AMYLOIDOSIS CUTIS home ICD10: L99.0

Amyloidosis cutis is de verzamelnaam voor een zeldzame groep huidafwijkingen gekenmerkt door stapeling van amyloïd materiaal, histologisch te herkennen met een PAS kleuring, Kongorood (dubbelbrekend), of thioflavine T kleuring. Amyloïd is een verzamelnaam voor fibrillair opgebouwd afzettingsmateriaal. Amyloidosis wordt onderverdeeld in cutane (gelokaliseerde) amyloidosis en systemische amyloidosis. Bij gelocaliseerde cutane amyloidosis is het amyloïd materiaal een keratine-precursor of afbraakprodukt (AK-amyloïd), bij systemische amyloïdose kan het b.v. een light chain kappa of lambda immunoglobuline zijn (AL-amyloïd), of het ontstekingseiwit serum amyloïd A (AA-amyloïd).

Voorheen werden de verschillende varianten ingedeeld op basis van het klinisch beeld, tegenwoordig meer op typering van het type amyloïd. De cutane vormen zijn redelijk overzichtelijk in te delen en worden allemaal veroorzaakt door depositie van AK-amyloid, uitgezonderd de zeer zeldzame variant amyloidosis cutis nodularis atrophicans, die wordt veroorzaakt door lokale ophopingen van AL-amyloid geproduceerd door plasmacellen. De systemische vormen zijn ingewikkelder, inmiddels zijn er meer dan 20 verschillende amyloid-deposities met bijbehorende interne aandoeningen bekend, zoals amyloidose geassocieerd met paraproteïnen, plasmacytoma, multipel myeloma, etc, hereditaire amyloidose, amyloidose bij familial Mediterranean fever (FMF), amyloidose + urticaria + doofheid + nefropathie, famial polyneuropathic amyloidosis, familial amyloidosis of cardiac muscle, idiopathische systemische amyloidose, etc. Sommige van deze syndromen zoals FMF worden inmiddels ingedeeld onder de auto-inflammatoire syndromen. Zie verder onder systemische amyloidosis.


Gelokaliseerde cutane amyloidosis
- amyloidosis cutis maculosa
- lichen amyloidosus (amyloidosis cutis papulosa)
- amyloidosis cutis dyschromica
- bullous cutaneous amyloidosis
- poikiloderma-like cutaneous amyloidosis
- amyloid elastosis
- nodular cutaneous amyloidosis
  (amyloidosis cutis nodularis atrophicans)
- secundaire (reactieve) amyloidose
spacer


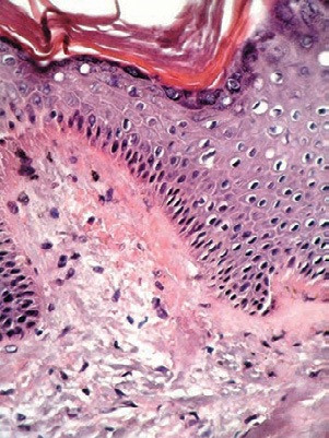
Amyloid deposities sub-epidermaal
amyloid sub-epidermaal

PA-Foto: Georgi Tchernev - Wikimedia (Creative Commons License 4.0).

Zie ook de ingescande PA-coupes (coupe 1, coupe 2) van de afdeling pathologie van de University of Toronto.



