Mollusca contagiosa worden veroorzaakt door het
Molluscipox virus, een pokkenvirus. Het wordt vooral gezien bij kinderen
vanaf 1 jaar. Het is besmettelijk, wordt overgebracht van mens op mens door
direct contact, of via voorwerpen en oppervlakten. Kinderen met atopisch
eczeem zijn vatbaarder. Volwassenen kunnen het oplopen van kinderen, maar
ook via sexueel contact. In dat geval zit het vooral op en rond de
genitaliën en perianaal. De molluscen ontstaan 14 dagen tot 6 maanden na de
besmetting met het virus. Zeer grote aantallen mollusca kunnen ontstaan bij
afweerstoornissen, zoals congenitale immuundeficiëntie, HIV, of tijdens
behandeling met immunosuppressiva. Indien er bij volwassenen zeer veel
ontstaan moet men bedacht zijn op HIV-infectie.
Klinisch
beeld:Glanzende, parelwitte tot huidkleurige, bolvormige
papels, vaak met een delle. In een periode van 6-12 weken worden ze
geleidelijk groter en kunnen dan 5-10 mm groot worden; gemiddeld meten ze
3-5 mm. Het aantal kan oplopen tot honderd. Ze komen meestal op de romp, in
de hals en rond de oksels voor. Ook kunnen ze gezien worden op het gezicht,
vooral op de oogleden. Bij ongeveer 10% van de kinderen, met name bij
kinderen die aanleg tot eczeem hebben, ontstaan geïrriteerde eczeemplekken
rond de mollusca. Mollusca verdwijnen weer vanzelf na gemiddeld 2 maanden,
spontaan, of door kapot krabben, of door een ontstekingsreactie
(opruimreactie), maar er komen ook weer nieuwe bij. De meeste kinderen zijn
binnen 13 maanden van alle mollusca af, bij ongeveer 13% duurt het langer
dan 2 jaar. Meestal laat dit geen littekens achter, maar het kan wel.
![Mollusca contagiosa met eczematisatie (click on photo to enlarge) [source: www.huidziekten.nl] Mollusca contagiosa met eczematisatie](../../../images/molluscum-contagiosum-1z.jpg) |
![Mollusca contagiosa (click on photo to enlarge) [source: www.huidziekten.nl] Mollusca contagiosa](../../../images/molluscum-contagiosum-2z.jpg) |
![Mollusca contagiosa (click on photo to enlarge) [source: www.huidziekten.nl] Mollusca contagiosa](../../../images/molluscum-contagiosum-3z.jpg) |
| mollusca
contagiosa |
mollusca
contagiosa |
mollusca
contagiosa |
![Mollusca contagiosa (click on photo to enlarge) [source: www.huidziekten.nl] Mollusca contagiosa](../../../images/molluscum-contagiosum-4z.jpg) |
![Mollusca contagiosa (click on photo to enlarge) [source: www.huidziekten.nl] Mollusca contagiosa](../../../images/molluscum-contagiosum-5z.jpg) |
![Mollusca contagiosa (click on photo to enlarge) [source: www.huidziekten.nl] Mollusca contagiosa](../../../images/molluscum-contagiosum-6z.jpg) |
| molluscum
contagiosum |
molluscum
contagiosum |
mollusca
contagiosa |
![Mollusca contagiosa (click on photo to enlarge) [source: www.huidziekten.nl] Mollusca contagiosa](../../../images/molluscum-contagiosum-7z.jpg) |
![Mollusca contagiosa (click on photo to enlarge) [source: www.huidziekten.nl] Mollusca contagiosa](../../../images/molluscum-contagiosum-8z.jpg) |
![Mollusca contagiosa (click on photo to enlarge) [source: www.huidziekten.nl] Mollusca contagiosa](../../../images/molluscum-contagiosum-9z.jpg) |
| molluscum
contagiosum |
mollusca
contagiosa |
mollusca
contagiosa |
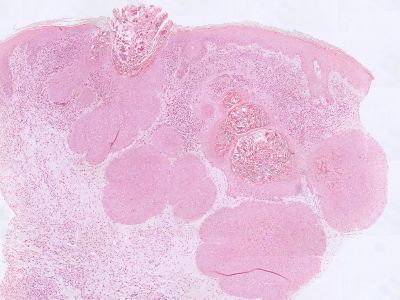
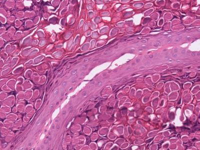
PA:Lobulaire uitgroei van epidermis in dermis. De keratinocyten bevatten grote eosinofiele intracytoplasmatische insluitsels. De cel wordt opgeblazen
en gaat over in een molluscum body, de kern ligt als een halve maantje in de periferie. De ovoïde insluitsels beginnen te verschijnen in de suprabasale cellagen. Bij verdere groei verschijnen molluscum bodies, nu basofiel, in de hoornlaag, gevangen in een netwerk eosinofiel aankleurend hoorn. Centraal ontstaat later een krater waaruit dit materiaal als molluscumbrei vrijkomt.
![Histologie molluscum contagiosum (click on photo to enlarge) [source: Kevin Kwee / Afdeling Pathologie MUMC] Histologie molluscum contagiosum](../../../pacoupes/thumbnails/molluscum-contagiosum-1.jpg) |
![Histologie molluscum contagiosum (click on photo to enlarge) [source: Kevin Kwee / Afdeling Pathologie MUMC] Histologie molluscum contagiosum](../../../pacoupes/thumbnails/molluscum-contagiosum-2.jpg) |
![Histologie molluscum contagiosum (click on photo to enlarge) [source: Kevin Kwee / Afdeling Pathologie MUMC] Histologie molluscum contagiosum](../../../pacoupes/thumbnails/molluscum-contagiosum-3.jpg) |
|
ingescande coupe (zoom) |
ingescande coupe (zoom) |
ingescande coupe (zoom) |
Bron
hoge resolutie PA-foto's: Kevin Kwee en Afdeling Pathologie MUMC. Klik
op de afbeelding om in te zoomen.
Therapie:Behandeling is niet nodig en wordt ook
afgeraden omdat molluscen vanzelf weer verdwijnen zonder littekens achter te
laten. Bij kinderen en bij gezonde personen zonder een afweerstoornis
verdwijnen de molluscen vanzelf binnen 13 maanden. Kinderen krabben ze vaak
ook zelf al weg of knijpen ze uit. In de huisartsen richtlijn (NHG
standaard) staat ook duidelijk dat behandeling niet nodig is, en verwijzing
naar de dermatoloog ook niet. Toch worden kinderen een enkele keer
doorverwezen voor behandeling, meestal omdat de ouders daar op aandringen.
Het advies blijft om geen behandelingen uit te voeren, omdat alle
behandelopties destructief zijn en littekens kunnen achterlaten, en
traumatisch zijn voor een kind.
Adviezen om verspreiding te
voorkomen:Open mollusca die niet onder kleding zitten afplakken
met een pleister. Kinderen eigen handdoek en washandje laten gebruiken en
deze dagelijks verschonen. Niet samen met andere kinderen in bad. Na douche
of bad de gebieden met mollusca als laatste afdrogen. Niet krabben, nagels
kort houden. Atopisch eczeem goed behandelen. Kinderen hoeven niet thuis te
blijven van school, kinderdagverblijf, of zwembad.
Er kunnen redenen
zijn om wel te behandelen, bijvoorbeeld zeer vele laesies bij personen met
een afweerstoornis, mollusca bij volwassenen op cosmetisch storende
locaties, grote aantallen genitale of perianale mollusca bij volwassenen. De
opties zijn:

Curettage,
excochleatie (wegkrabben met scherpe lepel na voorbehandeling met EMLA-crème),
uitknijpen.

Betadine
jodium shampoo/scrub 1 dd als nabehandeling na mechanisch verwijderen.

Aanstippen
met vloeibare stikstof.

Coagulatie
centrum met diathermienaald of klein bolletje.

CO2-laser

Aanstippen
met een zilvernitraatstift.
R/ podophylline collodium 25% LNA 10 g, 3 dagen
aanstippen, 4 dagen pauze.
R/ Condylline applicatievloeistof (5 mg podofyllotoxine
per ml), 3.5 ml, 3 dagen aanstippen, 4 dagen pauze.
R/ Wartec applicatievloeistof
(1.5 mg podofyllotoxine per g), 5 g, 3 dagen aanstippen, 4 dagen pauze.
R/
Aldara (imiquimod) crème 3-5 keer per week aanbrengen gedurende 1 maand.
R/ Efudix (5-fluorouracil) crème.
R/ cidofovir lokale applicatie.
R/ tretinoïnecrème
0.05-0.1% FNA 1 dd. Omgeving beschermen, niet bij ogen. Brandt erg.
R/ cantharidine
0.7-0.9% oplossing is een effectieve en pijnloze aanstipvloeistof voor mollusca
contagiosa, maar is in Nederland niet als product verkrijgbaar. Cantharidine
wordt gewonnen uit de Spaanse vlieg (
Lytta vesicatoria, vroeger
Cantharis vesicatoria genoemd), een kever uit de familie oliekevers of
Meloidae, ook wel blaarkevers genoemd vanwege de blaartrekkende, irriterende
stoffen die ze uitscheiden bij gevaar.
Een eczeem reactie rondom
mollusca kan worden bestreden met lokale corticosteroïden klasse II.
Mollusca kunnen secundair geïnfecteerd raken met bacteriën. Bij ernstige
infectie (lymfangitis, erysipelas) kan het nodig zijn om antibiotica voor te
schrijven.
Referenties
| 1. |
Eichenfield LF, Siegfried E, Kwong P,
et al. Pooled results of two randomized phase III trials
evaluating VP-102, a drug-device combination product
containing cantharidin 0.7% (w/v) for the treatment of
molluscum contagiosum. Am J Clin Dermatol 2021;22:257-265. |
| 2. |
Ogilvie-Turner K, Goldman RD.
Cantharidin for molluscum contagiosum. Can Fam Physician
2020;66(6):419-420. |