Het
maligne melanoom is de gevaarlijkste vorm van
huidkanker. Jaarlijks overlijden in Nederland circa 800 mensen aan een melanoom
(350 vrouwen, 3.1 per 100.000, en 450 mannen, 4.7 per 100.000). Het melanoom
is verantwoordelijk voor circa 1% van alle sterfte aan kanker. De incidentie
is toegenomen en is in Nederland hoger dan in omringende Europese landen (25.1
per 100.000 persoonsjaren voor vrouwen en 20.4 voor mannen). Dit komt door een
hoge blootstelling aan zon; al sinds de jaren 50 zoeken
de welvarende Nederlanders veelvuldig de zon op, en beschermen met zonnebrandcrème
was in die periode niet gebruikelijk. Het komt ook door het
lichte
huidtype van de Nederlandse bevolking, circa 60% heeft huidtype
1 of 2. De incidentie stijgt nog steeds, vooral bij ouderen. De sterfte stijgt
niet even hard mee, procentueel is de sterfte in de afgelopen jaren zelfs iets
afgenomen, waarschijnlijk door betere voorlichting en daardoor ontdekking in
een vroegere fase. Tijdige ontdekking (overeenkomend met een kleine Breslow
dikte) is bepalend voor de prognose. De 10 jaarsoverleving voor alle dikten
is circa 77% voor mannen (was in de jaren '90 70%) en 88% voor vrouwen (was
85%). Voor melanomen dunner dan 1 mm ligt het rond de 98%. De meeste melanomen
ontwikkelen zich langzaam (1-2 jaar), maar er bestaan ook snelgroeiende varianten
(enkele maanden) die bij diagnose al dik zijn en een slechte prognose hebben.
De absolute sterfte neemt toe.
RisicofactorenBekende risicofactoren zijn blootstelling
aan UV-straling (strand, zonnebank, opgegroeid in de Tropen), episodes van ernstige
verbranding op jonge leeftijd, huidtype I (pigmentarme huid), rood of blond
haar, blauwe ogen, sproeten, veel actinische schade, lentigines, basaalcelcarcinoom
of plaveiselcelcarcinoom in de voorgeschiedenis, melanoom in de familie, veel
congenitale naevi (> 100), > 5 atypische naevi (zie onder dysplastisch
naevussyndroom). Het is verstandig om overmatige blootstelling aan UV-straling
te vermijden. De laatste jaren is het standpunt hierover iets milder geworden,
totale vermijding van de zon is ook niet goed, want dan kan een vitamine D tekort
ontstaan, maar verbranding moet worden voorkomen.
Klinisch beeld
Een melanoom wordt herkend op het
klinisch beeld.
Bij inspectie let men op: grootte, lokalisatie, aspect (grillige vorm of oppervlak;
onregelmatige begrenzing; kleurvariatie; erytheem, niet doorlopen van huidlijnen
over de lesie; ulceratie of korstvorming; satellieten). Zie ook onder
ABCDE regel voor het beoordelen van naevi.
Hierbij staat elke letter voor een kenmerk van een naevus dat wijst op mogelijke
overgang naar een melanoom. De ABCDE regel is oorspronkelijk Engelstalig, de
A staat voor Asymmetry (het niet symmetrisch zijn van de naevus), de B voor
Border (rand), de C voor Color (kleur), de D voor Diameter (doorsnede, grootte)
en de E voor Evolution (verandering), of Elevation (het ontstaan van een verhevenheid).
Bij de inspectie hoort ook palpatie van regionale lymfklier stations. Ook de
anamnese is van belang: kleurverandering, groei, jeuk,
ulceratie, bloeden? melanomen in familie? (zoja, eerstegraads of tweedegraads?)
Huidtype? Zonverbrandingen?
![Superficial spreading melanoma (click on photo to enlarge) [source: www.huidziekten.nl] Superficial spreading melanoma](../../../images/melanoom-4z.jpg) |
![Superficial spreading melanoma (click on photo to enlarge) [source: www.huidziekten.nl] Superficial spreading melanoma](../../../images/melanoom-5z.jpg) |
![Superficial spreading melanoma (click on photo to enlarge) [source: www.huidziekten.nl] Superficial spreading melanoma](../../../images/melanoom-6z.jpg) |
| melanoom |
melanoom |
melanoom |
![Superficial spreading melanoma (click on photo to enlarge) [source: www.huidziekten.nl] Superficial spreading melanoma](../../../images/melanoom-7z.jpg) |
![Superficial spreading melanoma (click on photo to enlarge) [source: www.huidziekten.nl] Superficial spreading melanoma](../../../images/melanoom-9z.jpg) |
![Nodulair melanoma (click on photo to enlarge) [source: www.huidziekten.nl] Nodulair melanoma](../../../images/nodulair-melanoom-2z.jpg) |
| melanoom |
melanoom |
melanoom |
![Nodulair melanoma (click on photo to enlarge) [source: www.huidziekten.nl] Nodulair melanoma](../../../images/nodulair-melanoom-4z.jpg) |
![Nodulair melanoma (click on photo to enlarge) [source: www.huidziekten.nl] Nodulair melanoma](../../../images/nodulair-melanoom-5z.jpg) |
![Nodulair melanoma (click on photo to enlarge) [source: www.huidziekten.nl] Nodulair melanoma](../../../images/nodulair-melanoom-6z.jpg) |
|
nodulair melanoma |
nodulair melanoma |
nodulair melanoma |
Voor het herkennen van een melanoom is klinische ervaring nodig.