AMYLOIDOSIS CUTIS MACULOSA home ICD10: L99.0

Amyloidosis cutis maculosa (macular or interscapular cutaneous amyloidosis) wordt klinisch gekenmerkt door een onscherp begrensde gehyperpigmenteerde jeukende huid, soms met krabeffecten, lichenificatie, lichen simplex chronicus-achtig beeld. Komt vaker voor bij mensen uit Azië, Zuid-Amerika, Midden-Oosten. De oorzaak is onbekend; mogelijk zijn maculaire amyloidosis en lichen amyloidosis uitingen van dezelfde aandoening en speelt jeuk een rol. Maar de jeuk kan bij maculaire amyloidosis mild zijn of afwezig, en de huid vertoont meestal geen lichenificatie of andere krabeffecten. Er bestaan familiaire vormen van primaire cutane amyloidosis waarbij een mutatie in een receptor voor IL31 en oncostatin M is gevonden. Kan overal op lichaam voorkomen, vaak op rug en schouders. Ook op de armen en de benen. Soms plaatselijk toch ook wat papuleus. Typisch is de aanwezigheid van lineaire gehyperpigmenteerde lijnen in een golfjespatroon (rippled hyperpigmentation), vooral te zien bij een (licht) gepigmenteerde huid. Amyloidosis cutis is moeilijk te behandelen. Het bestrijden van droge huid en jeuk kan helpen. De hyperpigmentatie is moeilijk te behandelen. In case reports wordt effect van pulsed dye laser en Q-switched Nd:YAG laser beschreven, maar de afwijkingen zijn meestal te uitgebreid om dat te gaan proberen. In systematische reviews naar de behandeling van cutane amyloidosis is de conclusie dat de evidence ontbreekt om aanbevelingen te doen.

Amyloidosis cutis maculosa Amyloidosis cutis maculosa Amyloidosis cutis maculosa
amyloidosis cutis maculosa amyloidosis cutis maculosa amyloidosis cutis maculosa

Amyloidosis cutis maculosa Amyloidosis cutis maculosa Amyloidosis cutis maculosa
amyloidosis cutis maculosa amyloidosis cutis maculosa golfjes patroon


DD: amyloidosis cutis papulosa, lichen simplex chronicus, REM syndroom, mucinosen nno, prurigo pigmentosa, acanthosis nigricans, notalgia paresthetica, reticulaire hyperpigmentatie, postinflammatoire hyperpigmentatie.

Therapie:
R/ lanette vaseline aa, andere emollientia zoals genoemd onder producten voor de droge huid.
R/ Lokale antipruriginosa, vooral menthol preparaten.
R/ Salicylzuur 6% gel FNA.
R/ corticosteroïden lokaal.
R/ Neotigason (acitretine) 1 dd 10-40 mg.


patientenfolder



LICHEN AMYLOIDOSUS / AMYLOIDOSIS CUTIS PAPULOSA home ICD10: L99.0

Lichen amyloidosus (amyloidosis cutis papulosa) is een hevig jeukende chronische lichenoïde dermatose, vooral pretibiaal. Op de scheenbenen kunnen multipele roze tot bruinrode harde hyperkeratotische (soms verruceuze) papels ontstaan. Er is geen relatie met systemische aandoeningen. Het komt voor rond middelbare leeftijd, iets vaker bij mannen, en vooral bij Aziaten. Het amyloidmateriaal is afkomstig van keratine, en men neemt aan dat het ontstaat tengevolge van de chronische jeuk en het krabben (secundaire depositie). Naast de hevig jeukende lichenoide variant op de benen bestaat er ook een variant van amyloidosis cutis papulosa met lichenoide gehyperpigmenteerde papeltjes tussen de schouderbladen. Deze variant, die klinisch moeilijk te onderscheiden kan zijn van amyloidosis cutis maculosa, kan geassocieerd voorkomen met het MEN 2A syndroom (multiple endocrine neoplasia type 2A, Sipple syndroom). Lichen amyloidosis en maculaire amyloidosis kunnen samen voorkomen (biphasic amyloidosis).

Lichen amyloidosus Lichen amyloidosus Lichen amyloidosus
lichen amyloidosus lichen amyloidosus lichen amyloidosus

Lichen amyloidosus Lichen amyloidosus Lichen amyloidosus
amyloidosis cutis papulosa amyloidosis cutis papulosa amyloidosis cutis papulosa

Biphasic amyloidosis Biphasic amyloidosis Biphasic amyloidosis
biphasic amyloidosis amyloidosis cutis papulosa amyloidosis cutis papulosa


DD: notalgia paresthetica, lichen planus (verrucosus, hypertrophicus), lichen simplex chronicus, lichen myxoedematosus, lipoid proteinosis, pretibiaal myxoedeem.

