Dyshidrotisch eczeem, ook wel
acrovesiculeus
eczeem genoemd is een eczeem aan de handen, soms aan de voeten
waarbij talloze kleine vesikeltjes ontstaan op basis van spongiose. De vesikels
kunnen samenvloeien tot grote bullae, dan wordt het
pompholyx
genoemd. Acrovesiculeus eczeem zit meestal palmair of tussen de vingers. Soms
zijn de vesikels niet meer te zien maar beschrijft de patiënt dat er blaasjes
gevuld met vocht tussen de vingers aanwezig waren, of zijn er nog pinpoint erythemateuze
restafwijkingen achtergebleven. De term acrovesiculeus eczeem is in Nederland
het meest gebruikt maar is internationaal totaal niet bekend. De meest gebruikte
internationale term is dyshidrotisch eczeem '
dyshidrotic eczema,
dyshidrotic dermatitis' of 'acute and recurrent vesicular
hand dermatitis', of
pompholyx (cheiro-pompholyx,
aan de handen, of podo-pompholyx / pedo-pompholyx, van de voeten). De naam dyshidrotisch
eczeem is eigenlijk een misnomer want er is geen relatie met de zweetklieren
(hoewel hyperhidrosis het beeld wel kan verergeren). De oorzaak is meestal niet
duidelijk. Een groot deel van de patiënten (circa de helft) is atopisch. Contactallergieën
komen ook vaak voor (bij circa 30%) vooral op nikkel. Nikkel allergie komt vaak
voor bij atopie en kan ook een rol spelen bij acrovesiculeus eczeem. Ook een
reactie op afstand
(ide reactie) op tinea
pedis (voetschimmel) wordt genoemd. In de zomer komt het vaker voor dan in de
winter.
Klinisch beeld:Kleine tot grote spongiotische
vesikels tot bullae, vooral op laterale zijden vingers beide handen, handpalmen
en voetzolen (zelden). Het kan acuut zijn, recidiverend, of chronisch. Gaat
gepaard met jeuk of branderigheid. Bij warm weer is het erger. Soms treedt secundaire
infectie op met als mogelijk complicatie erysipelas of lymfangitis. Bij chronische
varianten kan ook nageldystrofie optreden.
![Acrovesiculeus eczeem (dyshidrotisch eczeem, dyshidrotic eczema, dyshidrotic dermatitis) (click on photo to enlarge) [source: www.huidziekten.nl] Acrovesiculeus eczeem](../../../images/acrovesiculeus-eczeem-1z.jpg) |
![Acrovesiculeus eczeem (dyshidrotisch eczeem, dyshidrotic eczema, dyshidrotic dermatitis) (click on photo to enlarge) [source: www.huidziekten.nl] Acrovesiculeus eczeem](../../../images/acrovesiculeus-eczeem-2z.jpg) |
![Acrovesiculeus eczeem (dyshidrotisch eczeem, dyshidrotic eczema, dyshidrotic dermatitis) (click on photo to enlarge) [source: www.huidziekten.nl] Acrovesiculeus eczeem](../../../images/acrovesiculeus-eczeem-3z.jpg) |
|
acrovesiculeus eczeem |
acrovesiculeus eczeem |
acrovesiculeus eczeem |
![Acrovesiculeus eczeem (dyshidrotisch eczeem, dyshidrotic eczema, dyshidrotic dermatitis) (click on photo to enlarge) [source: www.huidziekten.nl] Acrovesiculeus eczeem](../../../images/acrovesiculeus-eczeem-4z.jpg) |
![Acrovesiculeus eczeem (dyshidrotisch eczeem, dyshidrotic eczema, dyshidrotic dermatitis) (click on photo to enlarge) [source: www.huidziekten.nl] Acrovesiculeus eczeem](../../../images/acrovesiculeus-eczeem-5z.jpg) |
![Acrovesiculeus eczeem (dyshidrotisch eczeem, dyshidrotic eczema, dyshidrotic dermatitis) (click on photo to enlarge) [source: www.huidziekten.nl] Acrovesiculeus eczeem](../../../images/acrovesiculeus-eczeem-6z.jpg) |
| pompholyx |
acrovesiculeus eczeem |
acrovesiculeus eczeem |
Oorzaak:De oorzaak is helaas vaak onduidelijk,
meestal wordt er geen oorzaak gevonden. In die gevallen dat er wel een oorzaak
is gaat het om:
- atopische constitutie (atopie)
- contactallergie (cosmetica,
nikkel, chroom, kobalt, perubalsem, rubber, parfum, planten)
- hyperergische
reactie (ide reactie) op (voet)mycosen (mykide) en misschien ook op bacteriën
(bacteride).
- reactie op antibiotica (penicilline, erytromycine)
- eczeemreactie
op contact met nikkel
- absorptie van via de voeding opgenomen metalen (nikkel)
wordt ook genoemd maar de evidence is niet heel sterk.
