Impetigo (
krentenbaard)
is een oppervlakkige infectie van de huid, meestal met
Staphylococcus aureus
(90%), soms met
Streptococcus pyogenes (10%) en soms met beiden. De
incubatieperiode is 1 tot 3 dagen.
Impetiginisatie
is de term voor secundaire infectie met
S. aureus van een pre-existente
huidafwijking (b.v.
atopisch eczeem
of varicella zoster). Sommige stammen van
S. aureus hebben exfoliatieve
toxines (ET-A en ET-B) die desmogleïne afbreken. Dit veroorzaakt de blaarvorming
die soms bij impetigo optreedt (
impetigo bullosa),
en ook de epidermolyse bij
staphylococcal scalded skin syndrome
(
SSSS).
Klinisch beeld:Impetigo wordt vaak bij kinderen (vooral
2-12 jaar) gezien, en begint meestal in het gelaat, vooral rond neus en mond.
Beschadiging, maceratie van de huid door neusverkoudheid (snotneus, kwijlen)
kan daarvoor verantwoordelijk zijn. In het klassieke geval zijn er
honing-gele crustae aanwezig (uitgedroogd exsudaat). Ontvellingen
en blaren (impetigo bullosa) kunnen aanwezig zijn. De blaren variëren van klein
tot heel groot, met een heldere of helder gele of troebel-gele inhoud. Op volwassen
leeftijd komt impetigo minder vaak voor, maar het kan wel. Impetigo komt tegenwoordig
vaker voor dan vroeger en is ook meer therapieresistent.
![Honing gele crustae bij impetigo vulgaris (click on photo to enlarge) [source: www.huidziekten.nl] Honing gele crustae bij impetigo vulgaris](../../../images/impetigo-1z.jpg) |
![Honing gele crustae bij impetigo vulgaris (click on photo to enlarge) [source: www.huidziekten.nl] Honing gele crustae bij impetigo vulgaris](../../../images/impetigo-2z.jpg) |
![Honing gele crustae bij impetigo vulgaris (click on photo to enlarge) [source: www.huidziekten.nl] Honing gele crustae bij impetigo vulgaris](../../../images/impetigo-3z.jpg) |
| honing
gele crustae |
honing
gele crustae |
honing
gele crustae |
![Honing gele crustae bij impetigo vulgaris (click on photo to enlarge) [source: www.huidziekten.nl] Honing gele crustae bij impetigo vulgaris](../../../images/impetigo-4z.jpg) |
![Impetigo vulgaris (click on photo to enlarge) [source: www.huidziekten.nl] Impetigo vulgaris](../../../images/impetigo-5z.jpg) |
![Impetigo vulgaris (click on photo to enlarge) [source: www.huidziekten.nl] Impetigo vulgaris](../../../images/impetigo-6z.jpg) |
| impetigo
vulgaris |
impetigo
vulgaris |
impetigo
vulgaris |
![Impetigo bullosa (click on photo to enlarge) [source: www.huidziekten.nl] Impetigo bullosa](../../../images/impetigo-bullosa-1z.jpg) |
![Impetigo bullosa (click on photo to enlarge) [source: www.huidziekten.nl] Impetigo bullosa](../../../images/impetigo-bullosa-2z.jpg) |
![Impetigo bullosa (click on photo to enlarge) [source: www.huidziekten.nl] Impetigo bullosa](../../../images/impetigo-bullosa-3z.jpg) |
| impetigo
bullosa |
impetigo
bullosa |
impetigo
bullosa |
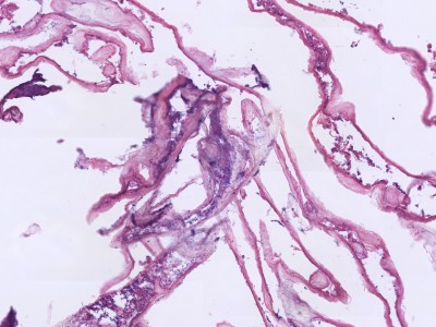
PA:De epidermis laat een subcorneale vesikel of bulla zien, waarin polynucleaire granulocyten, celdébris en soms groepjes kokken aangetroffen kunnen worden. Het stratum spinosum is vaak wat spongiotisch met soms ook acantholytische cellen en bevat migrerende leukocyten. Wanneer de vesicula of bulla kapot gaat wordt het stratum corneum vervangen door een crusta met fibrine en celdébris. In de cutis ziet men oppervlakkig een, soms gering, voornamelijk uit polynucleaire granulocyten bestaand infiltraat.
![Histologie impetigo bullosa (blaardak) (click on photo to enlarge) [source: Kevin Kwee / Afdeling Pathologie MUMC] Histologie impetigo bullosa (blaardak)](../../../pacoupes/thumbnails/impetigo-bullosa-blaardak-1.jpg) |
![Histologie impetigo bullosa (blaardak) (click on photo to enlarge) [source: Kevin Kwee / Afdeling Pathologie MUMC] Histologie impetigo bullosa (blaardak)](../../../pacoupes/thumbnails/impetigo-bullosa-blaardak-2.jpg) |
|
ingescande coupe (zoom) |
ingescande coupe (zoom) |
Bron
hoge resolutie PA-foto's: Kevin Kwee en Afdeling Pathologie MUMC. Klik
op de afbeelding om in te zoomen.
