ANETODERMIE / ANETODERMIA MACULOSA home ICD10: L90.9

Anetodermie (anetodermia, maculaire atrofie, anetodermia maculosa, anetoderma maculosa cutis, atrophia maculosa cutis, dermatitis atrophicans maculosa) is een huidafwijking bestaande uit circumscripte 1-2 cm grote weke huidkleurige of blauw-witte laesies, meestal boven het niveau van de huid uitpuilend (anetos: slap), maar ze kunnen ook juist verzonken zijn. Bij palpatie zacht en gemakkelijk in te drukken, soms is er het knoopsgatfenomeen. De atrofische laesies variëren in aantal van een paar tot een honderdtal. Ze ontstaan in weken-jaren en kunnen uiteindelijk centimeters groot worden. Ze kunnen conflueren. Voorkeurslokaties: romp, nek en bovenste extremiteiten. Hoofdhuid, handpalmen, voetzolen, en slijmvliezen worden meestal gespaard.

Anetodermie berust op aantasting van de dermale elastine vezels, die gefragmenteerd, verkort of afwezig zijn, idiopathisch (Schweninger-Buzzi) of tengevolge van een inflammatoir proces (Jadassohn-Pellizari type). Het is niet bekend waarom de elastinevezels kapot gaan (mogelijk defect in elastine synthese; ongecontroleerde productie van elastolytische enzymen; verlies van elastolyse enzym remmers; elastofagocytose; secundaire degeneratie van elastische vezels als gevolg van lokale ischemie). De collageenvezels geven de stevigheid aan de huid en bepalen de maximale uitrekbaarheid, de elastine vezels geven de elasticiteit aan de huid. Gaan de elastine vezels verloren dan ontstaan deuken of uitpuilingen. Het knoopsgatfenomeen is het fenomeen dat men ter plaatse de huid kan indrukken en in de diepte een soort opening in de vaste dermis naar het subcutane vet voelt, als een knoopsgat.
Epidemiologie: onbekend, waarschijnlijk komt secundaire anetodermie meer voor dan primaire. In centraal Europa vaker dan in Noord Amerika wat gepaard blijkt te gaan met acrodermatitis chronica atrophicans. Dit suggereert een relatie met Borrelia. Familiaire anetodermie is beschreven in 12 case-reports. De overerving is onbekend. Leeftijd: tussen 15 en 40 jaar. Geslacht: vaker bij vrouwen dan mannen.

Anetodermie, anetodermia Anetodermie, anetodermia Anetodermie, anetodermia
anetodermie na CDLE anetodermie na CDLE anetodermie

Anetodermie, anetodermia Anetodermie, anetodermia Anetodermie, anetodermia
anetodermie anetodermie anetodermie


DD: mid-dermale elastolyse, pseudoxanthoma elasticum, elastosis perforans serpiginosa, post-traumatische littekens, cutis laxa, insectenbeten, collagenoma, focale dermale hypoplasie syndroom (Goltz-Gorlin). Zie onderstaande tabel.


Disorders of elastic tissue (Bron: Bolognia 2012):
Condition Clinical findings Site of predilection Pathology
Anetoderma Multiple circumscribed areas of flaccid skin; lesions are often elevated (protruding), but can be macular or depressed Usually on trunk Focal or complete loss of elastic tissue in the papillary and/or mid-reticular dermis
Mid-dermal elastolysis Diffuse areas of fine wrinkling and occasional perifollicular papules in middle-aged women Trunk, arms and lateral neck Selective loss of elastic fibers within the mid dermis in a band-like pattern
Pseudoxanthoma elasticum Yellowish coalescing skin papules, 'cobblestoning', and redundant folds in flexural sites; associated ocular and cardiovascular involvement Lateral neck, axillae, and groin; scars Calcified and clumped elastic fibers in the mid dermis
Cutis laxa Loose, sagging skin folds resulting in prematurely aged appearance. Hereditary or acquired. Internal organ involvement, e.g. pulmonary, in hereditary form Eyelids, cheeks, neck, shoulder girdle and abdomen Diminished and fragmented elastic fibers throughout the dermis
Elastosis perforans serpiginosa Small keratotic papules arranged in arcuate or serpiginous patterns. Association with various syndromes (Down syndrome being the most frequent) and with penicillamine treatment Lateral neck and antecubital fossae Thickened elastic fibers are extruded from the dermis through a transepidermal channel