Nodulaire melanomen zijn makkelijk te herkennen, maar de andere varianten
soms niet.
Dermatoscopisch onderzoek kan helpen bij het stellen
van de diagnose, maar ook daarvoor geldt dat training en ervaring met
dermatoscopie nodig is om een melanoom
te kunnen onderscheiden van een (dysplastische) naevus. Zie ook beoordeling
van dermatoscopische kenmerken volgens de
ABCD dermatoscopie score. Bij dermatoscopie
worden sommige laesies die er klinisch niet uitzien als een melanoom, toch op
dermatoscopische criteria verdacht. De sensitiviteit neemt toe maar de specificiteit
neemt af: er worden dan ook laesies verwijderd die achteraf histologisch geen
melanoom bleken te zijn. Dat is echter niet erg: het is beter om bij de geringste
twijfel te excideren dan een melanoom te missen. Dermatoscopie kan er ook toe
leiden dat sommige laesies niet hoeven te worden geëxcideerd, omdat bij dermatoscopie
toch duidelijk blijkt dat het iets anders is, bijvoorbeeld een gepigmenteerde
verruca seborroica of een angioom. Dermatologen zijn van alle disciplines het
best in het stellen van de juiste diagnose, maar 100% accuratesse kan nooit
worden bereikt. Er zijn vele voorbeelden van laesies die klinisch en dermatoscopisch
totaal niet herkend konden worden als melanoom, zelfs niet door ervaren dermatologen,
maar waar dat histologisch er toch uit kwam.
![Superficial spreading melanoma (click on photo to enlarge) [source: www.huidziekten.nl] Superficial spreading melanoma](../../../images/dermatoscopie1z.jpg) |
![Dermatoscopie superficial spreading melanoma (click on photo to enlarge) [source: www.huidziekten.nl] Dermatoscopie superficial spreading melanoma](../../../images/dermatoscopie2z.jpg) |
![Dermatoscopie superficial spreading melanoma (click on photo to enlarge) [source: www.huidziekten.nl] Dermatoscopie superficial spreading melanoma](../../../images/melanoom-dermatoscopie-1z.jpg) |
|
dermatoscopie superficial spreading melanoma |
dermatoscopie |
Klinische variantenDe meest voorkomende vorm is
het
superficial spreading melanoma, daarna
nodulair melanoma,
lentigo maligna melanoma
en
acrolentigineus melanoma. Verder bestaan nog het
slecht te herkennen
amelanotisch
melanoom, het
desmoplastisch melanoom, het
subunguaal melanoom
(
Hutchinson's sign), het mucosaal
melanoom (infauste prognose), het melanoom van het oog, en het melanoom van
de meningen en andere delen van het centraal zenuwstelsel.
Lentigo maligna is een langzaam groeiend
in-situ melanoma (horizontale groeifase). Als tumorcellen invasief worden (verticale
groeifase) wordt de laesie lentigo maligna melanoma (LMM) genoemd. Niet iedereen
past deze terminologie nauwkeurig toe waardoor verwarring kan ontstaan (opletten).
| Klinische varianten: |
| superficial spreading melanoma (SSM) |
70% |
| nodulair melanoma (NM) |
20% |
| lentigo maligna melanoma (LMM) |
5% |
| acrolentigineus melanoma (ALM) |
5% |
![Superficial spreading melanoma (click on photo to enlarge) [source: www.huidziekten.nl] Superficial spreading melanoma](../../../images/melanoom-13z.jpg) |
![Nodulair spreading melanoma (click on photo to enlarge) [source: www.huidziekten.nl] Nodulair melanoma](../../../images/melanoom-12z.jpg) |
![Lentigo maligna melanoma (click on photo to enlarge) [source: www.huidziekten.nl] Lentigo maligna melanoma](../../../images/lentigo-maligna-1z.jpg) |
| superficial
spreading |
nodulair
melanoma |
lentigo
maligna |
![Acrolentigineus melanoom (click on photo to enlarge) [source: www.huidziekten.nl] Acrolentigineus melanoom](../../../images/acrolentigineus-melanoom-1z.jpg) |
