ACUTE GENERALIZED (EXANTHEMATOUS) PUSTULOSIS (AGP, AGEP) home ICD10: L27.0

Een AGEP (acute gegeneraliseerde exanthemateuze pustulosis) is een acute rash, gedissemineerd, vooral op de romp, soms met voorkeur voor huidplooien en/of het gezicht, bestaande uit talrijke niet-folliculaire steriele enkele millimeters grote pustels, omgeven door een kleine erythemateuze halo, of op een basis van erytheem. Op de hand- en voetruggen dicht bijeen gegroepeerd, op de romp meer diffuus verspreid. Niet op handpalmen of voetzolen. Soms ook milde mucosale betrokkenheid (lip of wangslijmvlies). Het kan jeuken. Soms ook systemische klachten (steatosis, hepatomegalie, nierfunctiestoornissen, longbetrokkenheid, multi organ failure, diffuse intravasale stolling). De reactie kan ook alleen gelokaliseerd voorkomen, vaak in het gelaat. Dit wordt ook wel ALEP genoemd (acute localized exanthematous pustulosis). Vaak is er ook koorts, malaise en leukocytose. Soms verhoogde leverenzymen (ASAT, ALAT of AF, GGT), verhoogd CRP.

AGEP, acute gegeneraliseerde exanthemateuze pustulosis AGEP, acute gegeneraliseerde exanthemateuze pustulosis AGEP, acute gegeneraliseerde exanthemateuze pustulosis
AGEP AGEP AGEP

AGEP, acute gegeneraliseerde exanthemateuze pustulosis AGEP, acute gegeneraliseerde exanthemateuze pustulosis AGEP, acute gegeneraliseerde exanthemateuze pustulosis
AGEP AGEP AGEP

AGEP, acute gegeneraliseerde exanthemateuze pustulosis ALEP, acute localized exanthematous pustulosis ALEP, acute localized exanthematous pustulosis
AGEP ALEP ALEP



AGEP wordt veroorzaakt door geneesmiddelen, m.n. antibiotica (β-lactam groep, amoxycilline, ampicilline, macroliden, quinolonen, tetracyclinen, sulfonamiden, pristinamycine, e.a.), hydroxychloroquine en chloroquine, carbamazepine, nystatine, terbinafine, isoniazide, furosemide, diltiazem, fluconazol en NSAID's. De reactie treedt snel op (acute), meestal binnen 48 uur, met een uitloop naar 7-10 dagen na starten. Maar er zijn ook case-reports over een trager beloop. Na het staken van het verdachte middel treedt meestal binnen enkele dagen verbetering op, en het is self-limiting binnen 2 weken.

Een AGEP kan mogelijk ook, in zeldzame gevallen, door virale of bacteriële infecties worden veroorzaakt (genoemd zijn enterovirussen, adenovirussen, parvovirus B19, EBV, CMV, Hepatitis B, Coxsackie, Chlamydia pneumoniae, Mycoplasma pneumoniae). Helemaal zeker is dit niet, het kan ook zijn dat de patiënten rond hun infectie geneesmiddelen hebben gebruikt, vooral antibiotica of NSAIDs, die de AGEP hebben veroorzaakt.

Een AGEP is een T-cel gemedieerde reactie. Door het geneesmiddel geactiveerde CD4 en CD8 T-cellen veroorzaken apoptose van keratinocyten en vesikelvorming, en het vrijkomen van IL-8, een krachtig neutrofiel cytokine. Het zijn voornamelijk CD4 T-cellen met een Th1 type cytokinen profiel, met verhoogd interferon en GMCSF (granulocyte/macrophage colony-stimulating factor). Soms een Th2 profiel met verhoogd IL-4 en IL-5, IL-5 kan eosinofilie in het bloed veroorzaken.


