LICHEN SCLEROSUS (ET ATROPHICUS) (white spot disease) home ICD10: L90.0

Bij lichen sclerosus ontstaan witte sclerotische laesies op de huid, soms daarin erythemateuze gedeelten, purpura, bullae, erosies, of ulceraties. Histologisch gekenmerkt door sclerose in de dermis (homogenisatie van het collageen), een lymfocytair infiltraat in vroege laesies, hyperkeratose, en atrofie van de overliggende epidermis. De epidermis is niet altijd atrofisch, daarom is de oude naam met 'et atrophicans' er in vervallen en spreekt men nu alleen nog van lichen sclerosus. Het komt vooral voor op de genitaliën, maar kan ook op de romp voorkomen (extragenitale lichen sclerosus), in de vorm van witte geïndureerde plaques, soms multipele kleine ronde laesies (guttata variant). Het kan ook voorkomen in combinatie met (gedissemineerde) morfea. Het komt vooral voor bij vrouwen, op kinderleeftijd (prepubertaal), of post-menopauzaal. Het kan door littekenvorming dyspareunie veroorzaken en phimosis bij mannen. Bij langdurig bestaande lichen sclerosus van de vulva of glans penis kan een plaveiselcelcarcinoom ontstaan. De exacte kans daarop is niet bekend, maar wel kleiner dan 5%.

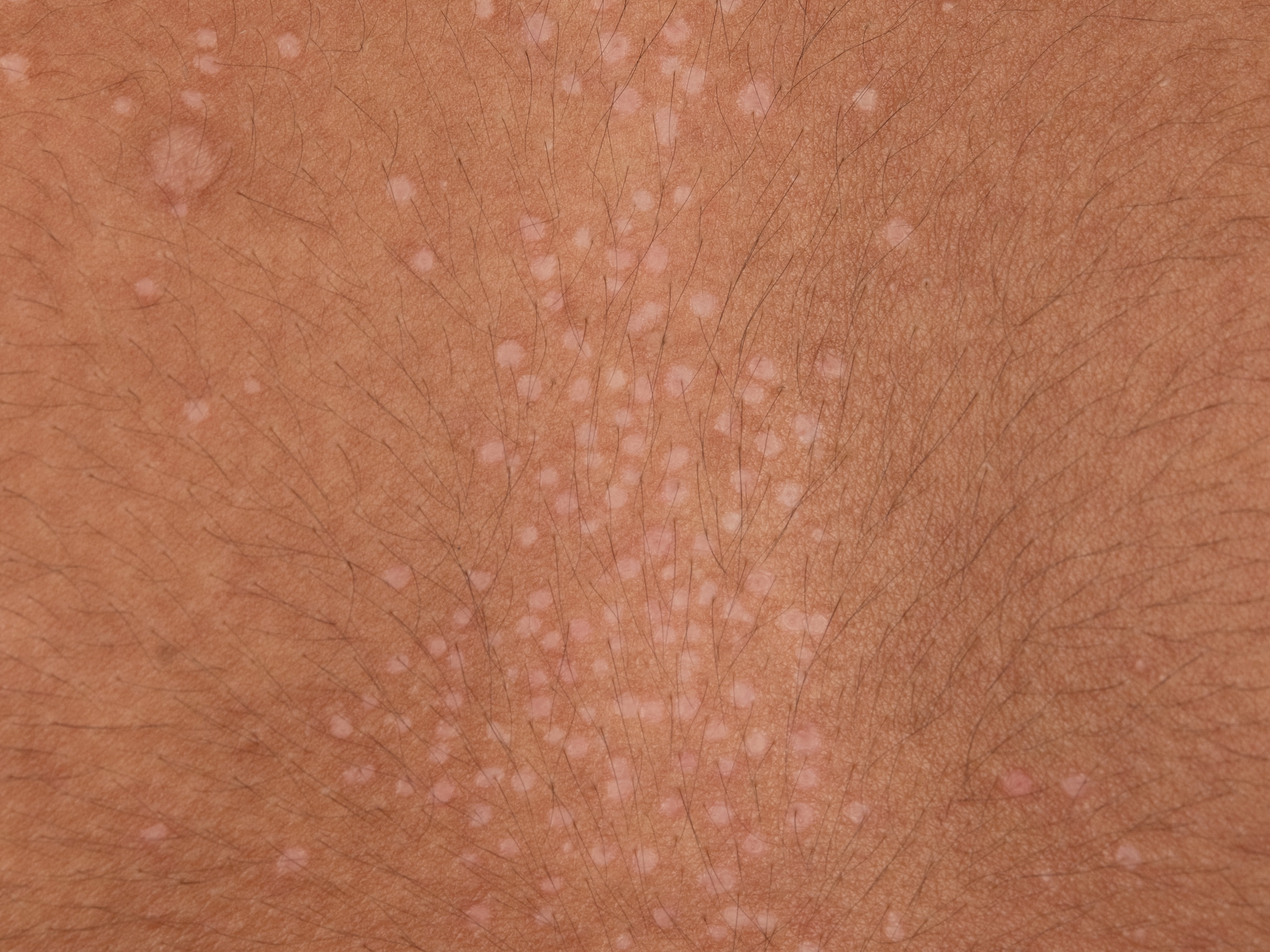
Lichen sclerosus op de romp Lichen sclerosus op de romp Lichen sclerosus op de romp
lichen sclerosus lichen sclerosus lichen sclerosus

