Necrobiosis lipoidica is een
granulomateuze
ontsteking, meestal aan de onderbenen, vaak pretibiaal, geassocieerd
met diabetes (11%). Histologisch moeilijk van granuloma annulare te onderscheiden,
maar klinisch ziet het er anders uit. In het klassieke geval ontstaan er gelige
tot geelbruine plaques, met centraal atrofie en teleangiëctasiën. De rand kan
erythemateus zijn, vooral wanneer de ontsteking nog actief, uitbreidend is.
Begint als 1-3 mm grote scherp begrensde rood-bruine papels of noduli die zich
in maanden tot jaren uitbreiden tot de typische gelige glanzende plaques. Meestal
bilateraal en multipel. In de periferie van de laesies kunnen comedo-achtige
plugs ontstaan (eliminatie necrotisch materiaal via haarfollikels). Behalve
aan de onderbenen kan het ook voorkomen op gezicht, behaarde hoofdhuid, romp,
penis, armen en in OK littekens (
Köbner
fenomeen). De plekken zijn cosmetisch storend, en soms is er anesthesie
(75%) / hypesthesie (25%) of hypohidrosis van de aangedane huid.
![Necrobiosis lipoidica (click on photo to enlarge) [source: www.huidziekten.nl] Necrobiosis lipoidica](../../../images/necrobiosislipoidica1z.jpg) |
![Necrobiosis lipoidica (click on photo to enlarge) [source: www.huidziekten.nl] Necrobiosis lipoidica](../../../images/necrobiosislipoidica2z.jpg) |
![Necrobiosis lipoidica met ulceratie (click on photo to enlarge) [source: www.huidziekten.nl] Necrobiosis lipoidica met ulceratie](../../../images/necrobiosislipoidicaulcera1z.jpg) |
| necrobiosis
lipoidica |
necrobiosis
lipoidica |
necrobiosis
lipoidica |
![Necrobiosis lipoidica met ulceratie (click on photo to enlarge) [source: www.huidziekten.nl] Necrobiosis lipoidica met ulceratie](../../../images/necrobiosislipoidicaulcera2z.jpg) |
![Necrobiosis lipoidica met ulceratie (click on photo to enlarge) [source: www.huidziekten.nl] Necrobiosis lipoidica met ulceratie](../../../images/necrobiosislipoidicaulcera3z.jpg) |
![Necrobiosis lipoidica met ulceratie (click on photo to enlarge) [source: www.huidziekten.nl] Necrobiosis lipoidica met ulceratie](../../../images/necrobiosislipoidicaulcera4z.jpg) |
| necrobiosis
lipoidica |
necrobiosis
lipoidica |
necrobiosis
lipoidica |
Necrobiosis lipodica kan ulcereren, waarbij
chronische ulcera
kunnen ontstaan die zeer moeilijk te behandelen zijn. Een andere complicatie
(zelden, alleen bij langdurig bestaande lesies) is het ontstaan van plaveiselcelcarcinoma.
Necrobiosis lipodica is voor het eerst beschreven in 1929 door Oppenheim
(dermatitis atrophicans lipoidica diabetica), de term necrobiosis lipoidica
diabeticorum is in 1932 door Urbach geïntroduceerd. In 1935 beschreef Goldschmidt
de eerste niet-diabetische patiënt met necrobiosis lipoidica. Tegenwoordig wordt
de term necrobiosis lipoidica (NL) voor alle patiënten met dezelfde klinische
laesies gebruikt, ongeacht de eventuele aanwezigheid van diabetes. De oorzaak
is onbekend. Histologisch is er een granulomateuze ontstekingsreactie met collageendegeneratie.
Vanwege de voorkeurslokalisatie wordt gedacht dat een trauma het kan luxeren.
Roken wordt genoemd als een risicofactor.
Epidemiologie: man:vrouw ratio
1:3, komt voor bij alle rassen, gemiddelde leeftijd 30 jr, kan echter op alle
leeftijden voorkomen. Er bestaat een duidelijke associatie met diabetes. Bij
patiënten met diabetes wordt de diagnose NL veelal op jongere leeftijd gesteld.
11% van de patiënten heeft diabetes bij stellen diagnose NL, 11% blijkt een
verminderde glucose tolerantie te hebben of krijgt later (in de 15 jaar daarna)
alsnog diabetes. Omgekeerd heeft 0.3% van de diabetici NL. Bij jonge diabetespatiënten