![Amelanotisch melanoom (click on photo to enlarge) [source: www.huidziekten.nl] Amelanotisch melanoom](../../../images/amelanotisch-melanoom-1z.jpg) |
![Acrolentigineus melanoom (click on photo to enlarge) [source: www.huidziekten.nl] Acrolentigineus melanoom](../../../images/nail-disorders/subunguaal-melanoom-1z.jpg) |
| acrolentigineus
melanoma |
amelanotisch
melanoom |
subunguaal
melanoom |
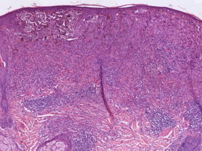
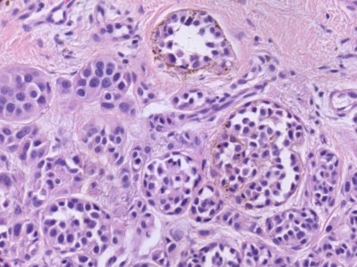
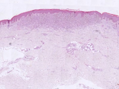
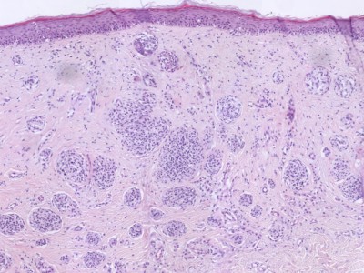
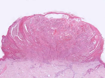
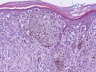
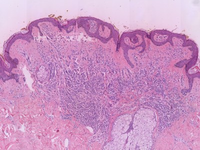
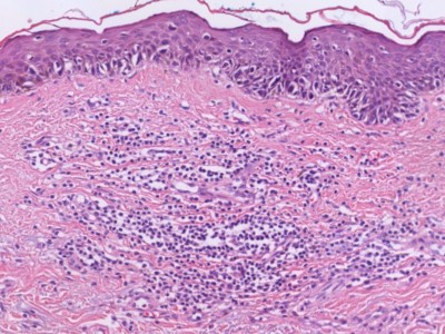
PA:Ook histologisch is het
superficial
spreading melanoom de meest voorkomende variant. Hierbij zijn de nesten van
atypische melanocyten gelegen in een band onder de epidermis. Er is
hoofdzakelijk groei in horizontale richting. Soms is er plaatselijk een
verticale groeifase, met invasie in de diepte of juist exofytische groei
zoals bij een
nodulair melanoom. Een andere veel voorkomende variant is het
in-situ melanoom, dat klinisch meestal beschreven wordt als lentigo maligna.
Kenmerken van maligniteit zijn melanocyten die opstijgen in de epidermis
(ascensie) of de dermis ingroeien, maar ook cellulaire kenmerken van de
melanocyten zelf (cytonucleaire atypie, kernpolymorfie, hyperchromatische
kernen, ruim helder tot eosinofiel cytoplasma, mitosefiguren). In het PA
verslag is de diepte van invasie belangrijk. Dit kan worden beschreven
t.o.v. de huidlagen (Clark levels), maar het is gebruikelijk om het te meten
in mm vanaf de epidermis (Breslow-dikte). Verder is het belangrijk of er epidermale ulceratie
is. Andere kenmerken die de patholoog kan beschrijven is (lymf) angio-invasie,
aanwezigheid / aantal dermale mitosefiguren, perineurale groei, lymfocytaire afweer respons, regressie, microsatellitose.
PA superficial
spreading melanoom:De epidermis bevat een groot deel van de primaire laesie. Men ziet hier een Pagetoïde verdeling van de maligne melanocyten. Vaak ziet men nestjes cellen intra-epidermaal. Grote melanoomcellen kunnen zich tot in de oppervlakte van de epidermis, soms zelfs tot in het stratum corneum bevinden, solitaire zowel als omschreven groepjes. Ook kunnen ze vrijwel de gehele epidermispopulatie vervangen. De meeste intra-epidermale cellen zijn van het epitheloide type met fijnkorrelig pigment in het cytoplasma. De kernen zijn irregulair en hebben één of meer nucleoli. Mitosen komen voor, maar niet frequent. Er is een grotere monomorfie van de intra-epidermale melanoomcellen dan bij
lentigo maligna melanoma het geval is. Zolang het melanoom nog intra-epidermaal is, is er vrijwel geen ontstekings infiltraat in de cutis. Invasie van de cutis (stadium II) toont hetzelfde celtype als intra-epidermaal. De cellen vormen een geheel met het intra-epidermale deel. Soms liggen zij in strengen, nesten of solitair. Steeds ziet men een dicht aspecifiek lymfohistiocytair infiltraat met mestcellen en plasmacellen en een aantal melanofagen. In stadium III neigen de cellen tot vorming van kleine nesten. Sommige nesten bevatten vrijwel geen pigment (amelanotisch melanoom). Vanaf stadium III (de grens van stratum papillaire-reticulaire) groeien celstrengen tussen de collageen bundels van het stratum reticulaire door, soms tot in de subcutis (stadium V). In dat geval is de epidermis meestal ulceratief en toont nog maar weinig intra-epidermale tumorcellen.
