LEISHMANIASIS home ICD10: B55.9

Leishmaniasis is een parasitaire infectie van de huid (cutane leishmaniasis), huid en slijmvliezen (mucocutane leishmaniasis) of inwendige organen (viscerale leishmaniasis) veroorzaakt door Leishmania parasieten. Dit zijn eencellige organismen, behorende tot de groep protozoa. Ze worden overgebracht door kleine, harige mugjes (sandflies) van het geslacht Phlebotomus (Oude Wereld) en de geslachten Lutzomyia en Psychodopygus (Nieuwe Wereld). Deze zandvlieg komt in Nederland niet voor, leishmaniasis is daarom hier een importziekte. Overbrenging door direct contact is mogelijk, maar zeldzaam.

Phlebotomus Lutzomyia
Phlebotomus Lutzomyia

Foto's: James Gathany (CDC) en Ray Wilson (Liverpool School of Tropical Medicine) - Wikimedia (Creative Commons License 4.0).


Bij de mens komen zes Leishmania species voor die morfologisch niet van elkaar zijn te onderscheiden. Men schat dat wereldwijd 12 miljoen mensen aan enige vorm van leishmaniasis lijden en dat er 1.5-2 miljoen nieuwe gevallen per jaar ontstaan. De incidentie stijgt door factoren als HIV en ondervoeding, maar ook door de toename van Tropenreizen. Vanwege de militaire missies naar Irak en Afghanistan is de aandacht in Westerse landen voor deze ziekte toegenomen. Cutane leishmaniasis is niet dodelijk, geneest meestal vanzelf in 1 maand tot 1 jaar, maar kan wel aanzienlijke schade veroorzaken, langdurig bestaande ulcera en uitgebreide littekenvorming. Mucocutane en viscerale Leishmaniasis kunnen dodelijk zijn.

Leishmaniasis is in het algemeen een zoönose: de mens is niet een natuurlijke gastheer (Leishmania tropica en L. donovani uitgezonderd), de infectie wordt van dieren (vooral honden, hondachtigen en knaagdieren, maar ook hoefdieren, luiaarden, apen) op de mens overgebracht, waarbij de sandfly de vector is. In de tractus digestivus van de sandfly kunnen de amastigoten (ronde 2-4 µm eencellige organismen) zich transformeren in promastigoten, langwerpige eencellige parasieten met een zweepdraad. Na een steek van een besmette zandvlieg komen de Leishmania promastygoten in de bloedbaan van de mens terecht en worden daar gefagocyteerd door macrofagen. Zij vermenigvuldigen zich intracellulair en kunnen zich afhankelijk van de soort en de afweer van de gastheer via de bloedbaan lokaal of systemisch verspreiden. Klinische verschijnselen ontstaan binnen enkele weken tot maanden.


Levenscyclus Leishmaniasis

Klinische indeling:
1. cutane leishmaniasis
  - lokaal
  - diffuus cutaan
  - recidivans
  - post kala azar dermale leishmaniasis (PKADL)
2. mucocutane leishmaniasis
3. viscerale leishmaniasis

Geografische indeling:
Oude wereld (Afrika, Azie, Midden-Oosten, Middellandse Zee, India). Cutane en viscerale leishmaniasis.
Nieuwe wereld (Centraal Amerika, Zuid-Amerika). Cutane, mucocutane en viscerale leishmaniasis.

In de Oude Wereld komt cutane leishmaniasis wijd verbreid voor: vanaf Marokko, West-Afrika en Spanje in het westen tot Noordwest-India in het oosten, van Centraal-Azië in het noorden tot Kenia in het zuiden (met nog enkele haarden in Tanzania en Namibië) en rondom de gehele Middellandse Zee. In de Nieuwe Wereld komen cutane en mucocutane leishmaniasis voor vanaf Zuid-Texas tot in Noord-Argentinië.


Distributie cutane leishmaniasisDistributie cutane leishmaniasis


Distributie viscerale leishmaniasisDistributie viscerale leishmaniasis

Bron: Inceboz T. Epidemiology and Ecology of Leishmaniasis [Internet]. Current Topics in Neglected Tropical Diseases. IntechOpen; 2019.



Soort   Aandoening   Landen waar dit het meest voorkomt
           
L. donovani        
L. d. donovani   visceraal (kala-azar), dermaal   India
L. d. infantum   visceraal en dermaal   Midden-Oosten, Middellandse Zee, Rusland
L. d. sinesis   visceraal en dermaal   China
L. d. nilotica   visceraal, mucocutaan   Afrika, vooral Soedan en Ethiopië
L. d. chagasi   visceraal, mucocutaan   Brazilië, Centraal Amerika
         
L. major   cutaan   Midden-Oosten, Middellandse Zee, China, India
L. tropica   cutaan   Midden-Oosten, Middellandse Zee
L. ethiopica   cutaan, diffuus cutaan (DCL)   Ethiopië
           
L. mexicana complex        
L. m. mexicana   cutaan, DCL   Mexico, Centraal Amerika
L .m. amazonensis   cutaan, DCL   Brazilië, Zuid Amerika
L. m. pifanoi   DCL, cutaan   Brazilië, Centraal Amerika
         
L. braziliensis complex        
L. b. braziliensis   cutaan, mucocutaan   Brazilië, Centraal Amerika
L. b. guyanensis   cutaan, mucocutaan   Guyana, Suriname, Centraal Amerika
L. b. panamensis   cutaan, mucocutaan   Centraal Amerika
L. b. peruviana   cutaan, mucocutaan   Peru, Zuid Amerika

Door de opwarming van de aarde komt Leishmaniasis in steeds noordelijker streken voor. In Europa kan men nu ook al besmet raken in Frankrijk, Italië, Spanje, of Kroatië.


