SARCOIDOSE home ICD10: D86.3

Sarcoïdose is een granulomateuze multisysteem ziekte die zich meestal presenteert door bihilaire lymfadenopathie van de longen, longinfiltratie, oogontstekingen en huidontstekingen. De oorzaak is in laatste 100 jaar niet duidelijk geworden. Er wordt gedacht dat de granulomateuze ontsteking ontstaat door een immunologische reactie op de continue presentatie van slecht afbreekbare antigenen. Het laatste wordt ondersteund door de inductie van een granulomateuze reactie op infectieuze agentia zoals mycobacteriën, parasieten maar ook op metalen als beryllium en aluminium.

Sarcoidose Sarcoidose Sarcoidose
sarcoidose sarcoidose sarcoidose

Sarcoidose Sarcoidose Sarcoidose
sarcoidose in litteken sarcoidose sarcoidose

Sarcoidose Sarcoidose Sarcoidose
sarcoidose sarcoidose sarcoidose

Sarcoidose Sarcoidose Sarcoidose
bot sarcoidose long sarcoidose PA sarcoidose


Epidemiologie:
De exacte incidentie en prevalentie van sarcoïdose zijn niet bekend met name omdat de ziekte volledig subklinisch kan verlopen. Er wordt verondersteld op basis van populatie-screeningen dat 30-60% een symptomatisch beloop heeft. De prevalentie wordt echter geschat op zo'n 10-60 per 200.000 in de meeste Europese landen. In landen met een hoge tuberculose-prevalentie en een beperkte gezondheidszorg bestaan in het geheel geen betrouwbare data. Er zijn wat betreft de prevalentie nogal wat geografische verschillen en ook verschillen in ras. De ziekte beloopt acuter en ernstige bij zwarten terwijl de ziekte bij blanken vaker een asymptomatisch of chronisch beloop heeft.
Voorts is clustering van ziekte gerapporteerd bij patiënten die dichtbij elkaar vandaan wonen en binnen bepaalde beroepsgroepen zoals brandweerlieden en werknemers binnen de gezondheidszorg. Er lijkt ook een seizoensinvloed te bestaan. In Griekenland wordt 70% van de sarcoïdose gevonden in het voorjaar tussen maart en mei. Dit is ook voor andere landen, zoals Spanje en Japan, gerapporteerd. Er is uitgebreid onderzoek verricht of er een relatie bestaat tussen sarcoïdose en micro-organismen. Hieruit zijn tot op heden geen harde bewijzen naar voren gekomen, potentiële kandidaten zijn mycobacteriën en Propionibacterium species. Van de laatste bacterie werd meer DNA gevonden dan in lymfeklieren van patiënten met sarcoïdose dan in klieren van patiënten met een maligniteit.
Sarcoïdose presenteert zich in 70-90% van de gevallen tussen het 10e en 40e levensjaar. Er bestaan verschillen aanwijzingen dat sarcoïdose een genetische achtergrond heeft. Ten eerste bestaan zoals genoemd raciale verschillen met betrekking tot ernst en prevalentie en incidentie. Ten tweede bestaat een verhoogde kans op de ontwikkeling van sarcoïdose wanneer de ziekte voorkomt bij eerste of tweede graads verwanten. Familiaire clustering vindt plaats bij ongeveer 5-16% van de patiënten. Monozygote tweelingen ontwikkelen 2-4 maal vaker sarcoïdose dan dizygote tweelingen. Ten derde werden bij 644 Duitse families met behulp van satellietmakers een linkage gevonden op een deel van het MMHC op chromosoom 6 gevonden. Dit is in overeenstemming met voorgaande studies waarin associaties werden aangetoond tussen klasse II moleculen en sarcoïdose. Sommige allelen zijn beschermend terwijl andere met de vatbaarheid voor ziekte geassocieerd zijn. Het ontbreken van een duidelijk genetisch patroon suggereert dat sarcoïdose een polygene aandoening is die ontstaan na interactie met omgevingsfactoren. Verder genetische studies zijn nodig om de relatie aan te tonen tussen de genetisch predispositie en de ernst van de ziekte.

