Porokeratose is een afwijking waarbij plaques of annulaire
laesies ontstaan met een opstaand schilferend randje. Onder de microscoop is
dit randje te zien als de
cornoid lamella, een uitwaaierende
kolom van parakeratotische verhoorning uitgaande van dyskeratotische keratinocyten.
Het is een lokale klonale proliferatie van afwijkende keratinocyten. De afwijkingen
worden dus gevormd door een groepje (kloon) keratinocyten die allemaal een afwijkend
verhoorningsproces hebben (parakeratose) en aan elkaar blijven plakken en hierdoor
het zuiltje vormen, de cornoid lamella. Er worden verschillende varianten van
porokeratose onderscheiden (zie tabel). De meest voorkomende is de
porokeratosis van Mibelli (solitaire of enkele plaques of
annulaire laesies) en
disseminated superficial actinic porokeratosis,
waarvan ook een variant wordt onderscheiden die geen relatie heeft met zonlicht
(disseminated superficial porokeratosis). Er kan een plaveiselcelcarcinoom ontstaan
in een porokeratose.
![Porokeratosis disseminata superficialis (click on photo to enlarge) [source: www.huidziekten.nl] Porokeratosis disseminata superficialis](../../../images/porokeratosis-disseminata-1z.jpg) |
![Cornoid lamella (click on photo to enlarge) [source: www.huidziekten.nl] Cornoid lamella](../../../images/porokeratosis-disseminata-6z.jpg) |
| porokeratosis
disseminata |
cornoid
lamella |
Oorzaak:De oorzaak van porokeratosis is niet bekend.
Het kan familiair voorkomen en er zijn lineaire varianten van (mosaïcisme) verlopend
volgens de Blaschko lijnen. Daarnaast speelt actinische beschadiging een rol
bij sommige varianten. Zonverbranding kan het uitlokken, maar ook bestraling
en lichttherapie. Ook immuunsuppressie is een factor, porokeratose komt vaker
voor bij patiënten met een donornier. Het komt vooral voor bij de blanke huid.
Porokeratose van Mibelli en de palmoplantaire en lineaire vormen kunnen al op
kinderleeftijd voorkomen, de gedissemineerde (actinische) vorm begint rond 30-40
jaar. Porokeratosis kan voorkomen in het kader van het CAP syndroom (craniosynostosis,
anale anomalieën en porokeratosis).
Genetische achtergrond:Er zijn meerdere verschillende
genmutaties gevonden bij porokeratosis. Een mutatie in een betrokken gen kan
verschillende vormen van porokeratosis veroorzaken binnen één persoon of
binnen een familie. Een mutatie in MVK kan bijvoorbeeld porokeratosis van
Mibelli, porokeratoma, genital porokeratosis, hyperkeratotic porokeratosis,
en lineaire porokeratosis veroorzaken. De indeling in verschillende
klinische varianten is daarom minder zinvol dan voorheen werd gedacht.
In 2025 is in 4 artikelen in het BJD voorgesteld om nieuwe, op het gen
gebaseerde namen in te voeren voor
congenitale epidermale
differentiatie stoornissen waarvan het gen bekend is.
Porokeratosis van Mibelli zou dan PMVK-nEDD worden. Maar de andere nieuwe
namen (MVD-nEDD, MVK-nEDD, FDPS-nEDD, SLC17A9-nEDD, FDFT1-nEDD) zijn zijn
niet 1 op 1 te koppelen aan een klinische variant.
| Porokeratosis genetische varianten: |
|
|
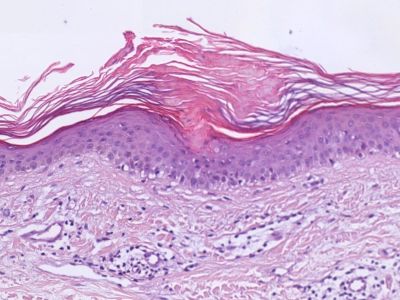
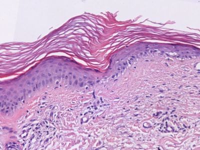
Histologisch