Lichen sclerosus - morfea mengbeeld Lichen sclerosus guttata type Lichen sclerosus guttata type
lichen sclerosus en morfea lichen sclerosus guttata lichen sclerosus guttata


Therapie:
R/ corticosteroïden locaal (klasse 3 of 2). Bij heftige jeuk lidocaïne 5% toevoegen.
R/ Neotigason (acitretine) 1 dd 10-30 mg.
R/ Plaquenil (hydroxychloroquine) 1 dd 200 mg.
R/ methotrexaat 7.5-20 mg per week.
R/ fumaarzuur.
R/ UVB, PUVA, to-PUVA, UVA-1.



LICHEN SCLEROSUS (ET ATROPHICUS) VULVAE (kraurosis vulvae) home ICD10: L90.0

Lichen sclerosus van de vulva komt vooral voor bij prepuberale meisjes en postmenopauzale vrouwen (prevalentie 1:300 tot 1:1000). Er is een associatie met auto-immuunziekten (alopecia areata, vitiligo, schildklierafwijkingen, pernicieuze anemie). In de sclerotische fase ivoorwitte tot erythemateuze maculae, papels en plaques, in atrofische fase verlittekening en verschrompeling v.d. huid. De labia kunnen verstrijken of fuseren. Vaak is zowel het gebied rond de vagina en rond de anus aangedaan, in de vorm van een 8. De genitale mucosa (het vagina slijmvlies) zijn niet aangedaan, in tegenstelling tot genitale lichen planus. Klachten zijn jeuk, branderigheid, pijn, dyspareunie, dysurie, pijn bij defaecatie. Bij 10-20% van de vrouwen zijn er ook extragenitale localisaties, meestal op de romp maar ook in de mondholte. Bij kinderen klachten van vulvitis en obstipatie. Als het voor de puberteit ontstaat gaat het meestal vanzelf weer over na een aantal jaren, LS na puberteit is meestal chronisch. Verwijzing naar een sexuoloog kan nodig zijn vanwege de hinder en de impact van de aandoening. Bij ernstige klachten en stricturen of verklevingen kan chirurgisch ingrijpen nodig zijn.

Lichen sclerosus op de vulva Lichen sclerosus op de vulva Plaveiselcelcarcinoom in lichen sclerosus
lichen sclerosus lichen sclerosus SCC in lichen sclerosus

Foto's: DermAtlas (www.dermatlas.net).


