| FOLLICULITIS |
 |
WHAT IS FOLLICULITIS?
Folliculitis is an inflammation of a hair follicle. Hairs grow from a hair follicle attached to the skin. Such a hair follicle can become inflamed, for example, by bacteria. Pus then forms in the follicle, resulting in a pimple (medical name: pustule). Folliculitis can occur anywhere on the body where hair is present. Folliculitis is common at all ages, in both men and women.
HOW DOES FOLLICULITIS DEVELOP?
Folliculitis usually occurs when bacteria or yeasts living on the skin invade the hair follicle and cause an infection. The skin bacterium
Staphylococcus aureus is often involved.
This bacterium can also cause a deep and severe
infection of the hair follicle. This is called a
boil or furuncle.
Acne (pimples) can also be considered a form of folliculitis. Folliculitis can also develop due to damage to the hair follicle's duct, for example, from shaving or chafing clothing. It occurs primarily in the groin, armpits, and other folds, where sweating and sweating also play a role. Excessively greasy ointments that block the opening can also cause folliculitis. Medications can also cause folliculitis, but this is rare.
WHAT DOES FOLLICULITIS LOOK LIKE?
A few or many small white or yellowish pimples (pus heads) may be visible, originating from a hair follicle. This can be seen by looking closely: most pimples have a hair sticking out. There may be some redness around them, and it's often itchy. Folliculitis can occur anywhere there's hair. It's often found on the back or chest, but also on the legs and arms, the face or scalp, or the neck or buttocks. But not on the palms of the hands or the soles of the feet, because there's no hair there. Folliculitis
HOW IS THE DIAGNOSIS MADE?
The diagnosis of folliculitis is based on the clinical picture,
on how it looks like. It may be necessary to open a
pimple and examine the contents under a microscope
or send it to a lab for a culture. This can
determine whether bacteria or yeast are present.
There are also forms of folliculitis that are not
caused by an infection. In those cases, only
inflammatory cells are visible under the microscope.
Occasionally, a skin biopsy is necessary, for example, if a specific form of folliculitis is suspected, such as a drug reaction.
HOW IS FOLLICULITIS TREATED?
Treatment depends on the cause. Some forms resolve on their own. Sometimes treatment with an antibacterial or anti-yeast agent is necessary. Below, we discuss several different forms of folliculitis, along with their treatment options.
Folliculitis caused by Staphylococcus aureus Staphylococci are the number one cause of folliculitis. This form can resolve spontaneously. If not, there are several treatment options. The skin can be washed daily with disinfectant soap (iodine or chlorhexidine) or shampoo. Also, pay attention to personal hygiene. Change soiled underwear and clothing, as well as towels
as often as neccesary. In severe cases, it may be necessary to use an antibiotic that targets staphylococci, such as flucloxacillin or clarithromycin.
![Folliculitis (click on photo to enlarge) [source: www.huidziekten.nl] Folliculitis](../../images/folliculitis-1z.jpg) |
![Folliculitis (click on photo to enlarge) [source: www.huidziekten.nl] Folliculitis](../../images/folliculitis-2z.jpg) |
|
S. aureus folliculitis |
S. aureus folliculitis |
Folliculitis caused by yeasts (Pityrosporum) Not only bacteria live on human skin, but also fungi and yeasts such as
Pityrosporon ovale. This yeast, also called
Malassezia furfur, is found all over the body in healthy individuals, including on the scalp. Sometimes, there are so many yeasts on the skin that it causes symptoms. On the scalp, an overgrowth of yeasts can cause dandruff, eczema in the eyebrows and around the nose, and if the yeasts are present in large numbers in the hair follicles, folliculitis can develop. This is called
Pityrosporum folliculitis. Pityrosporum folliculitis is treated with anti-yeast medications such as ketoconazole cream or shampoo. In severe cases, antifungal tablets such as itraconazole may be prescribed.
![Pityrosporum folliculitis (Malassezia furfur) (click on photo to enlarge) [source: www.huidziekten.nl] Pityrosporum folliculitis (Malassezia furfur)](../../images/pityrosporum-folliculitis-2z.jpg) |
![Pityrosporum folliculitis (Malassezia furfur) (click on photo to enlarge) [source: www.huidziekten.nl] Pityrosporum folliculitis (Malassezia furfur)](../../images/pityrosporum-folliculitis-3z.jpg) |
![Pityrosporum folliculitis (Malassezia furfur) (click on photo to enlarge) [source: www.huidziekten.nl] Pityrosporum folliculitis (Malassezia furfur)](../../images/pityrosporum-folliculitis-7z.jpg) |
|
Pityrosporum folliculitis |
Pityrosporum folliculitis |
Pityrosporum folliculitis |
Hot tub folliculitis Hot tub folliculitis is caused by the bacterium
Pseudomonas aeruginosa. This bacterium appears to be present in hot tubs that aren't cleaned properly, hence the name. It's also called Gram-negative folliculitis. This is a common and unpleasant consequence of hot tub use: within one to a few days, unsightly, somewhat larger, and painful pimples appear all over the body.
![Hot tub folliculitis (click on photo to enlarge) [source: James Heilman - Wikimedia - Creative Commons License 3.0] Hot tub folliculitis](../../images/gram-negatieve-folliculitis-1z.jpg) |
|
hot tub folliculitis |
Photo: James Heilman - Wikimedia (Creative Commons
License
3.0).
Hot tub or whirlpool folliculitis is treated with baths or showers using a betadine iodine scrub or Hibiscrub, or chlorine baths. Betadine (povidone-iodine) ointment and Flammazine (silver sulfadiazine) cream are also effective. Sometimes antibiotics such as ciprofloxacine are necessary.
