cancer Staging Manual, version
8. Springer Cham, 8 November 2016. ISBN 978-3-319-40617-6. |
| 8. |
Keohane SG, Botting J, Budny PG, Dolan OM,
Fife K, Harwood CA, et a. British Association of Dermatologists’
Clinical Standards Unit. British Association of Dermatologists guidelines
for the management of people with cutaneous squamous cell carcinoma
2020. Br J Dermatol 2021;184(3):401-414. |
| 9. |
Tokez S, Wakkee M, Kan W, Venables ZC, Mooyaart
AL, Louwman M, Nijsten T, Hollestein LM. Cumulative incidence and
disease-specific survival of metastatic cutaneous squamous cell
carcinoma: A nationwide cancer registry study. J Am Acad Dermatol
2022;86(2):331-338. |
| 10. |
Heisel AGU, Vuurboom MD, Daams JG, de Rie MA, Vogt L, van den Born BH, Olde Engberink RHG. The use of specific antihypertensive medication and skin cancer risk: A systematic review of the literature and meta-analysis. Vascul Pharmacol 2023;150:107173. |
| 11. |
Breglio KF, Knox KM, Hwang J, Weiss R, Maas K, Zhang S, Yao L, Madden C, Xu Y, Hartman RI, Wheless L. Nicotinamide for Skin Cancer Chemoprevention. JAMA Dermatol 2025;161(11):1140-1147. |
Author(s):dr. Jan R. Mekkes. Dermatologist, Amsterdam UMC.
Mireille M.D. van der Linden. Dermatologist, Amsterdam UMC.
Yannick
S. Elshot. Dermatologist, Amsterdam UMCen Antoni van Leeuwenhoek ziekenhuis.