LEUKOPLAKIA LINGUA/MUCOSAE ORIS (LEUKOPLAKIE) home ICD10: K13.2

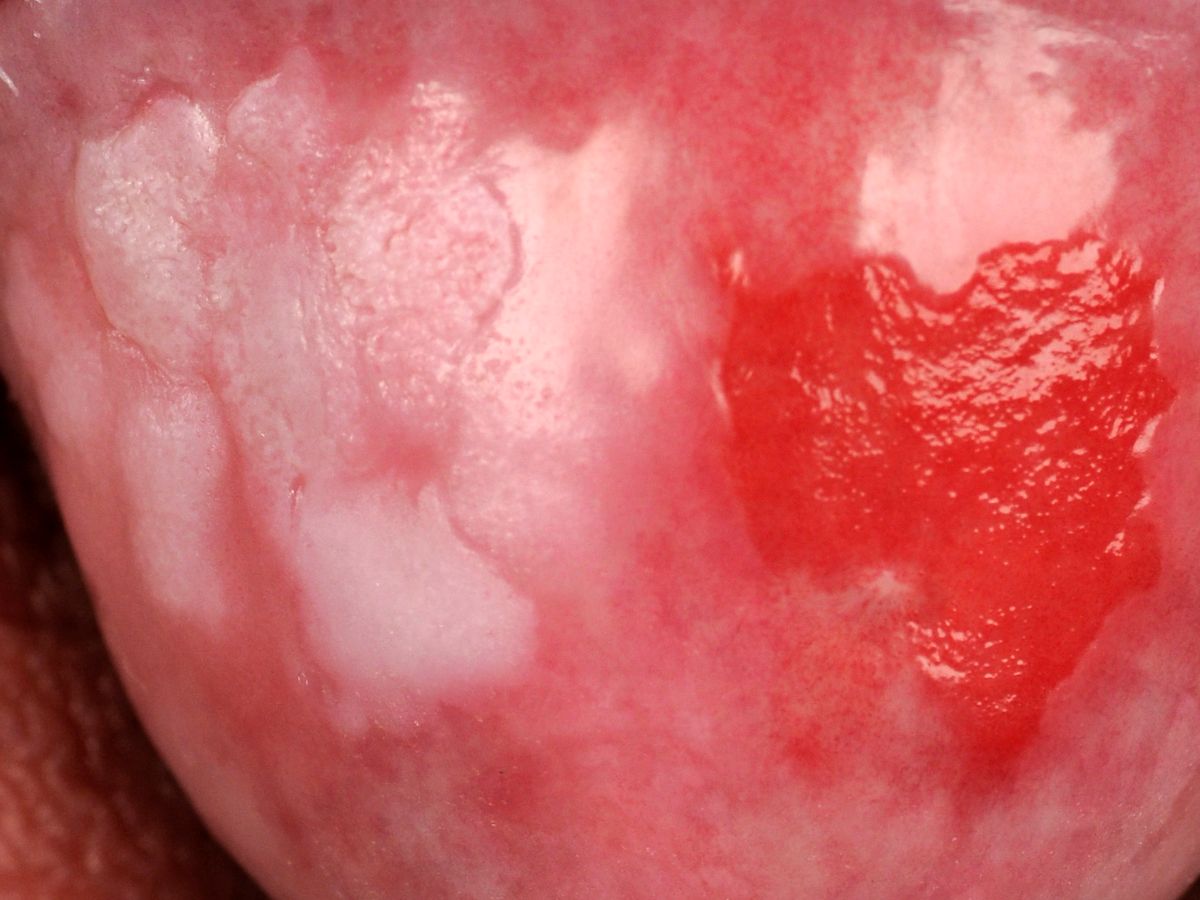
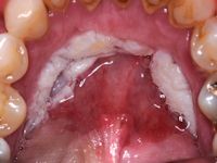
Orale leukoplakie is een witte verkleuring en verandering van het mondslijmvlies. Het komt vaak voor (bij circa 13% van de bevolking kunnen witte verkleuringen worden aangetroffen). Leukoplakie is een beschrijvende diagnose, het histologisch beeld van leukoplakie kan variëren van hyperkeratose met of zonder epitheeldysplasie, via carcinoma in situ en micro-invasief carcinoom tot invasief carcinoom. Klinisch worden er 2 varianten onderscheiden: homogene en niet-homogene leukoplakie. Homogene leukoplakie is een egaal witte verkleuring met een vlak, dun en glad oppervlak. Niet-homogene leukoplakie is een witte of witrode afwijking die irregulair vlak, nodulair of exofytisch kan zijn. Het homogene type is vaak asymptomatisch, terwijl het niet-homogene type gepaard kan gaan met pijn of hinder. Orale leukoplakie kan overgaan in een carcinoom van de mondholte; 17-35% van de carcinomen ontstaan uit preëxistente afwijkingen, vaak leukoplakie. Leukoplakie komt ook voor op andere slijmvliezen (leukoplakie van de penis of de vulva).

