MULTIPEL MYELOOM (ZIEKTE VAN KAHLER) home ICD10: C90.0

Bij multipel myeloom (ziekte van Kahler) en bij andere aandoeningen waarbij monoclonale globulinen (M-proteïnen, paraproteïnemie) verhoogd aanwezig zijn in het bloed, kunnen huidafwijkingen optreden die reactief zijn aan de M-proteïnen. In zeer zeldzame gevallen kan een myeloom (plasmacytoma) in de huid gelokaliseerd zijn, maar meestal zitten ze in het beenmerg.


Cutane manifestaties bij multiple myeloma (ziekte van Kahler) en andere monoclonale gammopathieën:
plasmocytoma (cutane lokalisatie)
lichen myxoedematosus, scleromyxoedeem
scleroedema
amyloidose
cutaneous macroglobulinosis
POEMS syndroom
necrobiotisch xanthogranuloma
xanthoma disseminatum
xanthoma plana
urticaria
urticaria pigmentosa
teleangiectasia macularis eruptiva perstans
Schnitzler syndroom
angio-oedeem bij C1-esterase inhibitor deficiëntie
leukocytoclastische vasculitis
urticariële vasculitis
panniculitis
erythema exsudativum multiforme
erythema elevatum diutinum
Sweet syndroom (acute febriele neutrofiele dermatose)
pyoderma gangrenosum
Sneddon disease (subcorneale pustueleuze dermatose)
paraneoplastische pemphigus
epidermolysis bullosa acquisita
bulleuze dermatosen nno
cutis laxa (verworven)
folliculaire hyperkeratose
Grover's disease



Scleromyxoedeem (lichen myxoedematosus) Scleromyxoedeem (lichen myxoedematosus) Necrobiotisch xanthogranuloom bij paraproteinemie
mucinosis papulosa mucinosis papulosa necrobiotisch xanthogranuloom

Foto rechts: Smith HG et al. Dermatology Online Journal 2006;12:12  (Creative Commons License 4.0 - Public Access Journal).


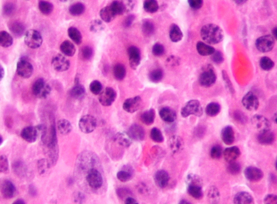
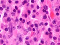
Multipel myeloom (ziekte van Kahler) is een kwaadaardige woekering van plasmacellen in het beenmerg. Het is zeldzaam (circa 6 nieuwe patiënten per 100.000 inwoners per jaar). Het komt niet bij kinderen voor, de helft van de patiënten is ouder dan 65 jaar, evenveel vrouwen als mannen. De oorzaak is onbekend. Plasmacellen ontstaan uit B-lymfocyten en komen behalve in beenmerg ook elders in het lichaam voor (darmen, luchtwegen, lymfklieren). Eenmaal uitgerijpt maken plasmacellen antistoffen (immuunglobulinen), opgebouwd uit zware ketens (IgG, IgA, IgM, IgD of IgE) en lichte ketens (kappa- of lambda-type). Elke plasmacel kan maar één type antistof maken. Bij een plasmacel tumor is er sprake van een kloon die teveel antistoffen van 1 type aanmaakt. Deze immunoglobulinen zijn in het eiwitspectrum zichtbaar als een piek in het gamma gedeelte, waar normaal de immunoglobulinen een klein piekje geven. Omdat het gaat om monoclonale eiwitten, wordt dit M-proteïne genoemd. Een andere naam, die ook nog steeds veel gebruikt wordt is paraproteïne ('naast-eiwit', extra piekje). Delen van het monoclonale eiwit (alleen de lichte ketens) kunnen ook in de urine aangetroffen worden (Bence-Jones-eiwit).

rode en witte bloedcellen reeks Plasmacellen Eiwitspectrum met abnormale piek van M-proteinen
bloedcellen reeks plasmacytoma M-proteïne piek

Illustratie: US Government (Public Domain Image).
PA-Foto: Michael Bonert (Nephron) - Wikimedia (Creative Commons License 3.0).


Niet elk M-proteïne is kwaadaardig. Het komt vaak voor (bij 10-15 procent van de 70-plussers) dat bij gezonde personen een geringe hoeveelheid M-proteïne wordt aangetroffen. Dit wordt niet beschouwd als maligniteit maar als een vorm van disbalans in het immuunsysteem. Hiervoor is de term MGUS bedacht: monoclonal gammopathy of unknown significance. Als het om een heel geringe hoeveelheid M-proteïne gaat zonder dat een persoon klachten heeft, is het gerechtvaardigd om af te wachten. Bij toename van de hoeveelheid of bij klachten / symptomen is nader onderzoek nodig.

