Pustulosis palmoplantaris (synoniemen
psoriasis pustulosa palmoplantaris, palmoplantar pustulosis,
ziekte van Andrews-Barber, chronic recalcitrant vesiculo-pustular
acral dermatitis) is een zeldzame aandoening (prevalentie 0.05%) die klinisch
goed te herkennen is, maar moeilijk te rubriceren. Het wordt gekenmerkt door
pustels op handpalmen en voetzolen, en het komt vooral voor bij
rokende vrouwen. De oorspronkelijke gedachte (van Andrews) was
dat het een ide-reactie op bacteriën was (bacteride). Later werd het beschouwd
als een
variant van psoriasis. Op dit moment wordt
het beschouwd als een
aparte entiteit. Maar een klassieke
psoriasis kan ook op de handpalmen en/of voetzolen zitten, in dat geval wordt
de term psoriasis palmoplantaris gebruikt zonder de toevoeging pustulosa.
![Pustulosis palmoplantaris (click on photo to enlarge) [source: www.huidziekten.nl] Pustulosis palmoplantaris](../../../images/pustulosis-palmoplantaris-1z.jpg) |
![Pustulosis palmoplantaris (click on photo to enlarge) [source: www.huidziekten.nl] Pustulosis palmoplantaris](../../../images/pustulosis-palmoplantaris-2z.jpg) |
![Pustulosis palmoplantaris (click on photo to enlarge) [source: www.huidziekten.nl] Pustulosis palmoplantaris](../../../images/pustulosis-palmoplantaris-3z.jpg) |
| pustulosis
palmoplantaris |
pustulosis
palmoplantaris |
pustulosis
palmoplantaris |
![Pustulosis palmoplantaris (click on photo to enlarge) [source: www.huidziekten.nl] Pustulosis palmoplantaris](../../../images/pustulosis-palmoplantaris-4z.jpg) |
![Pustulosis palmoplantaris (click on photo to enlarge) [source: www.huidziekten.nl] Pustulosis palmoplantaris](../../../images/pustulosis-palmoplantaris-5z.jpg) |
![Pustulosis palmoplantaris (click on photo to enlarge) [source: www.huidziekten.nl] Pustulosis palmoplantaris](../../../images/pustulosis-palmoplantaris-6z.jpg) |
| pustulosis
palmoplantaris |
pustulosis
palmoplantaris |
pustulosis
palmoplantaris |
Klinisch beeld:Aanvalsgewijs oppervlakkige steriele
pustels (diameter 2-5 mm) op de voetzolen en/of de handpalmen, meestal symmetrisch.
Vaak omgeven door een rode halo. De pustels drogen in tot een bruine korst en
laten een chronisch erythemateuze, schilferende, hyperkeratotische en gekloofde
huid achter. Meestal asymptomatisch, soms jeuk of pijn, vooral bij kloofvorming.
Bij 70% handen en voeten, bij 20% alleen voeten, bij 10% alleen handen. Vooral
bij rokende vrouwen, rond het vijftigste levensjaar. Het aantal pustels correleert
met het aantal gerookte sigaretten per dag.
Etiologie:
De pathogenese is niet bekend. Sommige auteurs beschouwen pustulosis palmoplantaris
als een vorm van gelokaliseerde pustuleuze psoriasis, omdat psoriasis er vaak
bij voorkomt. Maar het is waarschijnlijk toch een aparte entiteit, vanwege het
bijna exclusief voorkomen bij rokende vrouwen, de associatie met schildklierpathologie
en glutenenteropathie, en het niet vinden van het PSORS1 gen (psoriasis susceptibility
gene 1). De gedachte dat het een ide-reactie is, is achterhaald. Maar bij een
klein deel van de patiënten is een streptokok mogelijk toch een uitlokkende
factor. Sommigen delen de aandoening in in de groep neutrofiele dermatosen (syndroom
van Sweet, pyoderma gangrenosum, subcorneale pustulosis van Sneddon-Wilkinson),
maar de geassocieerde aandoeningen bij pustulosis palmoplantaris zijn anders
dan bij de neutrofiele dermatosen.
