HERPES SIMPLEX LABIALIS (Koortslip) home ICD10: B00.1

Infectie met herpes simplex virus, meestal type I (type II is vooral geassocieerd met herpes genitalis). Besmettelijk voor wie nog nooit in aanraking met het virus geweest is (o.a. pasgeborenen). Ook kinderen en volwassenen met atopisch eczeem kunnen ernstig geïnfecteerd raken (eczema herpeticum). De diagnose wordt gesteld op het klinisch beeld (gegroepeerde vesikels, branderigheid, pijn) en zonodig bevestigd door direct microscopisch onderzoek (indirecte IF, Tzanck test) of een PCR (blaasjesvocht, uitstrijk ulcusbodem). In de DD staan onder andere aften (stomatitis aftosa). Voor een direct preparaat vesikel inhoud of schraapsel van de bodem van de vesikels/ulcera vergaren met mesje, pincetpunt of achterkant wattenstokje (niet met wattenbol zelf, absorbeert al het vocht) en twee rondjes uitstrijken op een objectglas. In de meeste laboratoria wordt niet meer gewerkt met een direct preparaat, maar met een swab in virus medium, waarop een PCR-test wordt gedaan. Deze is meestal na een dag al bekend.

Herpes simplex labialis Herpes simplex labialis Herpes simplex labialis
herpes simplex labialis (HSV-1) herpes simplex labialis (HSV-1) herpes simplex labialis (HSV-1)

Herpes simplex labialis Stomatitis herpetica Stomatitis herpetica
herpes simplex labialis (HSV-1) stomatitis herpetica stomatitis herpetica

Foto's: Metju12, CDC Atlanta, Ben Tillman, en WarXboT - Wikimedia (Creative Commons License 1.0 / 2.0).


De primaire HSV 1 infectie vindt meestal plaats op de kleuterleeftijd en kan gepaard gaan met slijmvlieslaesies in de mond. Kan ook subklinisch verlopen. Na genezing (duurt circa 8 dagen) blijft het virus sluimerend achter in sensibele ganglia, meestal het ganglion trigeminale. Zonlicht, stress, menstruatie en koorts kunnen een recidief veroorzaken. Recidief laesies kunnen onder andere optreden aan de lip, de vingers (herpes simplex panaritium) of het hoornvlies (keratitis dendritica). Negentig procent van de adolescenten heeft antistoffen. In de mond ontstaat lokale immuniteit: een recidief treedt op de rand van de lip op, bij zo'n 30-50% van de dragers. De incubatietijd is 2-12 dagen, gemiddeld vier dagen. Het virus wordt overgedragen via contact met speeksel van een drager, bijvoorbeeld door kussen en via seksueel contact, ook oraal-genitaal en oraal-anaal contact. Primaire orale laesies zijn 7-12 dagen besmettelijk voor anderen. Bij recidiverende laesies rond de mond hoogstens een week, namelijk gedurende de aanwezigheid van de laesie, totdat de korst geheel ingedroogd is. Thuisblijven van werk school of kindercentrum is niet zinvol. Verzorgenden van pasgeboren, patiënten met een gestoorde afweer en atopisch eczeempatiëntjes dienen hygiënische maatregelen in acht te nemen (handen wassen, mondmasker bij herpes labialis, handschoenen of zelfs tijdelijke arbeidsongeschiktheid bij herpes laesies aan de vingers). Zie ook tabel werkverbod bij infecties.

Primaire herpes simplex infectie op de arm Primaire herpes simplex infectie op de arm
herpes simplex arm herpes simplex arm