met type I diabetes komt het wat vaker voor (2.3%). Er is geen relatie tussen
de mate van instelling van de diabetes/hoogte glucosespiegels en aanwezigheid
NL. Diabetici met NL blijken wel meer complicaties tgv hun diabetes te krijgen,
in vergelijking met diabetici zonder NL.
DD:
granuloma annulare (minder atrofie
en teleangiëctasieën, zit m.n op distale extremiteiten),
sarcoidose,
necrobiotisch xanthogranuloma
(zeldzaam, zit m.n peri-orbitaal en romp, is geassocieerd met paraproteïnemie),
xanthomen, reuma noduli (geen atrofie), diabetische dermatopathie, stasis dermatitis,
verschillende vormen van panniculitis (bv erythema nodosum, erythema induratum),
granulomateuze ontstekingen
(bv lepra, tertiaire syfilis), morphea, lichen sclerosis, Miescher's granuloma
(m.n. op hoofd, hals en armen), actinisch granuloma (elastolytic giant cell
granuloma),
CENG.
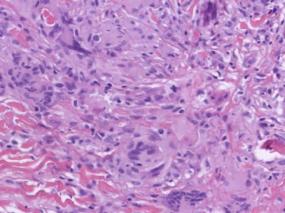
Histologie:
(biopt uit palpabele inflammatoire rand): normale of atrofische epidermis, grote
gebieden met necrobiosis (collageendegradatie) in de dermis omgeven door een
randzone van histiocyten (macrofagen, soms reuscellen) en lymfocyten (gepallisadeerde
granulomen). Ook plasmacellen komen voor (in tegenstelling tot granuloma annulare).
Vaak meerdere lagen met granulomen boven elkaar, groter en dieper reikend dan
bij granuloma annulare. Met speciale kleuringen kunnen vetdruppeltjes in de
zones van collageendegradatie worden gezien. Verder milde perivasculaire infiltraten
in gehele dermis, vasodilatie, soms wat gezwollen endotheel. Histologisch is
het moeilijk om het onderscheid te maken met granuloma annulare, Mieschers granuloma
en elastolytic giant cell granuloma.
![Histologie necrobiosis lipoidica (click on photo to enlarge) [source: Kevin Kwee / Afdeling Pathologie MUMC] Histologie necrobiosis lipoidica](../../../pacoupes/thumbnails/necrobiosis-lipoidica.jpg) |
|
ingescande coupe (zoom) |
Bron
hoge resolutie PA-foto: Kevin Kwee en Afdeling Pathologie MUMC. Klik
op de afbeelding om in te zoomen.
Therapie:Behandeling is moeizaam, en er bestaat
weinig evidence voor de genoemde therapieën. De effectiviteit van corticosteroïden
lokaal, intralesionaal of systemisch is redelijk goed onderbouwd. Indien dat
onvoldoende effectief is of teveel bijwerkingen geeft, lijkt PUVA therapie de
volgende stap (topicale PUVA of systemische PUVA met lokale belichting). De
ratio daarachter is dat men een anti-inflammatoire therapie toepast, die niet
de bijwerking atrofie van de huid heeft. Er bestaat van nature al atrofie bij
NL (dunne epidermis, teleangiëctasiën), steroïden kunnen dit verergeren. Ook
in de categorie anti-inflammatoir zonder atrofie vallen tacrolimus lokaal, ciclosporine,
CellCept, anti-TNFalpha (Infliximab, Enbrel, Humira), fumaarzuur, chloroquine
en thalidomide. Er is een tijd gedacht dat bij NL een verhoogde trombocyten
aggregatie of een verhoogde adhesie aan geprikkeld endotheel een rol speelt.
Vanuit die theorie zijn o.a. Ascal, pentoxyfilline, dipyridamol, ticlopidine,
heparine en nicotinamide geprobeerd. Goede studies ontbreken. Het beeld ontstaat
dat alle nieuwe middelen die in de loop der jaren op de markt zijn gekomen wel
eens geprobeerd zijn bij necrobiosis lipoidica, met enkele case reports over
succes in een klein aantal patiënten als gevolg. Ulcera in NL lesies zijn ook
therapie resistent, vandaar dat er niet-routine therapieën worden uitgeprobeerd
die ook bij andere inerte ulcera worden ingezet zoals proteaseremmers, groeifactoren
(PDGF, GMCSF), VAC therapie, transplantatie (split skin, gekweekte huid, excisie
+ grafting).
R/ lokale corticosteroïden klasse II-IV, zonodig onder occlusie.

