DERMATOFIBROSARCOMA PROTUBERANS home ICD10: C44.9

Een dermatofibrosarcoma protuberans is een zeldzame (incidentie circa 3 per miljoen inwoners) en lokaal agressieve weke delen tumor. De tumor zaait zelden uit maar kan lokaal zeer groot worden, ingroeien in onderliggende structuren zoals subcutis, spier, fascie en bot, en recidiveert vaak. De 5-jaarsoverleving is boven de 99%. De tumor kan in zeldzame gevallen (1-4%) metastaseren, in dat geval is de prognose slecht. De oorzaak is niet bekend, waarschijnlijk gaat de tumor uit van fibroblasten, histiocyten of neuroectodermale celtypen. De tumor kan groeien in respons op PDGF (platelet-derived growth factor). De tumor komt in alle bevolkingsgroepen voor, mannen iets meer dan vrouwen, meestal tussen de 20-50 jaar, maar het is ook bij pasgeborenen beschreven.

Dermatofibrosarcoma protuberans Dermatofibrosarcoma protuberans Dermatofibrosarcoma protuberans
dermatofibrosarcoma dermatofibrosarcoma dermatofibrosarcoma


Klinisch beeld:
Solitaire langzaam groeiende vast aanvoelende tumor, huidkleurig, paars of lichtbruin. Kan exofytisch groeien, of de diepte in, lijkend op een dermatofibroom. Er bestaan ook plaque-vormen, multinodulaire vormen, morfea-achtige sclerotische plaques, en gepigmenteerde varianten (Bednar tumor, vooral bij de gepigmenteerde huid). Ulceratie en bloeding kunnen voorkomen in latere stadia. De laesies kunnen centimeters groot worden en groeien ook de diepte in. Dermatofibrosarcoma protuberans ontstaat vooral op de romp, gevolgd door de extremiteiten. Bij circa 10-15% presenteert het zich in het hoofd hals gebied.

DD: dermatofibroom, keloid, hypertrofisch litteken, epidermale cyste, leiomyosarcoom, andere weke delen tumor, amelanotisch melanoom, Merkelcel carcinoom, metastase van een tumor in de huid, morfea.

Diagnostiek:
Biopt, groot en diep genoeg. Soms is afbeeldend onderzoek nodig, bij grotere tumoren (echo, CT-scan, MRI). Bij verdenking op metastasen CT scan longen en abdomen, eventueel PET scan.

