Het
Sweet syndroom behoort tot de
neutrofiele dermatosen en wordt
getypeerd door
plaques met pseudovesikels,
leukocytose, en
koorts. Het is in
1964 beschreven door dr. Sweet uit Engeland onder de naam
acute
febrile neutrophilic dermatosis. De oorzaak is onbekend. Vaak
gaat een koortsende ziekte vooraf zoals een luchtweginfectie (griepachtig beeld,
tonsillitis), een darminfectie (Yersinia, Salmonella), of een andere infectie
(streptokokken, Borrelia, TBC, HIV, CMV, hepatitis, kattekrab-ziekte). Meestal
(70%) wordt er geen oorzaak gevonden (idiopathisch, klassiek Sweet's syndroom).
Soms (volgens sommige literatuur zelfs bij 10-20%) is het geassocieerd met een
onderliggende maligniteit, meestal myeloproliferatieve aandoeningen, of met
inflammatoire aandoeningen of auto-immuunziekten (RA, Sjögren, LE, Behçet, polychondritis,
sarcoïdose). Het kan ook door geneesmiddelen ontstaan (G-CSF, IL-2, tretinoïne,
trimethoprim-sulfamethoxazole, hydralazine, OAC, minocycline, carbamazepine,
furosemide), en in de zwangerschap. Geassocieerde ziekten zijn o.a. colitis
ulcerosa en ziekte van Crohn, benigne monoclonale gammopathie, transient myeloid
proliferation, verschillende maligne tumoren (prostaat, colon, maag, mamma,
uterus), en acute myeloïde leukemie. Deze maligniteiten kunnen pas jaren later
manifest worden. Anemie zou een slecht voorteken zijn. Sweet syndroom komt vaker
bij vrouwen voor. Bij kinderen is het zeldzaam.
Klinisch beeld:
Bij het Sweet syndroom ontstaan in korte tijd pijnlijke plaques of tot plaques
confluerende papels, rood of paarsrood, irregulair van vorm, scherp begrensd.
De plaques kunnen centraal gelig verkleurd zijn, waardoor ze eruit zien als
schietschijf laesies. Vaakt lijkt het alsof er vesikels aanwezig zijn (t.g.v.
extreem dermaal oedeem), maar bij palpatie blijken deze transparant uitziende
pseudovesikels vast aan te voelen, en niet gevuld te zijn met vocht. Ook het
voorkomen van echte bullae is beschreven. Er kunnen multipele kleine pustels
ontstaan door migratie van neutrofiele leukocyten naar de epidermis. De laesies
nemen gedurende een aantal dagen of weken toe in grootte, en verdwijnen dan
weer, meestal in 6-8 weken, zonder littekenvorming (wel restpigmentatie. Het
meest aangedaan zijn het gelaat, de nek, bovenrug en borst, en de bovenste extremiteiten.
Op de benen komen diep gelegen pijnlijke zwellingen voor lijkend op erythema
nodosum of andere vormen van panniculitis. Slijmvlies laesies ontbreken meestal.
Het gaat uiteindelijk ook vanzelf weer over maar het is beter om medicamenteus
in te grijpen (door prednison te geven) om de klachten te verlichten. Bij ca
50% van de patiënten treden recidieven op. Sweet syndroom komt vooral voor tussen
35-55 jaar en vaker bij vrouwen dan bij mannen (15:1). De koorts (40-80% van
de patiënten heeft koorts) is dagen of weken tevoren aanwezig en kan gedurende
de hele ziekteperiode aanwezig blijven. Geassocieerde symptomen zijn behalve
koorts algemene malaise, arthralgie, arthritis, myalgie, hoofdpijn, aseptische
meningitis, pulmonaire alveolitis, soms conjunctivitis of episcleritis, soms
gastro-intestinale verschijnselen, en in zeldzame gevallen acute nier, lever
en pancreas insufficiëntie. Er zijn verschillende klinische varianten van Sweet
syndroom beschreven, zoals
neutrophilic dermatosis
of the hand,
histiocytoid Sweet's syndrome, Sweet's syndrome associated
leukemia cutis, neutrophilic panniculitis, en necrotizing Sweet's syndrome.