![Histologie lentigo maligna melanoma (click on photo to enlarge) [source: Kevin Kwee / Afdeling Pathologie MUMC] Histologie lentigo maligna melanoma](../../../pacoupes/thumbnails/lentigo-maligna-melanoma-1.jpg) |
![Histologie lentigo maligna melanoma (click on photo to enlarge) [source: Kevin Kwee / Afdeling Pathologie MUMC] Histologie lentigo maligna melanoma](../../../pacoupes/thumbnails/lentigo-maligna-melanoma-2.jpg) |
![Histologie acraal melanoma (click on photo to enlarge) [source: Kevin Kwee / Afdeling Pathologie MUMC] Histologie acraal melanoma](../../../pacoupes/thumbnails/acraal-melanoom.jpg) |
|
ingescande coupe (zoom) |
ingescande coupe (zoom) |
ingescande coupe (zoom) |
![Histologie nodulair melanoma (click on photo to enlarge) [source: Kevin Kwee / Afdeling Pathologie MUMC] Histologie nodulair melanoma](../../../pacoupes/thumbnails/melanoma-maligna-nodulair.jpg) |
![Histologie superficial spreading melanoma (click on photo to enlarge) [source: Kevin Kwee / Afdeling Pathologie MUMC] Histologie superficial spreading melanoma](../../../pacoupes/thumbnails/melanoma-maligna-superficial-spreading-1.jpg) |
![Histologie superficial spreading melanoma (click on photo to enlarge) [source: Kevin Kwee / Afdeling Pathologie MUMC] Histologie superficial spreading melanoma](../../../pacoupes/thumbnails/melanoma-maligna-superficial-spreading-2.jpg) |
|
ingescande coupe (zoom) |
ingescande coupe (zoom) |
ingescande coupe (zoom) |
![Histologie superficial spreading melanoma (click on photo to enlarge) [source: Kevin Kwee / Afdeling Pathologie MUMC] Histologie superficial spreading melanoma](../../../pacoupes/thumbnails/melanoma-maligna-superficial-spreading-3.jpg) |
![Histologie superficial spreading melanoma (click on photo to enlarge) [source: Kevin Kwee / Afdeling Pathologie MUMC] Histologie superficial spreading melanoma](../../../pacoupes/thumbnails/melanoma-maligna-superficial-spreading-4.jpg) |
![Histologie superficial spreading melanoma (click on photo to enlarge) [source: Kevin Kwee / Afdeling Pathologie MUMC] Histologie superficial spreading melanoma](../../../pacoupes/thumbnails/melanoma-maligna-superficial-spreading-5.jpg) |
|
ingescande coupe (zoom) |
ingescande coupe (zoom) |
ingescande coupe (zoom) |
![Histologie superficial spreading melanoma (click on photo to enlarge) [source: Kevin Kwee / Afdeling Pathologie MUMC] Histologie superficial spreading melanoma](../../../pacoupes/thumbnails/melanoma-maligna-superficial-spreading-6.jpg) |
![Histologie superficial spreading melanoma (click on photo to enlarge) [source: Kevin Kwee / Afdeling Pathologie MUMC] Histologie superficial spreading melanoma](../../../pacoupes/thumbnails/melanoma-maligna-superficial-spreading-7.jpg) |
![Histologie superficial spreading melanoma (click on photo to enlarge) [source: Kevin Kwee / Afdeling Pathologie MUMC] Histologie superficial spreading melanoma](../../../pacoupes/thumbnails/melanoma-maligna-superficial-spreading-8.jpg) |
|
ingescande coupe (zoom) |
ingescande coupe (zoom) |
ingescande coupe (zoom) |
StageringDe stagering volgt het
TNM
systeem, maar ook de dikte in mm (
Breslow-dikte)
is van belang. De prognose is sterk afhankelijk van de Breslow-dikte. In de
Nederlandse richtlijn wordt geadviseerd om de
AJCC
(American Joint Committee on Cancer) indeling te volgen. De AJCC indeling geeft
een nauwkeuriger inschatting van de levensverwachting.
De AJCC classificatie
is in 2017 veranderd, zowel de TNM classificatie als de stadiumindeling is aangepast.
In de
oude classificatie 2012-2017
was één van de criteria voor indeling in stadium T1a of T1b of het aantal
mitosen < 1 per mm
2
is of ≥ 1 per mm
2.
In de nieuwe classificatie is dit criterium vervallen en is ook de Breslow dikte
van T1a aangepast van ≤ 1.0 mm naar < 0.8 mm. De Breslow dikte wordt gegeven
in stappen van 0.1 mm. Er zijn ook hele kleine veranderingen in T2, T3 en T4
(bijvoorbeeld dat een dikte van 4 mm precies nu in T3 valt niet meer in T4 omdat
de formulering in de AJCC indeling nu is: more than 4 mm in plaats van ≥ 4 mm).
Deze veranderingen hebben gevolgen voor de klinische praktijk. Het betekent
ook dat de bestaande grafieken die de overleving per stadium weergeven achterhaald
zijn en op termijn zullen worden vervangen door nieuwe grafieken.