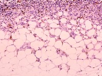
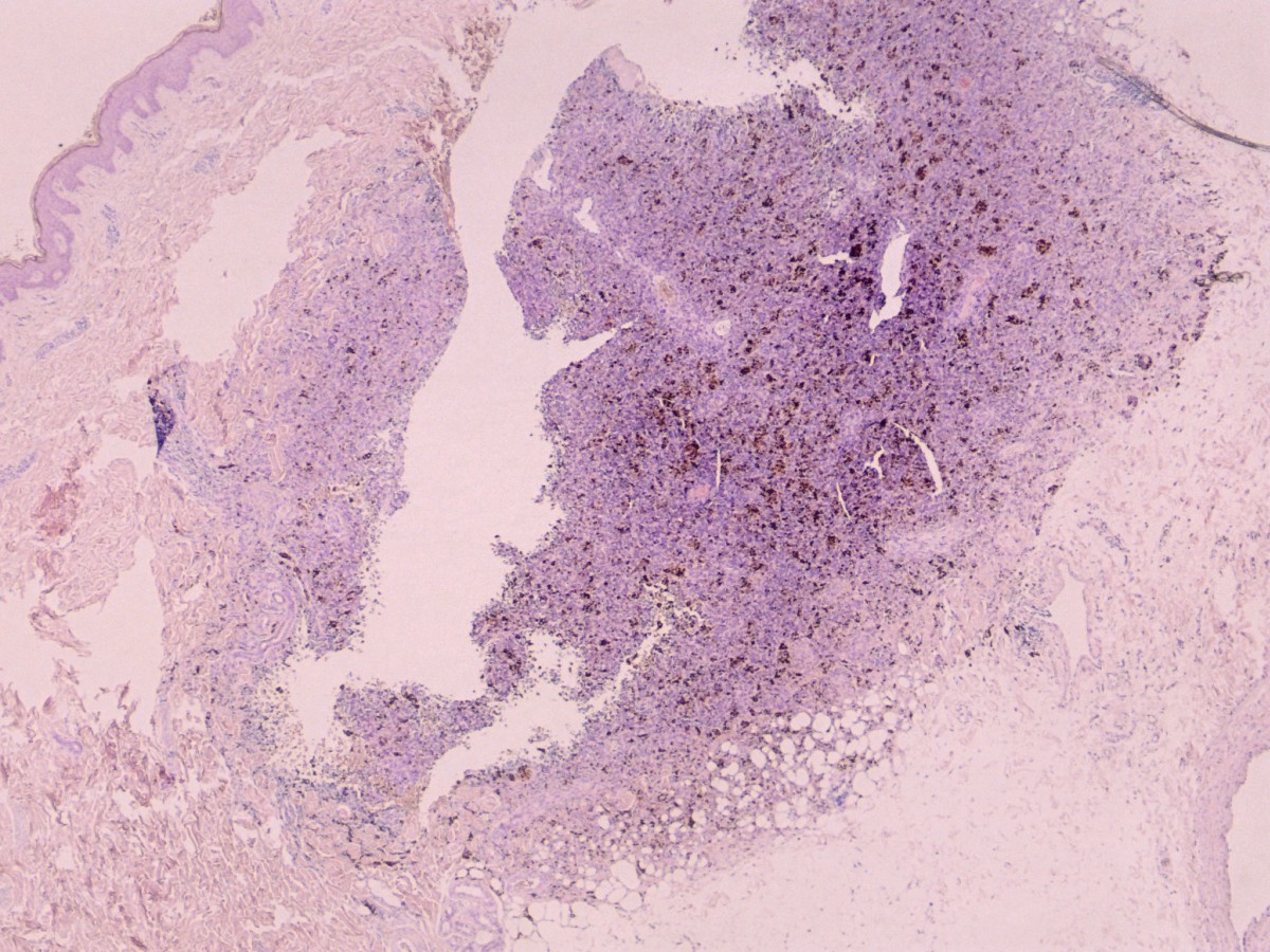
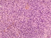
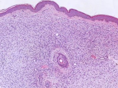
PA:
In de dermis, deels in bundels dicht opeengepakte fusiforme fibroblasten met licht vergrote, onregelmatige rond/ovale kernen, gerangschikt in een storiform patroon. Kern-atypie en (geringe) mitose activiteit. C34 positief. Er is meestal focaal veel ijzerpigment aanwezig. Naar de diepte is er uitbreiding in het vetweefsel. Zie ook de ingescande PA-coupe van de afdeling pathologie van de University of Toronto.

Dermatofibrosarcoma protuberans Dermatofibrosarcoma protuberans
PA dermatofibrosarcoma PA dermatofibrosarcoma

Dermatofibrosarcoma protuberans Histologie dermatofibrosarcoma protuberans
PA dermatofibrosarcoma ingescande coupe (zoom)

Bron hoge resolutie PA-foto: Kevin Kwee en Afdeling Pathologie MUMC. Klik op de afbeelding om in te zoomen.



Stagiering:
Stage I - primaire tumor, beperkt tot huid en onderliggende structuren
Stage II - lymfkliermetastasen
Stage III - metastasen op afstand

Therapie:

Chirurgie
De belangrijkste behandeling is ruime excisie, met een marge van 2-3 cm rondom klinisch afwijkend weefsel, ook de diepte in waarbij fascie, spier en eventuele andere structuren waar de tumor ingroeit moeten worden meegenomen. Er is een hoge recidiefkans, variërend van 15% op de romp tot 50% in het hoofd hals gebied, en dat wordt vooral veroorzaakt doordat de marges niet ruim genoeg worden genomen (in het hoofd hals gebied is dat begrijpelijk). De recidiefkans neemt aanmerkelijk af als Mohs chirurgie wordt toegepast, en dit wordt nu ook als eerste keus geadviseerd, vooral voor hoofd hals tumoren. In het ideale geval wordt de patiënt voor excisie verwezen naar een centrum met ervaring in zowel hoofd hals oncologische chirurgie als Mohs chirurgie.