- bijwerking van IvIg
(intraveneuze immunoglobulinen)
- stress (als verergerende of uitlokkende
factor ?)
- filaggrine tekort (gekoppeld aan atopie)
- bij HIV na starten
HAART als immune reconstitution inflammatory syndrome
DD:
mycose (Candida of Trichophyton) met pustels,
pustulosis palmoplantaris,
psoriasis pustulosa,
acrodermatitis continua van Hallopeau,
impetigo bullosa,
juveniele plantaire dermatose,
atopisch eczeem nno,
keratosis exfoliativa
(
dyshidrosis lamellosa sicca),
dyshidrosiform pemphigoid, dyshidrosis-like variant van T-cell lymfoom, lineaire
IgA dermatose.
Diagnostiek:Meestal is het klinisch
beeld wel duidelijk en is er geen biopt nodig, alleen als er aan rariteiten
wordt gedacht (blaarziekte, T-cel lymfoom). Voor de dd met mycose van de hand
een
KOH preparaat maken van het dak
van een vesikel, eventueel de inhoud kweken op schimmels of bacteriën. Onderzoek
ook de huid tussen de tenen bij een acrovesiculeus handeczeem, en als daar tinea
pedis zit, behandel dit goed. Een contactallergologisch onderzoek uitvoeren
is zinvol bij ernstig en hardnekkig dyshidrotisch eczeem.
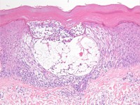
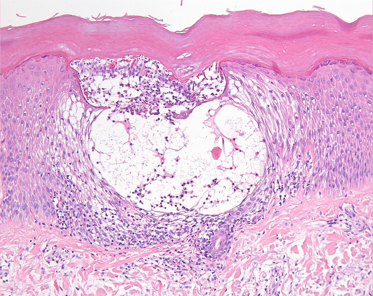
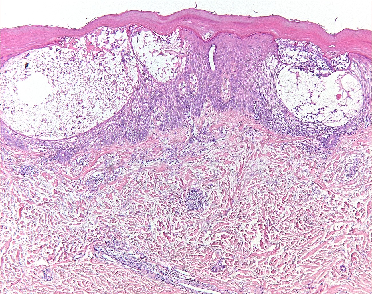
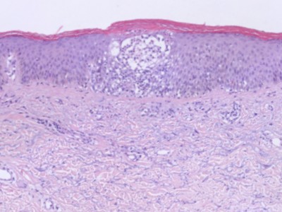
PA:
het histologisch beeld in de fase dat er klinisch vesikels zijn is dat van een
acuut eczeem met spongiose.
Therapie:Als er contactallergieën
een rol spelen, deze vermijden. Vooral nikkel is daarbij belangrijk omdat dat
een vaak voorkomende contactallergie is, en nikkel volop voorkomt in voorwerpen
die met de handen worden aangeraakt. Verder de handen goed vet houden en irriterende
stoffen vermijden. Een nikkel-arm of kobalt-arm dieet zou volgens sommige publicaties
enig effect hebben, volgens de meeste is het echter weinig effectief en niet
vol te houden. Blaren doorprikken, blaardak laten zitten (wel weghalen als het
infecteert). Bij acuut sterk nattend eczeem of grote blaren kan indrogende therapie
worden gegeven bestaande uit natte omslagen (gazen gedrenkt in kraanwater, of
aluminiumacetotartraat oplossing 1.2% FNA). Bij tekenen van infectie een antibioticum
starten gericht op stafylokokken en streptokokken.
R/ Indifferente therapie
(koelzalf, vaselinelanettecrème FNA, vaseline 20% in cetomacrogolcrème FNA,
etc.).
R/ Corticosteroïden klasse III of IV. Voor handpalmen en voetzolen
is een sterk steroïd nodig, vanwege de dikke huid.
R/ Overdag continu vet
houden met een licht steroïd in een vetcrème, bijvoorbeeld hydrocortison
vaselinecrème 1% FNA (cremor vaselini hydrocortisoni 1% FNA).
R/ Diprosalic
of 10% salicylzuur in Dermovate zalf (salicylzuur bevordert de penetratie).
R/ Protopic zalf (tacrolimus) of Elidel crème (pimecrolimus) als monotherapie,
of overdag in combinatie met een sterk steroïd of een teerzalf 's nachts.
R/ triamcinolon 0.1%, tetracycline 3% in oogzalfbasis.
R/ triamcinolon 0.1% in fusidine crème of zalf.
R/ triamcinolon 0.1%, solutio carbonis detergens (LCD) 10% in vaselinelanettecrème
FNA.
R/ koolteer oplossing (LCD) 10 of 20% in lanettezalf FNA, 's nachts
laten intrekken onder katoenen handschoenen.