onderzoek:De diagnose kan gesteld worden op het typische klinisch
beeld, en bewezen door een biopt waarin de
cornoid lamella
wordt gevangen. Het biopt moet dus midden uit de schilferrand worden genomen.
De cornoid lamella bestaat uit een kolom van compacte hoornlammellen boven abnormaal verhoornende (parakeratotische) dicht
opeengepakte keratinocyten met een homogeen cytoplasma en een basofiele pycnotische
kern. Meestal loopt de lamella schuin weg naar opzij vanuit een invaginatie
van de epidermis (zie afbeeldingen histologie). Irregulaire opbouw van de
epidermis, pycnotische nuclei met perinucleair oedeem. In de bovenste lagen
eosinofiel (premature keratinisatie) keratinocyten. Ter plaatse van de
parakeratotische kolom geen stratum granulosum, verder juist wel. In de dermis is een lymfocytair infiltraat
en soms wat vaatverwijding. Het centrum is atrofisch, met aantasting van de
basale laag met colloid bodies.
![Histologie porokeratosis (click on photo to enlarge) [source: Kevin Kwee / Afdeling Pathologie MUMC] Histologie porokeratosis](../../../pacoupes/thumbnails/porokeratosis.jpg) |
![Histologie porokeratosis actinica (click on photo to enlarge) [source: Kevin Kwee / Afdeling Pathologie MUMC] Histologie porokeratosis actinica](../../../pacoupes/thumbnails/porokeratosis-actinica.jpg) |
|
ingescande coupe (zoom) |
ingescande coupe (zoom) |
Bron
hoge resolutie PA-foto's: Kevin Kwee en Afdeling Pathologie MUMC. Klik
op de afbeelding om in te zoomen.
Therapie: Reageert moeizaam op therapie. Bij weinig
laesies chirurgie, cryotherapie, dermabrasie, CO2-laser. Zon mijden bij de actinische
gedissemineerde variant. Sunscreens zijn uiteraard ook nuttig bij porokeratosis
actinica. Indifferente of licht keratolytische crèmes kunnen het beeld cosmetisch
verbeteren. Bij verdenking op maligniteit (morbus Bowen, intra-epitheliaal carcinoom,
plaveiselcelcarcinoom, superficieel BCC) een biopt afnemen.
R/ Efudix (5-fluorouracil)
crème 1 dd op laesies.
R/ calcipotriol / betamethason gel (calcipotriol met
name).
R/ Silkis (calcitriol) zalf.
R/ tretinoïnecrème 0.05% FNA en tazarotene
crème.
R/ diclofenac 3% gel (Solaraze) 2 dd.
R/ Aldara (imiquimod) 5%
crème.
R/ Neotigason (acitretine).
R/ isotretinoïne.
R/ isotretinoïne
1 dd 20 mg + Efudix (5-fluorouracil) crème 1 dd op laesies.
R/ simvastatine 2%, cholesterol 2% in cetomacrogol crème 2 dd (magistrale bereiding).
Andere receptuur die genoemd wordt in publicaties:
R/ simvastatine 2%, cholesterol 2% in eucerine cum aqua.
R/ simvastatine 2% in cholesterol 2 g, vaseline 88 g, paraffine 10 g, BHT 0.1%.
R/ lovastatine 2%, cholesterol 2% in vaseline.
R/ cholesterol 2 g, simvastine 2 g,
Basiscrème DAC ad 100 g (België, Duitsland).
R/ simvastatine
2% crème. In België wordt onderzoek gedaan met 2% simvastatine in Beeler basis
(Cetylalcohol 15 g, Na laurylsulfaat 2 g, Witte was 1 g, Propyleenglycol 10
g, Aqua conservans 72 g).

Cryotherapie.
Kort en oppervlakkig bevriezen. Waarschuwen dat het eerst erger gaat worden.
Zo nodig herhalen.

Excisie.

Curettage
en/of elektrocoagulatie (klein bolletje 2 mm in de snijstand).

CO2-laser,
Nd:YAG laser, Q-switched ruby laser.

PDT (photodynamische
therapie).