![Sweet's syndroom (click on photo to enlarge) [source: www.huidziekten.nl] Sweet's syndroom](../../../images/sweet-1z.jpg) |
![Sweet's syndroom (click on photo to enlarge) [source: www.huidziekten.nl] Sweet's syndroom](../../../images/sweet-2z.jpg) |
| Sweet's
syndroom |
Sweet's
syndroom |
![Sweet's syndroom (click on photo to enlarge) [source: www.huidziekten.nl] Sweet's syndroom](../../../images/sweet-3z.jpg) |
![Sweet's syndroom (click on photo to enlarge) [source: www.huidziekten.nl] Sweet's syndroom](../../../images/sweet-4z.jpg) |
| Sweet's
syndroom |
Sweet's
syndroom |
Diagnostiek:De diagnose wordt gesteld op het klinisch
beeld en het huidbiopt. Lab onderzoek levert vaak (maar niet noodzakelijk) een
leukocytosis op met een gestegen aantal neutrofielen, een hoge BSE, en soms
proteinurie. Er zijn ook criteria geformuleerd waarbij 2 major plus 2 minor
criteria aanwezig moeten zijn om de diagnose met zekerheid te stellen:
Major criteria:- acuut ontstaan van de typische
huidlaesies (gevoelige of pijnlijke plaques of noduli)
- histopathologische bevindingen passend bij Sweet's syndroom
(neutrofiel infiltraat in de dermis zonder vasculitis)
Minor criteria:- koorts > 38 °C
- associatie met maligniteit, inflammatoire aandoening of zwangerschap
of vooraf respiratoire of gastrointestinale infectie
- abnormale labbevindingen bij presentatie
(3 van de 4 vereist: BSE > 20, leukocyten > 8, neutrofielen > 70%,
verhoogde CRP)
- goede respons op systemische corticosteroïden
Aanvullend onderzoek op onderliggende ziekten op indicatie,
bij klachten (beenmergpunctie, lever- en nierfunctie, kweken (viraal, bacterieel),
X-thorax, CT-scan, PET-CT. etc.)
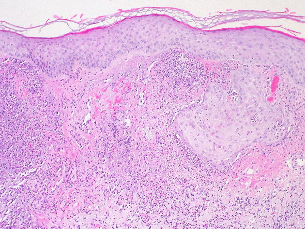
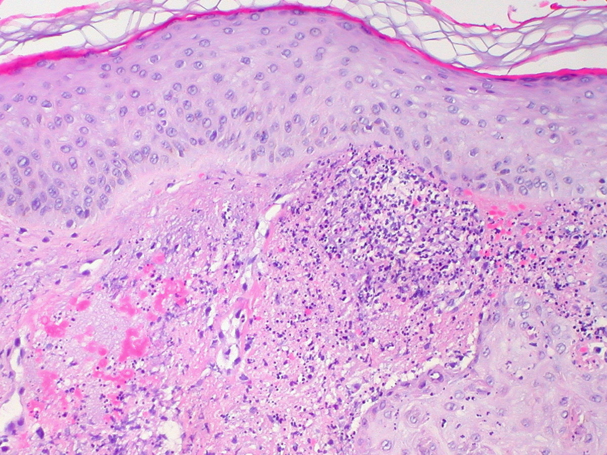
PA:Oedeem in de
papillaire dermis, een dicht leukocytair infiltraat, diffuus of perivasculair,
voornamelijk neutrofielen, soms eosinofiele of lymfoïde cellen. Gewoonlijk worden
vasodilatatie, erytrocyten-extravasatie en perivasculaire foci van leukocytoclasia
gezien welke een vasculitis suggereren, maar de vaatschade valt erg mee. De
epidermis is meestal normaal, zelden is er spongiose of exocytose, zelden subcorneale
pustels. Indien er neutrofielen in de epidermis aanwezig zijn, kan er sprake
zijn van subcorneale pustels. In dieper gelegen nodulaire lesies kan het infiltraat
beperkt zijn tot het subcutane vet. Soms worden subepidermale bullae gevormd.