Histologie:
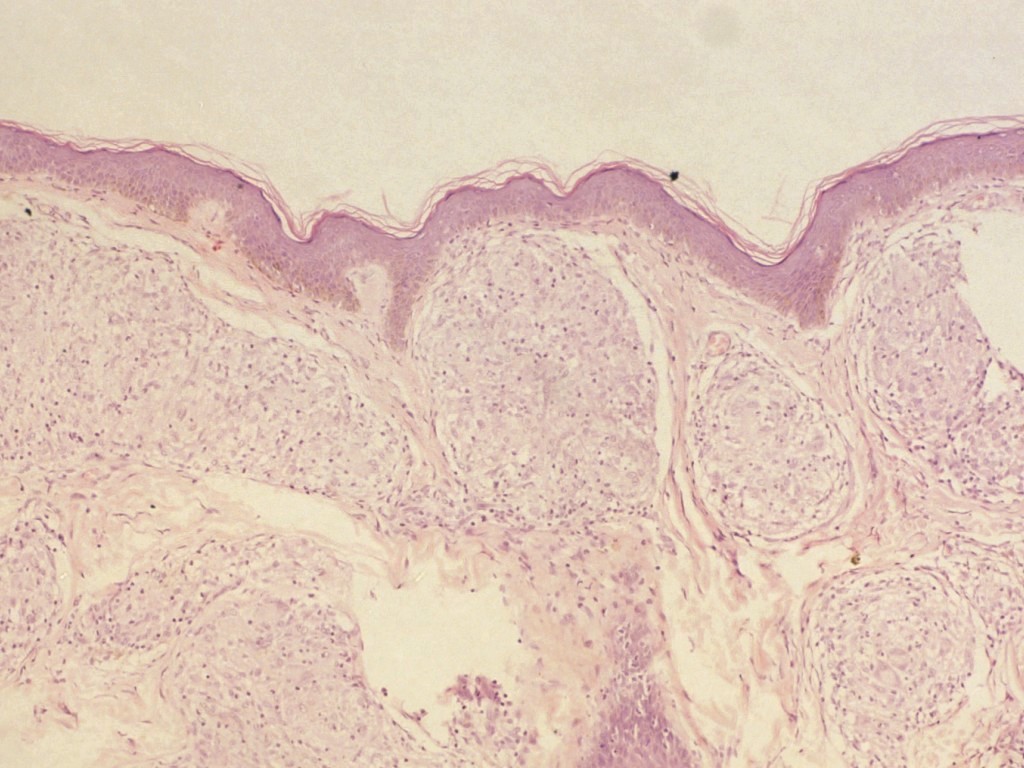
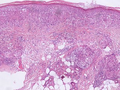
De karakteristieke histopathologie van sarcoïdose zijn niet-verkazende granulomen in het biopt. Een granuloom is een chronische ontstekingsreactie die gevormd wordt door een ophoping van monocyten, lymfocyten, macrofagen, en fibroblasten. In een granuloom worden verder twee typische cellen aangetroffen. Ten eerste aggregaten van geactiveerde macrofagen die een plaveisel-epitheelcelachtig uiterlijk hebben en daarom epithelioid cellen heten. Granulomen verdwijnen gewoonlijk maar kunnen ook aanleiding geven tot fibrose door de synthese van fibroblast stimulerende factoren. Bij patiënten met long sarcoïdose worden granulomen gevonden in alveolaire septa, in de wanden van de bronchiën en in de pulmonale bloedvaten.

Histologie sarcoidose
ingescande coupe (zoom)

Bron hoge resolutie PA-foto: Kevin Kwee en Afdeling Pathologie MUMC. Klik op de afbeelding om in te zoomen.


Bij sarcoïdose worden in het perifere bloed lage aantallen CD4 positieve T-cellen gevonden terwijl in de longspoeling (broncheoalveolaire lavage (BAL) hoge aantallen CD4 positieve T-cellen gevonden hetgeen duidt op verplaatsing van compartiment. De alveolaire CD4+ T-cellen brengen een Th1 patroon tot expressie en hebben een hoge spontane IL-2 secretie dit in tegenstelling tot perifere CD4+ T-cellen. De T-lymfocyten brengen oligoclonaal T-cel receptoren tot expressie wat kan duiden op een lokaal antigeen-gedreven T-cel respons. De IL-1 release door alveolaire macrofagen is geassocieerd met een slechtere prognose terwijl de afgifte van TGF-ß is geassocieerd met een betere prognose. Alveolaire macrofagen zijn eveneens actieve producenten van chemokines en cytokines zoals TNF-a.