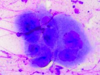
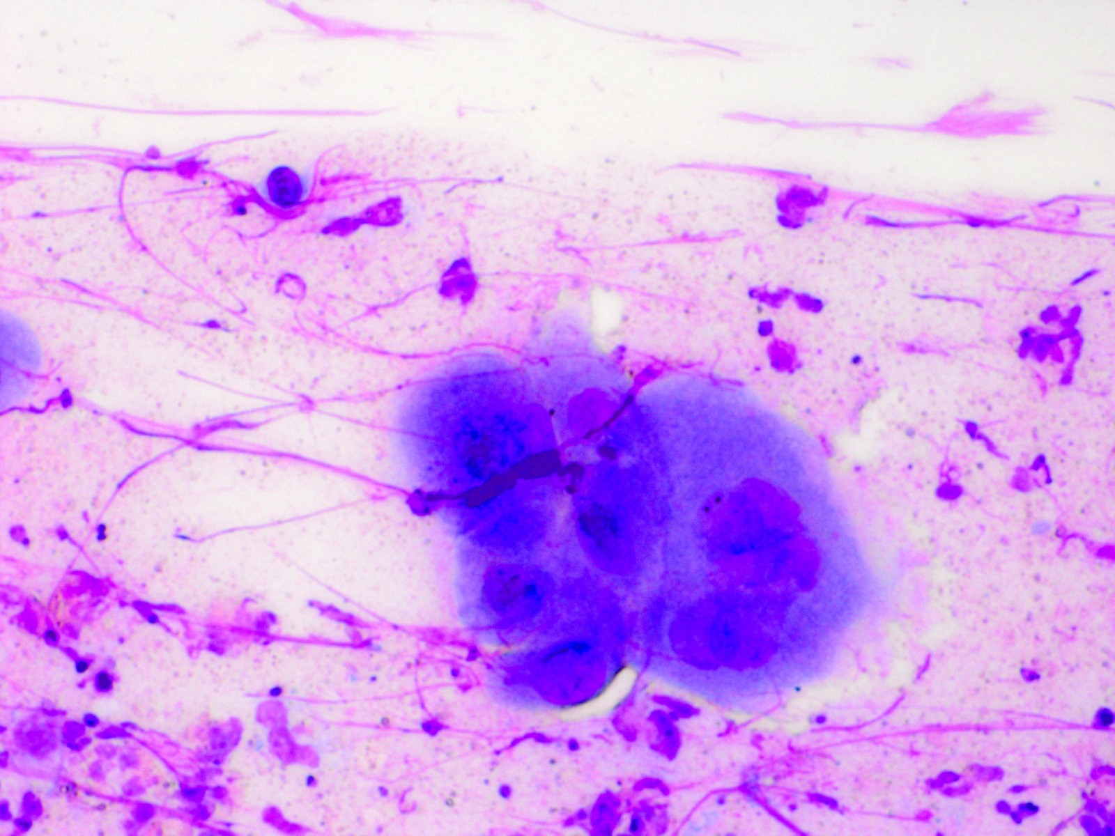
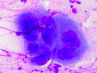
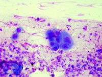
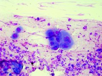
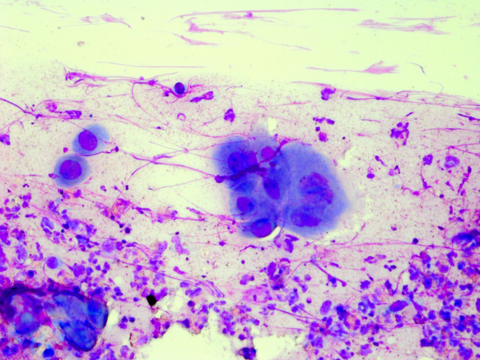
Tzanck test met multinucleate giant cells Tzanck test met multinucleate giant cells
Tzanck test (reuscellen) Tzanck test (reuscellen)


PA:
De epidermis toont holtevorming door degeneratie van epitheelcellen. Twee typen degeneratie komen voor, namelijk balloniserende en reticulaire. De balloniserende degeneratie is gekenmerkt door opzwelling van de cellen, die vaak een homogeen, eosinofiel cytoplasma tonen; de kern verdwijnt later. In deze kernen kunnen de insluitlichaampjes van Lipschutz te zien zijn. Deze komen zowel voor bij herpes simplex als bij Varicella en Herpes zoster. Zij bestaan uit kernsubstantie resten die nagenoeg geen viruspartikels meer bevatten. De lichaampjes van Lipschutz zijn eosinofiel; vaak zijn zij omgeven door een heldere zone (halo). In de vesikelbodem komen door confluering meerkernige balloon cellen voor. De reticulaire degeneratie ontstaat door zwelling en vervloeiing van de cellen; resten van de celwanden blijven over en tonen een reticulair patroon. Door samensmelten van de holten in de epidermis lijkt het blaasje in latere stadia subepidermaal te liggen. Deze veranderingen komen zowel voor in de epidermis als in de adnexen (haarfollikel, talgklier). Door uitstrijken van blaasjesbodem en kleuring volgens Giemsa (Tzanck test) is het soms mogelijk de typische meerkernige cellen of cellen met insluitlichaampjes rechtstreeks waar te nemen. In het bovenste gedeelte van de cutis bevindt zich een aspecifieke ontsteking met lymfocyten en enkele polynucleaire granulocyten. Soms is het ontstekingsbeeld zeer heftig, met verschijnselen van een gelokaliseerde leukocytoclastische vasculitis.