| TNM classificatie melanoom: |
| T |
tumordikte (mm) |
ulceratie / overige kenmerken |
| Tx |
geen gegevens over primaire tumor |
|
| T0 |
primaire tumor kan niet worden gevonden |
|
| Tis |
melanoma in situ (Clark level I) |
atypische melanocytaire hyperplasie; ernstige melanocytaire
dysplasia; geen invasieve maligne laesie |
| T1 |
≤ 1.0 mm |
T1a: < 0.8 mm en zonder ulceratie T1b: < 0.8 mm maar
met ulceratie T1b: 0.8 - 1.0 mm, zonder of met ulceratie |
| T2 |
> 1.0-2.0 |
a: Zonder ulceratie b: Met ulceratie |
| T3 |
> 2.0-4.0 |
a: Zonder ulceratie b: Met ulceratie |
| T4 |
> 4.0 |
a: Zonder ulceratie b: Met ulceratie |
| N |
Aantal kliermetastasen |
Mate van aantasting van de
lymfklier |
| Nx |
geen gegevens over lymfklieren |
|
| N0 |
0 |
geen lymfkliermetastasen |
| N1 |
1 metastase in 1 regionale lymfklier, of intralymfatische
regionale metastase zonder lymfkliermetastase |
N1a: alleen microscopisch lymfklier metastasen (klinisch occult,
niet aantoonbaar) N1b: macroscopisch lymfklier metastasen (klinisch
aantoonbaar) N1c: sateliet of in-transit metastasen zonder regionale
lymfklier metastasen |
| N2 |
2-3 metastasen in 2 of 3 regionale lymfklieren, of intralymfatische
regionale metastasen zonder lymfkliermetastasen |
N2a: alleen microscopisch lymfklier metastasen (klinisch occult,
niet aantoonbaar) N2b: macroscopisch lymfklier metastasen (klinisch
aantoonbaar) N2c: sateliet of in-transit metastasen met alleen
één regionale lymfklier metastase |
| N3 |
4 of meer metastasen in 4 of meer regionale lymfklieren,
of conglomeraat van regionale lymfkliermetastasen, of sateliet
of in-transit metastasen met twee of meer regionale lymfklier metastasen |
N3a: alleen microscopisch lymfklier metastasen (klinisch occult,
niet aantoonbaar) N3b: macroscopisch lymfklier metastasen (klinisch
aantoonbaar) N3c: sateliet of in-transit metastasen met twee
of meer regionale lymfklier metastasen |
| M |
Metastasen op afstand |
Lokatie van de metastasen |
| M0 |
Geen metastasen op afstand |
n.v.t. |
| M1 |
metastasen op afstand
Met als toevoeging: (0) lactaat
dehydrogenase (LDH) niet verhoogd (1) LDH verhoogd |
M1a: huid-, subcutane of kliermetastasen op afstand (buiten
het regionale lymfklierstation) M1b: long metastasen M1c:
overige metastasen, niet in centraal zenuwstelsel M1d: centraal
zenuwstelsel |
Micrometastasen: gediagnostiseerd na schildwachtklierprocedure of electieve
klierdissectie.
Macrometastasen: gedefinieerd als klinisch detecteerbare
lymfkliermetastasen (histologisch bevestigd).
| Pathologische stadiëring volgens AJCC en
TNM: |
| AJCC |
T |
N |
M |
| 0 |
Tis |
N0 |
M0 |
| I |
T1 |
N0 |
M0 |
| IA |
T1a T1b |
N0 |
M0 |
| IB |
T2a |
N0 |
M0 |
| IIA |
T2b T3a |
N0 |
M0 |
| IIB |
T3b T4a |
N0 |
M0 |
| IIC |
T4b |
N0 |
M0 |
| III |
Alle T |
N1, N2, N3 |
M0 |
| IIIA |
T1a T1b T2a |
N1a N2a |
M0 |
| IIIB |
T1a T1b T2a |
N1b N1c N2b |
M0
|
T2b T3a |
N1 N2a N2b |
M0 |
| IIIC |
T1a T1b T2a T2b T31 |
N2c N3 |
M0 |
T3b T4a |
N1, N2, N3 |
M0 |
| T4b |
N1, N2 |
M0 |
| IIID |
T4b |
N3 |
M0 |
| IV |
Alle T |
Alle N |
M1 |
Overlevingscurven (gebaseerd op de AJCC indeling 2012-2017)
BehandelingDe behandeling bestaat uit excisie van de gehele
laesie, eerst diagnostisch met een marge van 2 mm, dan de therapeutische re-excisie
met 1 of 2 cm marge afhankelijk van de Breslow dikte. Bij verdenking op melanoom
wordt altijd geprobeerd om dit zo snel mogelijk te doen, meteen, tussendoor,
of binnen enkele dagen, om de patiënt niet te lang in onzekerheid te laten verkeren.
Er wordt geadviseerd om geëxcideerde gepigmenteerde laesies die klinisch niet
verdacht zijn voor melanoom ook in te sturen, omdat in 0.5% er onverwacht toch
melanoom uit komt. Verder adviseert de werkgroep om altijd een foto te maken,
liefst ook een dermatoscopiefoto, en dit op te slaan in het EPD zodat ook de
patholoog de klinische foto kan zien. Dit verhoogt de accuratesse. Biopten en
shavebiopten worden afgeraden omdat de laesie in zijn geheel moet worden beoordeeld,
maar als het toch is gebeurd omdat niet sterk aan melanoom werd gedacht is het
ook niet erg. Bij lentigo maligna is een biopt wel gebruikelijk en bij zeer
grote laesies wordt het ook gedaan.
Diagnostische excisie bij
verdenking op melanoom-totaal excideren, geen stans of incisiebiopt
(bij grote lesies eventueel uitzondering maken).
-gebruik fieldblok of regionale
anaesthesie.
-marge 2 mm, diepte tot aan het subcutane vet, onderliggende
spier of fascie zomogelijk bedekt laten.
-elliptische excisie plaatsen in
de richting van primair lymfklierstation, aan de extremiteiten dus in lengterichting.*
-niet ondermijnen.
-markeren met hechting, tekening of beschrijving toevoegen,
lokalisatie en marges noteren.