Kliniek:
De kliniek van sarcoïdose is vanzelfsprekend sterk afhankelijk van de ernst van betrokkenheid van de verschillende organen. Het algemene klachtenpatroon bij sarcoïdose omvat: vermoeidheid, zwakte, malaise, koorts en gewichtsverlies. In het beloop van sarcoidose bestaat vrijwel altijd een periode met longbetrokkenheid. Dit uit zich met name in droge hoest, dyspnoe en retrosternale pijn. Het meest kenmerkend is de bihilaire lymfadenopathie, daarnaast komt parenchymale longbetrokkenheid voor wat het zuurstoftransport over de alveolaire membraam belemmert. Vele organen buiten de longen kunnen betrokken worden bij deze multi-systeemziekte. De percentages die gerapporteerd zijn in de literatuur variëren sterk. Het laatste hangt vooral af van de bestudeerde populatie, het geslacht en de manier waarop de potentieel aangedane organen zijn onderzocht. De meest frequent aangedane organen naast de longen zijn: de huid, ogen reticuloendotheliale system, spier en skelet, exocriene klieren, hart, nieren en centraal zenuwstelsel. In de huid uit het zich als papels, noduli, plaques of tumoren. Karakteristiek zijn kleine papeltjes rond de neus. Ook het Köbner fenomeen komt voor bij sarcoïdose. Een granulomateuze ontsteking van een orgaan kan leiden tot een voorbijgaande of persisterende functiestoornis. Het laatste hangt vaak samen met de ontwikkeling van fibrose. Granulomen produceren vele groeifactoren waaronder een aantal fibroblast activerende groeifactoren zoals vermeld in de immuunpathogenese. Het is dan een uitdaging om de ontsteking geïnduceerde fibrose te voorkomen.

Orgaanlocalisaties:
- Longen 95% (bihilaire lymfadenopathie, restictieve en obstructieve ziekte, longfibrose)
- Bovenste luchtwegen 5-10% (larynx en trachea obstructie, sinusitis)
- Oog 15-25% (uveïtis, conjunctivitis, neuritis optica, lacrimaal klier ontsteking, conjunctivitis)
- Huid 20% (erythema nodosum, papels, alopecia, lupus pernio, plaques)
- Lever 40-70% (hepatomegalie, geelzucht)
- Hart 5-10% (arrhytmie, cardiomyopathie)
- Centraal zenuwstelsel (5-10%) (craniale neuropathie, Bell’s palsy, aseptische meningitis, polyneuropathie)
- Speekselklieren (10%) (speekselkliervergroting, sicca syndroom)
- Hematologie (30-50%) (lymfadenopathie, splenomegalie, anaemie, lymfopenie, trombocytopenie)
- Gewrichten/spier (10-20%) (polyartrtitis, myopathie)
- Endocrien (< 10%) (hypopituitarisme, diabetes insipidus)
- Metabool 10-20% (hypercalciemie, osteoporose?)
- Renaal < 5% (nierstenen, nefrocalcinose)
- Bot <1% (ophelderingen, lacy-like appearance, destructie)

Diagnostiek:
Centraal in de diagnose staat het histo-pathologisch onderzoek waarbij epithelioid granulomen aangetoond moeten worden. Deze zijn vrijwel altijd niet-necrotiserend, necrose wordt slechts bij uitzondering gevonden. Mycobacteriele infectie en schimmelinfecties gaan gewoonlijk wel gepaard met necrotiserende granulomen. Er bestaat een uitgebreide differentiaal diagnose met betrekking tot granuloom vorming. Naast infectieuze oorzaken moet er rekening mee gehouden worden dat bij maligne tumoren zoals bij de ziekte van Hodgkin, mammacarcinoom en longtumoren een granulomateuze reactie kan optreden. Symptomen zoals nachtzweten, fors gewichtsverlies en koorts noodzaken tot uitsluiten van een infectie of maligniteit.

