Een dermatofibroom (synoniemen: benigne fibreus histiocytoma, histiocytoom,
dermatofibroma lenticulare, fibroma durum, nodulus (sub-)cutaneus) is een langzaam
groeiende benigne subepidermale harde nodulus (nodus), 0.5-1.5 cm groot. De
overliggende huid kan diverse kleuren hebben (bruin, grijs, zwart, blauw, geel,
rood, paars, huidkleurig). Meestal verzonken, als induratie palpabel onder de
huid, soms koepelvormig boven de huid verheven. Bij het pakken van een plooi
rond het dermatofibroom wordt een deuk zichtbaar (
dimple
sign genoemd); de epidermis wordt mee naar beneden getrokken. Dermatofibromata
komen vaak voor bij volwassenen (20-50 jr), meer bij vrouwen dan bij mannen.
Vooral aan de onderbenen, maar het kan in principe overal voorkomen. Meestal
solitair of enkele, soms multipel. Veroorzaakt weinig klachten, soms pijn of
jeuk. Een enkele keer (zeer zeldzaam) is doorgroei naar de diepte of metastasering
beschreven. Dit betrof diepe atypische varianten.
![Dermatofibroom (click on photo to enlarge) [source: www.huidziekten.nl] Dermatofibroom](../../../images/dermatofibroom-1z.jpg) |
![Dermatofibroom (click on photo to enlarge) [source: www.huidziekten.nl] Dermatofibroom](../../../images/dermatofibroom-2z.jpg) |
![Dermatofibroom (click on photo to enlarge) [source: www.huidziekten.nl] Dermatofibroom](../../../images/dermatofibroom-3z.jpg) |
| dermatofibroma |
dermatofibroma |
dermatofibroma |
![Dermatofibroom (click on photo to enlarge) [source: www.huidziekten.nl] Dermatofibroom](../../../images/dermatofibroom-4z.jpg) |
![Dermatofibroom (click on photo to enlarge) [source: www.mydermpath.com] Dermatofibroom](../../../images/dermatofibroom-5z.jpg) |
![Dermatofibroom (click on photo to enlarge) [source: www.huidziekten.nl] Dermatofibroom](../../../images/dermatofibroom-6z.jpg) |
| dermatofibroma |
dimple
sign |
dermatofibroma |
![Dermatofibroom (click on photo to enlarge) [source: www.huidziekten.nl] Dermatofibroom](../../../images/dermatofibroom-7z.jpg) |
![Dermatofibroom (click on photo to enlarge) [source: www.huidziekten.nl] Dermatofibroom](../../../images/dermatofibroom-8z.jpg) |
![Dermatofibroom (click on photo to enlarge) [source: www.huidziekten.nl] Dermatofibroom](../../../images/dermatofibroom-9z.jpg) |
| dermatofibroma |
dermatofibroma |
dermatofibroma |
De oorzaak is niet bekend. In het verleden werd een reactie op een insectensteek
genoemd, maar niemand heeft dit kunnen aantonen. Het kan ook een op zich zelf
staande nieuwvorming zijn. Histologisch gaat het om een opeenhoping van fibroblasten.
De multipele (eruptieve) varianten worden gezien bij patiënten met een gestoorde
afweer of auto-immuunziekten (HIV, myeloproliferatieve aandoeningen, SLE e.a.
auto-immuunziekten, immunosuppressiva), en bij het
Down syndroom. Het
benigne fibreuze histiocytoom kan behalve in de huid (dermatofibroom) ook in
botten en in andere organen voorkomen.
DD:Dermale
naevus,
blue nevus,
Spitz naevus,
keratoacanthoom,
plaveiselcelcarcinoom,
basaalcelcarcinoom,
melanoom,
Merkelceltumor,
pilomatrixoma,
atypisch fibroxanthoom,
dermatofibrosarcoma protuberans,
epithelioid fibreus
histiocytoom,
epithelioid sarcoma,
cutane inflammatoire
myofibroblastaire tumor,
prurigo
nodularis, bij pijn DD
pijnlijke subcutane
tumor (LEND AN EGG groep:
leiomyoom
en
angioleiomyoom,
eccrien spiradenoma,
neurinoom,
dermatofibroom,
angiolipoom,
neurilemmoom, endometrioom,
glomus tumor,
granular cell tumor),
desmoplastisch trichoepithelioma,
targetoid hemosiderotic haemangioma (
hobnail
hemangioma).