Pseudomonas bacteria can be resistant to antibiotics.
Demodex folliculitis Demodex folliculitis is caused by an overgrowth of the
Demodex mite. This
parasite (Demodex folliculorum) lives
in the hair follicle of 80-95% of adults and 100% of people over 70, but not yet in newborns. Demodex folliculitis occurs in areas where mites are most commonly found: the forehead, cheeks, nose, scalp, and chest. It can be treated with anti-parasitic medications such as Stromectol (ivermectin) tablets, Soolantra (ivermectin) cream, permethrin 5% cream, metronidazole gel, metronidazole cream, and metronidazole tablets.
![Demodex folliculitis (click on photo to enlarge) [source: www.huidziekten.nl] Demodex folliculitis](../../images/demodex-folliculitis-1z.jpg) |
![Demodex folliculorum (click on photo to enlarge) [source: Dr. Michael Dryden, College of Veterinary Medicine, Kansas State University - Wikimedia - Creative Commons License 3.0] Demodex folliculorum](../../images/demodex-1z.jpg) |
|
Demodex folliculitis |
Demodex folliculorum |
Photo right: Dr. Michael Dryden, College of
Veterinary Medicine, Kansas State University - Wikimedia
(Creative Commons License
3.0).
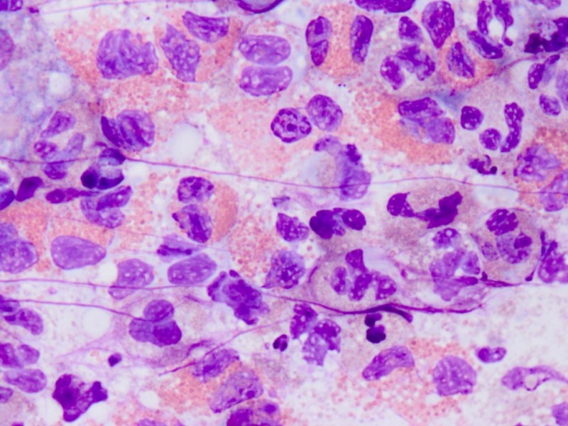
Eosinophilic folliculitis Eosinophilic folliculitis is characterized by the development of itchy pustules filled with a large number of white blood cells (eosinophils). This type of cell is seen in allergic conditions. Eosinophilic folliculitis can occur in healthy individuals, but is most common in HIV patients, babies and young children, and patients with compromised immune systems. The cause is unknown. These pustules are believed to be sterile, but they could also be a reaction to microorganisms in the hair follicle, such as
Pityrosporum, Demodex folliculorum,
Pseudomonas, or fungi. It can be treated with topical corticosteroids, anti-itch tablets (antihistamines), antifungal agents such as itraconazole, or light therapy.
![Eosinophilic folliculitis (click on photo to enlarge) [source: SFS] Eosinophilic folliculitis](../../images/eosinofielefolliculitis3z.jpg) |
![Eosinophilic granulocytes in a follicular pustule (click on photo to enlarge) [source: www.huidziekten.nl] Eosinophilic granulocytes in a follicular pustule](../../images/eosinofielefolliculitissmear1z.jpg) |
|
eosinophilic folliculitis |
eosinophilic cells |
Drug-induced folliculitis Medications can also cause folliculitis. This is an allergic reaction to the medication. It is uncommon. Treatment consists of discontinuing the suspected medication, after which the condition will resolve on its own.
![Acneiform eruption due to EGFR inhibitor (click on photo to enlarge) [source: www.huidziekten.nl] Acneiform eruption due to EGFR inhibitor](../../images/acneiforme-eruptie-EGRF-remmer-4z.jpg) |
![Mitomycin C induced generalized pustular eruption (click on photo to enlarge) [source: www.huidziekten.nl] Mitomycin C induced generalized pustular eruption](../../images/mitomycine-pustular-folliculitis-2z.jpg) |
|
drug-induced folliculitis |
drug-induced folliculitis |
Pseudofolliculitis barbae Pseudofolliculitis barbae (razor bumps) is a skin condition in which pimples and bumps develop in the beard area. It is caused by ingrown hairs. Hairs should normally grow neatly and straight out from a hair follicle. Sometimes this goes wrong, and a hair doesn't grow out properly but grows back into the skin, right through the wall of a hair follicle. These "ingrown hairs" cause inflammation: a bump or pimple develops around the hair. A major cause of ingrown hairs is shaving too close. That's why they are also called "razor bumps". The second major cause is curly hair, especially kinky hair.
See further under
pseudofolliculitis barbae.
![Pseudofolliculitis barbae (click on photo to enlarge) [source: www.huidziekten.nl] Pseudofolliculitis barbae](../../images/pseudofolliculitis-barbae-1z.jpg) |
![Pseudofolliculitis barbae (click on photo to enlarge) [source: Samuel Freire da Silva - Dermatology Atlas - Wikidocs - Creative Commons License 3.0] Pseudofolliculitis barbae](../../images/pseudofolliculitis-barbae-3z.jpg) |
|
pseudofolliculitis barbae |
ingrown hairs |
Photo right: Samuel Freire da Silva -
Dermatology Atlas (Creative Commons License
3.0)).
WHAT CAN YOU STILL DO YOURSELF?
Keep your body clean and dry. Don't squeeze pimples, as this usually makes them worse and causes scarring. Don't wear tight or chafing clothing. Change underwear, sweaty clothes, and towels regularly. Don't use greasy ointments or oils if that seems to be the cause.
WHAT IS THE PROSPECT?
Folliculitis is usually not a serious condition and doesn't cause any complications. It usually resolves on its own. Sometimes, short-term treatment with an antibiotic or antifungal medication is necessary. It can recur.
|