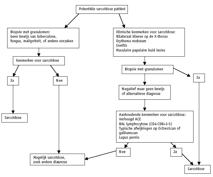
Er bestaat geen specifieke test voor de diagnose sarcoidose. In figuur 1 wordt het diagnostisch stappenplan weergegeven wanneer een verdenking bestaat op sarcoidose. Ook hier wordt het verkrijgen van een histologische bevestiging centraal gesteld. In dit schema is naast de bekende Galliumscan om granulomateuze haarden op te sporen ook de zogenaamde OctroScan geplaatst. Dit is een zeer gevoelige methode om granuloom lokalisaties op te sporen voor een biopsie en om vast te stellen hoe uitgebreid het ziekteproces is. Ook een CT scan van de thorax kan bijdragen in de diagnose omdat hiermee ook mediastinale klieren, peribroncheale afwijkingen en subpleurale micronodiuli zichtbaar gemaakt kunnen worden. Veel verwarring bestaat omtrent het zogenaamde ACE (angiotensine converting enzyme) gehalte. Dit is verhoogd bij ongeveer 50-70% van de patiënten met sarcoidose en vooral bij de acute vorm. Een verhoogd ACE gehalte is niet specifiek en komt voor bij een groot aantal andere ziekten zoals de ziekte van Hodgkin, tuberculose, de ziekte van Gaucher etc. Als laatste wordt in 10-20% van de patiënten een verhoogd calciumgehalte gevonden. Dit wordt veroorzaakt doordat in een granuloom 25-hydroxy-calciferol (vitamine D) gehydrolyseerd wordt tot 1,25-dihydroxycalciferol, de actieve vitamine D metaboliet, die leidt tot een verhoogde calciumresorptie uit de darm en botten.

Diagnostiek bij sarcoidose

Laboratoriumdiagnostiek bij verdenking op sarcoidose:
Angiotensine converting enzyme (ACE), calcium, sCD25 (bloed), hemoglobine, MCV, vitamine D 1.25-OH, vitamine D 25-OH (totaal D2+D3), X-thorax. Optioneel (longarts): ECG, CT-scan, Galliumscan, Octroscan, spirometrie zonder reversibiliteit + diffusie.

Sarcoidose van de huid:
Bij gemiddeld zo'n 20-25% van de patiënten met sarcoidose is de huid aangedaan. De huidlesie die het sterkst geassocieerd is met sarcoidose is erythema nodosum. Dit kan gevonden worden tijdens het beloop van sarcoidose, maar ontstaat echter vaker bij het begin van de ziekte. De huidlesies kunnen worden geklassificeerd als specifiek en niet-specifiek, waarbij de specifieke laesies granulomateus zijn en de niet-specifieke reactief. Specifieke sarcoidlesies manifesteren zich maculopapuleus, noduli, plaques, subcutane noduli, littekeninfiltratie en als lupus pernio. Er bestaat geen relatie met de ernst of uitgebreidheid van ziekte, behalve dat erythema nodosum gezien wordt bij een vorm van sarcoïdose die zelflimiterend is.
Chronische huidsarcoïdose manifesteert zich als niet pijnlijke en niet-jeukende plaques en subcutane noduli rond de haarlijn, oogleden, oren, neus, mond en de strekzijde van de extremiteiten. Annulaire plaques komen voor op het voorhoofd en leiden tot litteken en alopecia. Noduli worden later in het ziekte proces gevonden. Oude littekens kunnen ook na jaren geïnfiltreerd worden bij sarcoidose. Een veranderd litteken kan duiden op activiteit van de sarcoidose. De reden van infiltratie is onbekend. Lupus pernio is de meest karakteristieke huidlesie bij sarcoidose en duidt op fibrose.

Sarcoidose
sarcoidose


Therapie:
De behandeling van sarcoïdose hangt sterk af of er vitale organen aangedaan zijn. Bihilaire lymfadenopathie bijvoorbeeld is geen behandelingsindicatie zolang er geen parenchymale stoornissen bestaan met een ernstige diffusiestoornis. Gelimiteerde sarcoidose van de huid kan behandeld worden met topicale en intralesionale steroïden. Ook intralesionaal chloroquin per maand is beschreven. Een uitgebreide huidbetrokkenheid kan worden behandeld met systemische therapie. Verder wordt een behandeling aangeboden aan patiënten met neurosarcoïdose, betrokkenheid van het hart, nieren en ogen en bij hypercalciemie. In deze behandeling staan corticosteroïden nog steeds centraal.

R/ lokale corticosteroïden klasse IV 2 keer per week onder occlusie.
R/ intralesionale corticosteroïden elke 3-4 weken.
R/ prednison 0.5-1.0 mg/kg, bij effect afbouwen naar 10 mg per dag, en daarna om de dag.
R/ chloroquin 250-750 mg per dag, maximaal 3.5 mg/kg/dag.
R/ hydroxychloroquine 200-400 mg per dag, maximaal 6.5 mg/kg/dag.
R/ methotrexate 7.5-25 mg per week.
R/ tetracyclinen: doxycycline 1 dd 100-200 mg, minocycline 1 dd 200 mg, tetracycline 4 dd 250 mg.
R/ thalidomide 50-400 mg per dag.
R/ infliximab 5-10 mg/kg intraveneus, week 0, 2, 6 en daarna elke 8 weken (eventueel aanpassen naar 4-12 weken).
R/ JAK inhibitors (off-label, case-reports en kleine studies): tofacitinib 2 dd 5 mg of 1 dd 11 mg (vertraagde afgifte) gedurende 3 maanden, daarna 1 dd 5 mg. Of baricitinib 1 dd 4 mg.
R/ ruxolitinib 2 dd 5-10 mg.