Klinisch beeld:

Lokale cutane leishmaniasis
Bij de lokale vorm ontstaat binnen enkele weken (soms maanden) eerst een niet-pijnlijke papel of nodulus op de insteekplaats, vervolgens centrale verweking en korstvorming, en daarna een ulcus. Bij genezing laat het een litteken achter. Het klassieke Leishmania ulcus is rood granulerend maar desondanks niet genezend, ovaal van vorm, met een oriëntatie in de richting van de huidlijnen, en soms een opgeworpen rand. Verspreiding in een sporotrichoïde vorm (in het verloop van een lymfbaan) komt voor. Na genezing van een Leishmania-infectie wordt men meestal immuun voor de verwekker, maar niet voor andere species.

Cutane Leishmaniasis Cutane Leishmaniasis
papel met crusta ulcus

Cutane Leishmaniasis Cutane Leishmaniasis
ovaal ulcus Leishmania bodies


Diffuse cutane leishmaniasis
Variant bij patiënten met slechte cellulaire afweer. Hierbij kunnen multipele papels en nodi ontstaan, verspreid over het hele lichaam, met daarin veel Leishmania parasieten. Lijkt op lepromateuze lepra. Geringe tot afwezige genezingstendens. Komt voor in Ethiopië en Soedan en in de Nieuwe Wereld in Venezuela, Brazilië en de Dominicaanse Republiek.

Leishmania cutanea recidivans (relapsing leishmaniasis, lupoïde leishmaniasis)
Zeldzame variant waarbij, soms jaren na de infectie, op de zelfde plek van de oude genezen lesies weer nieuwe lesies ontstaan. Vaak in het gezicht. Begint als papel of psoriatiforme plaque, later ulcererend en uitbreidend naar de randen. Kan destructief zijn. Lijkt klinisch op lupus vulgaris.

Post-Kala Azar dermale leishmaniasis
Vorm die in India en Soedan voorkomt, ontstaat maanden tot jaren na een doorgemaakte viscerale Leishmaniasis. Afhankelijk van de afweer van de patiënt kunnen uiteenlopende lesies ontstaan, variërend van enkele maculae en plaques tot tientallen nodi en misvormingen.

Mucocutane leishmaniasis
Kan jaren na een genezen lokale cutane vorm ontstaan. Sommige Leishmaniasoorten (vooral uit de nieuwe wereld) kunnen uiteindelijk naar de bovenste luchtwegen migreren en daar grote schade aanrichten aan de oropharynx en de neus. Dit is de vorm waarbij de hele neus kan worden weggevreten. Kan dodelijk zijn. Bij mucocutane leishmaniasis zijn circulerende antistoffen aantoonbaar (bij cutane leishmaniasis meestal niet).

Viscerale leishmaniasis (kala azar)
Systemische vorm van Leishmaniasis waarbij de parasieten een voorkeur hebben voor interne organen (o.a. lever, milt). Symptomen: vermagering, malaise, koortsaanvallen, hepato-splenomegalie, pancytopenie, hypergammaglobulinemie. Vaak fataal verlopend.



Diffuus cutane leishmaniasis Post-kala azar Leishmanisasis
diffuus cutaan post-kala azar

Mucocutane leishmanisasis Viscerale Leishmanisasis
mucocutaan (SFS) visceraal (WHO)

Foto's:
Mohammad2018 - Wikimedia (Creative Commons License 4.0).
Samuel Freire da Silva - Dermatology Atlas (Creative Commons License 3.0).
M.Herrero - WHO - OpenWHO.org (Public Domain Image).


PA:
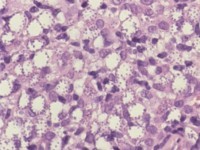
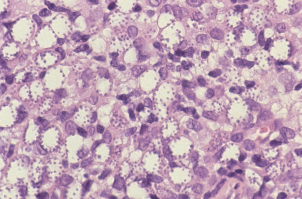
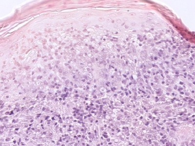
De epidermis is deels afwezig en necrotisch, deels versmald door onderliggend oedeem en infiltraat. Tot diep in de cutis bevindt zich een gemengdcellig infiltraat. In het begin wordt een ontstekingsreactie gezien met ongedifferentieerde macrofagen en grote aantallen parasieten die zowel intracellulair als extracellulair voorkomen. De Leishmania parasieten (Leishmania bodies) liggen vaak in grote histiocytaire cellen (met een doorsnede van 40 μ en meer), en zijn te herkennen in het HE preparaat, maar beter na Giemsa-kleuring (helderrood), waarbij blijkt dat ze geen kapsel hebben, 2-4 μ in diameter zijn en een staafvormige paranucleus bezitten (eveneens helderrood); verder is er een wisselend aantal lymfocyten. Later ontstaat een granulomateuze ontstekingsreactie, afhankelijk van de weerstand tegen de infectie van de gastheer. Meestal eindigt het in een tuberculoïde granulomateuze reactie waarbij het aantal parasieten afneemt. Vaak ontstaat necrose; hierin worden de parasieten na lysis van de macrofagen geëlimineerd. Na ulceratie is er altijd ook een acute ontstekingscomponent bestaande uit polymorfonucleaire granulocyten, plasmacellen en lymfocyten.

