Lichen simplex chronicus (lichen simplex, neurodermatitis
circumscripta, lichen Vidal,
prurigo circumscripta)
is te beschouwen als de plaquevormige variant van de prurigo papel. Het zit
vaak aan de onderbenen (scheenbenen, enkels, voorvoet), of in de anogenitale
regio (scrotum, vulva, perianaal).
Jeuk is de primaire oorzaak.
De huidveranderingen, verdikking van de huid met vergroving van het huidreliëf
(
lichenificatie) zijn een reactie op het chronische
krabben. Het chronisch krabgedrag kan zijn op basis van gewoonte of in het kader
van psychische stoornissen. Maar meestal is het een onbewuste en onbedwingbare
reflexmatige reactie op de jeuk. De jeuk is vaak aan het eind van de dag het
ergst en in rust (als er geen afleidende andere prikkels zijn). Ook 's nachts
in de slaap wordt onbewust gekrabd aan dit soort plekken. Lichen simplex
chronicus komt voor zonder dat er andere huidziekten aanwezig zijn, maar het
komt ook voor secundair aan jeukende dermatosen, vooral
atopisch eczeem.
Klinisch
beeld:Hevig jeukende, matig scherp begrensde laesie, erytheem,
schilfering en
lichenificatie. Bij de
gepigmenteerde
huid is er vaak post-inflammatoire hyperpigmentatie bij, waardoor het
meer opvalt. De
voorkeursplaatsen zijn de onderbenen (scheenbenen, enkels, voorvoet),
onderarmen, rond de polsen, in de nek,
perianaal (
pruritus ani),
op het
scrotum (neurodermatitis scroti,
pruritus scroti) en op de
vulva (
pruritis vulvae).
![Lichenificatie (click on photo to enlarge) [source: www.huidziekten.nl] Lichenificatie](../../../images/lichenificatie-1z.jpg) |
![Lichen simplex chronicus (click on photo to enlarge) [source: www.huidziekten.nl] Lichen simplex chronicus](../../../images/lichen-simplex-chronicus-1z.jpg) |
![Lichen simplex chronicus (click on photo to enlarge) [source: www.huidziekten.nl] Lichen simplex chronicus](../../../images/lichen-simplex-chronicus-2z.jpg) |
| lichenificatie |
lichen
simplex chronicus |
lichen
simplex chronicus |
![Lichen simplex chronicus (click on photo to enlarge) [source: www.huidziekten.nl] Lichen simplex chronicus](../../../images/lichen-simplex-chronicus-3z.jpg) |
![Lichen simplex chronicus (click on photo to enlarge) [source: www.huidziekten.nl] Lichen simplex chronicus](../../../images/lichen-simplex-chronicus-4z.jpg) |
![Lichen simplex chronicus (click on photo to enlarge) [source: www.huidziekten.nl] Lichen simplex chronicus](../../../images/lichen-simplex-chronicus-5z.jpg) |
| lichen
simplex chronicus |
lichen
simplex chronicus |
lichen
simplex chronicus |
DD:Lichen planus
(hypertrophicus),
lichenificatie bij atopisch eczeem,
lichenoïde toxicodermie,
contacteczeem,
nummulair eczeem, eczema nno,
amyloidosis,
pretibiaal myxoedeem; bij anogenitale laesies:
candida,
morbus Hailey-Hailey,
extramammaire Paget.
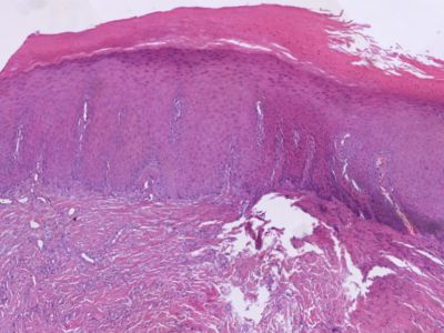
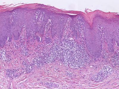
PA:Uitgesproken acanthose, verlengde retelijsten. Hyperkeratose, soms focale parakeratose en hypergranulose. De dermale papillen zijn regelmatig verlengd en soms verbreed. In de dermale
papillen verticaal georienteerde collageenvezels, fibroblastrijk. Ook
fibrose in de dermis. Soms is er spongiose, zonder vesikelvorming. In de dermis
een oppervlakkig perivasculair lymfocytair infiltraat.
![Histologie lichen simplex chronicus (click on photo to enlarge) [source: Kevin Kwee / Afdeling Pathologie MUMC] Histologie lichen simplex chronicus](../../../pacoupes/thumbnails/lichen-simplex-chronicus-1.jpg) |
![Histologie lichen simplex chronicus (click on photo to enlarge) [source: Kevin Kwee / Afdeling Pathologie MUMC] Histologie lichen simplex chronicus](../../../pacoupes/thumbnails/lichen-simplex-chronicus-2.jpg) |
|
ingescande coupe (zoom) |
ingescande coupe (zoom) |
Bron
hoge resolutie PA-foto's: Kevin Kwee en Afdeling Pathologie MUMC. Klik
op de afbeelding om in te zoomen.