Medicatie die een AGEP kan uitlokken:
Antibiotica (amoxicilline, ampicilline, oxacilline, piperacilline, tazobactam, dicloxacilline, faropenem, clavulaanzuur, cefixim, ceftriaxon, cefotaxim, cefepim, ciprofloxacine, tosufloxacine, daptomycine, telavancine, vancomycine, clindamycine, azithromycine, sulfonamiden, o.a. trimethoprim-sulfamethoxazol, tigecycline, metronidazol, pristinamycine)
Antivirale middelen (ritonavir, aciclovir, remdesivir, favipiravir)
Antimycotica (terbinafine, fluconazol, miconazol orale gel, nystatine)
Antiparasitaire middelen (praziquantel, benznidazol, hydroxychloroquine, atovaquone-proguanil)
Chemotherapie (bendamustine, docetaxel, gemcitabine, mycophenolate mofetil, paclitaxel)
Targeted therapy (cetuximab, erlotinib, sorafenib, vismodegib, pembrolizumab)
Biologicals (ipilimumab, nivolumab, rituximab, atezolizumab, dupilumab)
Anticoagulantia (apixaban, enoxaparin, clopidogrel, ticagrelor)
NSAIDs (celecoxib, ibuprofen, lornoxicam, piroxicam)
Overige (amiodaron, propafenon, levetiracetam, valproic acid, diltiazem, hydroxyzine, ranolazine, cariprazine, haloperidol, olanzapine, quetiapine, gliclazide, linagliptinletrozole, mifepriston, codeine, dextromethorphan, alendronaat, cannabidiol, finasteride, isotretinoïne, methimazol, mianserine, midodrine, pantoprazol, paracetamol, varenicline)

Bron: Parisi R, et al. Am J Clin Dermatol 2023;24(4):557-575. Sommige genoemde geneesmiddelen zijn niet in Nederland geregistreerd.


DD: psoriasis pustulosis generalisata, viraal exantheem, pustuleuze toxicodermie, mitomycin C induced pustular eruption, Sneddon-Wilkinson disease, folliculitis, stafyloccen pustulosis / pyodermie, staphylococcal scalded skin syndrome, gegeneraliseerde herpes simplex, Sweet syndroom, DRESS, SJS/TEN.

Een psoriasis pustulosa generalisata (ziekte van von Zumbusch) kan erg lijken op AGEP, zowel klinisch als histologisch is het onderscheid soms niet te maken. Er zijn wel anamnestische gegevens die meer in de richting van psoriasis pustulosa wijzen zoals psoriasis in de voorgeschiedenis of in de familie, het ontbreken van een verdacht geneesmiddel, gewrichtsklachten, recidiverend beloop. Er is een scoresysteem gepubliceerd dat daar op is gebaseerd.
Belangrijk voor de diagnose AGEP is dat er een relatie is met het starten van een nieuw geneesmiddel, en dat het vanzelf over gaat na het staken daarvan, en niet recidiveert. Zumbusch kan wel recidiveren. In zeldzame gevallen kan ook een Zumbusch door geneesmiddelen worden veroorzaakt, bijvoorbeeld door dupilumab (meerdere case-reports).
Een typisch kenmerk van psoriasis pustulosa generalisata is dat het zich centrifugaal uitbreidt, in een soort golf verloopt: eerst erytheem dan multipele kleine steriele pusteltjes, die vervolgens conflueren, waarna de bovenliggende epidermis geheel losligt (desquamatie), en vervolgens centraal genezing, waarbij een intacte verhoornde epidermis tevoorschijn komt. Er zijn ook vaak annulaire laesies zichtbaar, of grote plaques met alleen aan de randen velden van pusteltjes op erythemateuze ondergrond, centrifugaal uitbreidend. Bij AGEP zijn de pusteltjes meestal in de zelfde fase en gedissemineerd (of regionaal).

Psoriasis pustulosa generalisata Zumbusch
De 'golf' bij psoriasis pustulosa generalisata van von Zumbusch


Zumbusch: AGEP:
Kliniek - koorts, vermoeidheid
- artritis, artralgia
- oedeem
- koorts, malaise
- self-limiting
Ontstaan - langzaam, dagen
- centrifugale geleidelijke uitbreiding
- snel, meestal binnen 48 uur
- meestal alle pustels gelijktijdig ontstaan
Anamnese - psoriasis in voorgeschiedenis of in de familie
- geen verdachte medicatie
- geen psoriasis in anamnese
- begonnen enkele dagen na starten van een nieuw geneesmiddel
Laesies - pustels op erythemateuze ondergrond
- confluerend, desquamatie
- annulaire uitbreiding
- annulaire laesies
- pustels op erythemateuze ondergrond
- confluerend, desquamatie
- gedissemineerd of regionaal
- geen annulaire laesies
- voorkeur voor huidplooien
Lab BSE↑, CRP↑, leuko’s↑ met of zonder eo’s↑, trombo’s↑,
AF↑, GGT↑, ALAT↑, ASAT↑
Hb↓, albumine↓, ijzer↓
BSE↑, CRP↑, leuko’s↑ met of zonder eo’s↑,
ALAT↑, ASAT↑ AF↑, GGT↑
PA - subcorneale of intraepidermale neutrofiele pustels
  (Kogoj's spongiform pustules)
- dicht neutrofiel infiltraat in epidermis en dermis
- acanthosis, spongiosis en exocytosis in de epidermis
- soms Munro's micro-abcesjes
- soms een oppervlakkig perivasculair mononucleair infiltraat
- soms ook eosinofielen.
- subcorneale of intraepidermale spongiforme pustels
- oedeem van de papillaire dermis
- soms milde vasculitis
- soms eosinofielen, en/of focale necrose van keratinocyten
   