In onderstaande tabel zijn verschillende systematische therapieën opgenomen die gebruikt worden bij de behandeling van sarcoïdose. Wel dient steeds in aanmerking genomen te worden dat er tot nu toe slechts enkele gecontroleerde studies verricht zijn. In een CME artikel in de JAAD (Haimovic A. et al, 2012) is een algoritme opgenomen.


Systemische therapie voor sarcoidose (afgeleid van Baughman et al. Lancet 2003):

Medicijn Gangbare dosering Gewone toxiciteiten Opmerkingen
Cortico-steroïden:
Prednison
Prednisolon
Begin: 20-40 mg dagelijks
Handhaven: 5-10 mg dagelijks
Of om de dag
Diabetes, hypertensie, osteoporose, slapeloosheid, verhoogd risico van infectie Meest bestudeerde medicijn voor sarcoidose.
Anti-malaria middelen
Chloroquine
Hydroxy-chloroquine
Chloroquine: 100 mg dagelijks
Hydroxy-chloroquine: 200-400 mg per dag
Misselijkheid
Retina toxiciteit
Geschikt voor huidziekte en hyper-calciemia.
Tetracycline
Minocycline
Tetracycline 3 dd 500 mg
Minocycline 1 dd 200 mg
Maag darm klachten Heeft lang nodig 3-6 maanden om effectief te worden.
Methotrexaat 10-15 mg per week; aangepaste dosering voor toxiciteit Misselijkheid, Neutropenia, Hepato-toxiciteit, Pulmonary fibrose (zeldzaam) Geschikt voor chronische sarcoidose. Heeft 6 maanden nodig om effectief te worden.
Azathioprine 10-150 mg dagelijks; aangepaste dosis voor toxiciteit Misselijkheid
Neutropenia
Minder bestudeerd dan methotrexaat. Vaker neutropenie en misselijkheid dan bij methotrexaat.
Pentoxifylline 400-1200 mg dagelijks; aangepaste dosering voor toxiciteit Misselijkheid Gelimiteerd gebruik voor acute ziekte.
Thalidomide 50-200 mg dagelijks; aangepaste dosering voor toxiciteit Slaperigheid, Teratogeen, Misvormingen, Constipatie, Perifere neuropathie Meest geschikt voor huidziekte.
Minder effectief voor longziekte.
Cyclo-fosfamide Oraal 50-150 mg per dag
Intraveneus slag: 500-1500 mg elke 2-4 weken; aangepaste dosering voor toxiciteit
Neutropenie
Misselijkheid
Blaas-ontsteking
Kanker-verwekkend
Effectief.
Door toxiciteit gebruik beperkt tot hardnekkige gevallen.
Infliximab 5 mg/kg intraveneus, week 0, 2, 6 en daarna elke 8 weken (eventueel aanpassen naar 4-12 weken) Verhoogde kans op infectie, vooral tuberculose Allergische reactie op infuus.
Weinig data over effectiviteit.
Weinig informatie over dosering.

Bron: van Hagen PM. Sarcoidose. In: Nanninga PB (ed.). OnDERMeer, Novartis, hfdst 10, pp 60-65.