Cutane Leishmaniasis wordt wel, net als lepra, een spectrumziekte genoemd met aan de ene kant de Leishmaniasis recidivans en aan de andere kant de diffuus cutane Leishmaniasis. Bij Leishmaniasis recidivans bestaat een sterke mate van cellulaire afweer; histopathologisch vindt men een tuberculoïd granuloom vaak met Langhans-reuzencellen, omgeven door een mantel van lymfocyten. Parasieten zijn in het algemeen niet aantoonbaar. Bij de diffuus cutane leishmaniasis ontbreekt de cellulaire afweer; er bestaat een granulomateuze reactie van macrofagen stampvol parasieten, maar zonder necrose of ulceratie. In deze beide vormen treedt geen spontane genezing op. Bij mucocutane Leishmaniasis is er een cellulair infiltraat met weinig macrofagen en weinig parasieten. Vaak treedt ulceratie op. De laesies bevinden zich gewoonlijk in de huid; aantasting van de mucosa kan volgen. Men vindt dan laesies diep in de nasale mucosa, waar amastigoten aanwezig zijn in prolifererend endotheel en waar een perivasculair infiltraat ontstaat met verweking van het kraakbeen.

Histologie Leishmaniasis
ingescande coupe (zoom)

Bron hoge resolutie PA-foto: Kevin Kwee en Afdeling Pathologie MUMC. Klik op de afbeelding om in te zoomen.


Leishmaniasis van de Oude Wereld

L. tropica-infectie
L. tropica komt voor in het Nabije- en Midden-Oosten van Irak tot Afghanistan en Noordwest-India. Lokale benamingen zijn 'oriëntal sore', 'bouton d'orient', 'Aleppo buil', 'Delhi buil', en 'bouton de Biskra'. Sporadisch komt het voor in Griekenland en Tunesië. Cutane leishmaniasis in de westelijke landen rond de Middellandse Zee (Spanje, Italië, Algerije) wordt meestal veroorzaakt door L.d. infantum. De mens en de hond vormen het reservoir, ratten zijn geïnfecteerd gevonden maar of zij een rol spelen als reservoir is onduidelijk. Bij L. tropica ontstaat 2 weken tot 8 maanden na een infectieuze beet een erythemateuze papel die in enkele maanden toeneemt in dikte en diameter (tot ongeveer 2-4 cm). Het centrale deel verweekt en wordt bedekt met een korst. De laesie die als een vulkaan of krater boven de omgevende huid verheven is, blijft 4-6 maanden bestaan zonder veel verandering te ondergaan. Hierna treden in 3-24 maanden, meestal langer dan één jaar fibrosering en spontane genezing op. Een scherp omschreven, onregelmatig litteken blijft achter. Vaak is er slechts één laesie, gewoonlijk op het gezicht. Soms ontstaan satellietlaesies aan de periferie van de oorspronkelijke laesie die genezen lijkt.

L. major-infectie
L. major komt voor van Marokko tot Noordwest-India. Sovjet-Centraal-Azië vormt de noordelijke begrenzing, Kenia de zuidelijke. De parasiet komt voor in semi-droge en droge gebieden. Knaagdieren vormen het reservoir. De lokale bevolking wordt op jeugdige leeftijd geïnfecteerd waarna zij immuun is. Door irrigatieprojecten, vestiging van een niet-immune bevolking en tijdens militaire operaties zijn de laatste jaren enkele epidemieën voorgekomen. De incubatieperiode is gewoonlijk minder dan vier maanden. De aandoeningen zijn meestal op de extremiteiten gelokaliseerd, met een voorkeur voor de benen, bij kinderen vaak in het gelaat. In meer dan de helft van de gevallen komen gegroepeerde laesies voor. Dit is waarschijnlijk het gevolg van het speciale steekgedrag van de zandvlieg. Satellietpapels rond de laesies en subcutane noduli ten gevolge van verspreiding langs de lymfbanen (zogenoemde 'sporotrichoïde' verspreiding) komen voor. Er bestaat een sterke tendens tot necrotisering en vorming van een hemorrhagische crusta. Als de crusta loslaat, ziet men een onregelmatige rode ulcusbodem met beslag. Deze ulcera zijn vaak langwerpig met een lengteas in de richting van de huidlijnen. Mede door secundaire wondinfectie met pathogene bacteriën (vooral hemolytische streptokokken of S. aureus) is de laesie vaak groter dan bij infectie met L. tropica. In het verloop van zo'n 2-8 maanden treedt genezing op onder de vorming van atrofische en onregelmatige littekens. In geval van meerdere laesies verlopen de evolutie en genezing asynchroon. In Saudi Arabië en Soedan zijn aantasting van huid en slijmvliezen door L. major beschreven. Het is onduidelijk of hier sprake is van uitbreiding van een huidlaesie of van metastatische verspreiding. Bij L. major, dat alleen cutane Leishmaniasis geeft is er de optie om niet te behandelen of hooguit cryotherapie toe te passen.

