PAGET, Morbus PAGET, PAGET'S DISEASE OF THE NIPPLE home ICD10: C50.0

De ziekte van Paget (Paget's disease, intraductaal mammacarcinoom) is een in-situ of invasief carcinoom uitgaande van cellen met een adenoïde differentiatie afkomstig van de afvoergang van de borstklier. Het carcinoom kan vanuit de tepel uitbreiden naar de huid (epidermale invasie van melkklier-carcinoomcellen) en er dan uitzien als een eczeem. Er bestaat ook een extramammaire ziekte van Paget (adenocarcinoom van de vulva, scrotum, anus of penis).

Klinisch beeld:
Meestal eenzijdig gelokaliseerde erythemato-squameuze of erosief-crusteuze laesie van de mammilla. Soms symptoomloos, soms tepeluitvloed, pijn, jeuk, en een ingetrokken tepel. Bij circa 60% is een tumor palpabel wijzend op progressie van in situ naar invasief carcinoom. De 10-jaarsoverleving is circa 90% als het alleen in-situ is, anders circa 35%.

Paget, ziekte van Paget, ziekte van
Paget, ziekte van Paget, ziekte van

Paget, ziekte van Paget, ziekte van
Paget, ziekte van Paget, ziekte van


Diagnostiek:
Biopt van uitwendig deel, X-mamma, verwijzing naar mammachirurg.

PA:
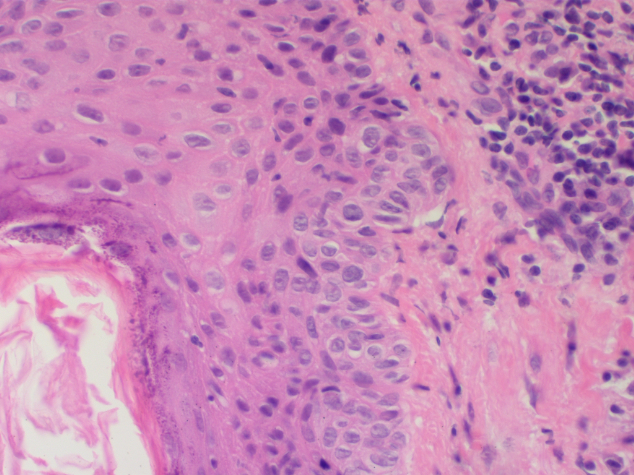
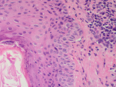
M. Paget is een traag groeiende tumor die uitgaat van apocriene klier afvoergangen. Histopathologisch ziet men aanvankelijk slechts enkele Paget cellen in de klierbuizen en de epidermis: grote, bleke cellen met een grote kern en helder cytoplasma. Zij zijn met dode celbrugjes verbonden met de cellen van het stratum spinosum. In oude laesies vervangen ze grote delen van het epitheel van de klierbuizen en ook van de epidermis. Deze cellen zijn PAS positief en diastase-resistent (verkleuring veroorzaakt door neutrale muco-polysacchariden). In de cutis is een banale ontsteking te zien. Vanuit het klierweefsel vindt tenslotte infiltratieve groei plaats. Het typische van de Paget-cel tumor is dat de cellen niet verhoornen, geen reuscellen vormen en de basale laag niet doorgroeien zoals andere tumoren (waarvan men ze moet differentiëren, b.v. m. Bowen en maligne melanoom).
 
Paget, ziekte van
Paget disease

PA-Foto's: Sarahkayb - Wikimedia - Creative Commons License 4.0


DD: eczeem (veroorzaakt geen tepelintrekking), dermatomycose (idem), psoriasis (idem en geen klassieke lokalisatie, geen typische psoriasis-schilfering), M. Bowen (gaat over in plaveiselcelcarcinoom), romphuid basaalcelcarcinoom, geneesmiddeleneruptie (fixed drug eruption), contacteczeem (meestal niet eenzijdig), erosieve adenomatosis, conventioneel mamma-carcinoom.

Therapie:
Behandelen als borstkanker.


Author(s):
dr. Jan R. Mekkes. Dermatologist, Amsterdam UMC.

26-01-2026 (JRM) - www.skin-diseases.eu Terug naar homepagina



Diagnosis codes:
ICD10 C50.0 Maligne neoplasma van tepel en tepelhof: ziekte van Paget
ICD10 C50.0 Malignant neoplasm of nipple and areola: Paget's disease of nipple
SNOMED 403946000 Paget's disease of nipple
DBC 14 spacer Maligne dermatosen

ICD10 C44.9 Maligne neoplasma van huid, niet gespecificeerd: extramammaire ziekte van Paget
ICD10 C44.9 Malignant neoplasm of skin, unspecified: extramammary Paget's disease
SNOMED 254727007 Extramammary Paget's disease of skin
DBC 14 spacer Maligne dermatosen