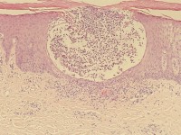
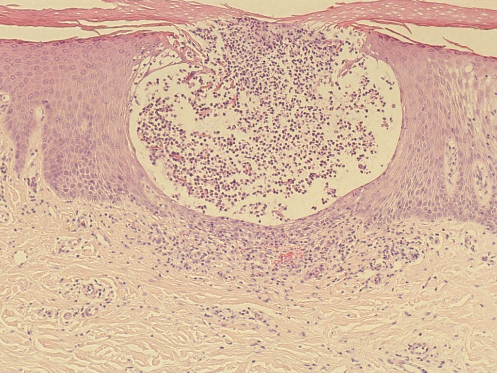
![Pustulosis palmoplantaris (click on photo to enlarge) [source: www.huidziekten.nl] Pustulosis palmoplantaris](../../../images/pustulosis-palmoplantaris-7z.jpg) |
| PA: steriele
pustels |
Geassocieerde aandoeningen:Roken
is een belangrijke risicofactor; 85% van de patiënten is vrouwelijk en 95% rookt.
Bij 18% van de patiënten is
psoriasis aanwezig; 30%
vertoont
nagelafwijkingen (subunguale pustels, onycholyse,
pitting of nageldestructie).
Schildklierproblemen
of -antistoffen komen voor bij 20-40%. 7.7-19% van de patiënten lijdt aan
diabetes (waarvan 90% type II). Ook
glutenenteropathie
cq. coeliakie is oververtegenwoordigd (18% van de gevallen, meestal met aanwezigheid
van IgA-antistoffen gericht tegen gliadine en/of weefseltransglutaminase). Deze verhoogde incidentie van coeliakie werd
echter alleen gevonden in Zweedse studies, niet in latere studies uitgevoerd in Duitsland en Polen.
Depressie komt voor bij 16%. Uitlokkende factoren
zijn bovenste luchtweginfecties (o.a. streptokokken), een warm en vochtig klimaat,
trauma en stress. Pustulosis palmoplantaris kan ook worden uitgelokt door TNF-inhibitoren
(infliximab, adalimumab en etanercept). TNF-inhibitoren kunnen ook een gegeneraliseerde
pustuleuze eruptie, psoriasis guttata-achtige laesies, of een psoriasiforme
dermatitis veroorzaken. Ook
artritisklachten komen
frequent (10-20%) voor, vooral van de sternocostoclaviculaire gewrichten bij
kinderen en tieners. In dit geval maakt pustulosis palmoplantaris deel uit van
het
SAPHO-syndroom (synovitis, acne, pustulosis, hyperostosis,
osteïtis), waarbij ook acne conglobata en chronische recidiverende steriele
osteïtis kunnen optreden
DD:
psoriasis pustulosa, palmoplantaire
(plaque)
psoriasis (afwezigheid van pustels),
acrodermatitis continua van Hallopeau,
keratoderma blenorrhagicum in het kader van
Reiter syndroom,
(geïnfecteerd)
acrovesiculeus
eczeem (dyshidrotisch eczeem),
hyperhidrosis,
mycose (Candida), bacteriële (super-) infectie,
Sweet-syndroom,
neutrofiele dermatose
van de handen, ziekte van
Sneddon-Wilkinson,
AGEP,
pustuleuze
toxicodermie,
SAPHO syndroom.
Diagnostiek:Biopt. Voor de DD met infecties (staphylococcen,
Candida) kan ook nog een kweek worden afgenomen. Het doel van de kweek is aan
te tonen dat het om steriele pustels gaat. Reinig de huid eerst met alcohol
70%. Geen chloorhexidine, want dat kan het kweekresultaat beïnvloeden. Open
een intacte pustel met een steriel mesje en kweek de inhoud. Draag handschoenen
en raak verder niets aan, ook niet het kweekstokje. Bepaal glucose, en TSH,
indien nog niet eerder gedaan. Nicotine kan worden bepaald in het bloed (
cotinine
in serum).
Therapie:Moeilijk te behandelen chronisch
recidiverende aandoening. Adviseer de patiënt dwingend om te stoppen met roken,
dit helpt vaak (na 3 maanden verbetering). Als het niet lukt om te stoppen met
roken dan is de kans op succesvolle behandeling gering. Overweeg tonsillectomie
en/of penicilline of Augmentin bij recidiverende tonsillitis. Glutenvrij dieet
bij glutenenteropathie. Schildklierziekten behandelen.
R/ steroïden klasse
III-IV, zonodig onder occlusie.
R/ Diprosalic zalf of 10% salicylzuur in
Dermovate zalf.
R/ acidum salicylicum 5% in cremor/unguentum triamcinoloni FNA 0,1%, eventueel
onder plastic occlusie.
R/ ditranol 0.1%, triamcinolon 0.1% acidum salicylicum 5% in vaselinum flavum.
R/ ditranol 0.1%, acidum salicylicum 5% in Dermovate (clobetasol) zalf 1dd.
R/ ditranol 0.1% monotherapie in opklimmende doseringen.