Diagnostiek:De DD van een dermatofibroom
is groot. Maar meestal is de diagnose op het klinisch beeld te stellen (kleur,
consistentie, dimple sign, solitair, benen, langdurig aanwezig, geen of zeer
trage veranderingen). Er zijn dermatoscopische kenmerken gedefinieerd. Bij de
verheven varianten kan de DD met dermatofibrosarcoma protuberans en de andere
tumoren lastig zijn. Bij twijfel een biopt afnemen; laesie in zijn geheel excideren
en insturen.
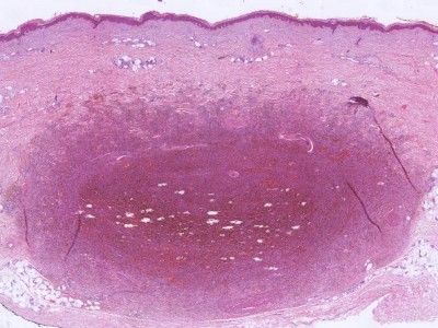
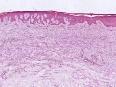
PA:Onder een acanthotische epidermis ziet men irregulaire, spitse papilvorming en woekering van jong, soms basofiel bindweefsel. Er is geen fraaie bundelvorming van het collageen, maar men ziet geïsoleerde vezels in een warrig patroon, soms loodrecht op de epidermis overgang verlopend. Aan de rand is er een geleidelijke overgang in normaal bindweefsel. Het elastine is afgenomen. Het fibroma is zeer rijk aan spoelvormige fibroblasten, soms echter overheersen histiocytaire cellen die ijzer en/of hemosiderine hebben gefagocyteerd (vandaar de naam 'histiocytoma'). Vaak ook zijn er mengvormen met talrijke fibroblasten en histiocyten. Ook vet komt er veel in voor. Deze cellen en hun inhoud (vet en/of ijzer) bepalen de kleurvarianten. Een enkele keer gaan de histiocyten in schimachtige reuzencellen over en lijken ze op Touton cellen (zie xanthomen). Soms is er een beduidende nieuwvorming van capillairen.
Zie ook de
ingescande PA-coupe van de
afdeling pathologie van de University of
Toronto.
Therapie:Expectatief, zonodig excisie.
Dermatofibromen gaan niet vanzelf over. Als ze klachten veroorzaken kunnen ze
worden verwijderd, maar de littekens worden meestal niet mooi en recidieven
kunnen optreden. Bij excisie kan men proberen de ovaal aan het oppervlak zo
krap mogelijk te houden, maar de verzonken tumor breder uit te snijden, ondermijnend.
Bij multipele dermatofibromen is ook laser therapie (CO2 laser) toegepast.
Referenties
| 1. |
Naversen DN, Trask DM, Watson FH, Burket
JM. Painful tumors of the skin: "LEND AN EGG". J Am Acad Dermatol
1993;28(2 Pt 2):298-300. |
| 2. |
Chen TC, Kuo T, Chan HL. Dermatofibroma is
a clonal proliferative disease. J Cutan Pathol 2000;27(1):36-39. |
| 3. |
Gleason BC, Fletcher CD. Deep "benign" fibrous
histiocytoma: clinicopathologic analysis of 69 cases of a rare tumor
indicating occasional metastatic potential. Am J Surg Pathol 2008;32(3):354-362. |
| 4. |
Massone C, Parodi A, Virno G, Rebora A. Multiple
eruptive dermatofibromas in patients with systemic lupus erythematosus
treated with prednisone. Int J Dermatol 2002;41(5):279-281. |
| 5. |
Kimura Y, Kaneko T, Akasaka E, Nakajima K,
Aizu T, Nakano H, et al. Multiple eruptive dermatofibromas associated
with Hashimoto's thyroiditis and myasthenia gravis. Eur J Dermatol
2010;20(4):538-539. |
| 6. |
Zaccaria E, Rebora A, Rongioletti F. Multiple
eruptive dermatofibromas and immunosuppression: report of two cases
and review of the literature. Int J Dermatol 2008;47(7):723-727. |
| 7. |
Zaballos P, Puig S, Llambrich A, Malvehy
J. Dermoscopy of dermatofibromas: a prospective morphological study
of 412 cases. Arch Dermatol 2008;144(1):75-83. |
| 8. |
Krupa Shankar DS, Kushalappa AA, Suma KS,
Pai SA. Multiple dermatofibromas on face treated with carbon dioxide
laser. Indian J Dermatol Venereol Leprol 2007;73(3):194-195. |
Author(s):dr. Jan R. Mekkes. Dermatologist, Amsterdam UMC.