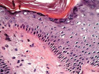
PA:
Amyloid depositie hoog in de papillaire dermis in combinatie met uitgesproken epidermale veranderingen (hyperkeratose, acanthose, krabeffecten).

Therapie:
Lokale antipruriginosa, vooral menthol preparaten zoals:
R/ levomenthol 1% in carbomeerwatergel FNA, levomenthol 1% in carbomeerwatergel alcoholisch FNA.
R/ levomenthol 2% in carbomeerwatergel alcoholisch (Fagron)
R/ levomenthol 1% in lanettecrème I FNA.
R/ mentholcrème 0.5%, mentholcrème 2% (diversen)
R/ mentholstrooipoeder 2% (o.a. Fagron)
R/ levomenthol 1% in zinkoxideschudsel, alcoholisch FNA
R/ levomenthol-lidocaïnegel FNA.
R/ Capsaïcine crème 0.025% of 0.075% FNA.
Systemische antipruriginosa, zoals:
R/ Antihistaminica, vooral sederende antihistaminica zoals hydroxyzine of polaramine.
R/ Neurontin (gabapentine) tab à 300 mg, start met 1 dd 300 mg, geleidelijk opbouwen tot 3 dd 2 tab per dag (1800 mg), maximaal 3 dd 3 tab (2700 mg) per dag. Bij uremische pruritus, prurigo nodularis en multiple sclerose.
R/ Diprosalic en andere lokale corticosteroïden.
R/ intralesionale corticosteroïden.
R/ Protopic (tacrolimus 0.1%) zalf.
R/ Neotigason (acitretine) 1 dd 10-40 mg.
R/ UVB therapie.
R/ UVA1 therapie in combinatie met lokale corticosteroïden klasse III-IV.
R/ dupilumab.

mes Curettage en electrocoagulatie, dermabrasie, excisie.
mes Q-switched Nd:YAG laser (532- and 1064-nm).


Referenties
1. Wang WJ. Clinical features of cutaneous amyloidoses. Clin Dermatol 1990;8(2):13-19.
2. Apaydin R, Gurbuz Y, Bayramgurler D, Muezzinoglu B, Bilen N. Cytokeratin expression in lichen amyloidosus and macular amyloidosis. J Eur Acad Dermatol Venereol 2004;18(3):305-309.
3. Weyers W, Weyers I, Bonczkowitz M, Diaz-Cascajo C, Schill WB. Lichen amyloidosus: a consequence of scratching. J Am Acad Dermatol 1997;37(6):923-928.
4. Nunziata V, di Giovanni G, Lettera AM, D'Armiento M, Mancini M. Cutaneous lichen amyloidosis associated with multiple endocrine neoplasia type 2A. Henry Ford Hosp Med J 1989;37(3-4):144-146.
5. Tanaka A, Arita K, Lai-Cheong JE, Palisson F, Hide M, McGrath JA. New insight into mechanisms of pruritus from molecular studies on familial primary localized cutaneous amyloidosis. Br J Dermatol 2009;161(6):1217-1224.
6. Frolich M, Enk A, Diepgen TL, Weisshaar E. Successful treatment of therapy-resistant pruritus in lichen amyloidosis with menthol. Acta Derm Venereol 2009;89(5):524-526.
7. Castanedo-Cazares JP, Lepe V, Moncada B. Lichen amyloidosis improved by 0.1% topical tacrolimus. Dermatology 2002;205(4):420-421.
8. Choi JY, Sippe J, Lee S. Acitretin for lichen amyloidosus. Australas J Dermatol 2008;49(2):109-113.
9. Ostovari N, Mohtasham N, Oadras MS, Malekzad F. 532-nm and 1064-nm Q-switched Nd:YAG laser therapy for reduction of pigmentation in macular amyloidosis patches. J Eur Acad Dermatol Venereol 2008;22(4):442-446.
10. Barsky M, Buka RL. Pulsed dye laser for the treatment of macular amyloidosis: a case report. Cutis 2014 Apr;93(4):189-192.
11. Weidner T, Illing T, Elsner P. Primary Localized Cutaneous Amyloidosis: A Systematic Treatment Review. Am J Clin Dermatol 2017 Oct;18(5):629-642.
12. Guillet C, Steinmann S, Maul JT, Kolm I. Primary Localized Cutaneous Amyloidosis: A Retrospective Study of an Uncommon Skin Disease in the Largest Tertiary Care Center in Switzerland. Dermatology 2022;238(3):579-586.
13. Humeda Y, Beasley J, Calder K. Clinical resolution of generalized lichen amyloidosis with dupilumab: a new alternative therapy. Dermatol Online J 2020 Dec 15;26(12):13030/qt64s0s466.