Histologie herpes simplex Histologie herpes simplex
ingescande coupe (zoom) ingescande coupe (zoom)

Bron hoge resolutie PA-foto's: Kevin Kwee en Afdeling Pathologie MUMC. Klik op de afbeelding om in te zoomen.


Therapie:
Indrogen bevorderen en secundaire infecties voorkomen. Indien de eruptie recent uitgebroken is, heeft het zin antivirale middelen voor te schrijven. Het effect van lokale antivirale crèmes (aciclovir, idoxuridine, penciclovir en tromantadine crème) is gering, deze middelen zijn niet meer op recept verkrijgbaar, wel als zelfzorg product.

R/ lidocaine 5% in zinkoxidesmeersel FNA.
R/ EMLA crème.
R/ aciclovir crème, aciclovir koortslipcrème, Zovirax duo (aciclovir / hydrocortison). De effectiviteit van lokale aciclovir koortslip crèmes is beperkt.
R/ valaciclovir 2 dd 500 mg gedurende 5 dagen. Zonodig langer (6-10 dagen).
R/ valaciclovir 2 dd 2000 mg (4 tab à 500 mg) gedurende alleen de eerste dag (starten binnen 24-48 uur).
R/ famciclovir (tab à 125 mg) 3 dd 250 mg (bij recidief volstaat 2 dd 250 mg) gedurende 5 dagen. Zonodig langer (6-10 dagen).
R/ aciclovir oraal 5 dd tab à 200 mg gedurende 5 dagen. Zonodig langer (6-10 dagen). Zinvol bij primaire, recent ontstane Herpes (binnen 4-5 dagen na ontstaan starten). Bij ernstig gestoorde nierfunctie (kreatinineklaring < 10 ml/min): 2 dd 200 mg.
R/ aciclovir intraveneus 3 dd 5 mg/kg bij ernstige infecties. Langzaam (in 1 uur) laten inlopen. Bij nierfunctiestoornis dosis verlagen (2 dd 5 mg/kg bij klaring 25-50 ml/uur, 1 dd 5 mg/kg bij klaring 10-25 ml/uur, 1 dd 2.5 mg/kg bij klaring < 10 ml/uur).



HERPES SIMPLEX LABIALIS RECIDIVANS home ICD10: B00.1

Het virus nestelt zich in de ganglia en reïnfecteert daarvandaan de huid in steeds het zelfde gebied, bij perioden van lichamelijke of fysieke stress, ziekte, of rond de menstruatie. Ook zonexpositie kan een aanval uitlokken (sunscreen gebruiken). Bij recidiverende herpes een recept meegeven voor de volgende aanval, om snel te kunnen starten. Bij frequente (6-10 keer per jaar) of zeer hinderlijke recidieven profylactische onderhoudsdosering starten:

R/ valaciclovir 1 dd 500 mg. Kinderen 20 mg/kg/dag verdeeld over 2 doses.
R/ famciclovir (tab à 125 mg) 2 dd 250 mg.
R/ aciclovir 2 dd 400 mg.
Na een half tot 1 jaar pauze inlassen om te beoordelen of het nog nodig is.



HERPES SIMPLEX, BIJ IMMUUNGECOMPROMITTEERDE PATIËNT home ICD10: B00.0

Bij immuungecompromitteerde patiënten (AIDS, leukemie, lymfomen, chemotherapie) komen andere vormen van herpes voor, waaronder grote ulcera, erosieve plaques, hypertrofische/verruceuze vormen, en gedissemineerde vormen (herpes simplex generalisata). Een patiënt met atopisch eczeem en gedissemineerde Herpes infectie kan als immuungecompromitteerd worden beschouwd, hierover is echter discussie mogelijk. Zie eczema herpeticum.