R/ intralesionale corticosteroïden (Kenacort-10) 1:1 verdund met lidocaïne 2%
of onverdund.

R/ corticosteroïden systemisch.

Let goed op de glucosewaarden. Voorbeelden van een schema:
- hoog: prednisolon
1 mg/kg, 1 wk, daarna 1 dd 40 mg, 4 weken, daarna per 2 dagen 5 mg er af (35-30-25-20-15-10-5
mg- stop).
- laag: prednisolon 30 mg met 5 mg per week af te bouwen tot 10
mg (30 - 25 - 20 - 15 - 10 - 5 - stop; totaal 150 tab à 5 mg).
R/ topicale
PUVA therapie.
Overige middelen (weinig evidence):
R/ Ascal 1 dd 100 mg + Persantin
(dipyridamol) 3 dd 75 mg.

R/ Protopic (tacrolimus) zalf lokaal.

R/ lokaal tretinoïne crème 0.02-0.05% of Differin (adapaleen 0.1%) gel 2 dd.

R/ UVA-1, fotodynamische therapie (PDT), pulsed dye laser.

R/ Neoral (ciclosporine) 3-5 mg/kg in 2 doses.

R/ Cellcept (micofenolaat mofetil) 2 dd 500 mg.

R/ TNF-remmers: Remicade (infliximab), Humira (adalimumab) en Enbrel (etanercept
2x25 mg/wk).
R/ Trental (pentoxifilline, 3 dd 400 mg), nicotinamide (3 dd
500 mg),

ticlopidine,

heparine. Allemaal weinig ondersteund door evidence.
R/ Plaquenil (hydroxychloroquine),

thalidomide,

fumaarzuur,

Lampren (clofazimine).

Case reports.
R/ Venoruton (hydroxyethylrutoside) 2-3 dd 500 mg.
R/ fotodynamische therapie.
Bij ulcera:
R/ wondbedekkers conform
aspect wond
(EUSOL paraffine, Aquacel (Ag), hydrogels, hydrocolloiden, etc).
R/ Dermovate
zalf en Flammazine crème alternerend 1 dd.
R/ Protopic (tacrolimus) zalf
lokaal.

R/ protease modulerende dressings (o.a. Promogran).

R/ Regranex (PDGF, platelet derived growth factor).

R/ granulocyte-macrophage colony stimulating factor (GMCSF).

R/ huidtransplantatie (punch, split-skin, gekweekte huid).

VAC therapie.

Excisie met
marge gezonde huid er omheen.

Hyperbare
zuurstof.
Referenties
| 1. |
Hafejee A, Coulson I. Necrobiosis lipoidica.
In: Lebwohl M, Heymann WR, Berth-Jones J, Coulson I. Treatment of
skin disease - Comprehensive therapeutic strategies. Mosby, New
York, 2006: pp 424-426. |
| 2. |
Stewart E. Using a protease-modulating dressing
to treat necrobiosis lipoidica. J Wound Care 2006;15:74-77. |
| 3. |
Heidenheim M, Jemec BE. Successful treatment
of necrobiosis lipoidica diabeticorum with photodynamic therapy.
Arch Dermatol 2006;142:1548-1550. |
| 4. |
De Rie MA, Sommer A, Hoekzema R, Neumann
HAM. Treatment of necrobiosis lipoidica with topical psoralen plus
ultraviolet A. Br J Dermatol 2002; 147:743-747. |
| 5. |
O'Toole EA, Kennedy U, Nolan JJ, et al: Necrobiosis
lipoidica: only a minority of patients have diabetes mellitus. Br
J Dermatol 1999;140:283-286. |
Author(s):dr. Jan R. Mekkes. Dermatologist, Amsterdam UMC.
dr. M. de Groot. Dermatoloog, Antonius Ziekenhuis, Sneek.