* NB: Dit advies is dubieus. Ten eerste
is op een extremiteit in het geheel niet duidelijk in welke richting het eerste
lymfeklierstation zit. Ten tweede is aangetoond dat een marge van 1 of 2 cm
rondom de tumor voldoende is. De extra marge die puntjes in de lengte richting
oplevert draagt dus niet bij aan een betere prognose. De richting van de ovaal
moet gebaseerd zijn op de huidlijnen en het zo goed mogelijk kunnen sluiten
van de wond. Vaak is dat schuin op de lengterichting en soms zelfs dwars.
Therapeutische re-excisie Op basis van tumordikte gemeten
in millimeters volgens Breslow.
tot en met 2 mm: 1 cm rondom
litteken
groter dan 2 mm: 2 cm rondom littekenExcideren
tot aan de fascie; bij dunne subcutis of indien fascie geëxposeerd was bij diagnostische
excisie, ook fascie meenemen. Primair sluiten, ondermijnen mag, zonodig verschuivingsplastiek.
Aanvullend onderzoek bij gelokaliseerd melanoomRoutinematig
aanvullend stadieringsonderzoek zoals bloedonderzoek, röntgenfoto's, scans zijn
niet geïndiceerd. Op indicatie dient aanvullend onderzoek plaats te vinden,
bijvoorbeeld lymfklierechografie bij onzekere bevindingen bij palpatie van de
lymfklieren. Bij stadium I, II en IIIA is geen routinematig aanvullend afbeeldend
onderzoek nodig. Bij pathologisch vergrote lymfeklieren echografie met (zo nodig)
echogeleide punctie. Bij stadium IIIB, IIIC en IV volledig afbeeldend onderzoek
van borst, buik en bekken (18F-FDG-PET/ldCT gecombineerd met ceCT). Whole body
MRI wordt niet geadviseerd. BRAF-mutatieanalyse alleen indien behandeling met
een BRAF-remmer wordt overwogen (stadium 4 en niet of moeilijk te opereren stadium
3 melanoom patiënten).
Schildwachtklier onderzoek (sentinel node
procedure)Ook de adviezen over de indicatie voor schildwachtklieronderzoek
zijn in de Nederlandse richtlijn veranderd omdat de AJCC classicificatie is
veranderd. Aanvankelijk adviseerde de landelijke werkgroep melanoom om patiënten
met een melanoom stadium 1B of hoger (melanomen > 1 mm) voor te lichten over
de optie om schildwachtklier onderzoek te laten doen. In de laatste versie (2019)
wordt geadviseerd om
schildwachtklieronderzoek aan
te bieden bij
T1b of hoger. T1b in de recentste AJCC
TNM classicificatie staat voor
melanomen < 0.8 mm met ulceratie,
of melanomen van 0.8 - 1.0 mm, zonder of met ulceratie. Bij de
schildwacht klier procedure wordt (in het ideale geval op het moment van de
re-excisie) radioactief colloïdaal eiwit ingespoten op de plek waar het melanoom
zat waarna met scintigrafie de lymfeklieren waar het gebied op draineert kunnen
worden gevonden. Bij de operatie wordt ook nog een blauwe kleurstof ingespoten
die de klier zichtbaar maakt. Schildwachtklieronderzoek en vervolgens lymfklier
dissectie bij positieve lymfklieren verbetert niet de levensverwachting, maar
door het uitvoeren van schildwachtklieronderzoek kan er wel een betere prognose
worden gegeven over de levensverwachting (als de klier tumorvrij is is de 5-jaarsoverleving
ongeveer 90%, bij metasasen ongeveer 65%). Dus als een patiënt dit graag wil
weten, en sommigen willen dat, dan T1b of hoger melanomen doorverwijzen naar
een centrum waar de schildwachtklier procedure wordt uitgevoerd. Een andere
reden om het te doen is dat aanwezigheid van kliermetastasen een criterium kan
zijn voor het starten van adjuvante therapie. Er zijn ook nadelen aan verbonden:
verwijzing naar een ander specialisme / centrum waar de sentinel node procedure
wordt uitgevoerd, delay hierdoor, en risico op complicaties zoals lymfoedeem
(10%), lymfefisteling (<2%) of een allergische reactie op de gebruikte kleurstof
(<0.5%).
Om te begrijpen waarom de sentinel procedure niet uitmaakt voor
de prognose: als alle melanoomcellen verwijderd zijn in de diagnostische excisie
en re-excisie dan is de prognose uitstekend. In de andere situatie, als er melanoomcellen
het gebied al hebben verlaten dan zit de patiënt hoe dan ook in de andere groep
waar de prognose er minder goed uit ziet. Lymfklier excisies en dissecties hebben
blijkbaar geen invloed op de uiteindelijke prognose. Adjuvante therapieën (de
nieuwe targeted therapies) hebben uiteraard wel invloed op de levensverwachting,
maar die worden uiteindelijk ook op enig moment gestart bij alle patiënten met
metastasen die daarvoor in aanmerking komen.
