Acrodermatitis continua van Hallopeau is een zeldzame
chronische en progressieve dermatose gekenmerkt door steriele pustels en atrofie
aan de acra. Begint met enkele kleine pustels aan de top van 1-2 vingers of
tenen, later confluerend. Na doorbraak v.d. pustels resteert een rode, glanzende,
atrofische huid met daarin nieuwe pustels, of gebieden met crustae, hyperkeratose
en fissuren. Veroorzaakt nageldestructie, soms leidend tot anonychia, en atrofie
van de distale phalanx (X-hand: atrofie distale phalanx, soms arthropathie DIP-gewrichten).
Deze atrofie maakt de differentiële diagnose met psoriasis pustulosa palmoplantaris,
acrovesiculeus eczeem, en contacteczema met secundaire infectie mogelijk. Kan
jaren acraal gelokaliseerd blijven maar ook uitbreiden naar proximaal (hand,
strekzijde onderarm, voet). Soms laesies op rest van het lichaam, niet te onderscheiden
van psoriasis pustulosa von Zumbusch, met koorts, leukocytose, malaise, verhoogde
BSE. Wordt mede daarom door sommigen beschouwd als een variant van psoriasis.
![Acrodermatitis continua van Hallopeau (click on photo to enlarge) [source: www.huidziekten.nl] Acrodermatitis continua van Hallopeau](../../../images/acrodermatitis-continua-hallopeau-1z.jpg) |
![Acrodermatitis continua van Hallopeau (click on photo to enlarge) [source: www.huidziekten.nl] Acrodermatitis continua van Hallopeau](../../../images/acrodermatitis-continua-hallopeau-2z.jpg) |
![Acrodermatitis continua van Hallopeau (click on photo to enlarge) [source: www.huidziekten.nl] Acrodermatitis continua van Hallopeau](../../../images/acrodermatitis-continua-hallopeau-3z.jpg) |
| acrodermatitis
continua |
acrodermatitis
continua |
acrodermatitis
continua |
![Acrodermatitis continua van Hallopeau (click on photo to enlarge) [source: www.huidziekten.nl] Acrodermatitis continua van Hallopeau](../../../images/acrodermatitis-continua-hallopeau-4z.jpg) |
![Acrodermatitis continua van Hallopeau (click on photo to enlarge) [source: www.huidziekten.nl] Acrodermatitis continua van Hallopeau](../../../images/acrodermatitis-continua-hallopeau-5z.jpg) |
![Acrodermatitis continua van Hallopeau (click on photo to enlarge) [source: www.huidziekten.nl] Acrodermatitis continua van Hallopeau](../../../images/acrodermatitis-continua-hallopeau-6z.jpg) |
| acrodermatitis
continua |
acrodermatitis
continua |
acrodermatitis
continua |
![Acrodermatitis continua van Hallopeau (click on photo to enlarge) [source: www.huidziekten.nl] Acrodermatitis continua van Hallopeau](../../../images/acrodermatitis-continua-hallopeau-7z.jpg) |
![Acrodermatitis continua van Hallopeau (click on photo to enlarge) [source: www.huidziekten.nl] Acrodermatitis continua van Hallopeau](../../../images/acrodermatitis-continua-hallopeau-8z.jpg) |
![Acrodermatitis continua van Hallopeau (click on photo to enlarge) [source: www.huidziekten.nl] Acrodermatitis continua van Hallopeau](../../../images/acrodermatitis-continua-hallopeau-9z.jpg) |
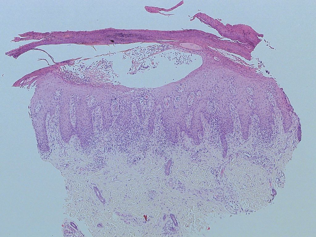
| acrodermatitis
continua |
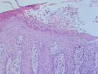
Hallopeau
(PA) |
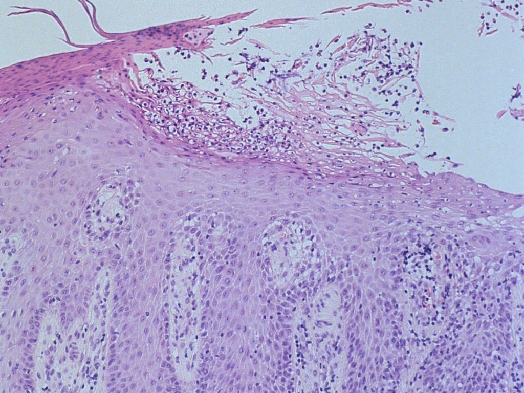
Hallopeau
(PA) |
DD: psoriasis,
pustulosis palmoplantaris,
acrovesiculeus eczeem,
en contacteczema met secundaire infectie, Candida, tinea unguium,
herpes,
Hand-Foot-Mouth disease,
acrodermatitis enteropathica,
plaveiselcelcarcinoom.Zie ook onder
nagelafwijkingen.
Therapie:Therapieresistent, recidiveert na staken van
therapie.
R/ corticosteroïden graad III-IV, onder occlusie (cave verergering
van de atrofie).
R/ calcipotriol / betamethason zalf 2 dd.
R/ cignoline
(ditranol 0.05-3% crème of zalf FNA): 15-30 min short-contact, eventueel in
combinatie met lokale steroiden. De meest gebruikelijke concentraties zijn 0.1-
0.3 (of 0.25) - 0.5 en 1%; stapsgewijs verhogen.
R/ teerzalf, bijvoorbeeld
pix liquida 10% in zinkzalf FNA, of koolteer oplossing (LCD) 20% in vaselinelanettecrème
FNA, of koolteer oplossing (LCD) 20% in lanettezalf FNA.
R/ PUVA therapie,
topicale PUVA (werkt ook als onderhoudsbehandeling), re-PUVA.
R/ UVB lokaal
met handen / voeten paneel.
R/ Neotigason (acitretine) 50 mg (25-75 mg) per
dag.
R/ tetracycline 3 dd 250 mg (beïnvloeding leukocyten motiliteit), eventueel
+ klasse III lokaal steroid..
R/ methotrexaat, ciclosporine 3-5 mg/kg, prednison
40-60 mg, kortdurend (gevaar voor rebound), fumaarzuur.
R/ Lampren (clofazimine)
200-300 mg dd, Dapson 50-150 mg dd, colchicine 2-3 dd 0.5 mg.
R/ Biologicals
(adalimumab, etanercept, infliximab, ustekinumab).
R/ plastic handschoenen
of afgeknipte vingers daarvan voor occlusie, katoenen verbandhandschoenen, vingerverband.
Author(s):dr. Jan R. Mekkes. Dermatologist, Amsterdam UMC.