L. aethiopica-infectie
L. aethiopica komt voor in de hooglanden van Ethiopië en Kenia en kent de hyrax (klipdas) als reservoir. Hierbij ontstaan meestal cutane lesies (spontaan genezende ulcera) maar soms mucocutane of gedissemineerde cutane leishmaniasis.

Hyrax (klipdas)
hyrax (klipdas)

Foto: Kaldari, Wikimedia (Creative Commons License 4.0).


L. donovani infantum-infectie
L.d. infantum komt voor in Oost-China, Centraal-Azië en rond de Middellandse Zee. In de Nieuwe Wereld waar de parasiet L.d. chagasi heet, komt deze voor in Noordoost-Brazilië en in haarden in Midden- en Zuid-Amerika. Het is een parasiet van honden waarin een langdurige cutane en viscerale ziekte wordt veroorzaakt. Ook andere canidae (wolven, jakhalzen) zijn besmet gevonden; in Italië en Joegoslavië ook ratten. Gewoonlijk veroorzaakt L.d. infantum viscerale leishmaniasis maar in het westelijk deel van de Middellandse Zee-bekken zijn varianten oorzaak van cutane leishmaniasis. Er is een lange incubatietijd. Het merendeel der patiënten is jonger dan tien jaar. Meestal is slechts één laesie aanwezig die bij voorkeur in het gelaat is gelokaliseerd. De laesies blijven vaak lange tijd bestaan.


Leishmaniasis van de Nieuwe Wereld
Cutane leishmaniasis van de Nieuwe Wereld wordt veroorzaakt door een groot aantal species, subspecies en stammen van Leishmania die in twee grote groepen kunnen worden ingedeeld:
L. braziliensis-complex (L. braziliensis braziliensis, L.b. guyanensis, L.b. panamensis, L.b. lainso-ni) en L. mexicana-complex. De parasieten handhaven zich in wilde dieren of huisdieren.

L.b. braziliensis
L.b. braziliensis en varianten zijn het meest verbreid. Zij komen voor in verscheidene Midden-Amerikaanse en Zuid-Amerikaanse landen en zijn geïsoleerd uit vele wilde dieren en huisdieren. Infectie treedt op bij mensen die in het bos gaan werken of zich er vestigen. Karakteristiek is de slechte genezingstendens, waardoor een ernstige huidaandoening ontstaat die lang kan blijven bestaan (tot meer dan 10 jaar). Mucocutane verspreiding kan optreden. Mucosa-aantasting (espundia) treedt op door lymfogene of hematogene verspreiding vanuit een huidlaesie. Afwijkingen aan de mucosa kunnen zich voordoen terwijl de huidlaesie nog actief is, weken of maanden later maar ook tot tientallen jaren na genezing van het oorspronkelijke ulcus. In ongeveer 5% van de gevallen van L.b.braziliensis-infectie ontstaat mucocutane leishmaniasis. De kans op mucocutane leishmaniasis is groter bij grote of meerdere primaire laesies boven de gordel. Intensieve behandeling van primaire laesies voorkomt wellicht metastasering. De eerste tekenen van espundia doen zich meestal voor in de nasopharynx. Men onderscheidt het ulcererende en het niet-ulcererende type. Bij het niet-ulcererende type ziet met langdurig oedeem en hypertrofie met fibrosering van de bovenlip en/of de neus met destructie van het neuskraakbeen. Hierdoor kunnen zogenoemde 'facies leishmaniotica' met sterk prominerende bovenlip of de 'tapir-neus' met ingezakte neuswortel en prominerende neuspunt ontstaan. Er is langzame progressie.
Bij het ulcererende type daarentegen ziet men snelle en uitgebreide weefseldestructie (neus, bovenlip, palatum) en verminking. Bij beide vormen schrijdt de infectie voort ofwel per continuitatem ofwel door metastasering. Larynx en stembanden, trachea en oesophagus kunnen worden aangetast. Secundaire luchtweginfecties komen vaak voor en zijn frequente doodsoorzaken.

L.b. guyanensis
L.b. guyanensis en varianten komen alleen in het noordelijk deel van het Amazone-bekken voor (Brazilië, Colombia, Guyana, Suriname). De ziekte, bekend als 'bos-yaws', 'pian bois', komt voornamelijk voor bij boswerkers en militairen op patrouille. Bij L.b.guanensis kunnen meerdere lesies ontstaan door verspreiding langs de lymfbanen. Net als bij infectie met L.b.panamensis kunnen ook lymfklieren zijn aangetast. Dit beeld lijkt op sporotrichose. De spontane genezingstendens is gering.

