Psoriasis pustulosa generalisata (
generalized
pustular psoriasis,
ziekte van von Zumbusch)
is een ernstige, zeldzame pustuleuze variant van
psoriasis.
Klinisch ziet men velden van
kleine steriele pustels op een felrode
ondergrond, die later groter worden en conflueren, gevolgd door
desquamatie. De laesies zitten vooral op de romp en proximale extremiteiten.
Het kan voorkomen in combinatie met klassieke plaque psoriasis, maar ook als
geïsoleerd verschijnsel. Een deel van de patiënten heeft
systemische
klachten: koorts, tachycardie en tachypneu, malaise, koude rillingen,
gewrichtsklachten, spierpijn, hoofdpijn, misselijkheid. Het kan ook voorkomen
bij kinderen. Er is een gegeneraliseerde variant die snel uitbreidt over een
groot oppervlak, en een annulaire variant met velden van pustels aan de periferie
die trager uitbreidt. Uiteindelijk is vaak de gehele huid aangedaan (erytrodermie);
er kan een tweede golf over het lichaam trekken. Het kan chronisch recidiveren,
soms met meerdere aanvallen per jaar. Onbehandeld kan het ernstig verlopen,
soms zelfs fataal door sepsis met multi organ failure. Er bestaat een associatie
met overgewicht, diabetes, hyperlipidemie, artritis, hypertensie, leverziekten,
hart-en vaat ziekten, nierziekten; ook bij psoriasis vulgaris komen deze ziekten
vaker voor en worden ook wel aangeduid met metabool syndroom.
Het mechanisme is niet precies bekend, wel is duidelijk dat leukocyten
massaal naar de oppervlakkige epidermis migreren onder invloed van cytokinen,
vooral IL-8. Zumbusch kan ontstaan na (acuut) staken van systemische therapie,
vooral na systemische corticosteroïden. Vanwege de kans op Zumbusch of op het
erger worden van psoriasis na staken (rebound fenomeen) worden systemische steroïden
liever niet voorgeschreven bij psoriasis. Soms wordt het geluxeerd door medicatie
(lithium, beta-blokkers, antimalariamiddelen (hydroxychloroquin), jodiumpreparaten,
diltiazem, antibiotica, dupilumab). Als uitlokkende factor worden ook genoemd
irriterende lokale therapeutica (teer, dithranol), steroïden onder occlusie,
verbranding door zon of lichttherapie, infecties (streptokokken), cholestasis,
hypocalciëmie, en stress.
Psoriasis pustulosa generalisata kan ook in de zwangerschap
ontstaan, dit wordt
impetigo herpetiformis
genoemd. Het is niet bekend waarom het tijdens zwangerschap kan ontstaan, het
is geassocieerd met hypocalciaemie en hypoparathyreoidie, en er is een verhoogd
risico op foetale afwijkingen.
Een Zumbusch kan onbehandeld ernstig verlopen,
soms is er een opname indicatie. Behalve alle problemen die bij erytrodermie
horen (vocht en eiwitverlies, verstoorde huidbarrière, gestoorde temperatuursregulatie,
energie verlies) kunnen er, na de acute fase met leukocytose ook episoden zijn
met een leukopenie omdat alle leukocyten naar de epidermis worden getrokken.
De combinatie leukopenie, verstoorde huidbarrière, en de immunosuppressieve
therapie die vaak gegeven wordt kan een sepsis veroorzaken. Andere verschijnselen
naast infecties kunnen zijn hypo-albuminemie en hypocalciëmie, tubulus necrose
of lever beschadiging bij uitdroging, ondervoeding, shock, acute respiratory
distress syndrome, capillary leak syndrome, neutrofiele cholangitis, tongafwijkingen
(lingua geographica), en op langere termijn haarverlies (telogeen effluvium)
en nagelafwijkingen.
DD:
AGEP,
Sneddon-Wilkinson,
pustuleuze toxicodermie,
candida,
pyodermie,
geïmpetiginiseerd eczeem,
eczema herpeticum,
gegeneraliseerde herpes simplex,
TEN, DIRA.
Diagnostiek:
De diagnose kan worden gesteld op anamnese en klinisch beeld. Meestal wordt
toch een biopt afgenomen. Voor de DD met infectie zo nodig kweek en KOH preparaat
van een pustel. Lab: Hb, leuko’s, leukodiff, trombo’s, BSE, CRP. Kreat, Na,
K, albumine, totaal eiwit, calcium. ASAT, ALAT, AF, GGT, bilirubine. Eventueel
zink, en een urinesediment (albumine in urine). Vaak is er leukocytose, soms
leukopenie, lymfocytopenie, verhoogde BSE en CRP, bij uitdroging verhoogd ureum
en kreatinine. Albumine en totaal eiwit kan verlaagd zijn (zie ook onder erytrodermie).
In sommige centra is het mogelijk om genetisch onderzoek te doen naar mutaties
die geassocieerd zijn met Zumbusch, zoals IL36RN, CARD14, AP1S3, SERPINA3.
De eerste 3 daarvan zijn bijvoorbeeld opgenomen in het genpanel
autoinflammatoire aandoeningen in het UMCU (zie
aanvraagformulier).
