| MERKEL CEL TUMOR |
ICD10: C44.9 |
Het
Merkelcelcarcinoom is een zeldzame (< 1%
van alle huidmaligniteiten, incidentie 0.2 per 100.000), zeer agressieve huidtumor
van neuro-endocrine origine. De tumorcellen vertonen gelijkenis met
Merkelcellen die in de
basale laag van de epidermis aanwezig zijn en een functie hebben bij de tastzin.
Onduidelijk is nog of de tumor echt van Merkelcellen uitgaat of van dermale
Merkelcel-equivalenten, andere cellen afkomstig van de neurale lijst, of epidermale
stamcellen. De tumor komt vooral bij blanken voor, op oudere leeftijd (>70
jr) en meer bij vrouwen dan bij mannen (4:1). Immuunsuppressie en zonne-expositie
zijn risicofactoren. Vanaf circa 2008 verschijnen publicaties waarin bij een
groot deel van de tumoren een
polyomavirus (Merkel
cell polyomavirus) wordt aangetroffen. Dit virus is oncogeen en mogelijk
de oorzaak van de maligne ontaarding, maar het is nog niet zeker, omdat dit
virus ook bij 80% van patiënten zonder Merkelcelcarcinoom kan worden
gevonden.
Klinisch beeld:
Merkel cel tumoren zijn meestal solitaire, bolronde rode of roodpaarse tumoren,
met glanzend oppervlak, tot 2 cm doorsnede (soms groter). Teleangiëctasieën
kunnen aanwezig zijn, ulceratie is zeldzaam. Kan overal op huid en slijmliezen
voorkomen, maar de voorkeurslokalisatie (50%) is het hoofd-hals gebied (UVB
is mogelijk een risicofactor), daarna de extremiteiten (40%). De tumor metastaseert
naar regionale lymfklieren maar ook naar huid, botten, lever, longen en CZS.
![Merkel cel carcinoom (click on photo to enlarge) [source: www.huidziekten.nl] Merkel cel carcinoom](../../../images/merkelceltumor-1z.jpg) |
![Merkel cel carcinoom (click on photo to enlarge) [source: www.huidziekten.nl] Merkel cel carcinoom](../../../images/merkelceltumor-2z.jpg) |
![Merkel cel carcinoom (click on photo to enlarge) [source: www.huidziekten.nl] Merkel cel carcinoom](../../../images/merkelceltumor-3z.jpg) |
| Merkel
cel carcinoom |
Merkel
cel carcinoom |
Merkel
cel carcinoom |
Stadiëring:- stadium I locale tumor < 2 cm
-
stadium II locale tumor ≥ 2 cm
- stadium III positieve lymfklieren
-
stadium IV metastasen op afstand
DD:
plaveiselcelcarcinoom,
basaalcelcarcinoom,
keratoacanthoom, (amelanotisch)
melanoom,
dermatofibroom,
dermatofibrosarcoma protuberans,
atypisch fibrosarcoom,
angiosarcoom,
adnextumor, cyste, cutane metastase (o.a.
kleincellig longcarcinoom, neuroblastoom, Ewingsarcoom), B-cel lymfoom,
Kaposi sarcoom,
granuloma pyogenicum, clear
cell hidradenoom,
granular cell tumor
(Abrikossoff tumor).
Diagnostiek: biopt, X-thorax (metastasen,
primaire andere tumor?), CT-scan lymfklieren, thorax, lever. MRI en/of PET-CT.
Lymfklierpunctie of excisie bij verdachte klieren. Leverenzymen.
