DEMODICIOSIS / DEMODEX FOLLICULITIS (Demodex infectie) home ICD10: B88.0

De Demodex mijt is een obligate parasiet van de haarfollikel (Demodex folliculorum) en de talgklieren (Demodex brevis). Deze 0.3 mm grote mijt, behorend tot de spinachtigen, orde mijten en teken (Acarina), komt voor bij 80-95% van volwassenen en 100% van 70-plussers, bij pasgeborenen nog niet. De mijt leeft in de haarfollikels en voedt zich met epitheelcellen. De staart steekt soms uit de follikels, per follikel kunnen 2-6 mijten aanwezig zijn. Demodex brevis is wat korter (0.2 mm) en leeft in de talgklieren. De mijten zijn lichtschuw, maar 's nachts gaan ze aan de wandel en verplaatsen zich naar andere follikels. De levenscyclus is 16-24 dagen. De voorkeurslokalisaties (daar waar de meeste mijten worden aangetroffen) zijn het voorhoofd, wangen, neus en nasolabiaalplooien, behaarde hoofd, uitwendig oor, ooghaarfollikels, kliertjes van Meibom, borst, tepels. Ook op penis, mons veneris, nates.

Demodex folliculorum Demodex folliculorum Demodex brevis
Demodex folliculorum Demodex folliculorum Demodex brevis

Demodex folliculorum Demodex folliculorum
Demodex folliculorum Demodex folliculorum

Foto's: Dr. Michael Dryden, College of Veterinary Medicine, Kansas State University, Joel Mills, en Austin Whittall - Wikimedia (Creative Commons License 3.0 / 1.0).
EM-Foto's: Michael F Palopoli et al. en Alan R Walker - Wikimedia (Creative Commons License 4.0 / 3.0).

Video Demodex brevisDemodex brevis wandelt over de huid (video)


Omdat Demodex een normale bewoner van de haarfollikel is, is het altijd moeilijk om aannemelijk te maken dat ziektebeelden worden veroorzaakt door (een overgroei van) Demodex. Demodex folliculorum wordt genoemd als veroorzaker van demodex folliculitis, pityriasis folliculorum, 'rosacea-like demodicosis', demodex blepharitis, 'acute unilateral facial folliculitis', en 'papular pruritic eruption of AIDS', waarbij grote hoeveelheden mijten worden aangetroffen, soms in combinatie met een eosinofiele folliculitis.



DEMODEX FOLLICULITIS (Demodex infectie) home ICD10: B88.0

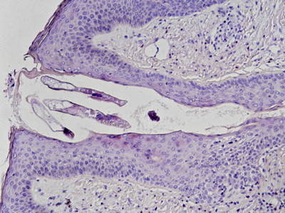
Folliculitis van het gelaat veroorzaakt door Demodex folliculorum.

Demodex folliculitis Demodex folliculitis Demodex folliculitis
Demodex folliculitis Demodex folliculitis Demodex folliculitis

Demodex folliculitis Demodex folliculitis Demodex folliculitis
Demodex folliculitis Demodex folliculitis Demodex folliculitis

DD: rosacea, dermatitis perioralis, eosinofiele folliculitis, acne vulgaris, pityrosporon folliculitis, folliculitis nno, milia.

Diagnostiek:
Inhoud comedo uitdrukken of haren uittrekken en onderzoeken op Demodex (in druppel NaCl onder dekglaasje). Of een stuk plakband gebruiken, omgekeerd bevestigen op objectglas en bekijken onder de microscoop. Of een biopt. De interpretatie is moeilijk omdat Demodex mijten normaal voorkomen op de huid van het gelaat. Als het er heel veel zijn, en het histologisch en klinisch beeld past niet goed bij een rosacea of bacteriële folliculitis, dan wordt de diagnose aannemelijk.