Het kan heel moeilijk zijn om psoriasis pustulosa generalisata klinisch
en histologisch te onderscheiden van
AGEP (
acute
generalized exanthematous pustulosis). Er zijn wel anamnestische
gegevens die meer in de richting van psoriasis pustulosa wijzen zoals psoriasis
in de voorgeschiedenis of in de familie, het ontbreken van een verdacht geneesmiddel,
gewrichtsklachten, recidiverend beloop. En soms zijn er histologische kenmerken
die passen bij psoriasis. Of gelijktijdige aanwezigheid van psoriatiforme, erythematosquameuze
plaques.
Belangrijk voor de diagnose
AGEP
is dat er een relatie is met het starten van een nieuw geneesmiddel, en dat
het vanzelf over gaat na het staken daarvan, en niet recidiveert. Zumbusch kan
wel recidiveren. Maar ook een Zumbusch kan door geneesmiddelen worden veroorzaakt,
bijvoorbeeld door dupilumab (meerdere case-reports). In een recente studie wordt
op basis van histologisch onderzoek en een genetische analyse van afgenomen
biopten gesteld dat AGEP waarschijnlijk gewoon een drug-induced generalized
pustular psoriasis is (Benezeder T. et al., 2025). Recent zijn er meerdere consensusbijeenkomsten
geweest om goed te definiëren wat generalized pustular psoriasis eigenlijk is,
en hoe het behandeld zou kunnen worden.
Een typisch kenmerk van psoriasis
pustulosa generalisata is dat het zich centrifugaal uitbreidt, in een soort
golf verloopt: eerst erytheem dan multipele kleine steriele pusteltjes, die
vervolgens groter worden en conflueren, waarna de bovenliggende epidermis geheel
losligt (desquamatie), en vervolgens centraal genezing, waarbij een intacte
verhoornde epidermis tevoorschijn komt. Er zijn ook vaak annulaire laesies zichtbaar,
of grote plaques met alleen aan de randen velden van pusteltjes op erythemateuze
ondergrond, centrifugaal uitbreidend. Bij AGEP zijn de pusteltjes meestal in
de zelfde fase en gedissemineerd (of regionaal).
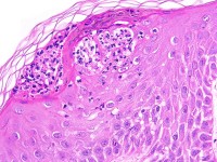
![Psoriasis pustulosa generalisata Zumbusch (click on photo to enlarge) [source: www.huidziekten.nl] Psoriasis pustulosa generalisata Zumbusch](../../../images/psoriasis-pustulosa-generalisata-13.jpg)
De 'golf' bij psoriasis pustulosa generalisata van von Zumbusch
|
Zumbusch: |
AGEP: |
| Kliniek |
- koorts, vermoeidheid - artritis, artralgia - oedeem
|
- koorts, malaise - self-limiting |
| Ontstaan |
- langzaam, dagen - centrifugale geleidelijke uitbreiding |
- snel, meestal binnen 48 uur - meestal alle pustels gelijktijdig
ontstaan
|
| Anamnese |
- psoriasis in voorgeschiedenis of in de familie - geen verdachte
medicatie |
- geen psoriasis in anamnese - begonnen enkele dagen na starten
van een nieuw geneesmiddel |
| Laesies |
- pustels op erythemateuze ondergrond - confluerend, desquamatie
- annulaire uitbreiding - annulaire laesies |
- pustels op erythemateuze ondergrond - confluerend, desquamatie
- gedissemineerd of regionaal - geen annulaire laesies - voorkeur
voor huidplooien |
| Lab |
BSE↑, CRP↑, leuko’s↑ met of zonder eo’s↑, trombo’s↑, AF↑,
GGT↑, ALAT↑, ASAT↑ Hb↓, albumine↓, ijzer↓ |
BSE↑, CRP↑, leuko’s↑ met of zonder eo’s↑, ALAT↑, ASAT↑ AF↑,
GGT↑ |
| PA |
- subcorneale of intraepidermale neutrofiele pustels
(Kogoj's spongiform pustules) - dicht neutrofiel infiltraat in
epidermis en dermis - acanthosis, spongiosis en exocytosis in
de epidermis - soms Munro's micro-abcesjes - soms een oppervlakkig
perivasculair mononucleair infiltraat - soms ook eosinofielen. |
- subcorneale of intraepidermale spongiforme pustels - oedeem
van de papillaire dermis - soms milde vasculitis - soms eosinofielen,
en/of focale necrose van keratinocyten |
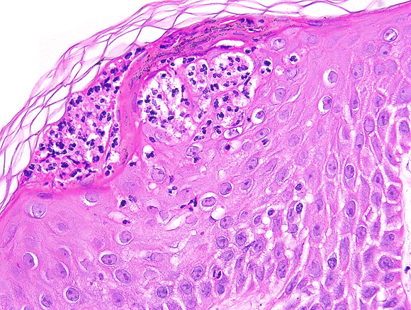
PA:Neutrofiele subcorneale pustels (Kogoj's spongiform
pustules), intraepidermale pustels, dicht neutrofiel epidermaal en dermaal,
infiltraat, vaak acanthose, spongiose en exocytose in de epidermis. Soms Munro's
micro-abcesjes, soms een oppervlakkig perivasculair mononucleair infiltraat.
Het kan moeilijk te onderscheiden zijn van AGEP. Bij AGEP wat vaker eosinofielen.
Bij Zumbusch zijn er soms plaatselijk wat psoriasis kenmerken te zien, parakeratose,
acanthose, hyperkeratose, verlengde retelijsten, smal stratum granulosum, gedilateerde
en gekronkelde capillairen in de papillaire dermis. Zie ook onder AGEP.
Therapie:In acute stadium opvangen met intensieve lokale
therapie (opname) met klasse III-IV corticosteroïden.