AMYLOIDOSIS CUTIS DYSCHROMICA home ICD10: L99.0

Amyloidosis cutis dyschromica is een zeldzame vorm van primaire cutane amyloidosis. Het klinisch beeld is een mix van gedissemineerde gehyperpigmenteerde macula en guttata vormige gehypopigmenteerde macula. Ter plaatse van de afwijkingen wordt amyloid depositie gevonden, afkomstig van keratine. Er zijn geen systemische afwijkingen. Het beeld komt vooral voor bij Aziatische patiënten. Het komt ook familiair voor (familial generalized dyschromic amyloidosis cutis). De oorzaak is niet bekend. Een theorie is dat er een defect is in het DNA repair mechanisme en dat de afwijkingen worden veroorzaakt door UVB schade.

Amyloidosis cutis dyschromica
amyloidosis cutis dyschromica

Foto: Wenlin Yang, Yangyang Lin, Jian Yang, Wensheng Lin - Wikimedia (Creative Commons License 3.0).


DD:
Idiopathische guttata hypomelanose, progressieve maculaire hypomelanose, xeroderma pigmentosum, postinflammatoire hypo en hyperpigmentatie, dyskeratosis congenita, dyschromatosis universalis hereditaria, reticulate acropigmentation of Dohi, andere reticulaire hyperpigmentaties, poikiloderma-like amyloidosis, arsenicum vergiftiging.

Therapie:
Weinig opties. Beschermen tegen UVB schade. Acitretine 20 mg per dag is genoemd als therapie.


Referenties
1. Qiao J, Fang H, Yao H. Amyloidosis cutis dyschromica. Orphanet J Rare Dis 2012;7:95.
2. Madarasingha NP, Satgurunathan K, De Silva MV. A rare type of primary cutaneous amyloidosis: amyloidosis cutis dyschromica. Int J Dermatol 2010;49(12):1416-1418.
3. Garg T, Chander R, Jabeen M, Barara M, Mittal K, Jain M, Puri V. Amyloidosis cutis dyschromica: a rare pigmentary disorder. J Cutan Pathol 2011;38:823-826.
4. Huang WH, Wu CY, Yu CP, Chiang CP. Amyloidosis cutis dyschromica: four cases from two families. Int J Dermatol 2009;48(5):518-521.
5. Ho MS, Ho J, Tan SH. Hypopigmented macular amyloidosis with or without hyperpigmentation. Clin Exp Dermatol 2009;34:e547-e551.
6. Eng AM, Cogan L, Gunnar RM, Blekys I. Familial generalized dyschromic amyloidosis cutis. J Cutan Pathol 1976;3:102-108
7. Ozcan A, Senol M, Aydin NE, Karaca S. Amyloidosis cutis dyschromica: a case treated with acitretin. J Dermatol 2005;32:474-477.
8. Moriwaki S, Nishigori C, Horiguchi Y, Imamura S, Toda K, Takebe H. Amyloidosis cutis dyschromica. DNA repair reduction in the cellular response to UV light. Arch Dermatol 1992;128(7):966-970.
9. Al Hawsawi K, All Aboud K, Ramesh V, Al Aboud D: Dyschromatosis universalis hereditaria: report of a case and review of the literature. Pediatr Dermatol 2002;19:523-526.