Radiotherapie:
Radiotherapie wordt gebruikt als aanvullende behandeling op chirurgie. Het wordt ook gebruikt als het vanwege de locatie niet mogelijk is om de marges van 2-3 cm toe te passen, en in andere gevallen waarin er twijfel is over de radicaliteit van de excisie.

Chemotherapie:
Chemotherapie wordt weinig toegepast.

Targeted therapies (kinase inhibitors):
Glivec (imatinib) in een dosering van 800 mg per dag blijkt werkzaam te zijn bij een deel (circa 65%) van de tumoren. Het wordt toegepast bij gemetastaseerde en lokaal zeer invasieve varianten van dermatofibrosarcoma protuberans, en is FDA approved voor deze indicatie. Onderzocht wordt of het ook preoperatief of postoperatief van waarde kan zijn. Imatinib is een proteïne-tyrosine kinaseremmer met een krachtig remmend effect op receptorkinasen gericht op PDGF, de stam cel factor (SCF) en 'C-kit', en het remt PDGF- en SCF-aangestuurde cellulaire processen. Het wordt gebruikt bij chronische myeloïde leukemie, acute lymfatische leukemie, myelodysplastische of -proliferatieve ziekten geassocieerd met herschikkingen van het PDGF-receptor gen, hypereosinofiel syndroom, chronische eosinofiele leukemie, gemetastaseerde maligne gastro-intestinale stromale tumoren, en gemetastaseerd dermatofibrosarcoma protuberans.


Referenties
1. Monnier D, Vidal C, Martin L, et al. Dermatofibrosarcoma protuberans: a population-based cancer registry descriptive study of 66 consecutive cases diagnosed between 1982 and 2002. J Eur Acad Dermatol Venereol 2006;20(10):1237-1242.
2. Rutgers EJ, Kroon BB, Albus-Lutter CE, Gortzak E. Dermatofibrosarcoma protuberans: treatment and prognosis. Eur J Surg Oncol 1992;18(3):241-248.
3. Lemm D, Mugge LO, Mentzel T, Hoffken K. Current treatment options in dermatofibrosarcoma protuberans. J Cancer Res Clin Oncol 2009;135(5):653-665.
4. McArthur G. Molecularly targeted treatment for dermatofibrosarcoma protuberans. Semin Oncol 2004;31(2 Suppl 6):30-36.
5. Han A, Chen EH, Niedt G, Sherman W, Ratner D. Neoadjuvant imatinib therapy for dermatofibrosarcoma protuberans. Arch Dermatol 2009;145(7):792-796.
6. Prieto VG, Reed JA, Shea CR. CD34 immunoreactivity distinguishes between scar tissue and residual tumor in re-excisional specimens of dermatofibrosarcoma protuberans. J Cutan Pathol 1994;21(4):324-329.
7. Heuvel ST, Suurmeijer A, Pras E, Van Ginkel RJ, Hoekstra HJ. Dermatofibrosarcoma protuberans: recurrence is related to the adequacy of surgical margins. Eur J Surg Oncol 2010;36(1):89-94.
8. Meguerditchian AN, Wang J, Lema B, Kraybill WG, Zeitouni NC, Kane JM 3rd. Wide excision or Mohs micrographic surgery for the treatment of primary dermatofibrosarcoma protuberans. Am J Clin Oncol 2010;33(3):300-303.
9. Gloster HM Jr, Harris KR, Roenigk RK. A comparison between Mohs micrographic surgery and wide surgical excision for the treatment of dermatofibrosarcoma protuberans. J Am Acad Dermatol 1996;35(1):82-87.
10. Dagan R, Morris CG, Zlotecki RA, Scarborough MT, Mendenhall WM. Radiotherapy in the treatment of dermatofibrosarcoma protuberans. Am J Clin Oncol 2005;28(6):537-539.


Author(s):
dr. Jan R. Mekkes. Dermatologist, Amsterdam UMC.

31-05-2023 (JRM) - www.skin-diseases.eu Terug naar homepagina



Diagnosis codes:
ICD10 C44.9 Maligne neoplasma van huid, niet gespecificeerd: dermatofibrosarcoma protuberans
ICD10 C44.9 Malignant neoplasm of skin, unspecified: dermatofibrosarcoma protuberans
SNOMED 276799004 Dermatofibrosarcoma protuberans
DBC 14 Maligne dermatosen