Indeling anetodermie:
Primair
(geen oorzaak)
- Schweninger-Buzzi type: niet voorafgegaan door een inflammatoir proces
- Jadassohn-Pellizari type: voorafgegaan door een inflammatoir proces
Secundair
(wel een oorzaak)
- secundair aan een huidziekte (bijvoorbeeld CDLE)
- secundair aan een systemische ziekte (bijvoorbeeld TBC of HIV infectie)


Er is sprake van primaire anetodermie wanneer er geen onderliggende geassocieerde ziekte wordt gevonden. Men spreekt van het Jadassohn-Pellizari-type wanneer de anetodermie vooraf is gegaan door erythemateuze of urticariële laesies. Bij het Schweninger-Buzzi-type zou de anetodermie niet worden voorafgegaan door andere huidafwijkingen. Dit onderscheid lijkt echter meer van historisch dan van klinisch belang, aangezien bij één patiënt beide typen anetodermie naast elkaar kunnen bestaan en er geen verschillen in histologie of prognose worden gevonden (ook bij het Schweninger-Buzzi-type kan histologisch inflammatie zichtbaar zijn).

Secundaire anetodermie is geassocieerd met auto-immuunziekten, inflammatoire huidziekten, cutane infecties, huidneoplasieën en gebruik van geneesmiddelen (zie onderstaande tabel).

Familiaire anetodermie is zeldzaam. In sommige gevallen is het geassocieerd met bot-, neurologische en oogafwijkingen. De pathogenese is onduidelijk.


Oorzaken van secundaire anetodermie (Bron: Bolognia 2012):
Infecties varicella, folliculitis, syphilis, molluscum contagiosum, tuberculosis, lepra, HIV-infectie, acrodermatitis chronica atrophicans, hepatitis B vaccinatie
Medicatie penicillamine
Inflammatoir acne vulgaris, mastocytosis, lichen planus, granuloma annulare, juveniel xanthogranuloma, sarcoidose, lymphocytoma cutis, prurigo nodularis, nodulaire amyloidosis
Auto-immuun discoide LE, subacute LE, systemische lupus erythematosus, antiphospholipiden syndroom
Tumoren pilomatricoma, melanocytaire naevi, dermatofibroma, involuted infantile hemangioma, plasmacytoma, immunocytoma, xanthoma


Diagnostiek:
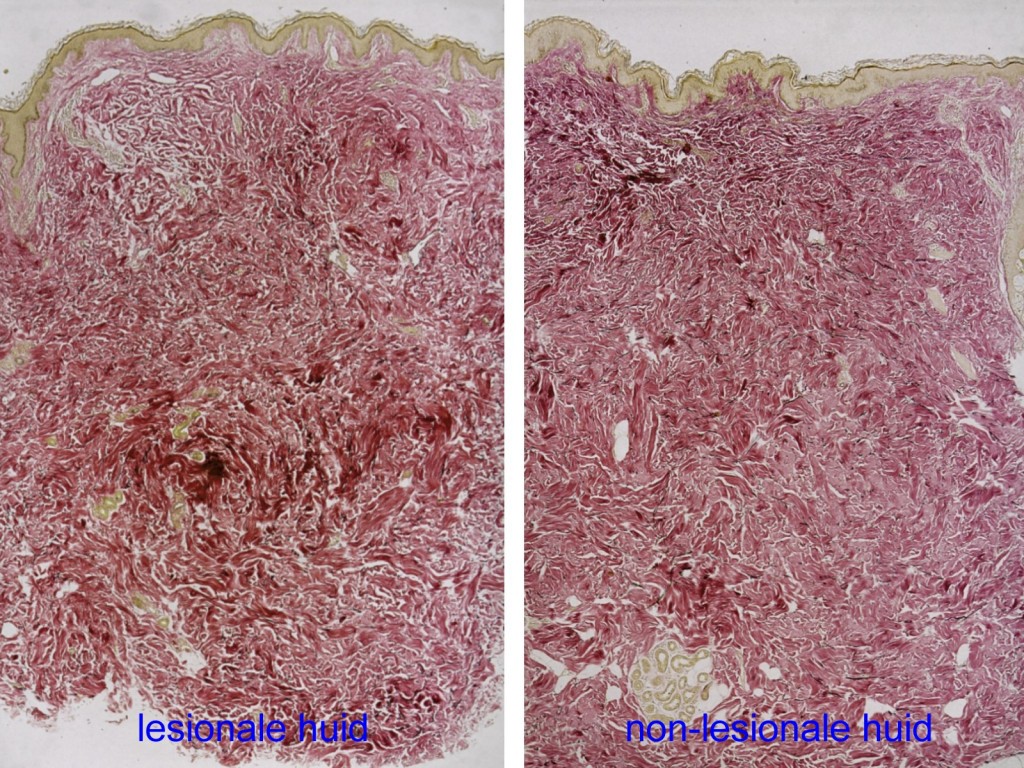
Geen specifiek laboratoriumonderzoek. Bij primaire anetodermie worden schildklieronderzoek en antifosfolipiden antistoffen aanbevolen. Indien klinisch geïndiceerd onderzoek naar onderliggende aandoeningen, zoals ANA, complement (C3, C4), andere auto-antistoffen (anti-SSA, anti-SSB) ACE, algeheel BB, BSE, Lyme titer, RPR/VDRL, mantoux-test. Histologisch onderzoek is zinvol. In het ideale geval 2 biopten afnemen, van lesionale en niet-lesionale huid om het verschil in aanwezigheid van elastinevezels aan te tonen. De patholoog moet de vraagstelling horen zodat een specifieke elastine kleuring wordt gedaan. Immunofluorescentie heeft meestal geen toegevoegde waarde.