Alert zijn op secundaire infecties, sepsis bij
leukopenie, uitdroging, eiwitverlies,
elektrolytstoornissen en onderkoeling. In de meeste gevallen lukt het om de
acute aanval op te vangen met alleen maar lokale steroïden waarna een systemische
therapie het voor de langere termijn moet overnemen. Als eerste keus wordt daarvoor
vaak specifiek Neotigason (acitretine) genoemd, maar dat advies dateert nog
uit de tijd dat er nog geen biologicals waren.

Vanwege de zeldzaamheid zijn er weinig studies verricht. Andere systemische
opties zijn ciclosporine, infliximab, adalimumab, methotrexaat, of één van de
nieuwere biologicals. Uit ervaringen van de laatste jaren is gebleken dat de
veiligste aanpak intensieve lokale therapie is, en wachten met het starten van
immunosuppressiva tot de golven van pustels voorbij zijn. In afwachting van
de werking van het systemische middel de lokale steroïd behandeling continueren.
Van de nieuwere biologicals worden specifiek als effectief genoemd ixekizumab
(anti-IL-17), risankizumab (anti-IL23) en spesolimab (anti-IL-36). Spesolimab
(Spevigo) is zelfs geregistreerd voor psoriasis pustulosa generalisata.
R/ Dermovate zalf 1-2 dd plus indifferente therapie (b.v. paraffine-vaseline).

R/ Betnelan of Diprosone zalf 1-2 dd plus indifferente therapie.
Na de acute
fase overgaan op een systemische therapie geschikt voor ernstige psoriasis,
zolang als nodig is gecombineerd met lokale steroïden.
R/ Neotigason (acitretine)
1 mg/kg, geleidelijk afbouwen na 3 weken tot 0.5 mg/kg.

Werkt echter niet snel, en niet bij iedereen even effectief. Bij vrouwen in
vruchtbare leeftijd is isotretinoïne (0.5-1 mg/kg) een goed alternatief (kortere
teratogeniciteits periode, 1 maand i.p.v. 2 jaar).
R/ ciclosporine 3-5 mg/kg.