Therapie:Patiënt goed uitleggen dat de
afwijkingen worden veroorzaakt door (onbewust) krabben. Onderliggende
oorzaken van jeuk zoals droge huid, eczeem, psoriasis, mycosen, of interne
oorzaken proberen te behandelen. Krachtige
corticosteroïden (klasse III-IV)
zijn nodig om de vicieuze cirkel (jeuk-krabben-jeuk) te doorbreken, zonodig
onder occlusie met plastic huishoudfolie of een
occlusief hydrocolloid
verband (Duoderm extra thin, Cutimed Hydro L, Kliniderm Hydrocolloid Thin, Tegaderm Thin, Comfeel
Plus, etc.), of intralesionale corticosteroïden.
Als het beter gaat minder sterke steroïden gaan gebruiken, of afwisselen met
tacrolimus zalf of pimecrolimus crème om complicaties zoals atrofie of
hypopigmentatie te voorkomen. Langdurig afplakken met een dun
hydrocolloïdverband werkt meestal goed want het beschermt tegen krabben, ook
's nachts. In extreme gevallen een zinklijmverband dat wekelijks wordt
aangebracht. Er zijn case-reports over effect van lichtherapie,
cryotherapie, curettage en elektrocoagulatie, CO2-laser, psychotherapie, gedragstherapie,
TENS (Transcutane Elektrische Neuro Stimulatie) en Botox-injecties. Nieuwe
therapeutische opties zijn in onderzoek, zoals lokale en systemische
JAK-remmers, nemolizumab, crisaborol.
R/ betamethason-17-valeraat 0.1% (Betnelan zalf / generiek)
R/ momethason 0.1% (Elocon zalf / generiek).
R/ betamethasondipropionaat 0.05%
(Diprosone zalf / Diprolene zalf / Diprosalic zalf / generiek).
R/ clobetasol-17-propionaat 0.05%
(Dermovate zalf / generiek).
R/ salicylzuur 10% in dermovate zalf.
R/
teerpreparaten en combinaties van teer en corticosteroïden, eventueel onder
occlusie.
R/ tacrolimus zalf of pimecrolimus crème in de afbouwfase, of
voor de genitale regio die erg gevoelig is voor steroïdatrofie.
R/
Kenacort A10 intralesionaal.
Soms,
met name bij generaliseerde jeuk kunnen
lokale of systemische antipruriginosa
van nut zijn, zoals sederende antihistamina voor de nacht, capsaïcinecrème,
gabapentine, pregabaline, amitriptyline, nortriptyline, anti-epileptica,
mirtazapine, en
andere psychofarmaca die ingrijpen op de prikkeloverdracht in zenuwen of in
het centraal zenuwstelsel.
R/ sederende antihistaminica: hydroxyzine
25 mg 1 uur voor het slapen gaan, zonodig ook overdag (maximaal 100 mg/dag).
R/ Capsaïcine crème 0.025% of 0.075% FNA.
R/ Neurontin (gabapentine) caps
à 300 of 400 mg, 900-1200 mg per dag verdeeld over 3 giften.
R/ Lyrica (pregabaline) caps à 25, 75, 150 of 300 mg, 150-600 mg per dag
verdeeld over 2 of 3 giften.
R/ amitriptyline, tab à 10, 25, 50 of 75 mg,
25-75 mg per dag.
R/ nortriptyline, tab à 10, 25, of 50 mg, 25-75 mg per dag.
R/ doxepine 1-2 dd 25 mg.
Sinequan (doxepine 25 mg) is in 2023 van de markt gehaald in Nederland om commerciële redenen (te weinig omzet). De firma Fagron levert generieke doxepine tabletten van 10 of 50 mg.
R/ ketamine-amitriptyline-lidocaine (KAL) cream (niet in Nederland
beschikbaar).
R/ ciclosporine.
R/ methotrexaat.
R/ dupilumab.
Referenties
| 1. |
Moshkovich M, Andrade LF, Anderson M, Yosipovitch G. Lichen Simplex Chronicus: Clinical Perspectives and Emerging Therapeutic Strategies. Am J Clin Dermatol 2025;26(6):895-903. |
| 2. |
Heckmann M, Heyer G, Brunner B, Plewig G.
Botulinum toxin type A injection in the treatment of lichen
simplex: an open pilot study. J Am Acad Dermatol
2002;46(4):617-619. |
| 3. |
Yosipovitch G, Sugeng MW, Chan YH, Goon A, Ngim S, Goh CL. The effect of topically applied aspirin on localized circumscribed neurodermatitis. J Am Acad Dermatol 2001;45(6):910-913. |
Author(s):dr. Jan R. Mekkes. Dermatologist, Amsterdam UMC.