Diagnostiek:
Biopt, zo nodig kweken op bacteriën en/of schimmels voor de DD. BSE, CRP, Hb, Leuko’s, leukodiff. Bij circa 30% is er eosinofilie. ASAT, ALAT, AF, GGT. Eventueel serologisch onderzoek naar virale infecties. Eventueel ECA (plakproef) met het verdachte geneesmiddel. Er zijn criteria opgesteld voor het stellen van de diagnose, en voor het maken van het onderscheid met psoriasis pustulosa generalisata (zie tabellen onderin deze tekst).

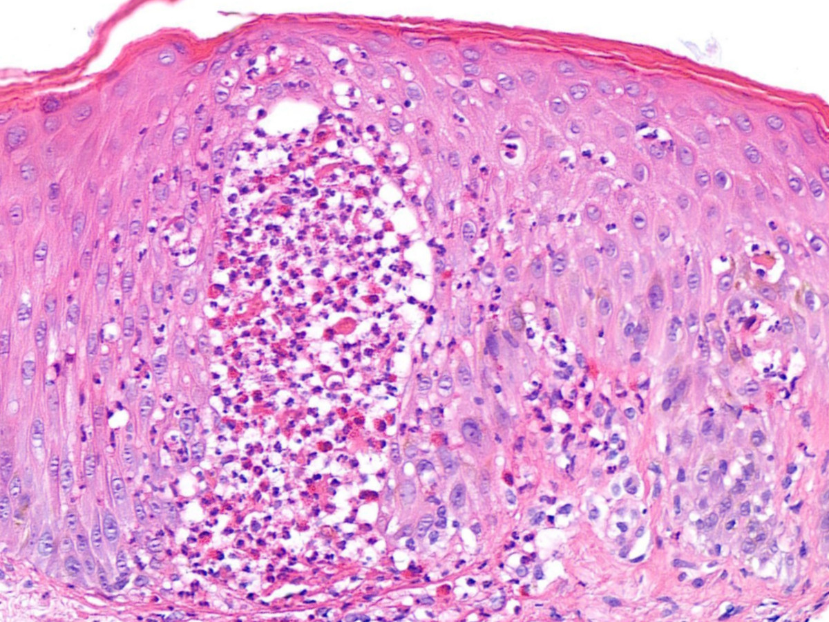
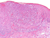
Histologie AGEP:
Subcorneale of intraepidermale spongiforme pustel, oedeem van de papillaire dermis, soms milde vasculitis, infiltraat van leukocyten en eosinofielen, en/of focale necrose van keratinocyten. De pustels zitten meestal hoog in de epidermis, zijn groot en bevatten eosinofielen.

Histologie AGEP, acute gegeneraliseerde exanthemateuze pustulosis Histologie AGEP, acute gegeneraliseerde exanthemateuze pustulosis Histologie AGEP, acute gegeneraliseerde exanthemateuze pustulosis
PA AGEP PA AGEP PA AGEP

PA-foto's: dr. S. Roshani, Afdeling Pathologie, Dermatologie AMC


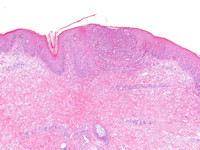
Histologie Zumbusch:
Subcorneale of intraepidermale neutrofiele pustels (Kogoj's spongiform pustules). Dicht neutrofiel infiltraat in epidermis en dermis. Acanthosis, spongiosis en exocytosis in de epidermis. Soms Munro's micro-abcesjes, soms een oppervlakkig perivasculair mononucleair infiltraat. Ook bij Zumbusch kunnen eosinofielen voorkomen, dat maakt het onderscheid ook histologisch moeilijk. Soms gekronkelde gedilateerde capillairen.

Therapie:
Verdacht geneesmiddel opsporen en elimineren. Gaat meestal vanzelf over binnen 2 weken.
R/ zo nodig lokale klasse II-IV steroid (triamcinoloncrème, Topicorte lotion, Dermovate crème) als symptomatische behandeling. In ernstige gevallen, met zekerheid veroorzaakt door geneesmiddelen, een korte kuur prednison (40-60 mg, snel afbouwen). Ook ciclosporine is een optie.