patientenfolder



SARCOIDOSE, MACRONODULAIR home ICD10: D86.3



SARCOIDOSE, MICRONODULAIR ICD10: D86.3



SARCOIDOSE, MULTIPELE ORGANEN ICD10: D86.8



SARCOIDOSIS, TYPE ANGIOLUPOID BROCQ PAUTRIER (Angiolupoid) home ICD10: D86.3



SARCOIDOSIS, TYPE LUPUS PERNIO home ICD10: D86.3



Referenties
1. van Hagen PM. Sarcoidose. In: Nanninga PB (ed.). OnDERMeer, Novartis, hfdst 10, pp 60-65.
2. Haimovic A, Sanchez M, Judson MA, Prystowsky S. Sarcoidosis: a comprehensive review and update for the dermatologist: part I. Cutaneous disease. J Am Acad Dermatol 2012;66(5):699.e1-18. PDF
3. Haimovic A, Sanchez M, Judson MA, Prystowsky S. Sarcoidosis: a comprehensive review and update for the dermatologist: part II. Extracutaneous disease. J Am Acad Dermatol 2012;66(5):719.e1-10. PDF
4. Talty R, Damsky W, King B. Treatment of cutaneous sarcoidosis with tofacitinib: A case report and review of evidence for Janus kinase inhibition in sarcoidosis. JAAD Case Rep 2021;16:62-64.
5. Hwang E, Abdelghaffar M, Shields BE, Damsky W. Molecularly Targeted Therapies for Inflammatory Cutaneous Granulomatous Disorders: A Review of the Evidence and Implications for Understanding Disease Pathogenesis. JID Innov 2023;3(5):100220.
6. Toriola SL, Satnarine T, Zohara Z, Adelekun A, Seffah KD, Salib K, Dardari L, Taha M, Dahat P, Penumetcha SS. Recent Clinical Studies on the Effects of Tumor Necrosis Factor-Alpha (TNF-α) and Janus Kinase/Signal Transducers and Activators of Transcription (JAK/STAT) Antibody Therapies in Refractory Cutaneous Sarcoidosis: A Systematic Review. Cureus 2023;15(9):e44901.
7. Talty R, Damsky W, King B. Treatment of cutaneous sarcoidosis with tofacitinib: A case report and review of evidence for Janus kinase inhibition in sarcoidosis. JAAD Case Rep 2021;16:62-64.
8. Scheinberg M, Maluf F, Wagner J. Steroid-resistant sarcoidosis treated with baricitinib. Ann Rheum Dis 2020;79(9):1259-1260.
9. Wei JJ, Kallenbach LR, Kreider M, Leung TH, Rosenbach M. Resolution of cutaneous sarcoidosis after Janus kinase inhibitor therapy for concomitant polycythemia vera. JAAD Case Rep 2019;5(4):360-361.


Author(s):
dr. Jan R. Mekkes. Dermatologist, Amsterdam UMC.

03-01-2024 (JRM) - www.skin-diseases.eu Terug naar homepagina



Diagnosis codes:
ICD10 D86.0 Sarcoïdose van long
ICD10 D86.0 Sarcoidosis of lung
SNOMED 24369008 Pulmonary sarcoidosis
DBC 28 spacer Geen dermatologische diagnose

ICD10 D86.1 Sarcoïdose van lymfeklieren
ICD10 D86.1 Sarcoidosis of lymph nodes
SNOMED 64757003 Lymph node sarcoidosis
DBC 13 spacer Inflammatoire dermatosen

ICD10 D86.3 Sarcoïdose van huid
ICD10 D86.3 Sarcoidosis of skin
SNOMED 55941000 Cutaneous sarcoidosis
DBC 13 spacer Inflammatoire dermatosen

ICD10 D86.3 Sarcoïdose van huid: angiolupoid type
ICD10 D86.3 Sarcoidosis of skin: angiolupoid type
SNOMED 91259005 Sarcoidosis, angiolupoid type
DBC 13 spacer Inflammatoire dermatosen

ICD10 D86.3 Sarcoïdose van huid: lupus pernio type
ICD10 D86.3 Sarcoidosis of skin: lupus pernio type
SNOMED 72470008 Sarcoidosis, lupus pernio type
DBC 13 spacer Inflammatoire dermatosen

ICD10 D86.3 Sarcoïdose van huid: nodulair type
ICD10 D86.3 Sarcoidosis of skin: nodular type
SNOMED 111937006 Sarcoidosis, nodular type
DBC 13 spacer Inflammatoire dermatosen

ICD10 D86.8 Sarcoïdose van overige en gecombineerde lokalisaties
ICD10 D86.8 Sarcoidosis of other and combined sites
SNOMED 31541009 Sarcoidosis
DBC 13 spacer Inflammatoire dermatosen

ICD10 D86.8 Sarcoïdose van overige en gecombineerde lokalisaties: Heerfordt's syndroom
ICD10 D86.8 Sarcoidosis of other and combined sites: Heerfordt's syndrome
SNOMED 64757003 Heerfordt's syndrome
DBC 13 spacer Inflammatoire dermatosen

ICD10 D86.9 Sarcoïdose, niet gespecificeerd
ICD10 D86.9 Sarcoidosis, unspecified
SNOMED 31541009 Sarcoidosis
DBC 13 spacer Inflammatoire dermatosen