Leukoplakie Leukoplakie Leukoplakie
leukoplakie lip leukoplakie leukoplakie

Leukoplakie Leukoplakie Leukoplakie
leukoplakie leukoplakie leukoplakie


Leukoplakie kan worden veroorzaakt door externe factoren zoals roken, mechanische irritatie, candida. In dat geval kan het verdwijnen door die factoren weg te nemen. Indien het na 2-4 weken niet is verdwenen dan gaat het om echte leukoplakie, en is er kans op epitheeldysplasie: het advies is om een biopt af te nemen.

De mate van dysplasie wordt onderverdeeld in gering, matig en ernstig. Er is een direct verband tussen de mate van dysplasie en de kans op maligne ontaarding. De kans op maligne ontaarding binnen 5 jaar is ongeveer 5%. Het ontstaat vooral in niet-homogene leukoplakie.

Risicofactoren voor het ontstaan van leukoplakie zijn roken, alcoholgebruik, Candida infectie, HPV infectie, deficiënte voeding (vooral tekort aan vitamine A, B12, C, beta-caroteen, foliumzuur). Leukoplakie ontstaat meestal vanaf 30 jaar, de meesten zijn ouder dan 50 jaar. De kans op maligne ontaarding is verhoogd bij aanwezigheid van één van de volgende kenmerken: epitheeldysplasie in het biopt; niet-homogene type; vrouwelijk geslacht; langer bestaande leukoplakie; leukoplakie bij niet-rokend persoon; locatie in de mondbodem of op de tong; aanwezigheid van C. albicans.

PA:
Afhankelijk van de lokalisatie en de eventuele afwijking waaruit de leukoplakie is ontstaan kan het microscopische beeld variëren. Meestal toont het epitheel hyperkeratotische en parakeratotische zones met overeenkomstige verbreding of afwezigheid van het stratum granulosum. Het epitheel is verbreed en toont premaligne veranderingen, kernatypieën, hyperchromasie en meer delingen dan normaal (Bowenoide veranderingen). De epitheliale papillen zijn verbreed en vaak vertakt. In de cutis meestal een dicht ontstekingsinfiltraat dat soms direct tegen het epitheel aan ligt. Het bestaat (zoals zo vaak bij slijmvliesaandoeningen) uit lymfocyten, histiocyten en enkele plasmacellen. Het oppervlakkige elastine is verdwenen, het collageen is in lichte mate hyalien veranderd.

DD: plaveiselcelcarcinoom, Candida oris, lichen planus, oral hairy leukoplakia, mechanische irritatie, irritatie door gebitselementen, linea album, morsicatio buccarum, white sponge nevus, leukokeratosis nicotinica palati (rokers palatum), HPV infectie, syfilis, lupus erythematosus, leukoedema, pachyonychia congenita.  

Therapie:
Uitsluiten andere oorzaken. Stoppen met roken, voorzichtig tandenpoetsen, behandelen van candida. Indien geen verandering na 2-4 weken, biopt afnemen (meteen een biopt afnemen is ook een goede keuze bij verdenking op leukoplakie). Indien in het biopt matige of ernstige epitheeldysplasie wordt aangetroffen, is behandeling nodig. Kleine leukoplakieën, tot circa 2 cm kunnen worden geëxcideerd. Grotere afwijkingen kunnen worden behandeld met de CO2-laser. Een alternatieve behandeling is cryotherapie. Ook Efudix (5-fluorouracil 5%) crème lokaal wordt genoemd. Efudix lokaal wordt echter opgenomen door het slijmvlies en kan systemische toxiciteit veroorzaken. Op andere locaties (penis, vagina) kan het wel. Leukoplakie op de tong waarbij dysplasie is uitgesloten kan eventueel worden behandeld met ureum 10% in hypromellosezalf 20% FNA (tong mee poetsen met tandenborstel).