L. mexicana
Infecties door parasieten behorend tot het L. mexicana complex (L. mexicana mexicana, L.m. amazonensis, L.m. venezuelensis, L.m. garnhami, L.m. pifanoi). L.m. Mexicana en varianten komen in Midden-amerika en Colombia voor en sporadisch in Texas, Verenigde Staten. L.m. amazonensis komt voor in Zuid-amerika, Costa Rica en Panama. Infectie van de mens is niet frequent. De overige species komen voor in Venezuela. Gewoonlijk veroorzaakt L.m. mexicana een enkelvoudige laesie die binnen 1 à 2 jaar geneest. Uitbreiding van de infectie van de huid aan het oor naar het kraakbeen geeft een zeer moeilijk te behandelen, chronische ontsteking die uiteindelijk leidt tot verminking ('chiclero-zweer', genoemd naar de beroepsgroep waarbij dit vaak voorkomt, verzamelaars van gom: chicle = gom). Het specifieke voorkomen van de ontsteking van de oren komt door het beetgedrag van de vector.


Diagnostiek:
- PA-biopt (HE-kleuring of Giemsa kleuring). Biopt afnemen van de rand van een ulcus. In mucosa lesies zijn de parasieten moeilijk aan te tonen.
- PCR (polymerase chain reaction) op vers biopt, PCR NASBA.
- Dep-preparaat / Uitstrijk (Giemsa-kleuring).
- Kweken door enten op diverse media zoals Schneider, NNM (Novy-McNeal-Nicolle-medium), Dwyer, Rugai. Leishmania kan gekweekt worden in hamsters (Syrische goudhamster).
- DTH (delayed type hypersensitivity) skin test (Leishmanine test / Montenegro-test), aflezen na 48-72 uur. Positief bij actieve en genezen cutane en mucocutane Leishmaniasis, en bij genezen viscerale Leishmaniasis. Bij gedissemineerde cutane Leishmaniasis is de reactie negatief. Niet betrouwbaar genoeg.
- Serologie: indirecte immunoflorescentie; directe agglutinatie test. De serologische testen zijn niet betrouwbaar genoeg.
De diagnose Leishmania wordt gesteld op het klinisch beeld plus de anamnese en de PA (het aantonen van de Leishmania bodies). De PCR test is nodig ter bevestiging en om het type Leishmania parasiet vast te stellen. Dit is belangrijk, omdat bij sommige vormen (o.a. L.b.braziliensis) een agressievere behandeling nodig is.


BEHANDELING VAN CUTANE LEISHMANIASIS (Leishmania tropica en overige Leishmaniasoorten)

Pentostam (sodium stibogluconate) is niet meer leverbaar. In Nederland is wel Pentacarinat (pentamidine isetionaat) en Tillomed (pentamidine di-isetionaat) beschikbaar, en liposomaal amfotericine B. Glucantime (meglumine antimonate) kan met een artsenverklaring worden geïmporteerd uit Frankrijk. In Nederland wordt glucantime gebruikt in de diergeneeskunde. Miltefosine is soms met een artsenverklaring te importeren, maar het is moeilijk om dit te regelen, en ook het aanvragen van de vergoeding door de zorgverzekeraar is een tijdrovend bureaucratisch proces.

Therapie bij tot de huid beperkte vormen:
Afwachten, cryochirurgie, chirurgie, electrocoagulatie, lokale therapie (intralesionaal Glucantime (meglumine antimonate)). Sommige vormen (L. major, L. tropica, L. mexicana) genezen spontaan en hebben geen behandeling nodig.
R/ Cryotherapie: Geschikt voor acute (recente) gelokaliseerde vormen. Vriestijd < 60 sec, tot zich een ijsbal vormt met een marge van 2 mm rond de lesie.
R/ Elektro-coagulatie: bij sommige lokale vormen mogelijk, evenals chirurgische excisie.
R/ Thermomed ® (Thermosurgery Inc Phoenix USA) is een apparaat dat de huid gecontroleerd verhit tot 50 ºC. Gedurende 30 seconden verhitten (eventueel eerst verdoven), in totaal 3 keer met een interval van een week. Zie website Thermosurgery.
R/ PDT (fotodynamische therapie) en daglicht-PDT.

Lokale en intralesionale medicamenteuze therapie:
R/ Glucantime (meglumine antimonate) intralesionaal. Glucantime (zie bijsluiter) kan met een artsenverklaring worden geïmporteerd uit Frankrijk. Het wordt geleverd in ampullen van 5 ml (verpakking van 5 ampullen). Het is geschikt voor injectie van kleinere laesies, tot 3-4 cm doorsnede. De hoeveelheid die per keer moet worden ingespoten hangt af van de grootte. Voor kleine laesies kan 0.2-1 ml per keer al voldoende zijn; maximaal 5 ml per keer. Het is genoeg als de hele laesie geïndureerd aanvoelt door het ingespoten volume. Gebruik kleine diabetes spuitjes van 0.5 ml met een dunne naald voor pijnloos inspuiten. Het effect verbetert als het de eerste keer wordt gecombineerd met voorafgaande cryotherapie. Bevries de gehele laesie zo lang dat een ijsbal ontstaat die zich tot 2 mm rond de laesie uitbreidt. De behandeling moet meerdere keren worden herhaald. Hiervoor circuleren verschillende schema's, bijvoorbeeld 1-2 keer per week, 2-5 keer in totaal, of ma-wo-vrij en dan het effect afwachten en zonodig herhalen.

