Een
Spitz naevus (
epithelioid and spindle
cell nevus) is een wat zeldzamere en bijzondere variant van een
melanocytaire naevus die bij kinderen of jong volwassenen voorkomt, meestal
in het gezicht of op de extremiteiten. Ze groeien snel, in enkele weken tot
maanden en blijven dan stabiel. Het zijn benigne laesies, maar ze zijn klinisch
en histologisch moeilijk te onderscheiden van een melanoom. Spitz naevi worden
dan ook vaak verwijderd voor PA - ook al komt een melanoom op jonge leeftijd
(< 12 jaar) zelden voor. Histologisch
staat in de DD een
melanoom (Spitz melanoma, Spitzoid
melanoma, spindle cell melanoma), een
atypical Spitz tumor (Spitz
melanocytoma) en een
STUMP (Spitzoid
tumour of uncertain malignant potential).
Door gebrek aan
internationale consensus is het zeer moeilijk om te adviseren wat een goed
beleid is (excisie of vervolgen, marge van re-excisie), daarom is deze tekst
langer dan gebruikelijk.
Samenvatting: globaal zit
men aan de veilige kant door bij verdenking op Spitz naevi, ook bij jonge
kinderen, een diagnostische excisie te doen met 2-3 mm marge. Is de
PA-diagnose Spitz naevus of low-grade Spitz melanocytoma dan is geen
re-excisie nodig. Bij STUMP re-excisie met 5 mm marge. Bij PA diagnose
high-grade Spitz melanocytoma of atypical Spitzoid tumor nno 5-10 mm marge,
meestal wordt dan 5 mm gekozen, zeker bij kleine kinderen en bij kritieke
locaties zoals het gezicht. Bij PA diagnose Spitz(oïd) melanoom excisie
conform de richtlijn melanoom (re-excisie met een marge van 1 of 2 cm
afhankelijk van de Breslow dikte), maar ook dan zal bij kleine kinderen en
bij kritieke locaties zoals het gezicht een kleinere marge (5 mm) worden
gekozen. Schildwachtklier onderzoek is niet zinvol, zeer vaak (47%) zijn de
klieren positief, maar de Spitz cellen gedragen zich niet maligne (geen
klinische lymfkliermetastasen, geen metastasen op afstand, geen recidieven,
vrijwel geen mortaliteit). Vanwege dit bijzondere gedrag, maar ook omdat er
bij het klassieke melanoom nu twijfel is of die grote re-excisie marges van
1 of 2 cm wel zinvol zijn, is de verwachting dat in toekomstige richtlijnen
geen grotere re-excisiemarges dan 5 mm meer worden geadviseerd voor
Spitzoïde tumoren. Bij zeer jonge kinderen (<12 jr, <10 jr) met laesies
die symmetrisch zijn, niet nodulair maar vlak of verheven, zonder klinische
of dermatoscopische atypische kenmerken, kan men er ook voor kiezen om ze te
vervolgen (frequente controles zijn dan nodig, zie verder).
Spitz tumoren bevatten typische
DNA-fouten, meestal tyrosine en serine/threonine kinase fusies, waaronder ALK,
ROS1, NTRK1, NTRK2, NTRK3, BRAF (fusie), of mutaties zoals HRAS en MAP3K8. Deze
chromosomale afwijkingen bepalen het morfologisch beeld met spoelvormige melanocyten
(spindle cells) en epithelioïde cellen. Dit wordt ook wel de
driver
mutatie genoemd. De meeste Spitz tumoren hebben geen andere mutaties
en gedragen zich benigne. Sommige hebben enkele extra mutaties en sommige hebben
er vele, waaronder CDKN2A deletie en TERT-p mutatie, en gedragen zich daarom
maligne. Het is dus een continuüm, waarbij het aantal en de aard van de bijkomende
mutaties bepalen of een tumor zich maligne gedraagt. Dit continuüm omvat
Spitz naevus,
atypische Spitz naevus
en
Spitz melanoma. Voor de tussenvorm wordt
door de WHO de naam
Spitz melanocytoma voorgesteld.
Er waren echter ook al andere termen in gebruik zoals
STUMP
(
Spitzoid
Tumor of Unknown Malignant Potential) en
atypical Spitz tumor.
De WHO hanteert het begrip
pathway voor dit continuüm
en onderscheidt 9 verschillende pathways waardoor verschillende subtypes melanomen
zich kunnen ontwikkelen. De Spitz pathway is nr 4. Malignant Spitz tumor (Spitz
melanoma). Zie voor het overzicht van de WHO pathways onder
melanocytoma.