Lentigo maligna
en lentigo maligna melanoma (LMM)
Lentigo maligna is een langzaam groeiend
in-situ melanoma (horizontale groeifase). Als tumorcellen invasief worden (verticale
groeifase) wordt de lesie
lentigo maligna
melanoma (LMM) genoemd. Diagnostische excisie bij verdenking op lentigo
maligna: biopt of krap in zijn geheel excideren; bij verdenking op lentigo maligna
melanoma: excisie van de nodus/invasieve component, eventueel aangevuld met
biopt(en) uit vlakke component, of primaire excisie van de hele lesie. De marge
voor therapeutische excisie voor lentigo maligna (in-situ melanoma) is 5 mm,
voor lentigo maligna melanoma is het afhankelijk van de Breslow dikte.
![Melanoom in een lentigo maligna (click on photo to enlarge) [source: www.huidziekten.nl] Melanoom in een lentigo maligna](../../../images/lentigo-maligna-melanoma-1z.jpg) |
![Melanoom in een lentigo maligna (click on photo to enlarge) [source: www.huidziekten.nl] Melanoom in een lentigo maligna](../../../images/lentigo-maligna-melanoma-3z.jpg) |
| lentigo
maligna melanoma |
excisie
marges |
Follow-up (nacontrole schema’s)Het nut van nacontroles wordt overschat, en ze kunnen ook onnodige ongerustheid veroorzaken. Er kan een lokaal recidief of een in-transit of lymfklier-metastase ontstaan maar dat is te ondervangen door de patiënt te instrueren om bij nieuwe laesies of vergrote of pijnlijke lymfklieren een afspraak te maken voor controle. Er kunnen metastasen in organen zijn maar de kans daarop is klein en het is niet op te sporen zonder afbeeldend onderzoek. En afbeeldend onderzoek wordt alleen gedaan op indicatie, bijvoorbeeld bij klinische symptomen die wijzen op metastasen. In het geval dat er metastasen zijn volgt behandeling met gerichte oncologische medicatie (targeted therapy); vroegdiagnostiek levert tegenwoordig geen bijdrage meer aan de prognose. Daarom wordt in de volgende melanoom richtlijn het nacontrole schema waarschijnlijk sterk vereenvoudigd. Dat geldt dus ook voor melanocytomen en STUMP.
| Huidige controle / follow-up schema in de richtlijn melanoom: |
In situ of stadium IA melanoom
(Breslow-dikte tot en met 1 mm) (T1,
T1a, T1b) |
Eénmalige controle, bijvoorbeeld na een maand, voor uitleg
over melanoom, risico van UV straling, instructie voor
zelfonderzoek, beantwoording van vragen. Geen verdere
nacontroles nodig. Als er vragen zijn of nieuwe plekken dan kan
de patiënt altijd zelf een nieuwe afspraak maken. |
Stadium IB melanoom (Breslow-dikte
>1.0-2.0, zonder ulceratie) (T2a) |
Controle 1 keer per jaar gedurende 5 jaar. Onderzoek van
het litteken, de regionale lymfeklieren en de huid. |
Stadium IIA melanoom (Breslow-dikte
>1.0-2.0, met ulceratie, of > 2.0-4.0, zonder ulceratie) (T2b,
T3a) |
| Jaar 1 en 2: |
|
controle iedere 6 maanden |
| Jaar 3, 4 en 5: |
|
controle iedere 12 maanden |
Onderzoek van het litteken, de
regionale lymfeklieren en de huid. Daarna (na 5 jaar
follow-up) alleen controle op indicatie. |
Stadium IIB en IIC melanoom
(Breslow-dikte > 2.0-4.0, met ulceratie, of > 4.0, zonder of met
ulceratie) (T3b, T4a,
T4b) |
| Jaar 1 en 2: |
|
controle iedere 4 maanden |
| Jaar 3: |
|
controle iedere 6 maanden |
| Jaar 4 en 5: |
|
controle iedere 12 maanden |
Onderzoek van het litteken, de regionale lymfeklieren en de
huid. Daarna (na 5 jaar follow-up) alleen controle op
indicatie. |
Stadium IIIA melanoom, zonder adjuvante systemische therapie
(Breslow-dikte tot en met 1 mm, met of zonder ulceratie (T1,
T1a, T1b), of >1.0-2.0, zonder ulceratie (T2a), met alleen
microscopisch kleine (≤1mm)metastasen in 1-3 regionale
lymfklieren (N1a, N2a)) |
| Jaar 1 en 2: |
|
controle iedere 4 maanden |
| Jaar 3: |
|
controle iedere 6 maanden |
| Jaar 4 en 5: |
|
controle iedere 12 maanden |
Onderzoek van het litteken, de regionale lymfeklieren en de
huid. Daarna (na 5 jaar follow-up) alleen controle op
indicatie. |
Stadium IIIB, IIIC en IIID melanoom, zonder
adjuvante systemische therapie (contra-indicatie
voor immuuntherapie of patiënt wil het niet) |
| Jaar 1 en 2: |
|
controle jaar iedere 4 maanden met ceCT
thorax-abdomen (Contrast-Enhanced Computed
Tomography). Verricht aanvullend ceCT-hals bij
patiënten met een primair melanoom in het hoofd-hals
gebied. |
| Jaar 3: |
|
controle iedere 6 maanden, zonder beeldvorming |
| Jaar 4 en 5: |
|
controle iedere 12 maanden, zonder
beeldvorming |
Onderzoek van het litteken, de regionale lymfeklieren en de
huid. Overweeg PET/CT bij hoog risico op recidief, of
vermoeden op recidief in de ledematen. Daarna (na 5 jaar
follow-up) alleen controle op indicatie. |
Stadium III melanoom, tijdens en na adjuvante
systemische therapie (Alle T,
N1, N2,
N3, M0) |
| Jaar 1 en 2: |
|
controle jaar iedere 4 maanden met ceCT
thorax-abdomen |
| Jaar 3: |
|
controle iedere 6 maanden, zonder beeldvorming |
| Jaar 4 en 5: |
|
controle iedere 12 maanden, zonder beeldvorming |
Onderzoek van het litteken, de regionale lymfeklieren en de huid.