Histologie:
Collageen van de dermis lijkt normaal. Perivasculaire lymfocyten (merendeel T-helper cellen) zijn vaak aanwezig, maar correleren niet met klinische symptomen van inflammatie. Lokaal wordt vermindering of afwezigheid van elastisch weefsel in de papillaire en/of reticulaire dermis gezien. Plasmacellen en histiocyten met soms granuloomvorming kunnen gezien worden.

Anetodermie, anetodermia
histologie


Therapie:
Moeizaam. Verschillende behandeling zijn niet effectief gebleken, te weten: triamcinolon 0.1% intralesionaal, acetylsalicylzuur, hydroxychloroquine, colchicine, dapson, fenytoïne, aminocapronzuur, penicilline, vitamine E en niacine hebben wisselende effecten op korte termijn laten zien, maar op lange termijn over het algemeen niet succesvol. Gerandomiseerde klinische studies hiernaar ontbreken. Bij anetodermie ten gevolge van het gebruik van penicillamine-D kan verbetering of stabilisatie worden verwacht na staken hiervan.

Follow-up: periodieke evaluatie waarbij volledig dermatologisch onderzoek en het benodigde aanvullende laboratoriumonderzoek.

Prognose: eenmaal ontstaan, veranderen ze niet meer.



ANETODERMIA VAN JADASSOHN-PELLIZARI (secundair aan inflammatoir dermaal proces) home ICD10: L90.2

Zie boven.



ANETODERMIA VAN SCHWENINGER-BUZZI (idiopathisch) home ICD10: L90.1

Zie boven.


Referenties
1. Bolognia JL, Jorizzo JL, Schaffer JV. Dermatology: 2-Volume Set, 3rd Edition (ISBN: 978-0-7234-3571-6).
2. Lewis KG, Bercovitch L, Dill SW, et al. Acquired disorders of elastic tissue: Part II. Decreased elastic tissue. J Am Acad Dermatol 2004;51:165-185.
3. Patrizi A, Neri I, Virdi A, Misciali C, D'Acunto C.Familial anetoderma: a report of two families. Eur J Dermatol 2011;21(5):680-685.


Author(s):
Sanne L.C. Wijtvliet. Dermatoloog, MC Zuiderzee, Lelystad.
dr. Jan R. Mekkes. Dermatologist, Amsterdam UMC.

31-05-2023 (JRM) - www.skin-diseases.eu Terug naar homepagina



Diagnosis codes:
ICD10 L90.1 Anetodermie van Schweninger-Buzzi
ICD10 L90.1 Anetoderma of Schweninger-Buzzi
SNOMED 110983008 Schweninger-Buzzi anetoderma
DBC 27 spacer Diagnose niet nader omschreven

ICD10 L90.2 Anetodermie van Jadassohn-Pellizzari
ICD10 L90.2 Anetoderma of Jadassohn-Pellizzari
SNOMED 110982003 Jadassohn-Pellizzari anetoderma
DBC 27 spacer Diagnose niet nader omschreven

ICD10 L90.9 Atrofische huidaandoening, niet gespecificeerd: anetodermie nno
ICD10 L90.9 Atrophic disorder of skin, unspecified: anetoderma
SNOMED 238828009 Anetoderma
DBC 27 spacer Diagnose niet nader omschreven