DD: vitiligo, lichen planus, VIN, leukoplakie, plaveiselcelcarcinoom, morfea en sclerodermie, postmenopauzale atrofie, vestibulitis, essentiële vulvodynie, psoriasis inversa, eczeem, pemfigus, graft versus host disease, LE, röntgendermatitis, candida, M. Behçet.

Diagnostiek: biopt. Cave pre- en maligne veranderingen (plaveiselcelcarcinoom). Ontwikkeling van plaveiselcelcarcinomen is beschreven bij 3-5% van de vrouwen en 2% van de mannen, na een lang delay van gemiddeld 18 jaar. Daarom regelmatige controle en zo nodig biopt.

PA:
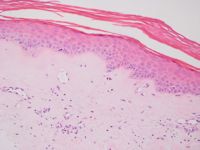
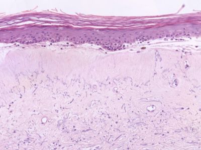
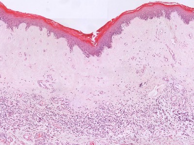
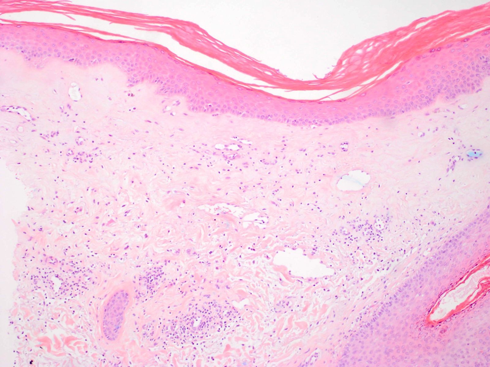
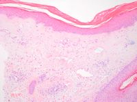
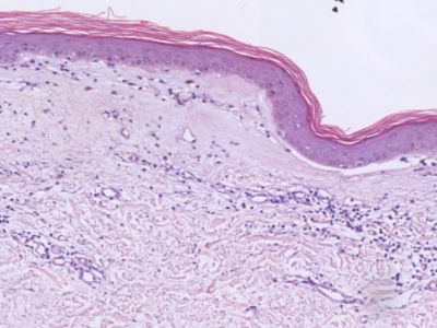
Aan het oppervlak bestaan er verstreken retelijsten en hyperkeratose. Er kan ook atrofie van de epidermis zijn (niet noodzakelijk). Er is matige vacuolisatie van het grensvlak. De dermis wordt gekenmerkt door homogenisatie van het collageen. Tevens kan er een peri-vasculair lymfocytair ontstekingsinfiltraat bestaan bij vroege lesies. Er bestaat een gehomogeniseerd stroma met teleangiectatische vaatstructuren.

Histologie van lichen sclerosus Histologie van lichen sclerosus
lichen sclerosus lichen sclerosus

Histologie lichen sclerosus Histologie lichen sclerosus
ingescande coupe (zoom) ingescande coupe (zoom)

Bron hoge resolutie PA-foto's: Kevin Kwee en Afdeling Pathologie MUMC. Klik op de afbeelding om in te zoomen.


Therapie:
R/ vette zalven (paraffine-vaseline, lanette-vaseline).
R/ Dermovate zalf of crème (clobetasolpropionaat 0.05%) 1 dd dun aanbrengen, elke dag gedurende 1 maand, daarna 4 dagen van de week gedurende 1 maand en daarna 2 dagen per week gedurende 1 maand. level of evidence Na 3 maanden is 1/3 in remissie en kan stoppen; maar 2/3 heeft dan nog klachten en moet doorgaan of overgaan op Protopic 0.1% zalf.
R/ Elocon zalf 1 dd.
R/ Protopic (tacrolimus) 0.1% zalf of Elidel (pimecrolilmus) crème. level of evidence
R/ Synapause E3 (estriol 1 mg/g; 15 g) vaginale crème, 1 dd 's avonds aanbrengen. level of evidence
R/ Dermovate crème (clobetasolpropionaat 0.05%) 15 g, 1:1 (aa) gemengd met Synapause E3 (estriol) vaginale crème 1 mg/g; 15 g, 1 dd dun aanbrengen.
R/ Lidocaïne 3 of 5% zalf bij pijn (lidocaïnevaselinecrème 3% FNA, xylocaïne 5% zalf).
R/ fusidine zalf bij erosies.
R/ Lidocaïne 5% zalf FNA bij pijnlijke wonden en kloven.



