FOLLICULITIS home ICD10: L73.9

Een folliculitis is een ontsteking uitgaande van een haarfollikel, meestal veroorzaakt door micro-organismen. Klinisch ziet men een folliculaire pustel / folliculair gerangschikte pustels. De definitie van een pustel (puist) is: zichtbare holte gevuld met purulent vocht, pus, zonder eigen wand, < 1 cm meestal in epidermis gelegen. Een pustel kan folliculair zijn (bijvoorbeeld S. aureus folliculitis of Pityrosporon folliculitis) of niet-folliculair (bijvoorbeeld herpes simplex, psoriasis pustulosa, acrovesiculeus eczeem).

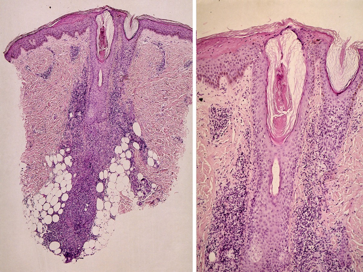
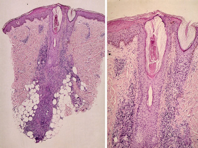
Folliculitis Folliculitis Folliculitis
S. aureus folliculitis S. aureus folliculitis folliculitis (PA)

Pityrosporum folliculitis (Malassezia furfur) Demodex folliculitis Eosinofiele folliculitis
Pityrosporum folliculitis Demodex folliculitis eosinofiele folliculitis

Acneiforme eruptie door EGFR remmer Mitomycin C induced generalized pustular eruption Pseudofolliculitis barbae
EGFR-induced folliculitis folliculitis pseudofolliculitis barbae


DD folliculitis:
- S. aureus folliculitis
  - diep (furunkel, furunculosis)
  - oppervlakkig (impetigo van Bockhardt)
- Pityrosporon folliculitis
- Demodex folliculitis
- Gram-negatieve folliculitis
- eosinofiele folliculitis
- EGFR-induced folliculitis
- pseudofolliculitis barbae (ingegroeide haren)
- folliculitis barbae (diepe ontsteking haarfollikel, sycosis barbae)
- folliculitis decalvans
- sycosis trichophytica barbae (mycose follikel, vaak Trichophyton)
- acne keloidalis (nuchae), folliculitis keloidalis
- Pseudomonas folliculitis (besmette whirlpool, whirlpool dermatitis)
- folliculitis nno
- dermatitis perioralis
- acne rosacea
- acne agminata (lupus miliaris facei disseminata)
- impetigo
- acne vulgaris
- acne fulminans
- occupational acne (olie, teer, chlooracne, comedogene stoffen)
- mechanische acne (schurende kleding)
- cosmetica acne (dikke lagen comedogene cosmetica)
- steroïd acne (bij systemisch prednison)
- drug induced acne (overige geneesmiddelen)
- talgklier hyperplasie
- Favre Racouchot
- seniele comedonen
- keratosis pilaris (pseudo pustels)
- gonococcen sepsis
- Pseudomonas sepsis
- lues
- TBC
- neonatale acne, acne infantum
- erythema toxicum neonatorum eosinophilicum
- neonatal cephalic pustulosis
- acne infantum
- transient neonatal pustular melanosis
- incontinentia pigmenti (eerste stadium)
spacer


DD niet-folliculaire pustels:
- herpes simplex
- herpes zoster
- Kaposi's varicelliforme eruptie
- andere virale infecties, viraal exantheem
- psoriasis pustulosa generalisata (Zumbusch)
- pustulosis palmoplantaris (Andrews Barber)
- acrodermatitis continua
- acropustulosis infantum
- Gianotti-Crosti syndroom
- acrovesiculeus eczeem
- dermatomycose, Candida
- pustuleuze toxicodermie
- Mitomycin C induced generalized pustular eruption
- AGEP
- Behçet syndroom
- Sneddon Wilkinson (subcorneale pustulosis)
- Sweet syndroom (pseudopustels)
- vasculitis
- pyoderma gangrenosum
spacer


patientenfolder


Author(s):
dr. Jan R. Mekkes. Dermatologist, Amsterdam UMC.

31-05-2023 (JRM) - www.skin-diseases.eu Terug naar homepagina



Diagnosis codes:
ICD10 L73.9 Folliculaire aandoening, niet gespecificeerd: folliculitis
ICD10 L73.9 Follicular disorder, unspecified: folliculitis
SNOMED 13600006 Folliculitis
DBC 4 Dermatosen door micro-organismen