VERRUCAE PLANAE (JUVENILES) home ICD10: B07

Verrucae planae (verruca plana, vlakke wratten) worden net als gewone wratten (verruca vulgaris) ook door HPV (humaan papilloma virus) veroorzaakt. Klinisch ziet men multipele vlakke epidermale papels, 1-4 mm groot, vooral op de onderarmen (handrug, vingers), het gelaat, de hals, en de benen. Ze ontstaan vaak in grote aantallen tegelijk bij kinderen en jong-volwassenen. Geneest spontaan, maar dat kan jaren duren. In het gelaat vaak geel of bruin gepigmenteerd, soms rood (teken van regressie). Ze kunnen in grote aantallen voorkomen bij immuundeficiënties en immunosuppressiva gebruik, en ze kunnen zich verspreiden via kleine huidbeschadigingen en door krabben.

Vlakke wrat, verruca plana Vlakke wrat, verruca plana
verruca plana verruca plana

Vlakke wrat, verruca plana Vlakke wrat, verruca plana
verruca plana verruca plana

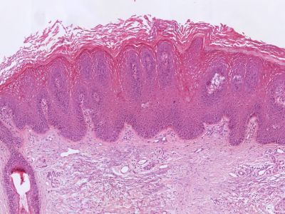
Histologie verruca plana
ingescande coupe (zoom)

Bron hoge resolutie PA-foto: Kevin Kwee en Afdeling Pathologie MUMC. Klik op de afbeelding om in te zoomen.


DD: epidermale naevi, lichen nitidus, lichen amyloidosis, lichen planus, sarcoidose.

Therapie:
Het is moeilijk te behandelen, vanwege het klein formaat en het grote aantal. Eventueel oppervlakkig bevriezen met wattenstaafjes of Cryac. Elektrocoagulatie en CO2 laser zijn ook een optie, maar pijnlijk en bewerkelijk. Zie ook onder verruca vulgaris.
R/ Duofilm (salicylzuur en melkzuur, aanstipvloeistof, hecht goed aan de wrat). Zelfzorgpreparaat, wordt niet vergoed. Circa 7 euro voor 15 ml.
R/ collodium ad verrucas FNA (salicylzuurcollodium 20% FNA). Dagelijks alleen op wrat aanbrengen.
R/ Formule W applicatievloeistof (salicylzuur 17%, alcohol, aceton), 6 ml, met applicator. Dagelijks alleen op wrat aanbrengen. Zelfzorgpreparaat, wordt niet vergoed. Circa 18 euro voor 6 ml.
R/ Wartec (podofyllotoxine) crème 1.5 mg/g, 5 g, 2 dd gedurende 3 opeenvolgende dagen aanbrengen. Zonodig dit schema van 3 dagen per week nog 4 x herhalen.
R/ Formule W wrattenpen (trichloorazijnzuur).
R/ Aldara (imiquimod) crème 50 mg/g: Een dun laagje crème 3 keer per week (bv. maandag, woensdag en vrijdag) voor het slapen gaan uitsluitend op de wrat aanbrengen en inwrijven totdat de crème is ingetrokken. De crème 6-10 uur op de huid laten zitten, daarna verwijderen met water en (milde) zeep. De behandeling voortzetten totdat de wratten niet meer zichtbaar zijn, maximaal 16 weken.
R/ tretinoïne crème 0.05% of 0.02% 2 dd aanbrengen op de wratten.
R/ Efudix crème (5-fluoro-uracil 5%) 1 dd gedurende 3-4 weken.


patientenfolder


Author(s):
dr. Jan R. Mekkes. Dermatologist, Amsterdam UMC.

31-05-2023 (JRM) - www.skin-diseases.eu Terug naar homepagina



Diagnosis codes:
ICD10 B07 Virale wratten: verruca plana
ICD10 B07 Viral warts: plane wart
SNOMED 240539000 Plane wart
DBC 26 Verrucae