R/ infliximab 5 mg/kg op week 0, 2, 6 en daarna om de 8 weken.

R/ adalimumab 80-160 mg gevolgd door 40 mg om de week.

R/ Taltz (ixekizumab) 2 x 80 mg in week 0, 80 mg in week 2,4,6,8,10,12, daarna
80 mg per 4 weken.
R/ Spevigo (spesolimab) 450 mg per flacon van 7.5 ml,
900 mg iv éénmalig, zo nodig herhalen na 1 week.
R/ methotrexaat 15 mg per
week.

NB: methotrexaat kan een leukopenie veroorzaken of verergeren, niet starten
in de acute fase waarin de leukocyten massaal naar de epidermis migreren, en
de dosering langzaam opbouwen (5, 7.5, 10, 12.5, 15 mg per week).
R/ PUVA
therapie of Re-PUVA (Neotigason 0.2-0.5 mg/kg/dag, na een week PUVA therapie
er aan toevoegen) of UVB. In de acute fase verdragen de patiënten lichttherapie
niet goed, de confluerende pustels laten een dunne en hoornlaagloze epidermis
achter, plaatselijk erosief en gevoelig voor verbranding.
R/ calcipotriol
(vaak alleen nog leverbaar in combinatie met betamethason).

R/ etanercept, met de kanttekening dat etanercept langzamer werkt, waardoor
de andere TNF-remmers de voorkeur hebben bij psoriasis pustulosa generalisata.
R/ hydroxyureum.

R/ mycofenolaat mofetil of azathioprine.

R/ dapson 1 dd 100 mg.
R/ colchicine 0.5 mg 3-4 dd, matig effect.

