Balanitis plasmacellularis circumscripta (
balanitis
van Zoon) is een vorm van
balanitis
die vooral voorkomt bij onbesneden mannen van middelbare of oudere leeftijd.
Het beeld is voor het eerst beschreven door de Nederlandse dermatoloog
Zoon in 1952. De aandoening bestaat uit één of meerdere scherp begrensde rode persisterende
laesies, meestal op de glans. Meestal veroorzaakt het weinig klachten, soms
jeuk, branderige sensatie, pijn. Soms erosies met neiging tot bloeden. Het is
wel een aandoening die ongerustheid veroorzaakt. Klinisch is het moeilijk te
onderscheiden van erytroplasie van
Queyrat (m. Bowen v.d. glans
penis). Het oppervlak is glanzend en vochtig (terwijl
erythroplasie
van Queyrat een wat meer fluweelachtig uiterlijk kan hebben en
dikker aanvoelt bij palpatie). Ook bij vrouwen bestaat een variant met plasmacellen:
vulvitis plasmocellularis circumscripta. Mogelijk kunnen ook op andere mucosa
zoals de mondholte soortgelijke beelden veroorzaakt door plasmocellulaire infiltraten
voorkomen (zie onder
mucous
membrane plasmocytosis). Sommigen hanteren de term
plasmacytosis
circumorificialis of
plasmacytosis mucosa
om alle varianten en locaties samen te vatten.
De oorzaak is niet geheel
opgehelderd, maar omdat het zelden voorkomt bij besneden mannen, en verbetert
na een circumcisie, wordt aangenomen dat het wordt veroorzaakt door chronische
irritatie van de mucosa door vocht (smetten), urine, overgroei van locale flora
(waaronder
Mycobacterium smegmatis), en/of onvoldoende hygiëne.
![Balanitis van Zoon (click on photo to enlarge) [source: www.huidziekten.nl] Balanitis van Zoon](../../../images/balanitis-plasmocellularis-1z.jpg) |
![Balanitis van Zoon (click on photo to enlarge) [source: www.huidziekten.nl] Balanitis van Zoon](../../../images/balanitis-plasmocellularis-2z.jpg) |
![Balanitis van Zoon (click on photo to enlarge) [source: www.huidziekten.nl] Balanitis van Zoon](../../../images/balanitis-plasmocellularis-3z.jpg) |
| balanitis
van Zoon |
balanitis
van Zoon |
balanitis
van Zoon |
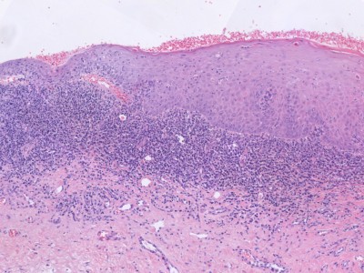
PA:
Dunne, vlakke epidermis, vaak
zijn de bovenste lagen (stratum corneum, stratum spinosum) afwezig, soms ontbreekt
de hele epidermis t.g.v. subepidermale splijting. Keratinocyten zijn vaak afgeplat
(diamant of rozenblaadjes vorm) en gescheiden door intracellulair oedeem. In
de epidermis zijn soms erytrocyten aanwezig, soms is er keratinocyt necrose.
In de oppervlakkige dermis (stratum papillare) bestaat een bandvormig infiltraat
bestaande uit extreem veel plasmacellen. Ook varianten met minder plasmacellen
komen voor. Voorts gedilateerde capillairen, en soms erytrocytenextravasatie
en hemosiderine pigment.
![Histologie balanitis plasmocellularis (click on photo to enlarge) [source: Kevin Kwee / Afdeling Pathologie MUMC] Histologie balanitis plasmocellularis](../../../pacoupes/thumbnails/balanitis-plasmocellularis.jpg) |
|
ingescande coupe (zoom) |
Bron
hoge resolutie PA-foto: Kevin Kwee en Afdeling Pathologie MUMC. Klik
op de afbeelding om in te zoomen.
DD: erytroplasie van
Queyrat (in situ carcinoma, m.
Bowen van de penis, PIN),
Candida,
fixed drug eruption,
morbus Reiter,
lues
II,
balanitis nno,
lichen planus,
herpes,
psoriasis inversa,
contacteczeem.
Therapie:De eerste stap is goede hygiëne, goed schoon
houden van de glans penis met water en zeep (geen speciale antiseptische zeep
nodig), voorhuid goed naar achteren trekken om te voorkomen dat debris, celresten
(smegma) en bacteriën achterblijven en irritatie veroorzaken. Circumcisie heeft
een gunstig effect en wordt geadviseerd in Europese richtlijnen, maar is wel
een erg rigoreuze maatregel en niet de voor de hand liggende eerste stap. Als
andere maatregelen niet helpen kan het zeker worden overwogen. Lokale antiseptische
crèmes, met name Bactroban (mupirocine) zijn in case series effectief gebleken.
In Nederland wordt geprobeerd mupirocine te reserveren voor MRSA bestrijding,
daarom eerst fusidine crème proberen. Daarna komen lokale corticosteroïden of
tacrolimus zalf, en combinatiepreparaten van steroïd, antibacterieel, antimycotisch.
Case reports noemen ook fotodynamische therapie en oppervlakkige laserbehandelingen.
R/ fusidinecrème of zalf 2 dd.
R/ Bactroban (mupirocine 2%) zalf
2 dd.
R/ chloorhexidinecrème 2 dd.
R/ klasse II corticosteroïden, eventueel
klasse III.
R/ Protopic (tacrolimus) zalf 0.1%.
R/ combinatie preparaten,
bijvoorbeeld triamcinolon 0.1%, miconazol 2% in fucidine crème.

Circumcisie
in hardnekkige gevallen.
Referenties
| 1. |
Zoon JJ. Chronic benign circumscript balanoposthitis.
Dermatologica 1952;105:1-7. |
| 2. |
Bari O, Cohen PR. Successful Management of
Zoon's Balanitis with Topical Mupirocin Ointment: A Case Report
and Literature Review of Mupirocin-Responsive Balanitis Circumscripta
Plasmacellularis. Dermatol Ther (Heidelb) 2017;7(2):203-210. |
| 3. |
Lee MA, Cohen PR. Zoon Balanitis Revisited:
Report of Balanitis Circumscripta Plasmacellularis Resolving With
Topical Mupirocin Ointment Monotherapy. J Drugs Dermatol 2017;16(3):285-287. |
| 4. |
Kyriakou A, Patsatsi A, Patsialas C, Sotiriadis
D. Therapeutic efficacy of topical calcineurin inhibitors in plasma
cell balanitis: case series and review of the literature. Dermatology
2014;228(1):18-23. |
| 5. |
Tang A, David N, Horton LW. Plasma cell balanitis
of Zoon: response to Trimovate cream. Int J STD AIDS 2001;12(2):75-78. |
| 6. |
Torchia D, Cappugi P. Photodynamic therapy
for Zoon balanitis. Eur J Dermatol 2014;24(6):707. |
Author(s):dr. Jan R. Mekkes. Dermatologist, Amsterdam UMC.