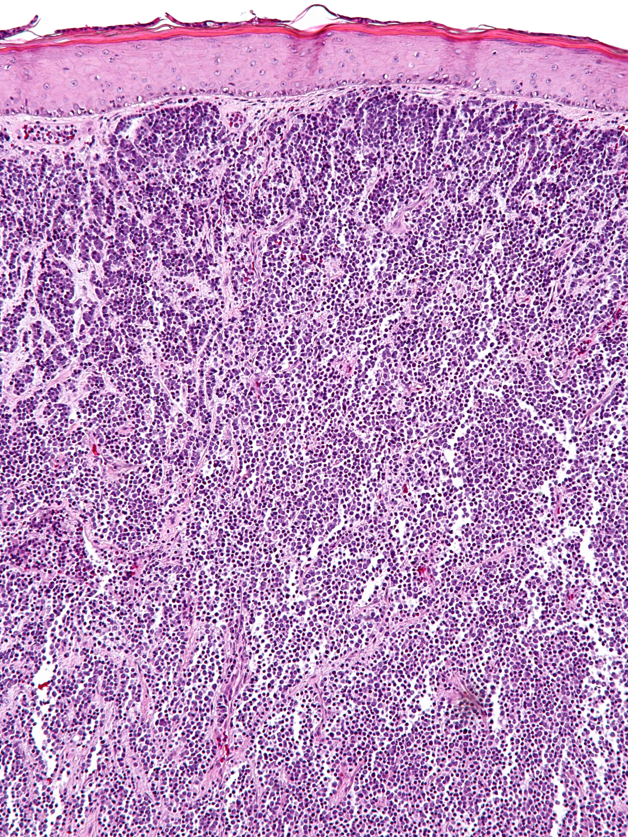
PA:
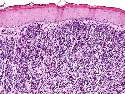
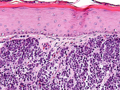
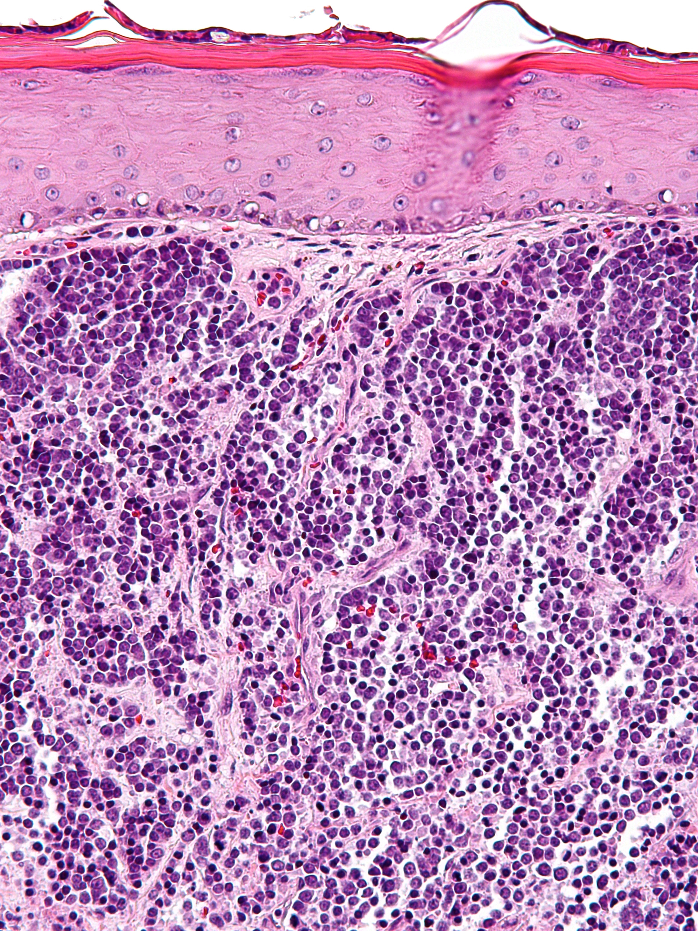
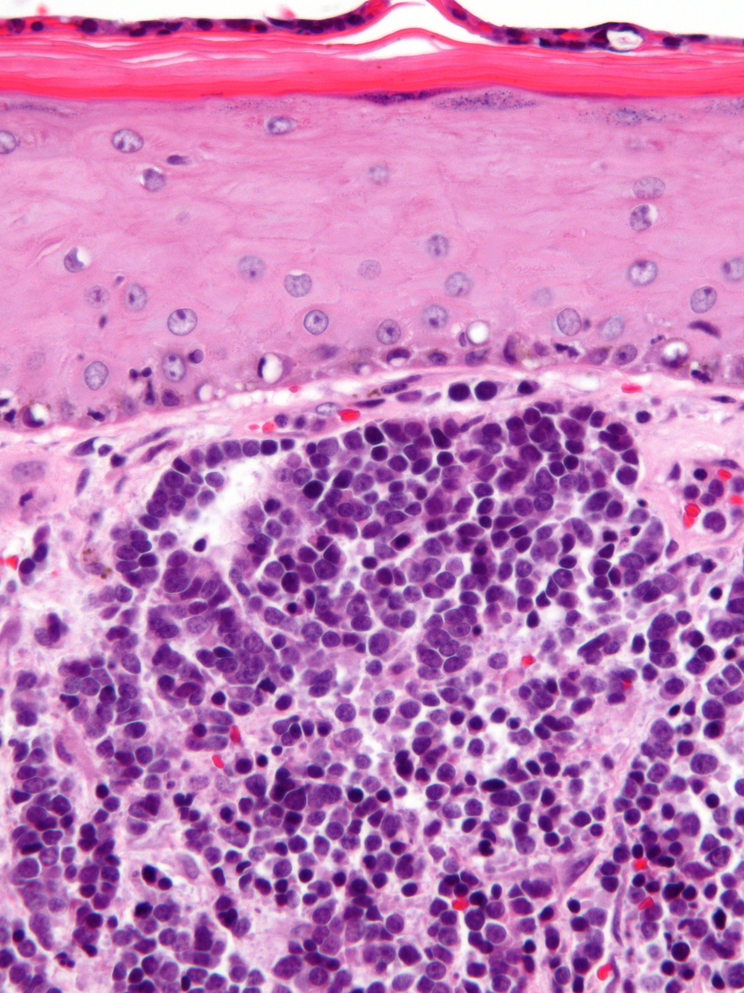
In de dermis, soms reikend tot in subcutis zijn velden van kleine ronde tumorcellen te zien (‘small blue round cells’). De tumorcellen zijn meestal gerangschikt in nesten, platen of strengen (trabekels). Soms worden ‘Homer-Wright pseudo-rosetten’ gezien, dat zijn kransen van tumorcellen rond een centrale zone gevuld met neurofibrillair materiaal, typerend voor neuro-endocriene tumoren. De tumorcellen zijn klein tot middelgroot en hebben zeer weinig cytoplasma en grote kernen t.o.v. de hoeveelheid cytoplasma. De celkernen vertonen een karakteristiek ‘salt and pepper’ chromatinepatroon (fijnkorrelig chromatine) met onopvallende nucleoli. Er zijn vele mitosen te zien. De tumor kleurt aan met cytokeratine 20 (CK20) en met neuro-endocriene markers (chromogranine A, synaptofysine, CD56). TTF (positief bij longcarcinoom) en S100 (positief bij melanoom) zijn negatief. Bij ongeveer 80% van de gevallen kan het Merkelcel-polyomavirus in de tumorcellen worden aangetoond.