SECUNDAIRE (REACTIEVE) CUTANE AMYLOIDOSIS home ICD10: L99.0

Met secundaire of reactieve amyloidosis wordt bedoeld dat er bij diverse huidaandoeningen, vooral bij chronische jeukende dermatosen AK-amyloid deposities kunnen ontstaan. Bijvoorbeeld bij notalgia paresthetica. AK-amyloid deposities kunnen ook gevonden worden in dermatofibromen, basaalcelcarcinoom, dermale naevi, actinische keratose en verruca seborrhoica. Er zijn auteurs die denken dat ook bij lichen amyloidosis de amyloid deposities ontstaan t.g.v. schade aan de epidermis door langdurig krabgedrag. Voor de hevig jeukende lichen amyloidosis op de onderbenen is dat aannemelijk: de jeuk bestaat vaak jaren eerder dan de amyloid deposities. Voor de interscapulaire variant van lichen amyloidosis is dat niet waarschijnlijk: de amyloid deposities zijn reeds aanwezig terwijl er nog geen enkele schade aan de epidermis is te zien (zie de detailfoto hieronder rechts van een beginstadium van amyloidosis cutis papulosa).

Notalgia paresthetica Lichen amyloidosus
notalgia paresthetica amyloidosis cutis papulosa



AMYLOID ELASTOSIS home ICD10: E85.8

Amyloid elastosis is een extreem zeldzame aandoening, beschreven door Winkelmann in 1985. Het is een progressieve fatale systemische en cutane amyloidosis, waarbij amyloid materiaal wordt afgezet rond elastine vezels in de huid en in inwendige organen (o.a. longen) en rond bloedvaten. Er ontstaan multipele huidkleurige of geelbruine vast aanvoelende noduli en plaques, vooral op de romp, rug, nek en schouders. Daarnaast progressieve spierzwakte en neurologische klachten.



POIKILODERMA-LIKE CUTANEOUS AMYLOIDOSIS home ICD10: L99.0

Poikiloderma-like cutaneous amyloidosis is ook een zeer zeldzame variant van cutane amyloidosis, en onderdeel van een syndroom bestaande uit poikiloderma-achtige huidveranderingen en lichenoide papels, waarin amyloid deposities, plus licht overgevoeligheid, korte lichaamslengte, en soms blaren en palmoplantaire hyperkeratose.

Referenties
1. Ho MH, Chong LY. Poikiloderma-like cutaneous amyloidosis in an ethnic Chinese girl. J Dermatol 1998;25(11):730-734.
2. Ogino A, Tanaka S. Poikiloderma-like cutaneous amyloidosis. Report of a case and review of the literature. Dermatologica 1977;155(5):301-309.



AMYLOIDOSIS CUTIS, NODULAIRE VORM (nodular cutaneous amyloidosis) home ICD10: E85.8

Nodulaire cutane amyloidosis (nodular localized cutaneous amyloidosis, amyloidosis cutis nodularis atrophicans, tumefactive amyloid) is zeer zeldzaam. Het amyloid materiaal is niet afkomstig van keratine zoals bij de andere vormen van cutane amyloidose, maar het is AL-amyloid afkomstig van lichte ketens immunoglobulinen, geproduceerd door een lokaal infiltraat van plasmacellen. Het is niet bekend waarom die plasmacellen zich lokaal ophopen in de huid. De infiltraten zijn polyclonaal, maar soms monoclonaal. Toch gaat het niet om een plasmacel maligniteit, per definitie is het benigne en beperkt tot de huid. Het kan geassocieerd zijn met auto-immuunziekten, vooral Sjögren syndroom, ook CREST, RA, SLE en primaire biliaire cirrhose.