LICHEN SCLEROSUS ET ATROPHICUS BIJ KINDEREN home ICD10: L90.02

Vlakke ivoorwitte tot roze macula of plaques, confluerend, later overgaand in een atrofische, witte leasie. Komt op elke leeftijd voor, vooral (75%) tussen 4 en 7 jaar, vooral (90%) meisjes. Meestal (75%) in anogenitaal streek (labia minora, binnenzijde labia majora, clitoris, perianaal), ook op thorax, rondom navel, ellebogen, knieholtes, nek. Soms blaartjes, excoriaties, bloedingen. Na vaccinatie/chirurgie kan een Köbner fenomeen optreden. Soms begeleid/voorafgegaan door fluor (20%), pruritus (50%), infectie. Oorzaak is onbekend.

Lichen sclerosus op de vulva Lichen sclerosus op de vulva
lichen sclerosus lichen sclerosus

Foto's: DermAtlas (www.dermatlas.net).


DD: vitiligo, morphea, lichen planus, contacteczeem, candida, bacteriële vulvovaginitis, seksueel misbruik.

Prognose: De helft geneest binnen 1-1.5 jaar zonder restafwijkingen, 2/3 verdwijnt voor puberteit, 1/3 persisteert met kans op atrofie, urethrastrictuur, pigmentatie, of fusie v.d. clitoris met de labia minora. Maligne ontaarding extreem zeldzaam.

Therapie:
R/ vette zalven (paraffine-vaseline, lanette-vaseline).
R/ Dermovate zalf of crème (clobetasolpropionaat 0.05%) 1 dd dun aanbrengen, elke dag gedurende 1 maand, daarna 4 dagen van de week gedurende 1 maand en daarna 2 dagen per week gedurende 1 maand. level of evidence Na 3 maanden is 1/3 in remissie en kan stoppen; maar 2/3 heeft dan nog klachten en moet doorgaan of overgaan op Protopic 0.1% zalf.
R/ Elocon zalf 1 dd.
R/ Protopic (tacrolimus) 0.03% of 0.1% zalf of Elidel (pimecrolilmus) crème. level of evidence



LICHEN SCLEROSUS ET ATROPHICUS PENIS (balanitis xerotica obliterans) home ICD10: L90.01

Oorzaak onbekend. Begint als wit klein vlekje, kan (o.a. na geslachtsgemeenschap) ontstoken raken en overgaan in een recidiverende balanoposthitis. Later ontstaan de typische atrofische witte plaques op glans en preputium, welke kunnen eroderen waarna genezing met littekencontractie, en uiteindelijk het beeld van de balanitis xerotica obliterans ontstaat, met stricturen, resulterend in phimosis of paraphimosis. In het begin weinig klachten, pijnloos, later kunnen jeuk, brandend gevoel, dysurie en urethritis klachten optreden. De urethra kan ook geobstrueerd raken, waarbij urologische reconstructie noodzakelijk is. Cave maligne ontaarding (carcinoma in situ, plaveiselcelcarcinoom). Een biopt is aanbevolen, de PA is kenmerkend en andere aandoeningen kunnen hiermee uitgesloten worden.

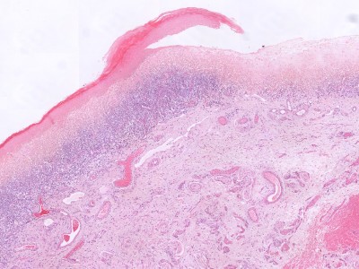
Lichen sclerosus op de penis Histologie lichen sclerosus voorhuid
lichen sclerosus penis ingescande coupe (zoom)

Histologie lichen sclerosus voorhuid Histologie lichen sclerosus voorhuid
ingescande coupe (zoom) ingescande coupe (zoom)

Bron hoge resolutie PA-foto's: Kevin Kwee en Afdeling Pathologie MUMC. Klik op de afbeelding om in te zoomen.