In andere landen circuleren magistrale recepten voor lokale therapie:
R/ P-ointment (Paromomycine): paromomycine sulfaat 15%, methylbenzathoniumchloride 12%, paraffine liquidum ad .., 2 dd lokale applicatie gedurende 10 dagen.
R/ paromomycin sulfate (15%) en gentamicine sulfate (0.5%) in cremor lanette 2 dd op ulcus gedurende 20 dagen.
R/ Chloorpromazine 2% zalf 2 dd gedurende 10 dagen.


Systemische therapie:
R/ itraconazol 2 dd 100 mg, tot genezing voortzetten. Itraconazol is effectief tegen sommige vormen van cutane leishmaniasis uit de Oude Wereld (voornamelijk L. major), tegen L. mexicana infecties en tegen sommige, niet agressieve infecties door L. braziliensis.
R/ rifampicine 600-1200 mg per dag, eventueel combineren met INH (isoniazide), tot genezing.
R/ AmBisome (amphotericine B in liposomen) poeder voor i.v. injectie, flacon à 50 mg. Intraveneus 1-1.5 mg/kg lichaamsgewicht per dag gedurende 21 dagen of 3-4 mg/kg per dag gedurende 10 dagen. Bij een onderdrukt immuunsysteem (bv. HIV-positieve patiënten): 1-1.5 mg/kg per dag gedurende 21 dagen. Dit is de dosering die het kompas adviseert. Er circuleren ook andere schema's, bijvoorbeeld 20 mg/kg verdeeld over 4 doses van 5 mg/kg, verdeeld over 4-10 dagen.
R/ pentamidine (di-)isetionaat injectie poeder, 300 mg (Pentacarinat, Tillomed), 4 mg/kg lichaamsgewicht per dag i.v. of i.m. gedurende 7-10 dagen. Voor de Surinaamse variant (L. b. guyanensis), die in Nederland veel voorkomt als importziekte volstaan 4 giften van 4 mg/kg pentacarinat verdeeld over 1 week volgens het schema ma - wo - vr - ma. Een alternatief is 2-3 giften intraveneus van 7 mg/kg, om de dag. Pentamidine is toxisch. Voorzichtig bij lever- of nierinsufficiëntie, hyper- of hypotensie, hyper- of hypoglycemie. Bij voorkeur opnemen en langzaam (à 60 min) i.v. toedienen. Controle voor, tijdens (dagelijks) en na behandeling van bloeddruk, bloedbeeld, kreatinine nuchter glucose, elektrolyten, ureum, urine, en wekelijks bilirubine, AF, OT, PT. Zie verder onder pentamidine.
R/ Miltefosine 3 dd 50 mg 28 dagen. Miltefosine is op artsenverklaring verkrijgbaar als capsules van 10 of 50 mg. De dagelijkse dosis voor kinderen van 3 jaar en ouder en volwassenen ligt tussen de 1,5 en 2,5 mg/kg lichaamsgewicht. De maximale dosis is 150 mg/dag; hogere doses worden slecht verdragen. De duur van de behandeling is 28 dagen. Niet alle Leishmania-soorten zijn even gevoelig voor miltefosine; in aflopende volgorde: L. donovani, L. aethiopica, L. tropica, L. mexicana, L. panamensis en L. major.
R/ Glucantime (meglumine antimonate, methyl glucamine antimoniate) i.m. 50-60 mg/kg per dag gedurende 12 dagen. Wordt bij de mens niet meer vaak toegepast, wel bij de hond.
R/ Mepacrine (Quinacrine) of chloroquin. Quinacrine is in Nederland niet meer leverbaar.


BEHANDELING VAN LEISHMANIASIS MUCOCUTANEA (Leishmania brasiliensis)
R/ Miltefosine 3 dd 50 mg 28 dagen.


BEHANDELING VAN LEISHMANIA VISCERALIS (kala-azar, veroorzaakt door Leishmania donovani)
R/ AmBisome (amphotericine B in liposomen) poeder voor i.v. injectie, flacon à 50 mg, 20 mg/kg verdeeld over 4 doses van 5 mg/kg, verdeeld over 4-10 dagen.
R/ Miltefosine 3 dd 50 mg 28 dagen.

Preventie
Bestrijden van de gastheer, gesloten kleding dragen, muskieten netten, DEET, permethrine geïmpregneerde kleding.

Evidence
Er is weinig evidence, omdat er niet zoveel goede gerandomizeerde studies zijn uitgevoerd.