Daarna (na 5 jaar follow-up) alleen controle op indicatie. |
Bij nacontrole vooral kijken naar de plaats van de oorspronkelijke tumor
en het bijbehorende lymfdrainage gebied, en de lymfeklieren palperen.
Informeer of er nieuwe vlekjes of knobbeltjes zijn ontstaan in dit gebied of
elders op het lichaam. Lokaal recidief, satellietmetastasen en
in-transitmetastasen zijn niet altijd donker van kleur. Bij dubieuze
bevindingen zonodig echografie en dunne naaldpunctie. De kans op het
ontstaan van een nieuw (tweede) melanoom is laag, ongeveer 1 op 166
patiëntjaren. Verder aanvullend onderzoek op indicatie.
Patiënten
met een oculair melanoom of meningeaal melanoom worden gecontroleerd door de
oogarts respectievelijk neuroloog. Patiënten worden meestal éénmalig geïnspecteerd
door de dermatoloog, maar periodieke nacontrole door een dermatoloog is alleen
nodig bij zeer veel klinisch atypische naevi of bij het FAMMM syndroom.
Aanvullende behandelmogelijkheden bij lymfogene en hematogene metastasen
Bij metastasering patiënt doorverwijzen naar gespecialiseerd
oncologisch centrum (AVL, VUmc, Daniel den Hoed, UMCU, etc.), waar immunomodulerende
middelen / targeted therapies kunnen worden toegepast. Sinds 2011 zijn er monoclonalen
en kinase remmers op de markt
voor gemetastaseerd melanoom (ipilimumab, nivolumab, vemurafinib,
dabrafenib, cobimetinib). De laatste jaren verschijnen er steeds meer monoclonalen,
kinaseremmers en andere targeted therapies voor melanoom die als monotherapie
of als combinatietherapie worden toegepast met steeds betere resultaten. Zie
voor de bijwerkingen onder
BRAF-remmers,
huidafwijkingen
bij proteïnekinaseremmers, en onder
cutane
bijwerkingen van oncologische medicatie. Rond de
dure oncologische geneesmiddelen
is in de media een lastige ethische discussie ontstaan vanwege de extreem
hoge prijs (soms 80.000 euro per patiënt per jaar) die de farmaceutische
industrie in rekening brengt. De Nederlandse zorgautoriteit (NZA) let hier
wel op en schrapt soms de vergoeding als het effect minimaal is of niet in
verhouding staat tot de kosten.
| Biologicals / dure geneesmiddelen: |
| Naam |
Indicatie |
Dosis |
Kosten per jaar |
| Cotellic (cobimetinib) |
melanoom BRAF V600 |
60 mg per dag 3/4 weken |
€ 69.888 |
| Opdivo (nivolumab) |
melanoom |
3 mg/kg per 2 weken |
€ 88.364 |
| Tafinlar (dabrafenib) |
melanoom BRAF V600 |
2 dd 150 mg |
€ 96.754 |
| Yervoy (ipilimumab) |
melanoom |
3 mg/kg 4 giften |
€ 81.090 |
| Zelboraf (vemurafenib) |
melanoom BRAF V600 |
2 dd 960 mg |
€ 96.710 |
Screening op melanoomBevolkingsonderzoek naar het
voorkomen van melanoom of screenen op genen waarbij er een verhoogd risico op
melanoom is (CDKN2A mutatie) is niet zinvol. Bij bekend familiair verhoogd risico
op melanoom (
FAMMM syndroom) is jaarlijkse routinematige
controle van de melanoompatiënten en hun eerstegraads verwanten vanaf de leeftijd
van 12 jaar zinvol (bij tweedegraads verwanten vanaf 20 jaar, of zelfonderzoek).
Het wordt ook geadviseerd om gendiagnostiek te doen bij verdenking op FAMMM
syndroom, maar niet iedere patiënt wil dat (soms uit angst voor problemen of
hogere kosten bij het afsluiten van verzekeringen en hypotheken). CDKN2A mutatiedragers
vanaf de leeftijd van 45 jaar ook regelmatig screenen op pancreascarcinoom.
Bij meer dan 100 naevi of meer dan 5 atypisch valt jaarlijkse controle te overwegen,
maar het is niet verplicht, het kan ook zelfonderzoek na instructie zijn. Bij
congenitale naevi < 20 cm is geen routinematige controle nodig, bij grotere
is regelmatige controle eens per 1-2 jaar raadzaam.
Author(s):dr. Jan R. Mekkes. Dermatologist, Amsterdam UMC.