EUROSCAR criteria voor AGEP:
Morphology
Pustules
  Typical
  Compatible with disease
  Insufficient
Erythema
  Typical
  Compatible with disease
  Insufficient


+2
+1
+0

+2
+1
+0
Distribution/pattern
  Typical
  Compatible with disease
  Insufficient
Post-pustular desquamation
  Yes
  No/insufficient

+2
+1
+0

+1
+0
Course
Mucosal involvement
  Yes
  No
Acute onset within 10 days of exposure
  Yes
  No
Resolution within 15 days
  Yes
  No
Fever (temperature ≥ 38°C)
  Yes
  No
PMNs > 7000/mm³
  Yes
  No


-2
+0

+0
-2

+0
-4

+1
+0

+1
+0
Histology
Consistent with other disease
Not representative/no histology
Exocytosis of PMNs
Subcorneal and/or intraepidermal non-spongiform
or NOS pustule(s) with or without papillary edema
Spongiform subcorneal and/or intraepidermal
pustule(s) with papillary edema

-10
+0
+1

+2

+3
≤0    = not AGEP
1-4   = possible AGEP
5-7   = probable AGEP
8-12 = definitive AGEP

Bron: Sidoroff A, et al. J Cutan Pathol 2001;28:113-119.


Psoriasis pustulosa vs AGEP:
Arthralgia
  Yes
  No
History of psoriasis or presence of
psoriasiform plaques/patches
  Yes
  No
Recurrence or history of pustular disease
  Yes
  No
History of arthritis
  Yes
  No
Presence of lower extremity purpura
  Yes
  No
Presence of causative drugs
  Yes
  No

2
0


2
0

1
0

1
0

-2
0

-2
0
Score <0: AGEP
Score ≥0 Zumbusch

Bron: Yamanaka-Takaichi M, et al. J Am Acad Dermatol 2024;90(6):1289-1291.


Referenties
1. Sidoroff A, Halevy S, Bavinck JN, Vaillant L, Roujeau JC. Acute generalized exanthematous pustulosis (AGEP) - a clinical reaction pattern. J Cutan Pathol 2001;28:113-119. PDF
2. Mysore V, Ghuloom A. A case of recurrent acute generalized exanthematous pustulosis due to beta-lactam antibiotics: a case report. J Dermatol Treat 2003;14:54-56.
3. Szatkowski J, Schwartz RA. Acute generalized exanthematous pustulosis (AGEP): A review and update. J Am Acad Dermatol 2015;73(5):843-848. PDF
4. Puig L, Choon SE, Gottlieb AB, Marrakchi S, Prinz JC, Romiti R, Tada Y, von Bredow D, Gooderham M. Generalized pustular psoriasis: A global Delphi consensus on clinical course, diagnosis, treatment goals and disease management. J Eur Acad Dermatol Venereol 2023;37(4):737-752.
5. Parisi R, Shah H, Navarini AA, Muehleisen B, Ziv M, Shear NH, Dodiuk-Gad RP. Acute Generalized Exanthematous Pustulosis: Clinical Features, Differential Diagnosis, and Management. Am J Clin Dermatol 2023;24(4):557-575. PDF
6. Yamanaka-Takaichi M, Watanabe M, Comfere NI, Sokumbi O, Akpala CO, Todd A, Branch EL, Mangold AR, Hiroyasu S, Tsuruta D, Alavi A. Differentiating generalized pustular psoriasis from acute generalized exanthematous pustulosis. J Am Acad Dermatol 2024;90(6):1289-1291. PDF
7. Wu L, Ali K, Qiu Y, Li M, Da J. Dupilumab-induced Acute Generalized Exanthematous Pustulosis in a 17-year-old Female Chinese Patient with Atopic Dermatitis. Acta Derm Venereol 2022;102:adv00743. PDF


Author(s):
dr. Jan R. Mekkes. Dermatologist, Amsterdam UMC.

15-05-2025 (JRM / SRO) - www.skin-diseases.eu Terug naar homepagina



Diagnosis codes:
ICD10 L27.0 Gegeneraliseerde huideruptie door geneesmiddelen: AGEP
ICD10 L27.0 Generalized skin eruption due to drugs and medicaments taken internally: AGEP
ICD11 EH67.0 Drug-induced acute generalised exanthematous pustulosis
SNOMED 702617007 Acute generalized exanthematous pustulosis
DBC 10 Geneesmiddeleneruptie