Referenties
1. Faber WR, Hay RJ, Naafs B. Imported Skin Diseases. Elsevier, 2007. ISBN 9789035228047.
2. Blum J, Desjeux P, Schwartz E, Beck B, Hatz C. Treatment of cutaneous leishmaniasis among travellers. Journal of Antimicrobial Chemotherapy (2004) 53, 158-166. PDF
3. Inceboz T. Epidemiology and Ecology of Leishmaniasis [Internet]. Current Topics in Neglected Tropical Diseases. IntechOpen; 2019.
Available from: http://dx.doi.org/10.5772/intechopen.86359.
4. Burza S, Sinha PK, Mahajan R, Lima MA, Mitra G, Verma N, Balasegaram M, Das P. Five-year field results and long-term effectiveness of 20 mg/kg liposomal amphotericin B (Ambisome) for visceral leishmaniasis in Bihar, India. PLoS Negl Trop Dis 2014 Jan 2;8(1):e2603.
5. García Bracamonte B, Burillo Martínez S, Morales Raya C, Ortiz Romero P. Electrocardiographic Alterations Related to Intralesional Glucantime® Treatments: A Potentially Severe Adverse Event. Actas Dermosifiliogr 2022;113(7):742-744.
6. Silva RE, Toledo A Júnior, Senna MC, Rabello A, Cota G. Intralesional meglumine antimoniate for the treatment of localised cutaneous leishmaniasis: a retrospective review of a Brazilian referral centre. Mem Inst Oswaldo Cruz 2016;111(8):512-516.
7. Asilian A, Sadeghinia A, Faghihi G, Momeni A. Comparative study of the efficacy of combined cryotherapy and intralesional meglumine antimoniate (Glucantime) vs. cryotherapy and intralesional meglumine antimoniate (Glucantime) alone for the treatment of cutaneous leishmaniasis. Int J Dermatol 2004;43(4):281-283.
8. Vital-Fujii DG, Baptista MS. Progress in the photodynamic therapy treatment of Leishmaniasis. Braz J Med Biol Res 2021;54(12):e11570.


Author(s):
dr. Jan R. Mekkes. Dermatologist, Amsterdam UMC.

26-02-2024 (JRM) - www.skin-diseases.eu Terug naar homepagina



Diagnosis codes:
ICD10 B55.0 Viscerale leishmaniasis
ICD10 B55.0 Visceral leishmaniasis
SNOMED 186803007 Visceral leishmaniasis
DBC 4 spacer Dermatosen door micro-organismen

ICD10 B55.0 Viscerale leishmaniasis: hemorrhagische leishmaniasis
ICD10 B55.0 Visceral leishmaniasis: haemorrhagic leishmaniasis
SNOMED 240636002 Haemorrhagic leishmaniasis
DBC 4 spacer Dermatosen door micro-organismen

ICD10 B55.0 Viscerale leishmaniasis: post kala-azar dermale leishmaniasis
ICD10 B55.0 Visceral leishmaniasis: post-kala-azar dermal leishmaniasis
SNOMED 67896006 Post-kala-azar dermal leishmaniasis
DBC 4 spacer Dermatosen door micro-organismen

ICD10 B55.1 Cutane leishmaniasis
ICD10 B55.1 Cutaneous leishmaniasis
SNOMED 240637006 Cutaneous leishmaniasis
DBC 4 spacer Dermatosen door micro-organismen

ICD10 B55.1 Cutane leishmaniasis: gelokaliseerde cutane leishmaniasis
ICD10 B55.1 Cutaneous leishmaniasis: localized cutaneous leishmaniasis
SNOMED 735738004 Localized cutaneous leishmaniasis
DBC 4 spacer Dermatosen door micro-organismen

ICD10 B55.1 Cutane leishmaniasis: gelokaliseerde cutane leishmaniasis met nodulaire lymfangitis
ICD10 B55.1 Cutaneous leishmaniasis: localized cutaneous leishmaniasis co-occurrent with nodular lymphangitis
SNOMED 866117003 Localized cutaneous leishmaniasis co-occurrent with nodular lymphangitis
DBC 4 spacer Dermatosen door micro-organismen

ICD10 B55.1 Cutane leishmaniasis: diffuse cutane leishmaniasis
ICD10 B55.1 Cutaneous leishmaniasis: diffuse cutaneous leishmaniasis
SNOMED 38573008 Diffuse cutaneous leishmaniasis
DBC 4 spacer Dermatosen door micro-organismen

ICD10 B55.1 Cutane leishmaniasis: diffuse cutane leishmaniasis van de nieuwe wereld
ICD10 B55.1 Cutaneous leishmaniasis: diffuse cutaneous New World leishmaniasis
SNOMED 240645001 Diffuse cutaneous New World leishmaniasis
DBC 4 spacer Dermatosen door micro-organismen

ICD10 B55.1 Cutane leishmaniasis: acute necrotiserende cutane leishmaniasis
ICD10 B55.1 Cutaneous leishmaniasis: acute necrotising cutaneous leishmaniasis
SNOMED 30595008 Acute necrotising cutaneous leishmaniasis
DBC 4 spacer Dermatosen door micro-organismen

ICD10 B55.1 Cutane leishmaniasis: ulcererende cutane leishmaniasis
ICD10 B55.1 Cutaneous leishmaniasis: ulcerating cutaneous leishmaniasis
SNOMED 75656006 Ulcerating cutaneous leishmaniasis
DBC 4 spacer Dermatosen door micro-organismen

ICD10 B55.1 Cutane leishmaniasis: recidiverende cutane leishmaniasis
ICD10 B55.1 Cutaneous leishmaniasis: recurrent cutaneous leishmaniasis
SNOMED 17794004 Recurrent cutaneous leishmaniasis
DBC 4 spacer Dermatosen door micro-organismen

ICD10 B55.1 Cutane leishmaniasis: gedissemineerde anergische leishmaniasis
ICD10 B55.1 Cutaneous leishmaniasis: disseminated anergic leishmaniasis
SNOMED 4499004 Disseminated anergic leishmaniasis
DBC 4 spacer Dermatosen door micro-organismen

