Lymfomatoïde lupus erythematosus is een variant van
LE met pseudolymfomateuze infiltraten in het histopathologisch
beeld. De klassieke classificatie van
LE
onderscheidt een acute, subacute en chronische cutane LE. Er zijn ook ongewone
varianten van LE beschreven waaronder de lymfomatoide LE. Klinische presentatie
van deze vorm van LE zit in het spectrum van een CDLE, SCLE of lupus profundus.
De infiltraten kunnen voornamelijk uit B-lymfocyten of T-lymfocyten of een mix
van beide opgebouwd zijn en zijn perivasculair en perifolliculair gelegen. Er
is doorgaans enige grensvlakdermatitis met minimale atrofie te zien. Klinisch
gaat het vaak om geïndureerde erythemateuze plaques op bovenlichaam, nek en
gelaat, soms met lichte schilfering, zonder littekenvorming. ANA is vaak negatief
of laag positief en er zijn verder geen extracutane verschijnselen behalve soms
artritis. De laesies reageren in principe goed op plaquenil en op topicale of
intralesionale corticosteroiden. Hoewel een progressie tot maligne lymfoom extreem
zeldzaam is, wordt alertheid geadviseerd indien de laesies onvoldoende reageren
op de conventionele therapieën.
![Lymfomatoïde lupus erythematosus (click on photo to enlarge) [source: www.huidziekten.nl] Lymfomatoïde lupus erythematosus](../../../images/lymfomatoide-lupus-erythematosus-1z.jpg) |
![Lymfomatoïde lupus erythematosus (click on photo to enlarge) [source: www.huidziekten.nl] Lymfomatoïde lupus erythematosus](../../../images/lymfomatoide-lupus-erythematosus-2z.jpg) |
![Lymfomatoïde lupus erythematosus (click on photo to enlarge) [source: www.huidziekten.nl] Lymfomatoïde lupus erythematosus](../../../images/lymfomatoide-lupus-erythematosus-3z.jpg) |
| lymfomatoide
LE |
lymfomatoide
LE |
lymfomatoide
LE |
DD: cutane discoide lupus erythematosus, M. Jessner,
granuloma faciale, cutaan T-cel lymfoom.
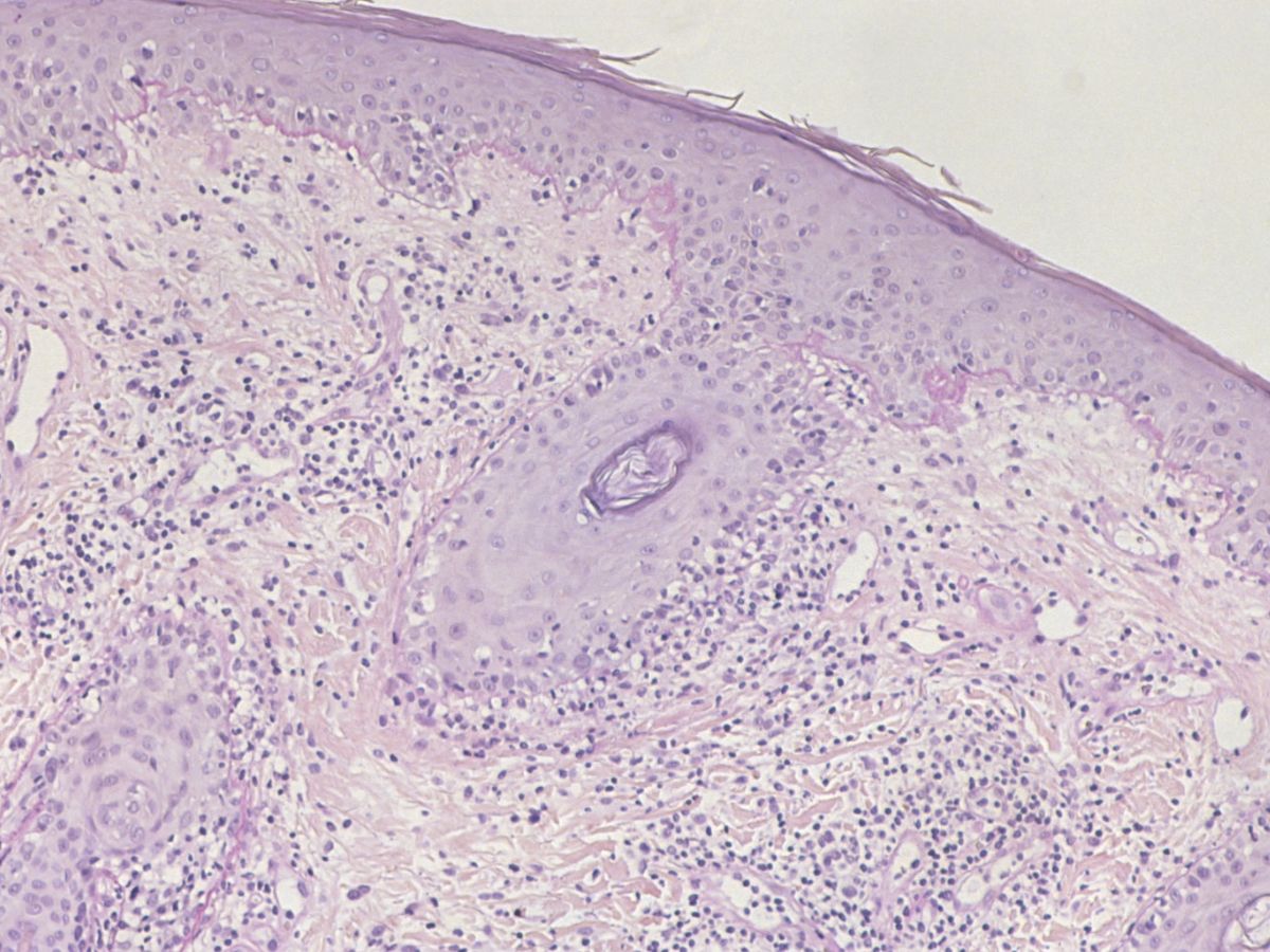
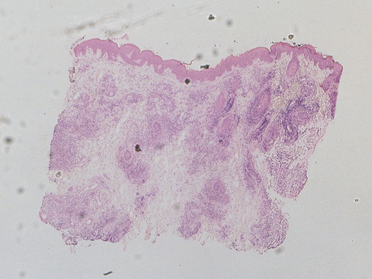
Histopathologisch onderzoek:
Vacuolaire grensvlakcomponent. In de dermis bevinden zich rondom de vaten en
adnexstructuren dichte lymfocytaire infiltraten opgebouwd uit CD3 positieve
T-lymfocyten en CD20 positieve B-lymfocyten met focaal de neiging tot kiemcentrumvorming.
Immunofluorescentie-onderzoek toont geringe discontinue granulaire deposities
van IgM en C3 langs de basale membraan.
Therapie:
R/ Plaquenil 1 dd 400 mg, bij effect afbouwen naar 1 dd 200 mg.
Referenties
| 1. |
Magro CM, Crowson AN, Harrist TJ. Atypical
lymphoid infiltrates arising in cutaneous lesions of connective
tissue disease. Am J Dermatopathol 1997;19:446. |
| 2. |
Crowson AN, Magro C. The cutaneous pathology
of lupus erythematosus: a review. J Cutan Pathol 2001;28(1):1-23. |
Author(s):Biljana Zupan-Kajcovski. Dermatoloog,
Huid- en Melanoom Centrum Antoni van Leeuwenhoek, Amsterdam.
dr. Jan R. Mekkes.
Dermatologist, Amsterdam UMC.