Demodex mijtDemodex mijt onder de microscoop


Therapie:
De grootste effectiviteit wordt bereikt met ivermectine.
R/ Stromectol (ivermectine) tab à 3 mg, 0.2 mg/kg eenmalig. 60 kg = 12 mg (4 tab), 75 kg = 15 mg (5 tab), 90 kg = 18 mg (6 tab).
R/ Soolantra (ivermectine 10 mg/g) crème (30g) 1 dd.
R/ permetrine 5% crème.
R/ metronidazol 0.75% gel.
R/ metronidazol 1% crème.
R/ metronidazol 2% vaselinelanettecrème.
R/ metronidazol 2-3 dd 1 tab à 250 mg gedurende 10 dagen.
R/ sulphur praecipitatum 5-10% in cremor lanette FNA.
R/ Benzylbenzoaat smeersel 25% FNA 1 dd gedurende enkele dagen.



DEMODEX BLEPHARITIS home ICD10: B88.0

Demodex folliculorum wordt ook verantwoordelijk gehouden voor een blepharitis. Klinisch ziet men gelige schilfertjes langs de haren van de oogharen. Dit wordt ook wel blepharitis squamosa genoemd. Ook hier is het niet helemaal zeker of Demodex de oorzaak is, immers ook deze follikels worden (bij 27% van de mensen) bevolkt door Demodex. De prevalentie van Demodex in blepharitis patiënten is onderzocht en was 28.8% (49/170), niet verschillend van de controle groep (26.7%, 88/330). Rond de helft van follikels met Demodex mijten kan een ontstekinginfiltraat worden gevonden. Desondanks heerst onder oogartsen de mening dat bij sommige patiënten bestrijding van de Demodex de klachten kan verminderen. Bestrijding is niet makkelijk. De oogarts kan de oogleden reinigen, zonodig na verdoving van de cornea met een anaestheticum. Daarnaast zijn er wat zelfzorgmiddelen en andere therapie opties (zie verder).

Therapie:
R/ dagelijks wimpers poetsen met een wattenstaafje gedrenkt in een milde (niet-bijtende) shampoo met tea tree olie en 1 keer per week aanstippen met wattenstaafje gedrenkt in tea-tree-olie.
R/ Cil Clar ooglid reiniger (drogist).
R/ Blephasol ooglid reiniger (drogist).
R/ Soolantra (ivermectine 10 mg/g) crème (30g) 1 dd.
R/ Stromectol (ivermectine) tab à 3 mg, 0.2 mg/kg eenmalig. 60 kg = 12 mg (4 tab), 75 kg = 15 mg (5 tab), 90 kg = 18 mg (6 tab).
R/ 1% kwikoxide oogheelkundige zalf (product uit de Verenigde Staten).


Referenties
1. Ayres S Jr, Ayres S III. Rosacea-like didemodicosis. Arch Dermatol 1961;162:1.
2. Purcell SM, et al. Acute unilateral facial folliculitis. J Amer Acad Dermatol 1986;15:1159.
3. Nara T, Katoh N, Inoue K, Yamada M, Arizono N, Kishimoto S. Eosinophilic folliculitis with a Demodex folliculorum infestation successfully treated with ivermectin in a man infected with human immunodeficiency virus. Clin Exp Dermatol 2009;34:e981-983.
4. Aquilina C, Viraben R, Sire S. Ivermectin-responsive Demodex infestation during human immunodeficiency virus infection. A case report and literature review. Dermatology 2002;205:394-397.
5. Kemal M, Sumer Z, Toker MI, Erdogan H, Topalkara A, Akbulut M. The prevalence of Demodex folliculorum in blepharitis patients and the normal population. Ophthalmic Epidemiology 2005;12:287-290.
6. Gao YY, Di Pascuale MA, Elizondo A, Tseng SC. Clinical treatment of ocular demodicosis by lid scrub with tea tree oil. Cornea 2007:26:136-143.


Author(s):
dr. Jan R. Mekkes. Dermatologist, Amsterdam UMC.

09-04-2025 (JRM) - www.skin-diseases.eu Terug naar homepagina



Diagnosis codes:
ICD10 B88.0 Overige acariasis: Demodex folliculitis
ICD10 B88.0 Other acariasis: Demodex folliculitis
SNOMED 240894003 Demodex folliculitis
DBC 4 spacer Dermatosen door micro-organismen

ICD10 H01.0 Blefaritis: blefaritis door Demodex
ICD10 H01.0 Blepharitis: Demodex blepharitis
SNOMED 403152000 Demodectic blepharitis
DBC 4 spacer Dermatosen door micro-organismen