Follow-up:
Omdat recidieven en maligne ontaarding kunnen voorkomen is controle noodzakelijk, elke 6-12 maanden gedurende minimaal 3 jaar. Als er 3 jaar lang geen enkele afwijking is kan de controle worden beëindigd.


Referenties
1. Gielkens PFM, de Visscher JGAM, van der Waal I. Een orale witte slijmvliesafwijking: leukoplakie? Ned Tijdschr Geneeskd 2003;147:2197-2201.
2. Schepman KP, Meij EH van der, Smeele LE, Waal I van der. Prevalence study of oral white lesions with special references to a new definition of oral leucoplakia. Eur J Cancer B Oral Oncol 1996;32B:416-419.
3. Waal I van der, Schepman KP, Meij EH van der, Smeele LE. Oral leukoplakia: a clinicopathological review. Oral Oncol 1997;33:291-301.
4. Sciubba JJ. Oral leukoplakia. Crit Rev Oral Biol Med1995;6:147-60.
5. Sudbø J, Reith A. Which putatively pre-malignant oral lesions become oral cancers? J Oral Pathol Med 2003;32:63-70.
6. Schepman KP, Meij EH van der, Smeele LE, Waal I van der. Malignant transformation of oral leukoplakia; a follow-up study of a hospital based population of 166 patients with oral leukoplakia from the Netherlands. Oral Oncol 1998;34:270-275.
7. Lodi G, Sardella A, Bez C, Demarosi F, Carrassi A. Interventions for treating oral leukoplakia Cochrane review. The Cochrane Library. Issue 1. Oxford: Update Software; 2003.



LEUKOPLAKIA, PENIS home ICD10: N48.0

Net als bij leukoplakia oris is leukoplakie van de glans penis meestal een uiting van epitheeldysplasie (PIN, penile intraepithelial neoplasia). Een biopt is nodig.

Leukoplakia penis Leukoplakia penis
leukoplakia penis leukoplakia penis




LEUKOPLAKIA, VULVAE home ICD10: N90.4

Net als bij leukoplakia oris is leukoplakie van de vulva meestal een uiting van epitheeldysplasie (VIN, vulval intraepithelial neoplasia). Een biopt is nodig.


Author(s):
dr. Jan R. Mekkes. Dermatologist, Amsterdam UMC.

31-05-2023 (JRM) - www.skin-diseases.eu Terug naar homepagina



Diagnosis codes:
ICD10 K13.2 Leukoplakie en overige afwijkingen van mondepitheel, inclusief tong
ICD10 K13.2 Leukoplakia and other disturbances of oral epithelium, including tongue
SNOMED 274134003 Leukoplakia
DBC 17 spacer Premaligne dermatosen

ICD10 K13.2 Leukoplakie en overige afwijkingen van mondepitheel, inclusief tong: leukoplakie van tong
ICD10 K13.2 Leukoplakia and other disturbances of oral epithelium, including tongue: leukoplakia of tongue
SNOMED 91002001 Leukoplakia of tongue
DBC 17 spacer Premaligne dermatosen

ICD10 K13.2 Leukoplakie en overige afwijkingen van mondepitheel, inclusief tong: leukoplakie van orale mucosa
ICD10 K13.2 Leukoplakia and other disturbances of oral epithelium, including tongue: leukoplakia of oral mucosa
SNOMED 414603003 Leukoplakia of oral mucosa
DBC 17 spacer Premaligne dermatosen

ICD10 N48.0 Leukoplakie van penis
ICD10 N48.0 Leukoplakia of penis
SNOMED 3323003 Leukoplakia of penis
DBC 17 spacer Premaligne dermatosen

ICD10 N90.4 Leukoplakie van vulva
ICD10 N90.4 Leukoplakia of vulva
SNOMED 198380007 Leukoplakia of vulva
DBC 17 spacer Premaligne dermatosen