![Merkel cel carcinoom (click on photo to enlarge) [source: Michael Bonert (Nephron) - Wikimedia - Creative Commons License 3.0] Merkel cel carcinoom](../../../images/merkelceltumor-4z.jpg) |
![Merkel cel carcinoom (click on photo to enlarge) [source: Michael Bonert (Nephron) - Wikimedia - Creative Commons License 3.0] Merkel cel carcinoom](../../../images/merkelceltumor-5z.jpg) |
| Merkel
cel carcinoom |
Merkel
cel carcinoom |
![Merkel cel carcinoom (click on photo to enlarge) [source: Michael Bonert (Nephron) - Wikimedia - Creative Commons License 3.0] Merkel cel carcinoom](../../../images/merkelceltumor-6z.jpg) |
![Histologie Merkel cel carcinoom (click on photo to enlarge) [source: Kevin Kwee / Afdeling Pathologie MUMC] Histologie Merkel cel carcinoom](../../../pacoupes/thumbnails/Merkel-cel-carcinoom.jpg) |
| Merkel
cel carcinoom |
ingescande coupe (zoom) |
PA-foto's: Michael Bonert (Nephron) - Wikimedia (Creative Commons
License
3.0).
Bron
hoge resolutie PA-foto: Kevin Kwee en Afdeling Pathologie MUMC. Klik
op de afbeelding om in te zoomen.