R/ UVB 2-3 x per week (soms
verergert acrovesiculeus eczeem door UVB).
R/ Topicale PUVA therapie 2-3
x per week.
R/ UVA1-therapie.
R/ Iontopherese of Botox injecties als adjuvante
therapie bij hyperhidrosis component.
R/ prednisolon 30-40 mg, afbouwen naar
10-15 mg of naar 0 in dagen tot weken.
R/ methotrexaat 10-20 mg per week.
R/ azathioprine 1 dd 50-150 mg.
R/ mycofenolaat mofetil.
R/ ciclosporine 3-5 mg/kg in 2 doses.
R/ Toctino (alitretinoïne)
1 dd 10-30 mg. Vanwege de teratogeniciteit niet eenvoudig voor te schrijven.
R/ etanercept 2 x per week 25 mg (case reports, evidence gering).
R/ flucloxacilline 4 dd 500 mg of 3 dd 1000 mg bij tekenen van infectie.
Indrogende therapieën:R/ Zinkoxide smeersel FNA, daarover
katoenen handschoenen.
R/ hydrocortison 1% in zinkoxidesmeersel FNA of in
zinksulfaatvaselinecrème 0.5% FNA.
R/ Vochtige omslagen (gazen gedrenkt in koud kraanwater), gefixeerd met een
hydrofiel verband.
R/ Aluminiumacetotartraat oplossing 12% FNA (Solutio aluminii
acetotartarici 12% FNA), verdunnen 1:10 met water voor een 1.2 oplossing die
gebruikt kan worden in vochtige omslagen. Ook kaliumpermanganaat (KMNO4 1:4000)
kan worden gebruikt (maar vanwege de paarse verkleuringen wordt dat niet zo
vaak meer toegepast), of triamcinolonsalicylzuuroplossing FNA (solutio triamcinoloni
salicylici FNA)
Referenties
| 1. |
Petersen CS, Menne T. Cyclosporin A responsive
chronic severe vesicular hand eczema. Acta Derm Venereol 1992;72(6):436-437. |
| 2. |
Egan CA, Rallis TM, Meadows KP, Krueger GG.
Low-dose oral methotrexate treatment for recalcitrant palmoplantar
pompholyx. J Am Acad Dermatol 1999;40(4):612-614. |
| 3. |
Polderman MC, Govaert JC, le Cessie S, Pavel
S. A double-blind placebo-controlled trial of UVA-1 in the treatment
of dyshidrotic eczema. Clin Exp Dermatol 2003;28(6):584-587. |
| 4. |
Wollina U, Abdel Naser MB. Pharmacotherapy
of pompholyx. Expert Opin Pharmacother 2004;5(7):1517-1522. |
| 5. |
Ruzicka T, Larsen FG, Galewicz D, et al.
Oral alitretinoin (9-cis-retinoic acid) therapy for chronic hand
dermatitis in patients refractory to standard therapy: results of
a randomized, double-blind, placebo-controlled, multicenter trial.
Arch Dermatol 2004;140(12):1453-1459. |
| 6. |
Schurmeyer-Horst F, Luger TA, Bohm M. Long-term
efficacy of occlusive therapy with topical pimecrolimus in severe
dyshidrosiform hand and foot eczema. Dermatology 2007;214(1):99-100. |
| 7. |
Guillet MH, Wierzbicka E, Guillet S, Dagregorio
G, Guillet G. A 3-year causative study of pompholyx in 120 patients.
Arch Dermatol 2007;143(12):1504-1508. |
| 8. |
Kontochristopoulos G, Gregoriou S, Agiasofitou
E, Nikolakis G, Rigopoulos D, Katsambas A. Letter: regression of
relapsing dyshidrotic eczema after treatment of concomitant hyperhidrosis
with botulinum toxin-A. Dermatol Surg 2007;33(10):1289-1290. |
| 9. |
Bittencourt AL, Mota K, Oliveira RF, Farré
L. A dyshidrosis-like variant of adult T-cell leukemia/lymphoma
with clinicopathological aspects of mycosis fungoides. A case report.
Am J Dermatopathol 2009;31(8):834-837. |
| 10. |
Veien NK. Bullous pemphigoid masquerading
as recurrent vesicular hand eczema. Acta Derm Venereol 2010;90(1):4-5. |
| 11. |
Gerstenblith MR, Antony AK, Junkins-Hopkins
JM, Abuav R. Pompholyx and eczematous reactions associated with
intravenous immunoglobulin therapy. J Am Acad Dermatol 2012;66(2):312-316. |
| 12. |
Molin S, Diepgen TL, Ruzicka T, Prinz JC.
Diagnosing chronic hand eczema by an algorithm: a tool for classification
in clinical practice. Clin Exp Dermatol 2011;36(6):595-601. |