Lichen nitidus is een zeldzame (circa 0.03%) huidaandoening
gekenmerkt door het verschijnen van talrijke 1-2 mm grote papeltjes. De oorzaak
is onbekend. De papeltjes zijn uniform van grootte en vorm, afgeplat, huidkleurig,
soms wat bleker of roder dan de omgevende huid, en enigszins glanzend. Meestal
symptoomloos, soms lichte jeuk. Het komt vooral voor bij kinderen en jong volwassenen.
Voorkeursplaatsen zijn de romp, binnenkant van de bovenarmen, handruggen, genitaliën,
ellebogen en polsen, nek, onder de borsten bij vrouwen. Minder vaak komt het
voor aan de onderbenen, in het gelaat en handpalmen en voetzolen. De aandoening
vertoont het
Köbner fenomeen, papeltjes
kunnen lineair gerangschikt zijn. Slijmvliezen en nagels (putjes, groeven, splijting)
kunnen aangedaan zijn.
![Lichen nitidus (click on photo to enlarge) [source: www.huidziekten.nl] Lichen nitidus](../../../images/lichennitidus2z.jpg) |
![Lichen nitidus (click on photo to enlarge) [source: www.huidziekten.nl] Lichen nitidus](../../../images/lichennitidus3z.jpg) |
![Lichen nitidus (click on photo to enlarge) [source: www.huidziekten.nl] Lichen nitidus](../../../images/lichennitidus5z.jpg) |
| lichen
nitidus |
lichen
nitidus |
lichen
nitidus |
![Lichen nitidus (click on photo to enlarge) [source: www.huidziekten.nl] Lichen nitidus](../../../images/lichennitidus6z.jpg) |
![Lichen nitidus (click on photo to enlarge) [source: www.huidziekten.nl] Lichen nitidus](../../../images/lichennitidus7z.jpg) |
![Lichen nitidus (click on photo to enlarge) [source: www.huidziekten.nl] Lichen nitidus](../../../images/lichennitidus8z.jpg) |
|
lichen nitidus |
lichen nitidus |
lichen nitidus |
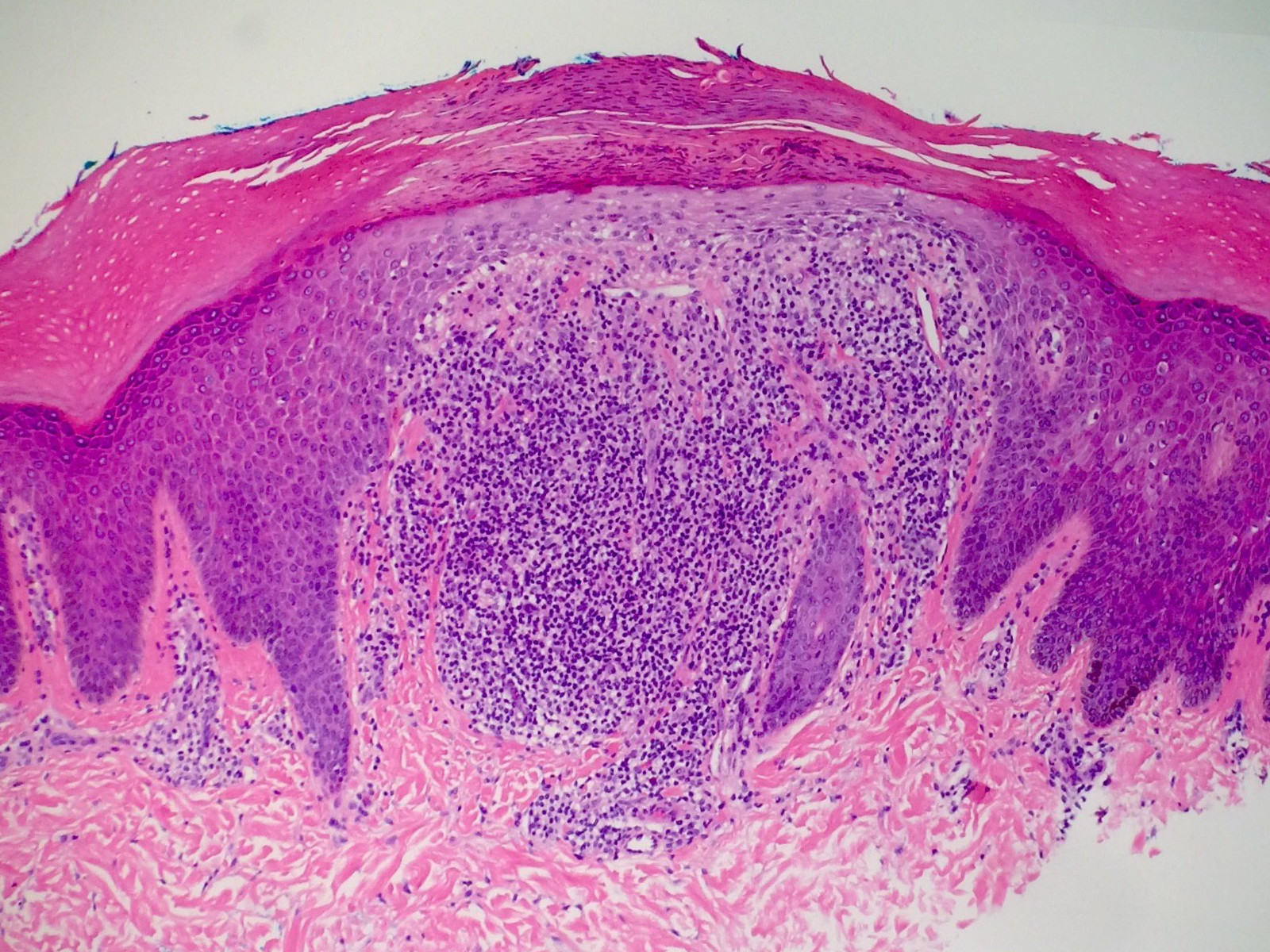
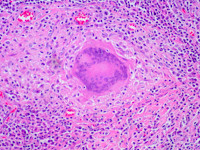
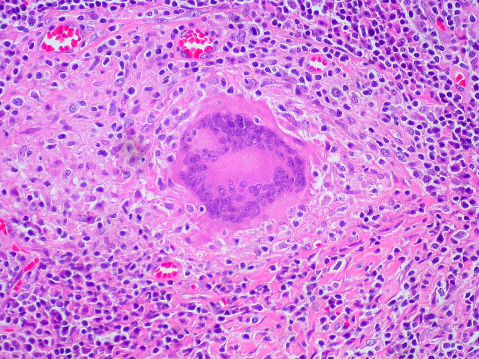
PA:Histologisch is er een granulomateus
lymfohistiocytair ontstekingsinfiltraat dat in een uitgezette dermale papil
ligt. De overliggende epidermis is dun, en de retelijsten aan de zijkanten van
het infiltraat reiken diep waardoor het er uit ziet als een klauw die een bal
vasthoudt (ball-and-claw). Het infiltraat is nodulair en bestaat uit lymfocyten
en (deels epitheloide) histiocyten, gewoonlijk met enkele reuscellen van het
Langhans type. Er zijn enige vacuolaire veranderingen in het grensvlak. Er is