Primaire gelokaliseerde herpes simplex:
R/ valaciclovir 2-3 dd 1000 mg gedurende 5 dagen. Zonodig langer: 10 dagen of tot klinische genezing.
R/ famciclovir, tab 500 mg, 3 dd 500-1000 mg oraal gedurende 7 dagen. Zonodig langer: 10 dagen of tot klinische genezing.
R/ aciclovir 5 dd 400-800 mg gedurende 7 dagen. Zonodig langer: 10 dagen of tot klinische genezing.
R/ aciclovir intraveneus 3 dd 5-10 mg/kg gedurende 5-7 dagen. Zonodig langer: 10 dagen of tot klinische genezing. Langzaam (in 1 uur) laten inlopen.
Recidief gelokaliseerde herpes simplex:
R/ valaciclovir 2 dd 500 mg, famciclovir 3 dd 250 mg, of aciclovir 5 dd 200-400 mg.
Gedurende 5-10 dagen, zonodig langer voortzetten tot klinische genezing.
Frequent (> 6 keer per jaar) recidiverende herpes simplex:
R/ valaciclovir 1 dd 500 mg, famciclovir (tab à 125 mg) 2 dd 250 mg, of aciclovir 2 dd 400 mg.
Bij onvoldoende effect kweek afnemen voor resistentiebepaling.
Herpes simplex generalisata:
R/ aciclovir intraveneus 3 dd 5-10 mg/kg. Langzaam (in 1 uur) laten inlopen. Gedurende 5-10 dagen, zonodig langer voortzetten tot klinische genezing.
R/ valaciclovir 3-4 dd 1000 mg oraal gedurende 10 dagen.
R/ famciclovir, tab 500 mg, 3-4 dd 1000 mg oraal gedurende 10 dagen.
Resistentie voor aciclovir:
R/ foscarnet intraveneus 3 dd 40 mg/kg. Voorafgaand een ECG maken en nierinsufficiëntie uitsluiten. Foscarnet is toxischer dan aciclovir, alleen geven bij aangetoonde resistentie (hiervoor geen PCR maar een viruskweek insturen met als vraag: resistentiebepaling). Foscarnet wordt geleverd als infusievloeistof 24 mg/ml in ampullen van 250 ml. 1 ampul bevat dus 24x250 = 6000 mg. De gemiddelde patiënt van 75 kg heeft 40x75 = 3000 mg per gift nodig (een halve ampul per gift). Het wordt aanbevolen om het langzaam in te laten lopen in meer dan een uur. Het wordt opgelost in 0,9% NaCl of 5% glucose-oplossing. Als het over een gewoon perifeer infuus wordt toegediend de vloeistof verdunnen tot 12 mg/ml. Dit kan worden bereikt door de inhoud van 1 ampul op te lossen in 250 ml NaCl 0.9% volgens voorschrift en hieruit de helft (125 ml) toe te dienen aan een 250 ml infuuszak waar eerst 125 ml is uitgehaald. In deze infuuszak is dan de eindconcentratie 12 mg/ml en de hoeveelheid 3000 mg (250x12 = 3000 mg). Per gift hiervan 250 ml laten inlopen. De andere helft van de ampul in de koelkast bewaren voor de volgende gift 8 uur later. Patiënten dienen goed gehydrateerd te zijn, infuus laten lopen als waakinfuus 500 ml per 8 uur.
R/ cidofovir 5 mg/kg i.v.



HERPES SIMPLEX ENCEPHALITIS home ICD10: B00.3

R/ aciclovir intraveneus, 10-15 mg/kg/8 uur.



HERPES SIMPLEX KERATITIS home ICD10: B00.5

R/ aciclovir oogzalf, 5 dd plus aciclovir tabletten 5 dd 200 mg, of valaciclovir 2 dd 500 mg, of famciclovir (tab à 125 mg) 3 dd 250 mg. Gedurende 5 dagen, zonodig langer (6-10 dagen).

Herpes simplex ooglid
herpes simplex ooglid (HSV-1)

Foto: Powerfloh - Wikimedia (Creative Commons License 3.0).



HERPES OROFACIALIS BIJ KINDEREN home ICD10: B00.1

R/ aciclovir suspensie 40 mg/ml (125 ml). Kinderen vanaf 2 jaar: 5 dd 200 mg (5 ml); kinderen < 2 jaar 5 dd 100 mg (2.5 ml), gedurende 5 dagen. Naar lichaamsgewicht: 5 dd 15 mg/kg (maximaal 1 g/dag).
R/ aciclovir i.v. Dosering (3 maanden-12 jaar): 3 dd 250 mg/m2. Zie tabel lichaamsoppervlak. Rekenvoorbeeld: kind 0.90 m, 13 kilo = (volgens tabel) 0.6 m2, = 3 dd 150 mg i.v.


Dosering van valaciclovir bij kinderen
Er wordt van valaciclovir nog geen officiële kinderdosering vermeld in het kompas. Men kan aannemen dat het net als bij volwassenen effectief en veilig is. Valaciclovir is verkrijgbaar in tabletten van 250 of 500 mg en kan worden verwerkt tot capsules. De volgende doseringen worden geadviseerd voor kinderen tussen 1 maand en 18 jaar door www.kinderformularium.nl:

HSV: Herpes simplex en herpes genitalis (primair en reactief), mucocutane infectie, koortslip:
R/ valaciclovir 30 mg/kg/dag in 2 doses. Maximum dosis: 1000 mg/dag.

HSV: Herpes simplex bij immuungecompromitteerde patiënt
R/ valaciclovir 60 mg/kg/dag in 3 doses. Maximum dosis: 3000 mg/dag.