DD:AGEP,
psoriasis pustulosa,
pemphigus vulgaris,
bulleus pemphigoid,
lineaire IgA dermatose,
impetigo herpetiformis,
ziekte van Sneddon-Wilkinson,
varicella.
Verspreiding:
De bacterie verspreid zich snel naar andere kinderen via direct contact. Via
rechtstreekse aanraking (handen) of via speelgoed, kleding of handdoeken raken
ook andere kinderen besmet. Hygiëne (handen wassen!) is een goede manier om
verspreiding te voorkomen. Zolang de blaasjes vocht afscheiden, blijft de patiënt
besmettelijk.
Adviezen over thuis blijven van school:
Vanuit puur epidemiologisch oogpunt is thuis blijven niet nodig omdat de drager
al dagenlang voor het ontstaan van de laesies besmettelijk was, verspreiding
heeft dan vaak al plaatsgevonden en thuishouden heeft geen effect op het voorkomen
van een impetigo-uitbraak. In de praktijk vinden leidsters en andere ouders
het prettiger dat het kind een paar dagen thuis blijft (in totaal 48 uur vanaf
het starten van lokale en/of systemische behandeling) en leidsters willen ook
graag gewaarschuwd worden zodat ze andere ouders kunnen voorbereiden op wat
te doen bij een eventuele uitbraak.
Therapie:Impetigo
gaat vanzelf ook over in 1-3 weken, maar sneller met behandeling. Algemene adviezen:
adherente crustae kunnen met zoete olie worden verwijderd, blaardaken kunnen
met een washandje of gaas worden verwijderd of losgeknipt. Probeer krabben te
voorkomen (via krassen kan impetigo uitbreiden). Nagels knippen. Gezinsleden
handen wassen, eventueel met Hibiscrub of betadine jodium scrub. Kleding en
handdoeken en washandjes regelmatig verschonen. Geen wasgoed delen.
Lokale therapie:R/ fusidine creme of zalf.
R/ Chloorhexidine
crème 1% FNA.
R/ Tetracyclinezalf FNA.
R/ Bactroban (mupirocine) zalf.
R/ honing zalf (diverse soorten
antibacteriële honingzalven op de markt).
R/ 5% sulf praecip. in zinkoxidesmeersel
of ZOK-zalf FNA.
R/ chloorbaden: 100 ml gewoon huishoud chloor (bevat circa
5% natriumhypochloriet) toevoegen aan het badwater (circa 100 liter).
Systemische therapie:In ernstige gevallen gedurende
7 dagen systemische antibiotica op geleide van de kweek, als dit niet kan:
R/ flucloxacilline 4 dd 500 mg gedurende 7 dagen (kinderen
40-50 mg/kg/dag verdeeld over 3 doses). Er is een 25 mg/ml drank voor kinderen
beschikbaar.
Er circuleren tegenstrijdige adviezen in de verschillende landelijke
en internationale richtlijnen over wat nu de juiste dosering is.
De gebruikelijke
dosering voor kinderen, ook volgens het Farmacotherapeutisch Kompas is:
-
kinderen 0-2 jaar: 3 dd 125 mg
- kinderen 2-12 jaar: 3 dd 250 mg
- kinderen
12-18 jaar: 3 dd 500 mg
- volwassenen: 4 dd 500 mg of 3 dd 1000 mg
R/
amoxicilline/clavulaanzuur 3 dd 500/125 mg (kinderen
25/6.25 mg/kg/dag).
R/ claritromycine 2 dd 250 mg (kinderen
2 dd 7.5 mg/kg), of erytromycine 4 dd 500 mg (o.a. bij allergie voor penicilline).
R/ azithromycine 1 dd 500 mg gedurende 3 dagen (kinderen 10 mg/kg/dag).

Impetigo van Bockhardt (synoniemen:
osteofolliculitis van Bockhardt, folliculitis
staphylogenes superficialis, staphylodermia follicularis, impetigo follicularis
Bockhart, folliculitis pustulosa) is een term die in Duitsland gebruikt wordt
voor een
oppervlakkige folliculitis veroorzaakt door
S. aureus. Met oppervlakkig wordt bedoeld dat vooral de uitvoergang
van de haarfollikel wordt geïnfecteerd (vandaar de naam
osteofolliculitis
van Bockhardt), niet de hele haarfollikel zoals bij een
furunkel. Klinisch ziet men
kleine
folliculaire pustels waaruit
S. aureus gekweekt kan worden.
Dit type folliculitis kan overal op de behaarde huid voorkomen, de voorkeurslokalisaties
zijn het gelaat, het behaarde hoofd, de benen, en de regio glutealis en pubisregio.
S. aureus osteofolliculitis kan ook ontstaan ten gevolge van
occlusie (onder adhesieve pleisters, folies, en onder
luiers bij peuters).
DD: zie onder
efflorescentieleer, bij
pustel.
Therapie:
Wassen met betadine jodium scrub of shampoo of Hibiscrub, Bactroban zalf, fusidine
zalf of crème.
Author(s):dr. Jan R. Mekkes. Dermatologist, Amsterdam UMC.