Klinisch beeld:
Multipele milimeters tot centimeters grote huidkleurige, roze, rode, bruine of gelige plaques, verspreid over het hele lichaam, soms solitair. De plaques kunnen ook voorkomen in het gelaat, op of rond de neus of de oren, en soms lijken op facies leonina-achtige plaques. Het kan ook tussen de tenen zitten (zie nodulaire amyloidosis van de voet). De plaques kunnen een gedeeltelijk atrofische epidermis tonen of na genezing een atrofische epidermis achterlaten. Extracutane amyloidose of symptomen die daarbij kunnen horen zoals macroglossia of purpura (raccoon eyes) komen niet voor.

Nodular localized cutaneous amyloidosis Nodular localized cutaneous amyloidosis Nodular localized cutaneous amyloidosis
amyloidosis nodularis amyloidosis nodularis amyloidosis nodularis

Nodular localized cutaneous amyloidosis Nodular localized cutaneous amyloidosis Nodular localized cutaneous amyloidosis
amyloidosis nod. atroficans amyloidosis nod. atroficans amyloidosis nod. atroficans

DD:
Sarcoidose, lymphadenosis cutis benigna (pseudolymfoma cutis), plasmacytoma cutis, multiple myeloma, granuloma annulare, granuloma faciale, bindweefselnaevi, xanthogranuloma, xanthoma, leiomyoma.

Diagnostiek:
Biopt (diep, 4 mm), specifiek vragen naar amyloidosis i.v.m. de benodigde speciale kleuringen (PAS, immunohistochemie). Voor de dd met multiple myeloma algemeen bloedbeeld plus screening op paraproteïnen (M-proteïne).

PA:
Depositie van AL amyloid in de dermis en subcutis. Histochemisch kappa of lambda light chains. Tevens een infiltraat met daarin veel plasmacellen, poly- of monoclonaal.

Therapie:
Moeilijk te behandelen. Behandeling is ook niet echt nodig. Lokale en intralesionale corticosteroïden worden genoemd (matig resultaat), ook lokale excisie (deels om cosmetische redenen), of destructieve methoden zoals cryotherapie, curettage en elektrocoagulatie, dermabrasie en CO2 laser. Ook cyclofosfamide wordt genoemd, voor ernstige gevallen met veel laesies. Het kan recidiveren na behandeling.


Referenties
1. Wong CK. Mucocutaneous manifestations in systemic amyloidosis. In: Wong CK, Breathnach SM (editors). Cutaneous amyloidoses. Clinics in Dermatology, Elsevier, New York, 1990, pp 7-12.
2. Woollons A, Black MM. Nodular localized primary cutaneous amyloidosis: a long-term follow-up study. Br J Dermatol 2001;145(1):105-109.
3. Moon AO, Calamia KT, Walsh JS. Nodular amyloidosis: review and long-term follow-up of 16 cases. Arch Dermatol 2003;139(9):1157-1159.
4. Hagari Y, Mihara M, Hagari S. Nodular localized cutaneous amyloidosis: detection of monoclonality of infiltrating plasma cells by polymerase chain reaction. Br J Dermatol 1996;135(4):630-633.
5. Srivastava M. Primary cutaneous nodular amyloidosis in a patient with Sjögren's syndrome. J Drugs Dermatol 2006;5(3):279-280.
6. Summers EM, Kendrick CG. Primary localized cutaneous nodular amyloidosis and CREST syndrome: a case report and review of the literature. Cutis 2008;82(1):55-59.
7. Bozikov K, Janezic T. Excision and split thickness skin grafting in the treatment of nodular primary localized cutaneous amyloidosis. Eur J Dermatol 2006;16(3):315-316.
8. Lien MH, Railan D, Nelson BR. The efficacy of dermabrasion in the treatment of nodular amyloidosis. J Am Acad Dermatol 1997;36(2 Pt 2):315-316.
9. Lesiak A, Rakowski A, Brzezinska A, et al. Effective treatment of nodular amyloidosis with carbon dioxide laser. Cutan Med Surg 2012;16(5):372-374.
10. Alster TS, Manaloto RM. Nodular amyloidosis treated with a pulsed dye laser. Dermatol Surg 1999;25(2):133-135.
11. Tong PL, Walker WA, Glancy RJ, et al. Primary localized cutaneous nodular amyloidosis successfully treated with cyclophosphamide. Australas J Dermatol 2013;54(1):e12-15.