R/ koolteer oplossing
(LCD) 20% in lanettezalf FNA (gezuiverde koolteeroplossing 20 ml, lanettezalf
FNA ad 100 g). Tube 30 g (Fagron nr. 0438).
R/ koolteer oplossing (LCD) 20%
in vaselinelanettecrème FNA (gezuiverde koolteeroplossing 20 ml, vaselinelanettecrème
ad 100 g). Tube 30 g (Fagron nr. 3007330).
R/ pix lithanthracis 1-5% in zinkoxidezalf
FNA.
R/ pix lithanthracis 1-5% in unguentum triamcinoloni FNA 0.1% 's nachts
onder plastic occlusie.
R/ tazaroteen.
In hardnekkige gevallen komen de volgende therapiemodaliteiten
in aanmerking:
R/ PUVA, lokale (topicale) PUVA.
R/ RePUVA: acitretine
1 dd 10 mg, na 2 weken PUVA therapie toevoegen gedurende 3 maanden.
R/ Neotigason
(acitretine) 0.5-1 mg/kg/dd.
R/ Toctino (alitretinoine).
R/ tetracyclinen
(doxycycline, minocycline, tetracycline).
R/ dapson (diafenylsulfon) 1 dd
50-100 mg.
R/ methotrexaat.
R/ ciclosporine 1-2 mg/kg/dag verdeeld over
2 doses (kan rebound fenomeen veroorzaken).
R/ prednisolon (kan rebound fenomeen
veroorzaken).
R/ isotretinoïne 1 dd 1 mg/kg.
R/ Excimer laser (308 nm).
R/ Lampren (clofazimine) 1 dd 100-300 mg.
R/ colchicine.
R/ thalidomide.
R/ biologicals (TNF-remmers, ustekinumab).
Referenties
| 1. |
Hagforsen E, Awder M, Lefvert AK, Nordlind
K, Michaelsson G. Palmoplantar pustulosis: an autoimmune disease
precipitated by smoking? Acta Derm Venereol 2002;82:341-346. |
| 2. |
Michaelsson G, Gustafsson K, Hagforsen E.
The psoriasis variant palmoplantar pustulosis can be improved after
cessation of smoking. J Am Acad Dermatol 2006;54:737-738. |
| 3. |
Asumalahti K, Ameen M, Suomela S, et al.
Genetic analysis of PSORS1 distinguishes guttate psoriasis and palmoplantar
pustulosis. J Invest Dermatol 2003;120:627-632. |
| 4. |
Nozawa H, Kishibe K, Takahara M, Harabuchi
Y. Expression of lymphocyte-associated antigen (CLA) in tonsillar
T-cells and its induction by in vitro stimulation with alpha-streptococci
in patiënts with pustulosis palmoplantaris. Clin Immunol 2005;116:42-53. |
| 5. |
Yokoyama Y, Hashigucci K, Yokoyama M. Effect
of tonsillectomy in patiënts with pustulosis palmaris et plantaris.
Acta Otolaryngol 2004;124:1109-1110. |
| 6. |
Takahara M. Clinical outcome of tonsillectomy
for palmoplantar pustulosis and etiological relationship between
palmoplantar pustulosis and tonsils. Adv Otorhinolaryngol 2011;72:86-88. |
| 7. |
Van de Kerkhof PCM. Pustulosis palmaris et
plantaris. JEADV 2005;14:248. |
| 8. |
Mrowietz U, van de Kerkhof PC. Management
of palmoplantar pustulosis: do we need to change? Br J Dermatol
2011 May;164(5):942-946.
PDF |
| 9. |
Adişen E, Gürer MA. Therapeutic options for
palmoplantar pustulosis. Clin Exp Dermatol 2010;35(3):219-222.
PDF |
| 10. |
Michaelsson G, Kajermo U, Michaelsson A,
Hagforsen E. Infliximab can precipitate as well as worsen palmoplantar
pustulosis: possible linkage to the expression of tumour necrosis
factor-alpha in the normal palmar eccrine sweat duct? Br J Dermatol
2005;153:1243-1244. |
| 11. |
Misiak-Galazka M, Zozula J, Rudnicka L. Palmoplantar Pustulosis: Recent Advances in Etiopathogenesis and Emerging Treatments. Am J Clin Dermatol 2020;21(3):355-370. |
| 12. |
Devjani S, Smith B, Javadi SS, Engel PV, Han G, Wu JJ. Palmoplantar Pustulosis: Therapy Update. J Drugs Dermatol 2024;23(8):626-631. |
Author(s):dr. Jan R. Mekkes. Dermatologist, Amsterdam UMC.