PLASMACELLEN IN DE HUID home ICD10: n.v.t.

Plasmacellen (plasma cells) in de huid kunnen een hint geven richting een bepaalde oorzaak, bijvoorbeeld infecties zoals lues of Borrelia (Lyme disaese) of inflammatoire aandoeningen zoals balanitis van Zoon (balanitis plasmocellularis) en mucous membrane plasmocytosis. Bij zeer veel plasmacellen denken aan een plasmacel leukemia cutis. Zie verder de tabel met huidziekten waarbij plasmacellen in de huid kunnen voorkomen.

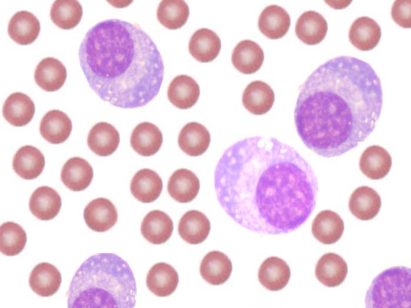
Plasmacellen Plasmacellen Plasmacellen
plasmacellen plasmacytoma plasmacytoma

Foto's: Ayman Qasrawi en Michael Bonert (Nephron) - Wikimedia (Creative Commons License 1.0 / 3.0).


huidaandoeningen waarbij plasmacellen voorkomen:
Infectieus
- lues
- andere SOA
- Borrelia
- chronische folliculitis
- lepra
- atypische mycobacteriën
- diepe mycose
- tuberculose
- Leishmaniasis

Niet-infectieus
- systemische lupus erythematodes
- sclerodermie
- morfea
- MCTD
- pseudolymfoom
- rosacea
- balanitis plasmocellularis
- mucous membrane plasmocytosis
- necrobiosis lipoidica
- cutane amyloidosis
- lichen nitidus
- lichen planus
- anetodermie
- systemische plasmocytosis
- cutane plasmocytosis
- cutaneous plasmocytosis with perineural involvement
- chronisch contacteczeem
- fotosensitef eczeem
- vasculitis

Neoplastisch
- plaveiselcelcarcinoom
- actinische keratose
- erythroplasie van Queyrat
- maligne melanoom
- syringocystadenoma papilliferum
- morbus Paget
- Kaposi sarcoma
- mycosis fungoides
- lymphoplasmocytic lymphoma
- Waldenström's macroglobulinemie
- plasmocytoma (ziekte van Kahler)
  - primair cutaan
  - secundair cutaan
  - plasma cell leukemie met infiltraten in de huid spacer



Referenties
1. Torres SM, Sanchez JL. Cutaneous plasmocytic Infiltrates. Am J Dermatopathol 1988;10:319-329.


Author(s):
dr. Jan R. Mekkes. Dermatologist, Amsterdam UMC.

31-05-2023 (JRM) - www.skin-diseases.eu Terug naar homepagina