R/ prednison 40-80 mg per dag. Alleen ter overbrugging naar andere lange termijn
therapie, berucht vanwege rebound fenomeen, waarbij psoriasis ernstiger terugkomt
dan voorheen.
Referenties
| 1. |
Lebwohl M, Heymann WR, Berth-Jones J, Coulson
I. Treatment of skin disease - Comprehensive therapeutic strategies.
Saunders - Elsevier, New York, Third edition 2010. |
| 2. |
Brenner M, Molin S, Ruebsam K, Weisenseel
P, Ruzicka T, Prinz JC. Generalized pustular psoriasis induced by
systemic glucocorticosteroids: four cases and recommendations for
treatment. Br J Dermatol 2009;161(4):964-966. |
| 3. |
Lee CS, Koo J. A review of acitretin, a systemic
retinoid for the treatment of psoriasis. Expert Opin Pharmacother
2005;6(10):1725-1734. |
| 4. |
Hazarika D. Generalized pustular psoriasis
of pregnancy successfully treated with cyclosporine. Indian J Dermatol
Venereol Leprol 2009;75(6):638. |
| 5. |
Megna M, Abategiovanni L, Annunziata A, Torta
G, Peduto T, Fabbrocini G, Lauro W. Generalized pustular psoriasis
rapidly and successfully treated with ixekizumab in a Caucasian
patient. Dermatol Ther 2022;35(5):e15382. |
| 6. |
Heyer S, Seiringer P, Eyerich S, Pilz AC,
Steimle-Grauer SA, Eyerich K, Biedermann T, Böhner A. Acute generalized
pustular psoriasis successfully treated with the IL-23p19 antibody
risankizumab. J Dtsch Dermatol Ges 2022 Sep 6. Epub ahead of print.
PMID: 36067528. |
| 7. |
Baum P, Visvanathan S, Garcet S, Roy J, Schmid
R, Bossert S, Lang B, Bachelez H, Bissonnette R, Thoma C, Krueger
JG. Pustular psoriasis: Molecular pathways and effects of spesolimab
in generalized pustular psoriasis. J Allergy Clin Immunol 2022;149(4):1402-1412. |
| 8. |
Puig L, Choon SE, Gottlieb AB, Marrakchi
S, Prinz JC, Romiti R, Tada Y, von Bredow D, Gooderham M. Generalized
pustular psoriasis: A global Delphi consensus on clinical course,
diagnosis, treatment goals and disease management. J Eur Acad Dermatol
Venereol 2023;37(4):737-752.
PDF |
| 9. |
Elewski B, Lebwohl MG. Management of Chronic
Generalized Pustular Psoriasis: A Review and Expert Opinion. J Psoriasis
Psoriatic Arthritis 2025 Feb 2:24755303251318976.
PDF |
| 10. |
Barker JN, Casanova E, Choon SE, Foley P,
Fujita H, Gonzalez C, Gooderham M, Marrakchi S, Puig L, Romiti R,
Thaçi D, Zheng M, Strober B; Partnering for Innovation and Excellence
in Rare Skin Diseases (PIONEERS®) Working Group and the DELPHI Panel.
Global Delphi consensus on treatment goals for generalized pustular
psoriasis. Br J Dermatol 2025;192(4):706-716.
PDF |
| 11. |
Canal-Garcia E, Del Alcázar-Viladomiu E,
Izu RM, Llamas-Velasco M, Alcántara-González J, Ballano-Ruiz A,
Gracia-Cazaña T, García-Sánchez M, Pérez-Gil A, Ratón-Nieto JA,
Rivera-Díaz R, Sahuquillo-Torralba A, Sanchis-Sánchez C, Carrascosa
JM. Spesolimab for the Treatment of Generalized Pustular Psoriasis
Flares: An Observational, Retrospective, and Multicenter Study of
Effectiveness and Safety in Real-World Clinical Practice. Int J
Dermatol 2025. Epub ahead of print. |
| 12. |
Marzano AV, Fargnoli MC, Gisondi P, Balato
A, Bianchi L, Calzavara-Pinton P, Chiricozzi A, Costanzo A, Megna
M, Micali G, Piaserico S, Prignano F. Literature review and expert
opinion on diagnosis and current management of generalized pustular
psoriasis. Expert Opin Biol Ther 2025;25(3):265-273.
PDF |
| 13. |
Choon SE, Foley PA, Asawanonda P, Fujita
H, Jo SJ, Shi YL, Theng C, Affandi AM, Bang CH, Frez ML, Huei HY,
Le Huu D, Kim TG, Morita A, Oon HH, Fernández-Peñas P, Rajatanavin
N, Robinson S, Selvarajah L, Tsai TF. Asia-Pacific consensus recommendations
on the management of generalized pustular psoriasis. J Dermatol
2024;51(12):1579-1595.
PDF |
| 14. |
Prajapati VH, Lynde CW, Gooderham MJ,
Hong HC, Kirchhof MG, Lansang P, Ringuet J, Turchin I, Vender R,
Yeung J, Papp KA. Considerations for defining and diagnosing
generalized pustular psoriasis. J Eur Acad Dermatol Venereol
2025;39(3):487-497.
PDF |
| 15. |
Puig L, Fujita H, Thaçi D, Zheng M, Hernandez
Daly AC, Leonardi C, Lebwohl MG, Barker J. Current Treatments for
Generalized Pustular Psoriasis: A Narrative Summary of a Systematic
Literature Search. Dermatol Ther (Heidelb) 2024;14(9):2331-2378.
PDF |
| 16. |
Su Z, Zeng YP. Dupilumab-Associated Psoriasis
and Psoriasiform Manifestations: A Scoping Review. Dermatology 2023;239(4):646-657. |
| 17. |
Liu L, Chen J, Tang K, Li F, Li S, Ding X.
Pustular Psoriasis in a Patient Treated with Dupilumab for Atopic
Dermatitis: A Case Report. Clin Cosmet Investig Dermatol 2023;16:2217-2221. |
| 18. |
Mojica-Ruiz R, Goldberg E, Montañez-Wiscovich
M, Motaparthi K. Pustular psoriasis after dupilumab: a case report
and systematic review. SKIN the Journal of Cutaneous Medicine 2024;8(5):1874-1877. |
| 19. |
Benezeder T, Bordag N, Woltsche J, Falkensteiner
K, Graier K, Schadelbauer E, Cerroni L, Meyersburg M, Mateeva V,
Reich A, Kołt-Kamińska M, Ratzinger G, Maul J-T, Meier-Schiesser
B, Alexander A. Navarini AA, Romana Ceovic R, Knut Prillinger K,
Maruska Marovt M, Lev Pavlovksy L, Szegedi A, Sanzharovskaja A,
Zach H, Wolf P. IL-36–driven pustulosis: Transcriptomic signatures
match between generalized pustular psoriasis (GPP) and acute generalized
exanthematous pustulosis (AGEP). Journal of Allergy and Clinical
Immunology 2025 (epub ahead of print).
PDF |
Author(s):dr. Jan R. Mekkes. Dermatologist, Amsterdam UMC.