Therapie:
Het Merkelcel carcinoom is een snel
progressieve tumor, het is belangrijk om na het stellen van de diagnose de
tumor zo snel mogelijk te excideren met een marge van 1-2 cm (bij stadium I marge 1 cm, bij stadium II 2 cm).
Omdat de tumor snel metastaseert heeft Mohs chirurgie geen voordelen boven
conventionele excisie voor wat betreft de overlevingskansen. De tumor is wel
goed te herkennen in vriescoupes. De overlevingskans neemt aanzienlijk toe
door chirurgie te combineren met postoperatieve radiotherapie van het
operatiegebied + regionale lymfklieren. Mohs in combinatie met radiotherapie
is wel zinvol voor kritische anatomische locaties, omdat dan de excisie zo
krap mogelijk kan worden gedaan, waarbij de radiotherapie de in-transit en
lymfkliermetastasen aanpakt. Selectieve lymfklierdissectie (sentinel
procedure) is mogelijk zinvol, maar gegevens ontbreken omdat de aandoening
te zeldzaam is. Sommigen adviseren een agressieve
aanpak, bestaande uit wijde lokale excisie, profylactisch lymfkliertoilet en
nabestraling van het hele gebied (tumor + regionaal lymfklierstation. Bij stadium
II tumoren kan ook combinatietherapie worden gegeven bestaande uit wijde excisie
met een marge van 3 cm + postoperatief radiotherapie van het operatiegebied
+ regionale lymfklieren + chemotherapie. Indien excisie niet mogelijk is: chemotherapie
en/of radiotherapie. Verschillende cytostatica worden gebruikt (etoposide, cyclofosfamide,
doxorubicine, epirubicine, vincristine, carboplatine, 5-FU). De resultaten van
chemotherapie zijn matig. Verwijzing naar een gespecialiseerd oncologisch centrum
is raadzaam. Targeted therapies zijn in ontwikkeling of worden al gebruikt
(avelumab, pembrolizumab, retifanlimab-dlwr, nivolumab).
Prognose:Slecht, de 2-jaars overleving
is 50-70%. Ondanks ruime excisie ontstaan vaak lokale recidieven (bij 45-75%,
vaak al na enkele maanden), lymfkliermetastasen (bij 50-80%), en metastasen
op afstand (lever, beenmerg, hersenen, longen, huid), bij 30%. De prognose is
slecht bij lymfkliermetastasen. De 5-Jaarsoverleving van stadium I is 81%, stadium
II: 67%, stadium III: 52%, en stadium IV: 11%. De meeste recidieven ontstaan
in de eerste 2 jaar. De tumor kan lokaal ingroeien in de schedel. In zeer zeldzame
gevallen kan spontane remissie optreden. De slechte survival cijfers geven
een vertekend beeld, patiënten zijn vaak op hoge leeftijd en overlijden aan
andere oorzaken dan het Merkelcel carcinoom.
Follow up:
Eerste jaar elke 3 maanden, tweede jaar iedere 3-6 maanden, daarna jaarlijks.
Voor meer informatie zie:
www.merkelcell.org
Referenties
| 1. |
Becker JC, Stang A, Schrama D, Ugurel S. Merkel Cell Carcinoma: Integrating Epidemiology, Immunology, and Therapeutic Updates. Am J Clin Dermatol
2024 Jul;25(4):541-557. |
| 2. |
Schmults CD, Blitzblau R, Aasi SZ, Alam M, Amini A, Bibee K, Bolotin D, Bordeaux J, Chen PL, Contreras CM, DiMaio D, Donigan JM, Farma JM, Ghosh K, Harms K, Ho AL, Lukens JN, Manber S, Mark L, Medina T, Nehal KS, Nghiem P, Olino K, Park S, Patel T, Puzanov I, Rich J, Sekulic A, Shaha AR, Srivastava D, Thomas V, Tomblinson C, Venkat P, Xu YG, Yu S, Yusuf M, McCullough B, Espinosa S. NCCN Guidelines® Insights: Merkel Cell Carcinoma, Version 1.2024. J Natl Compr Canc Netw 2024;22(1D):e240002. |
Author(s):dr. Jan R. Mekkes. Dermatologist, Amsterdam UMC.