DD: Candida, balanitis van Zoon, balanitis nno, m. Bowen, lichen planus, psoriasis, vitiligo, leukoplakie.

Therapie: circumcisie is soms nodig bij stricturen van de voorhuid en kan ook genezend zijn. In het verleden werd vaak testosterondipropionaat 2-5% in vaseline toegepast, er is echter geen evidence voor deze therapie, daarom is het in onbruik geraakt.
R/ Dermovate crème (clobetasolpropionaat 0.05%) 1 dd dun aanbrengen, elke dag gedurende 4 weken, daarna om de dag. level of evidence
R/ intralesionale corticosteroïden. level of evidence
R/ Protopic (tacrolimus) zalf of Elidel (pimecrolilmus) crème. level of evidence
R/ Neotigason (acitretine). level of evidence
mes CO2 laser behandeling. level of evidence


patientenfolder


Author(s):
dr. Jan R. Mekkes. Dermatologist, Amsterdam UMC.

31-05-2023 (JRM) - www.skin-diseases.eu Terug naar homepagina



Diagnosis codes:
ICD10 L90.0 Lichen sclerosus et atrophicus
ICD10 L90.0 Lichen sclerosus et atrophicus
SNOMED 31047003 Lichen sclerosus et atrophicus
DBC 13 spacer Inflammatoire dermatosen

ICD10 L90.0 Lichen sclerosus et atrophicus: anogenitale lichen sclerosus
ICD10 L90.0 Lichen sclerosus et atrophicus: anogenital lichen sclerosus
SNOMED 403566002 Anogenital lichen sclerosus
SNOMED 238932004 Genital lichen sclerosus
SNOMED 782666006 Lichen sclerosus of anus
SNOMED 895491007 Lichen sclerosus of vulva
SNOMED 700082001 Lichen sclerosus of penis
DBC 13 spacer Inflammatoire dermatosen

ICD10 L90.0 Lichen sclerosus et atrophicus: vulvaire intraepitheliale neoplasie bij lichen sclerosus
ICD10 L90.0 Lichen sclerosus et atrophicus: vulval intraepithelial neoplasia with lichen sclerosus
SNOMED 403475002 Vulval intraepithelial neoplasia with lichen sclerosus
DBC 13 spacer Inflammatoire dermatosen

ICD10 L90.0 Lichen sclerosus et atrophicus: peniele intraepitheliale neoplasie bij lichen sclerosus
ICD10 L90.0 Lichen sclerosus et atrophicus: lichen sclerosus-associated penile intraepithelial neoplasia
SNOMED 403467008 Lichen sclerosus-associated penile intraepithelial neoplasia
DBC 13 spacer Inflammatoire dermatosen

ICD10 L90.0 Lichen sclerosus et atrophicus: bulleuze lichen sclerosus
ICD10 L90.0 Lichen sclerosus et atrophicus: lichen sclerosus bullous type
SNOMED 895649002 Lichen sclerosus bullous type
DBC 13 spacer Inflammatoire dermatosen

ICD10 L90.0 Lichen sclerosus et atrophicus: extragenitale lichen sclerosus
ICD10 L90.0 Lichen sclerosus et atrophicus: extragenital lichen sclerosus
SNOMED 238933009 Extragenital lichen sclerosus
SNOMED 403568001 Localized extragenital lichen sclerosus
SNOMED 402421002 Generalized extragenital lichen sclerosus
DBC 13 spacer Inflammatoire dermatosen

ICD10 L90.0 Lichen sclerosus et atrophicus: guttata lichen sclerosus
ICD10 L90.0 Lichen sclerosus et atrophicus: guttate lichen sclerosus
SNOMED 238934003 Guttate lichen sclerosus
DBC 13 spacer Inflammatoire dermatosen