Klinisch beeld:
De symptomen varieren van mild tot ernstig. Bothaarden kunnen de botten aantasten met als gevolg osteoporose, risico op botbreuken of wervelinzakking. Behalve diffuse botaantasting kunnen er ook plaatselijke myeloomhaarden ontstaan die botpijn veroorzaken en soms spontane botbreuken. Deze haarden zijn zichtbaar op gewone botfoto's (X-skelet), of een MRI-scan of PET-scan. De osteoporose kan gepaard gaan met ernstige hypercalciëmie, met als symptomen dorst, verhoogde diurese, dehydratie, obstipatie, verwardheid, bewustzijnsdaling, nierinsufficiëntie. Bij veel plasmacel haarden in het beenmerg kan anemie, leukopenie (verhoogd risico op infecties) en trombopenie (bloedingsneiging) ontstaan. Ook de normale antistofproductie kan dalen (hypogammaglobulinemie) met een extra sterk verhoogd risico op infecties, vooral van de luchtwegen (longontsteking, neusbijholteontsteking).Als het M-proteïnegehalte erg hoog is, kan er hyperviscositeit van het bloed ontstaan (sufheid, hoofdpijn, visusdaling, kortademigheid bij inspanning). Soms circuleren er cryoglobulinen.

Diagnostiek:
Algemeen bloedbeeld, diff, speciele hematologie, eiwitspectrum, M-proteïne bepaling, bèta-2-microglobuline, totaal albumine, urine op Bence-Jones eiwit. Beenmergpunctie, cytogenetisch onderzoek, röntgen foto's (X-skelet), zonodig MRI scan.

Therapie:
De behandeling is in handen van de hematoloog waarbij de meeste patiënten al lopen. Globaal zijn er ondersteunende maatregelen zoals in beweging blijven, conditieverbetering, spieroefeningen), pijnbestrijding, voldoende vochtintake (ten minste 2.5 liter per 24 uur), profylaxe botontkalking (bisfonataten), bestrijding van hypercalciëmie (zoutinfuus 4 tot 6 liter per 24 uur), zonodig hemodialyse) bij sterk gestoorde nierwerking, en diverse vormen van chemotherapie en andere middelen (thalidomide, monoclonale therapeutica). Bij lichen myxoedematosus t.g.v. MGUS wordt een positief effect van IvIg (intraveneuze immunoglobulinen) beschreven.

R/ chemotherapie (melfalan, vincristine, adriamycine).
R/ corticosteroïden, met name dexamethason.
R/ bloedvatgroeiremmers (thalidomide en lenalidomide).
R/ eiwitafbraakremmers (bortezomib, velcade).

De zwaarte van de chemotherapie hangt af van de leeftijd van de patiënt. Patiënten ouder dan 65 jaar worden meestal behandeld met een combinatie van chemotherapie (bijvoorbeeld melfalan), dexamethason of thalidomide/lenalidomide. Hoe jonger, hoe intensiever de behandeling bij voorkeur zal zijn. Patiënten jonger dan 65 jaar krijgen kuren bestaande uit elke maand een infuusbehandeling (meestal een combinatie van adriamycine en vincristine) en dexamethasontabletten (VAD-kuren). Een alternatief voor de VAD-kuren is de combinatie dexamethason met thalidomide. De VAD-kuren worden soms gecombineerd met extra medicijnen zoals thalidomide of bortezomib. Na een aantal kuren (meestal drie) volgt een korte opname om voorbereidingen te treffen en stamcellen te verzamelen voor een autologe stamceltransplantatie.Bij een stamceltransplantatie wordt een patiënt met een zeer hoge dosis chemotherapie behandeld. Het doel is om hiermee zoveel mogelijk myeloomcellen te doden, iets wat onvoldoende lukt met gewone chemotherapie. Door de hoge dosis zullen de eigen beenmerg- en bloedcellen blijvend beschadigd raken, maar daar is een oplossing voor, door de stamcellen, verantwoordelijk voor de beenmerg- en bloedcelvorming, van tevoren te verzamelen en in te vriezen. Wanneer de stamcellen verzameld zijn, volgt een langdurige opname van circa 4 weken, waarbij hoge doses melfalan worden toegediend gevolgd door teruggave van de eigen ingevroren stamcellen. Wanneer voldoende herstel is opgetreden en de patiënt weer naar huis kan, wordt een nabehandeling gestart met een onderhoudstherapie.


Author(s):
dr. Jan R. Mekkes. Dermatologist, Amsterdam UMC.

31-05-2023 (JRM) - www.skin-diseases.eu Terug naar homepagina



Diagnosis codes:
ICD10 C90.0 Multipel myeloom
ICD10 C90.0 Multiple myeloma
SNOMED 109989006 Multiple myeloma
DBC 28 Geen dermatologische diagnose