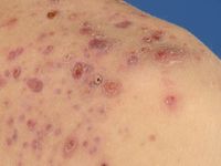
Acne fulminans is een zeldzame ernstige en acute uitbarsting
van acne, subtype
acne conglobata, met
confluerende abcessen en hemorrhagische necrose. Het kan gepaard gaan met systemische
verschijnselen zoals koorts, malaise, lymfadenopathie, arthralgie, artritis,
botpijnen (aseptische osteolysis), en soms osteomyelitis (zie ook onder
SAPHO syndroom). Er kunnen labafwijkingen zijn
zoals leukocytose, hoge BSE en CRP, anemie, circulerende immuuncomplexen en
lever- en nierfunctiestoornissen. Het kan spontaan ontstaan of worden geluxeerd
door geneesmiddelen, zoals anabole steroïden of isotretinoïne.
![Acne fulminans (click on photo to enlarge) [source: www.huidziekten.nl] Acne fulminans](../../../images/acne-fulminans-3z.jpg) |
![Acne fulminans (click on photo to enlarge) [source: www.huidziekten.nl] Acne fulminans](../../../images/acne-fulminans-4z.jpg) |
| acne fulminans |
acne fulminans |
Bij isotretinoïne, voorgeschreven voor ernstige vormen van acne kan
een zeldzame averechtse reactie ontstaan, waarbij de acne juist verergert. Hierbij
ontstaan soms hypergranulerende, uitpuilende woekeringen (lijkend op
granuloma pyogenicum) op
de plekken waar tevoren pustels, cysten of abcessen zaten. Maar er kan ook een
acne fulminans beeld ontstaan, inclusief systemische afwijkingen.
![Acne fulminans (click on photo to enlarge) [source: www.huidziekten.nl] Acne fulminans](../../../images/acne-fulminans-1z.jpg) |
![Acne fulminans (click on photo to enlarge) [source: www.huidziekten.nl] Acne fulminans](../../../images/acne-fulminans-2z.jpg) |
| isotretinoïne
reactie |
isotretinoïne
reactie |
DD: acne conglobata,
acne vulgaris,
acne medicamentosa, hypergranulatie reactie
op isotretinoïne,
pyoderma gangrenosum.
Therapie:
De behandeling van acne fulminans bestaat
uit prednison in de range 30-60 mg per dag, eventueel in combinatie met een
breedwerkend antibioticum met anti-inflammatoire nevenwerking zoals claritromycine
2 dd 500 mg, erytromycine 4 dd 500 mg, of clindamycine 2-4 dd 300 mg. Ook isotretinoïne
kan worden toegevoegd als de patiënt dat niet al gebruikte, begin in een lage
dosering (10-20 mg), later geleidelijk te verhogen naar 0.5-1.0 mg/kg per dag
indien nodig. Low dose isotretinoïne (10-20 mg) wordt overigens ook toenemend
als schema bij ernstige acne vulgaris gebruikt: de effectiviteit doet nauwelijks
onder voor de schema's 0.5-1.0 mg per kg maar de therapietrouw is veel hoger
omdat het beter verdragen wordt. Ook bij de hypergranulerende reactie op isotretinoïne
kan dit later toch weer worden herstart, als het rustig is onder prednison,
en in een lage dosis (10 mg).
R/ prednison 0.5-1 mg/kg gedurende 1 week
(meestal-40-60 mg), daarna afbouwen met 5-10 mg per week.
R/ prednison +
antibiotica: claritromycine 2 dd 500 mg, clindamycine 2-4 dd 300 mg, of erytromycine
4 dd 500 mg. Eventueel doxycycline 2 dd 100 mg.
R/ prednison + isotretinoïne,
laag beginnen (10-20 mg) i.v.m. risico granuloma pyogenicum achtige vegetaties.
Voeg in ernstige gevallen ook een antibioticum toe. Tetracyclinen (doxycycline,
minocycline) mogen niet samen met isotretinoïne, maar clindamycine, claritromycine,
erytromycine, flucloxacilline en amoxicilline / clavulaanzuur kunnen wel.
R/ Dermovate (clobetasolpropionaat) zalf 2 dd bij granuloma pyogenicum achtige
woekeringen.
R/ Dapson (diafenylsulfon) 1 dd 100 mg.
R/ TNF-remmers zoals
infliximab of adalimumab (case-reports) kunnen worden overwogen in zeer ernstige
gevallen en bij het SAPHO syndroom. Deze middelen zijn echter niet geregistreerd
voor acne fulminans en worden bij off-label gebruik niet vergoed.
Referenties
| 1. |
Joly P, Prost C, Gaudemar M, Revuz J. Acne
fulminans triggered by isotretinoin therapy. Ann Dermatol Venereol
1991;118(5):369-372. |
| 2. |
Boyraz N, Mustak PK. Comparison of the efficacies
of intermittent and continuous low-dose isotretinoin regimens in
the treatment of moderate acne vulgaris. Int J Dermatol 2013;52(10):1265-1267. |
Author(s):dr. Jan R. Mekkes. Dermatologist, Amsterdam UMC.