Author(s):
dr. Jan R. Mekkes. Dermatologist, Amsterdam UMC.

31-05-2023 (JRM) - www.skin-diseases.eu Terug naar homepagina



Diagnosis codes:
ICD10 L99.0 Amyloidosis van huid
ICD10 L99.0 Amyloidosis of skin
SNOMED 201337008 Amyloidosis of skin
DBC 27 spacer Diagnose niet nader omschreven

ICD10 L99.0 Amyloidosis van huid: maculaire cutane amyloidosis
ICD10 L99.0 Amyloidosis of skin: macular cutaneous amyloidosis
SNOMED 111032003 Macular cutaneous amyloidosis
DBC 27 spacer Diagnose niet nader omschreven

ICD10 L99.0 Amyloidosis van huid: lichen amyloidosis
ICD10 L99.0 Amyloidosis of skin: lichen amyloidosus
SNOMED 718105008 Lichen amyloidosus
DBC 27 spacer Diagnose niet nader omschreven

ICD10 L99.0 Amyloidosis van huid: amyloidosis cutis dyschromia
ICD10 L99.0 Amyloidosis of skin: amyloidosis cutis dyschromia
SNOMED 764849002 Amyloidosis cutis dyschromia
DBC 27 spacer Diagnose niet nader omschreven

ICD10 L99.0 Amyloidosis van huid: amyloidosis cutis bullosa
ICD10 L99.0 Amyloidosis of skin: bullous cutaneous amyloidosis
SNOMED 38606009 Bullous cutaneous amyloidosis
DBC 27 spacer Diagnose niet nader omschreven

ICD10 L99.0 Amyloidosis van huid: poikilodermal cutaneous amyloid
ICD10 L99.0 Amyloidosis of skin: poikilodermal cutaneous amyloid
SNOMED 237872005 Poikilodermal cutaneous amyloid
DBC 27 spacer Diagnose niet nader omschreven

ICD10 L99.0 Amyloidosis van huid: amyloid depositie in de huid secundair aan krabben
ICD10 L99.0 Amyloidosis of skin: amyloid deposition in the skin secondary to scratching
SNOMED 402720000 Amyloidosis limited to skin
DBC 27 spacer Diagnose niet nader omschreven

ICD10 E85.3 Secundaire systemische amyloïdose: secundaire systemische amyloïdose van huid
ICD10 E85.3 Secondary systemic amyloidosis: secondary systemic amyloidosis affecting skin
SNOMED 402457007 Secondary systemic amyloidosis affecting skin (AA fibril type)
DBC 27 spacer Diagnose niet nader omschreven

ICD10 E85.8 Amyloïdose, andere vormen: amyloid elastosis
ICD10 E85.8 Other amyloidosis: amyloid elastosis
SNOMED 402719006 Systemic amyloidosis affecting skin
DBC 27 spacer Diagnose niet nader omschreven

ICD10 E85.4 Amyloidosis beperkt tot orgaan: nodulaire cutane amyloidosis
ICD10 E85.4 Organ-limited amyloidosis: nodular cutaneous amyloidosis
SNOMED 402462008 Nodular amyloidosis
DBC 27 spacer Diagnose niet nader omschreven