Naevus (of
nevus, meervoud
naevi of nevi) is het Latijnse woord voor
moedervlek
(Engels: birthmark, mole). Meestal wordt met naevus een gewone moedervlek bedoeld,
de
naevus naevocellularis. Dit is een
melanocytaire naevus. Per definitie is een naevus goedaardig.
Behalve de melanocytaire naevi zijn er talloze andere naevi, bijvoorbeeld
epidermale naevi,
bindweefsel naevi, vasculaire naevi (zie
naevi en
overzicht
naevi, maculae en tumoren van de huid).
Onderscheid tussen
naevi en lentigines en efelidenOok
lentigines (
lentigo simplex)
worden in de volksmond aangeduid als moedervlek, maar een lentigo simplex is
geen naevus maar een goedaardige pigmentvlek (alleen een macula), door zonlicht
geïnduceerd, met een andere histologie: bij naevi zijn nestjes melanocyten aanwezig,
en bij lentigines niet. Ook de
sproeten
(
epheliden), die in het gelaat voorkomen, bij blonden
en roodharigen, en toenemen na blootstelling aan zon, zijn macula en geen naevi.
![Naevus naevocellularis (moedervlek) (click on photo to enlarge) [source: www.huidziekten.nl] Naevus naevocellularis (moedervlek)](../../../images/naevus-naevocellularis-2z.jpg) |
![Naevus naevocellularis (moedervlek) (click on photo to enlarge) [source: www.huidziekten.nl] Naevus naevocellularis (moedervlek)](../../../images/naevus-naevocellularis-1z.jpg) |
| moedervlek
(naevus) |
moedervlek
(naevus) |
![lentigo simplex (click on photo to enlarge) [source: Anna Nekrashevich - Pexels - Free Image] Lentigo simplex](../../../images/lentigo-simplex-1z.jpg) |
![Rood haar en sproeten (click on photo to enlarge) [source: Pavel Lepeshev www.deviantart.com] Rood haar en sproeten](../../../images/sproeten-2z.jpg) |
| sun spot
(lentigo) |
sproeten
(efeliden) |
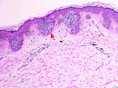
Aangeboren en verkregen naeviMelanocytaire naevi
verschijnen meestal in de loop van het leven en worden daarom ook wel
acquired melanocytic naevi genoemd (verkregen). Kinderen
onder de 10 hebben gemiddeld 2-3 naevi naevocellularis, rond de 30 zijn dat
er gemiddeld 20-30. Melanocytaire naevi kunnen ook al vanaf de geboorte aanwezig
zijn, en dan wordt de term
congenital melanocytic naevi
gebruikt (naevus naevocellularis congenita). Deze zijn vaak wat groter en sterker
behaard.
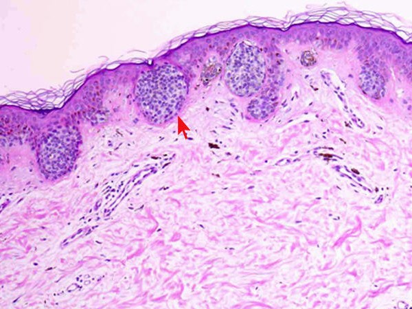
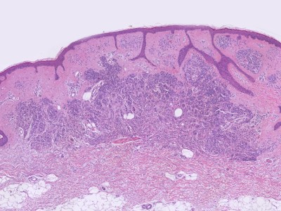
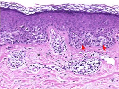
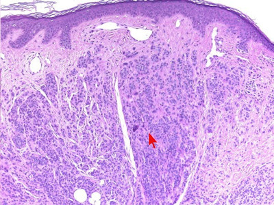
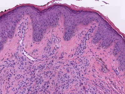
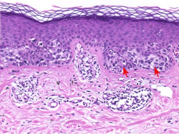
Histologische
variantenDe naevi naevocellularis worden ingedeeld in 3 histologische
varianten
-
junctional naevus (naevus naevocellularis
marginalis): opeenhoping van naevuscellen in de epidermis
-
dermal
/
intradermal naevus (naevus naevocellularis dermalis):
opeenhoping van naevuscellen in de dermis
-
compound naevus
(naevus naevocellularis epidermo-dermalis): opeenhoping van naevuscellen in
zowel dermis als epidermis
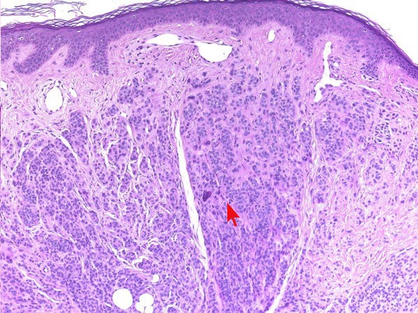