VZV: Herpes zoster (1 dermatoom) en VZV bij immuungecompromitteerde patiënt
R/ valaciclovir 60 mg/kg/dag in 3 doses. Maximum dosis: 3000 mg/dag.

Recidiverende visusbedreigende herpes keratitis:
R/ valaciclovir startdosering: 1800 mg/m2/dag . Onderhoudsdosering: 600 mg/m2/dag.

patientenfolder folder over herpes simplex
patientenfolder folder over oogontsteking door herpes
patientenfolder folder over oogontsteking door herpes zoster



Author(s):
dr. Jan R. Mekkes. Dermatologist, Amsterdam UMC.

31-05-2023 (JRM) - www.skin-diseases.eu Terug naar homepagina



Diagnosis codes:
ICD10 B00.1 Vesiculaire dermatitis door Herpesvirus: herpes labialis
ICD10 B00.1 Herpesviral vesicular dermatitis: herpes labialis
SNOMED 1475003 Herpes labialis
DBC 4 spacer Dermatosen door micro-organismen

ICD10 B00.1 Vesiculaire dermatitis door Herpesvirus: herpes labialis type 1
ICD10 B00.1 Herpesviral vesicular dermatitis: herpes labialis type 1
SNOMED 407451003 Herpes simplex type 1 infection
DBC 4 spacer Dermatosen door micro-organismen

ICD10 B00.1 Vesiculaire dermatitis door Herpesvirus: herpes labialis recidivans
ICD10 B00.1 Herpesviral vesicular dermatitis: herpes labialis recidivans
SNOMED 402892009 Recurrent herpes simplex labialis
DBC 4 spacer Dermatosen door micro-organismen

ICD10 B00.0 Eczema herpeticum
ICD10 B00.0 Eczema herpeticum
SNOMED 186535001 Eczema herpeticum
DBC 4 spacer Dermatosen door micro-organismen

ICD10 B00.2 Gingivostomatitis en faryngotonsillitis door Herpesvirus: orale mucosale herpes
ICD10 B00.2 Herpesviral gingivostomatitis and pharyngotonsillitis: orale mucosal herpes
SNOMED 235058001 Oral mucosal herpes
DBC 4 spacer Dermatosen door micro-organismen

ICD10 B00.2 Gingivostomatitis en faryngotonsillitis door Herpesvirus
ICD10 B00.2 Herpesviral gingivostomatitis and pharyngotonsillitis
SNOMED 57920007 Herpetic gingivostomatitis
DBC 4 spacer Dermatosen door micro-organismen

ICD10 B00.3 Herpes meningitis
ICD10 B00.3 Herpesviral meningitis
SNOMED 23291008 Herpes simplex meningitis
DBC 28 spacer Geen dermatologische diagnose

ICD10 B00.4 Herpes encephalitis
ICD10 B00.4 Herpesviral encephalitis
SNOMED 427796004 Encephalitis caused by human herpes simplex virus
DBC 28 spacer Geen dermatologische diagnose

ICD10 B00.5 Herpesinfectie oog
ICD10 B00.5 Herpesviral ocular disease
SNOMED 186542001 Ophthalmic herpes simplex
DBC 4 spacer Dermatosen door micro-organismen

ICD10 B00.7 Gedissemineerde herpes infectie
ICD10 B00.7 Disseminated herpesviral disease
SNOMED 402120005 Disseminated cutaneous herpes simplex infection
DBC 4 spacer Dermatosen door micro-organismen

ICD10 B00.8 Overige gespecificeerde vormen van Herpesvirus-infecties
ICD10 B00.8 Other forms of herpesviral infection
SNOMED 88594005 Herpes simplex
DBC 4 spacer Dermatosen door micro-organismen

ICD10 B00.8 Overige gespecificeerde vormen van Herpesvirus-infecties: herpes panaritium
ICD10 B00.8 Other forms of herpesviral infection: herpes panaritium
SNOMED 43891009 Herpetic whitlow
DBC 4 spacer Dermatosen door micro-organismen

ICD10 B00.9 Herpesvirus-infectie, niet gespecificeerd: herpes simplex
ICD10 B00.9 Herpesviral infection, unspecified: herpes simplex
SNOMED 88594005 Herpes simplex
DBC 4 spacer Dermatosen door micro-organismen

ICD10 B00.9 Herpesvirus-infectie, niet gespecificeerd
ICD10 B00.9 Herpesviral infection, unspecified
SNOMED 23513009 Herpesvirus infection
DBC 4 spacer Dermatosen door micro-organismen