pigmentincontinentie. De epidermis toont hierboven geringe compacte hyperkeratose,
soms parakeratose. Het infiltraat wordt omsloten door verlengde retelijsten
die het infiltraat als het waren 'omarmen' (hugging).
![Lichen nitidus (click on photo to enlarge) [source: James A. Ramirez - Twitter] Lichen nitidus](../../../images/lichennitidus4z.jpg) |
![Lichen nitidus (click on photo to enlarge) [source: Daderot - Wikimedia - Creative Commons License 1.0 - Public Domain Image] Lichen nitidus](../../../images/ball-and-claw-1z.jpg) |
![Langhans reuscel (click on photo to enlarge) [source: Ed Uthman - Wikimedia - Creative Commons License 2.0] Langhans reuscel](../../../images/langhanse-reuscel-1z.jpg) |
| lichen
nitidus |
ball and
claw |
Langhans
reuscel |
PA foto's: James A. Ramirez, Dermatopathologist at CTAlab en Ed Uthman - Wikimedia (Creative Commons License
2.0).
Foto ball and claw meubilair:
Daderot - Wikimedia (Creative Commons License
1.0 - Public Domain
Image).
DD: lichen planus,
sarcoidose,
keratosis pilaris,
verrucae planae,
epidermale naevi,
lichen amyloidosis,
lichen striatus,
lichen spinulosus,
psoriasis guttatae
Diagnostiek: biopt van een papeltje.
Therapie:
De aandoening gaat meestal vanzelf over, ook al kan dat maanden tot jaren duren.
Daarom wordt meestal geen therapie gestart. Bij jeuk of cosmetische bezwaren
kan één van de onderstaande opties worden geprobeerd:
R/ lokale corticosteroïden
klasse I-III bij jeuk (triamcinolon crème).

R/ systemisch prednison in ernstige jeukende gevallen.
R/ Protopic (tacrolimus)
zalf of Elidel (pimecrolilmus) crème.

R/ PUVA of UVA fototherapie.
R/ UVB fototherapie.

R/
antihistaminica.

R/ Neotigason (acitretine) 0.5-1.0 mg/kg.
Referenties
| 1. |
Kim YC, Shim SD. Two cases of generalized
lichen nitidus treated successfully with narrow-band UV-B phototherapy.
Int J Dermatol 2006;45:615-617. |
| 2. |
Park JH, Choi YL, Kim WS, et al. Treatment
of generalized lichen nitidus with narrowband ultraviolet B. J Am
Acad Dermatol 2006;54:545-546. |
| 3. |
Lapins NA, Willoughby C, Helwig EB. Lichen
nitidus. A study of forty-three cases. Cutis 1978;21:634-637. |
| 4. |
Lebwohl M, Heymann WR, Berth-Jones J, Coulson
I. Treatment of skin disease - Comprehensive therapeutic strategies.
Saunders - Elsevier, New York, Third edition 2010. |
Author(s):dr. Jan R. Mekkes. Dermatologist, Amsterdam UMC.