ICD10 B55.1 Cutane leishmaniasis: late cutane leishmaniasis
ICD10 B55.1 Cutaneous leishmaniasis: late cutaneous leishmaniasis
SNOMED 50414000 Late cutaneous leishmaniasis
DBC 4 spacer Dermatosen door micro-organismen

ICD10 B55.1 Cutane leishmaniasis: Leishmania mexicana
ICD10 B55.1 Cutaneous leishmaniasis: Leishmania mexicana
SNOMED 77327004 Infection caused by Leishmania mexicana
DBC 4 spacer Dermatosen door micro-organismen

ICD10 B55.1 Cutane leishmaniasis: Leishmania mexicana gelokaliseerde cutane leishmaniasis
ICD10 B55.1 Cutaneous leishmaniasis: Leishmania mexicana localized cutaneous leishmaniasis
SNOMED 403137007 Leishmania mexicana localized cutaneous leishmaniasis
DBC 4 spacer Dermatosen door micro-organismen

ICD10 B55.1 Cutane leishmaniasis: Leishmania brasiliensis complex
ICD10 B55.1 Cutaneous leishmaniasis: Leishmania brasiliensis complex
SNOMED 403136003 Leishmania brasiliensis complex cutaneous leishmaniasis
DBC 4 spacer Dermatosen door micro-organismen

ICD10 B55.1 Cutane leishmaniasis: Leishmania panamensis
ICD10 B55.1 Cutaneous leishmaniasis: Leishmania panamensis
SNOMED 240649007 Panamanian leishmaniasis
DBC 4 spacer Dermatosen door micro-organismen

ICD10 B55.1 Cutane leishmaniasis: Aziatische woestijnvorm
ICD10 B55.1 Cutaneous leishmaniasis: Asian desert cutaneous leishmaniasis
SNOMED 186807008 Asian desert cutaneous leishmaniasis
DBC 4 spacer Dermatosen door micro-organismen

ICD10 B55.1 Cutane leishmaniasis: zoönotische vorm van cutane leishmaniasis
ICD10 B55.1 Cutaneous leishmaniasis: zoonotic form of cutaneous leishmaniasis
SNOMED 15207003 Zoonotic form of cutaneous leishmaniasis
SNOMED 240641005 Classical zoonotic cutaneous leishmaniasis
SNOMED 240643008 Indian zoonotic cutaneous leishmaniasis
SNOMED 240642003 Middle Eastern zoonotic cutaneous leishmaniasis
SNOMED 240644002 Sahelian zoonotic cutaneous leishmaniasis
DBC 4 spacer Dermatosen door micro-organismen

ICD10 B55.1 Cutane leishmaniasis: Ethiopische vorm
ICD10 B55.1 Cutaneous leishmaniasis: Leishmania aethiopica
SNOMED 59121004 Infection by Leishmania aethiopica
DBC 4 spacer Dermatosen door micro-organismen

ICD10 B55.1 Cutane leishmaniasis: diffuse cutane leishmaniasis veroorzaakt door Leishmania aethiopica
ICD10 B55.1 Cutaneous leishmaniasis: diffuse cutaneous leishmaniasis caused by Leishmania aethiopica
SNOMED 442003006 Diffuse cutaneous leishmaniasis caused by Leishmania aethiopica
DBC 4 spacer Dermatosen door micro-organismen

ICD10 B55.1 Cutane leishmaniasis: urbane vorm
ICD10 B55.1 Cutaneous leishmaniasis: urban form
SNOMED 41235001 Dry form of cutaneous leishmaniasis
DBC 4 spacer Dermatosen door micro-organismen

ICD10 B55.2 Mucocutane leishmaniasis
ICD10 B55.2 Mucocutaneous leishmaniasis
SNOMED 721813000 Mucocutaneous infection caused by Leishmania
DBC 4 spacer Dermatosen door micro-organismen

ICD10 B55.2 Mucocutane leishmaniasis: gedissemineerd
ICD10 B55.2 Mucocutaneous leishmaniasis: disseminated
SNOMED 28697001 Disseminated mucocutaneous leishmaniasis
DBC 4 spacer Dermatosen door micro-organismen

ICD10 B55.2 Mucocutane leishmaniasis: Amerikaanse mucocutane leishmaniasis
ICD10 B55.2 Mucocutaneous leishmaniasis: American mucocutaneous leishmaniasis
SNOMED 403135004 American mucocutaneous leishmaniasis
SNOMED 402141004 American cutaneous/mucocutaneous Leishmaniasis
DBC 4 spacer Dermatosen door micro-organismen

ICD10 B55.2 Mucocutane leishmaniasis: Leishmaniasis brasiliensis
ICD10 B55.2 Mucocutaneous leishmaniasis: Leishmaniasis brasiliensis
SNOMED 39625001 Infection by Leishmania braziliensis
DBC 4 spacer Dermatosen door micro-organismen

ICD10 B55.9 Leishmaniasis, niet gespecificeerd
ICD10 B55.9 Leishmaniasis, unspecified
SNOMED 80612004 Leishmaniasis
DBC 4 spacer Dermatosen door micro-organismen