![Sweet's syndroom (click on photo to enlarge) [source: Ed Uthman - Wikimedia - Creative Commons License 2.0] Sweet's syndroom](../../../images/sweet-5z.jpg) |
![Sweet's syndroom (click on photo to enlarge) [source: Ed Uthman - Wikimedia - Creative Commons License 2.0] Sweet's syndroom](../../../images/sweet-6z.jpg) |
![Histologie Sweet syndroom (click on photo to enlarge) [source: Kevin Kwee / Afdeling Pathologie MUMC] Histologie Sweet syndroom](../../../pacoupes/thumbnails/Sweet-syndroom.jpg) |
| Sweet's
syndroom |
Sweet's
syndroom |
ingescande coupe (zoom) |
PA-Foto's links en midden: Ed Uthman - Wikimedia (Creative Commons
License
2.0).
Hoge resolutie PA-foto: Kevin Kwee en Afdeling Pathologie MUMC. Klik
op de afbeelding om in te zoomen.
DD:
Erythema exudativum multiforme
(EEM) (PA anders, vaak genitale of mucosa laesies, niet zo pijnlijk, target
laesies i.p.v. irregulaire confluerende plaques, vaak meer symmetrische distributie),
erythema nodosum (E.N. - achtige laesies
zijn soms mede aanwezig bij Sweet syndroom, histologie (septale panniculitis)
is anders),
bulleus pemphigoid, bulleuze
toxicodermie en andere
bulleuze dermatosen,
Sneddon-Wilkinson syndroom (subcorneale pustuleuze
dermatose),
AGEP (acute gegeneraliseerde exanthemateuze
pustulosis), ziekte van von Zumbusch (
psoriasis
pustulosa generalisata),
erythema elevatum diutinum, erythema annulare centrifugum,
bowel bypass
syndroom, blind loop syndrome,
furunculose,
waterpokken (
varicella), herpes simplex,
cellulitis / erysipelas,
pyoderma gangrenosum,
leukocytoclastische vasculitis.
Therapie:R/ prednison 0.5-1 mg/kg per dag gedurende
1 week, daarna afbouwen naar 10 mg in 3-4 weken. Meestal 40 mg per dag gedurende
de eerste week, daarna in week 2 30 mg per dag, in week 3 20 mg per dag, in
week 4 10 mg per dag en dan stoppen (voor dit schema zijn 140 tabletten prednisolon
van 5 mg nodig, zie
prednison schema voor patiënt). Als het heel goed gaat kan de patiënt sneller
afbouwen, bijvoorbeeld elke 4-5 dagen 10 mg omlaag. Soms is een langere behandeling
nodig (10-20 mg per dag voor 2-3 maanden).
R/ lokale corticosteroïden klasse
IV of intralesionale corticosteroïden.
R/ NSAID's zoals Indocid (indomethacine)
3 dd 50 mg gedurende 1 week, daarna 2 dd 50 mg, of naproxen 3 dd 250 mg gedurende
1 week, daarna 2 dd 250 mg.
R/ doxycycline 2 dd 200 mg.
Er worden
ook andere middelen genoemd (zie onder). Er zijn weinig gecontroleerde studies,
het beoordelen van het effect is lastig omdat de aandoening ook vanzelf overgaat.
Mogelijk effectief zijn:
R/ dapson (diafenylsulfon)1 dd 100-200 mg.
R/
colchicine (1.5 mg per dag voor 3 weken).
R/ Lampren (clofazimine 100 mg),
1 dd 200 mg.
R/ ciclosporine 5 mg/kg.
R/ thalidomide.
R/ KaliumJodide
drank of capsules à 50 of 200 mg FNA, 3 dd 300 mg (900 mg/dag) gedurende 10-14
dagen. Kaliumjodide
wordt altijd genoemd in dit soort rijtjes, maar de evidence is gering.
R/
TNF remmers Humira (adalimumab) of Remicade (infliximab).
R/ IvIg.
Referenties
| 1. |
Sweet RD. An Acute Febrile Neutrophilic Dermatosis.
Br J Dermatol 1964;76:349-356. |
| 2. |
Cohen PR, Kurzrock R. Sweet's syndrome: a
neutrophilic dermatosis classically associated with acute onset
and fever. Clin Dermatol 2000;18(3):265-282. |
| 3. |
Cohen PR, Kurzrock R. Sweet's syndrome: a
review of current treatment options. Am J Clin Dermatol 2002;3(2):117-131. |
| 4. |
Su WP, Liu HN. Diagnostic criteria for Sweet's
syndrome. Cutis 1986;37(3):167-174. |
Author(s):dr. Jan R. Mekkes. Dermatologist, Amsterdam UMC.