Zie ook de ingescande PA-coupes (
compound
naevus) van de
afdeling
pathologie van de University of Toronto.
Klinische variantenNaevi zijn sterk wisselend in
vorm (maculae, papulae, maculae-papula, papillomateus,
molluscoid),
grootte (speldeknop tot handpalmgroot,
gemiddeld 2-6 mm.),
distributie,
aantal
(kinderen 2-3, volwassenen 20-30, soms honderden),
kleur
(huidkleurig, roze, lichtbruin, donkerbruin, tot diep bruinzwart), en
beharing (geen beharing of dikke, lange zwarte haren).
![Naevus naevocellularis (moedervlek) (click on photo to enlarge) [source: www.huidziekten.nl] Naevus naevocellularis (moedervlek)](../../../images/naevus-naevocellularis-3z.jpg) |
![Naevus naevocellularis (moedervlek) (click on photo to enlarge) [source: www.huidziekten.nl] Naevus naevocellularis (moedervlek)](../../../images/naevus-naevocellularis-4z.jpg) |
| naevus
vlak en licht |
naevus
groot en donker |
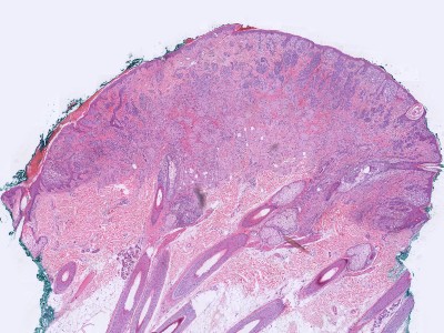
![Naevus naevocellularis papillomatosus (click on photo to enlarge) [source: www.huidziekten.nl] Naevus naevocellularis papillomatosus](../../../images/naevusnaevocellularispapillomatosus1z.jpg) |
![Naevus naevocellularis pilosis et pigmentosus (congenitaal) (click on photo to enlarge) [source: www.huidziekten.nl] Naevus naevocellularis pilosis et pigmentosus (congenitaal)](../../../images/congenitale-melanocytaire-naevus-7z.jpg) |
| naevus
papillomatosus |
naevus
pigmentosus et pilosus |
DD: lentigo simplex,
lentigo senilis,
efeliden,
verruca seborroica,
dermatosis papulosa nigra,
verruca plana,
verruca vulgaris,
dermatofibroom,
basaalcelcarcinoom,
neurofibroom,
fibroma molle (skin tag), fibrous
papule of the face,
atypische (dysplastische)
naevus,
maligne melanoom.
Signs of suspicion: verandering in grootte, dikte, vorm
(asymmetrie), kleur (ontstaan van donkere of bleke zone rondom, pigmentverschillen),
jeuk of pijn, erytheem, ontstekingsverschijnselen, bloeden, regressie, crustae
of ulceratie. Zie onder
ABCD regel,
dysplastische naevi, en
maligne melanoom.
![Opruimreactie in naevus naevocellularis (click on photo to enlarge) [source: www.huidziekten.nl] Opruimreactie in naevus naevocellularis](../../../images/naevus-opruimreactie-1z.jpg) |
![Opruimreactie in naevus naevocellularis (click on photo to enlarge) [source: www.huidziekten.nl] Opruimreactie in naevus naevocellularis](../../../images/naevus-opruimreactie-2z.jpg) |
| naevus
met opruim reactie |
naevus
met opruim reactie |
Therapie:Behandeling is in principe niet noodzakelijk.
Bij mechanische bezwaren kan de naevus worden verwijderd onder lokale verdoving
d.m.v.:

Shaven (in
niveau van huid).

Uitstansen
met een passend stansbiopteur.

Excideren
met ellips.
Marge: bij onverdachte laesies krap, wel de hele lesie meenemen,
anders groeit de naevus terug (bij shaven komt dit het meest voor).
Bij laesies
waarbij een dysplastische naevus of een melanoom niet helemaal uit te sluiten
is, een diagnostische excisie met een marge van minimaal 2 mm rondom.