![Spitz nevus (click on photo to enlarge) [source: www.huidziekten.nl] Spitz nevus](../../../images/spitz-naevus-1z.jpg) |
![Spitz nevus (click on photo to enlarge) [source: www.huidziekten.nl] Spitz nevus](../../../images/spitz-naevus-2z.jpg) |
![Spitz nevus (click on photo to enlarge) [source: www.huidziekten.nl] Spitz nevus](../../../images/spitz-naevus-3z.jpg) |
|
Spitz naevus |
Spitz naevus |
Spitz naevus |
![Spitz nevus (click on photo to enlarge) [source: www.huidziekten.nl] Spitz nevus](../../../images/spitz-naevus-4z.jpg) |
![Spitz nevus (click on photo to enlarge) [source: www.huidziekten.nl] Spitz nevus](../../../images/spitz-naevus-5z.jpg) |
![Spitz nevus (click on photo to enlarge) [source: www.huidziekten.nl] Spitz nevus](../../../images/spitz-naevus-6z.jpg) |
| Spitz
naevus |
Spitz
naevus |
Spitz
naevus |
![Spitz nevus (click on photo to enlarge) [source: www.huidziekten.nl] Spitz nevus](../../../images/spitz-naevus-7z.jpg) |
![Spitz nevus (click on photo to enlarge) [source: www.huidziekten.nl] Spitz nevus](../../../images/spitz-naevus-8z.jpg) |
![Spitz nevus (click on photo to enlarge) [source: www.huidziekten.nl] Spitz nevus](../../../images/spitz-naevus-9z.jpg) |
|
Spitz naevus |
Spitz naevus |
Spitz naevus |
![Spitz nevus (click on photo to enlarge) [source: www.huidziekten.nl] Spitz nevus](../../../images/spitz-naevus-10z.jpg) |
![Spitz nevus (click on photo to enlarge) [source: www.huidziekten.nl] Spitz nevus](../../../images/spitz-naevus-11z.jpg) |
![Spitz nevus (click on photo to enlarge) [source: www.huidziekten.nl] Spitz nevus](../../../images/spitz-naevus-15z.jpg) |
| Spitz
naevus |
Spitz
naevus |
Spitz
naevus |
Klinisch beeld:De klassieke Spitz naevus
is roze, rood of roodbruin. Maar er bestaan ook gepigmenteerde Spitz naevi
varierend van lichtbruin tot donkerbruin. Of zwart, met dermatoscopisch een
starburst pattern, bij de pigmented spindle cell nevus (
naevus
van Reed). Ze kunnen nodulair zijn (bolrond) of vlak / verheven.
Symmetrisch of niet symmetrisch. Ze zitten meestal in het gezicht of
op de extremiteiten. Ze kunnen 1-2 cm groot worden. Het merendeel ontstaat bij
kinderen of jong-volwassenen, 70% is jonger dan 20 jaar. Ze komen vaker voor
bij huidtype I en II. Het is niet bekend waardoor ze ontstaan. Ze kunnen ook
weer in regressie gaan. Spitz naevi zijn meestal solitair, maar er bestaat ook
een zeldzame
agminata variant waarbij meerdere
Spitz naevi gegroepeerd zijn in één gebied of in een naevus spilus.
DD:Spitz melanocytoma
(atypical Spitz tumor),
atypische naevus, Spitzoïd melanoma,
amelanotisch melanoom,
melanoom (zeldzaam
op kinderleeftijd),
STUMP
(Spitzoid tumor of uncertain malignancy),
MELTUMP (melanocytic tumor of uncertain
malignant potential),
Reed's nevus,
dermale naevus nno,
juveniel xanthogranuloom,
dermatofibroom (histiocytoom),
haemangioom,
granuloma teleangiectaticum,
lymphadenosis cutis benigna.
Dermatoscopie:Het is niet mogelijk om met
dermatoscopie het onderscheid te maken tussen atypische Spitz tumor en
Spitz(oïd) melanoma. Wel is het mogelijk om Spitz kenmerken te herkennen en
de symmetrie goed te beoordelen. Uit een meta-analyse naar dermatoscopische bevindingen bij Spitz naevi
(Lallas et al., 2017) blijkt dat er 3 patronen zijn die suggestief zijn voor een Spitz naevus:
starburst pattern,
regularly distributed dotted vessels en
globular pattern with reticular depigmentation (negatief pigment netwerk).
| Dermatoscopische kenmerken Spitzoïde tumoren: |
| Global pattern |
|
|
Starburst
|
|
50.6% |
| Globular |
|
17.0% |
| Multicomponent/atypical |
|
9.0% |
| Homogeneous |
|
1.7% |
| Reticular |
|
2.5% |
| Dotted vessels |
|
19.3% |
| |
|
|
| Additional features |
|
|
| Reticular depigmentation |
|
17.6% |
| Superficial black network |
|
2.3% |
| Blue-white veil |
|
1.6% |
|
Lallas A. et al. Br J Dermatol 2017;177(3):645-655.
![Dermatoscopie naevus van Reed, starburst pattern (click on photo to enlarge) [source: www.huidziekten.nl] Dermatoscopie naevus van Reed, starburst pattern](../../../images/pigmented-spindle-cell-nevus-Reed-3z.jpg) |
![Dermatoscopie Spitz nevus, globular pattern with reticular depigmentation (click on photo to enlarge) [source: www.huidziekten.nl] Dermatoscopie Spitz nevus, globular pattern with reticular depigmentation](../../../images/spitz-naevus-13z.jpg) |
![Dermatoscopie Spitz nevus, dotted vessels (click on photo to enlarge) [source: www.huidziekten.nl] Dermatoscopie Spitz nevus, dotted vessels](../../../images/spitz-naevus-12z.jpg) |
|
starburst pattern |
negatief pigment netwerk |
dotted
vessels |
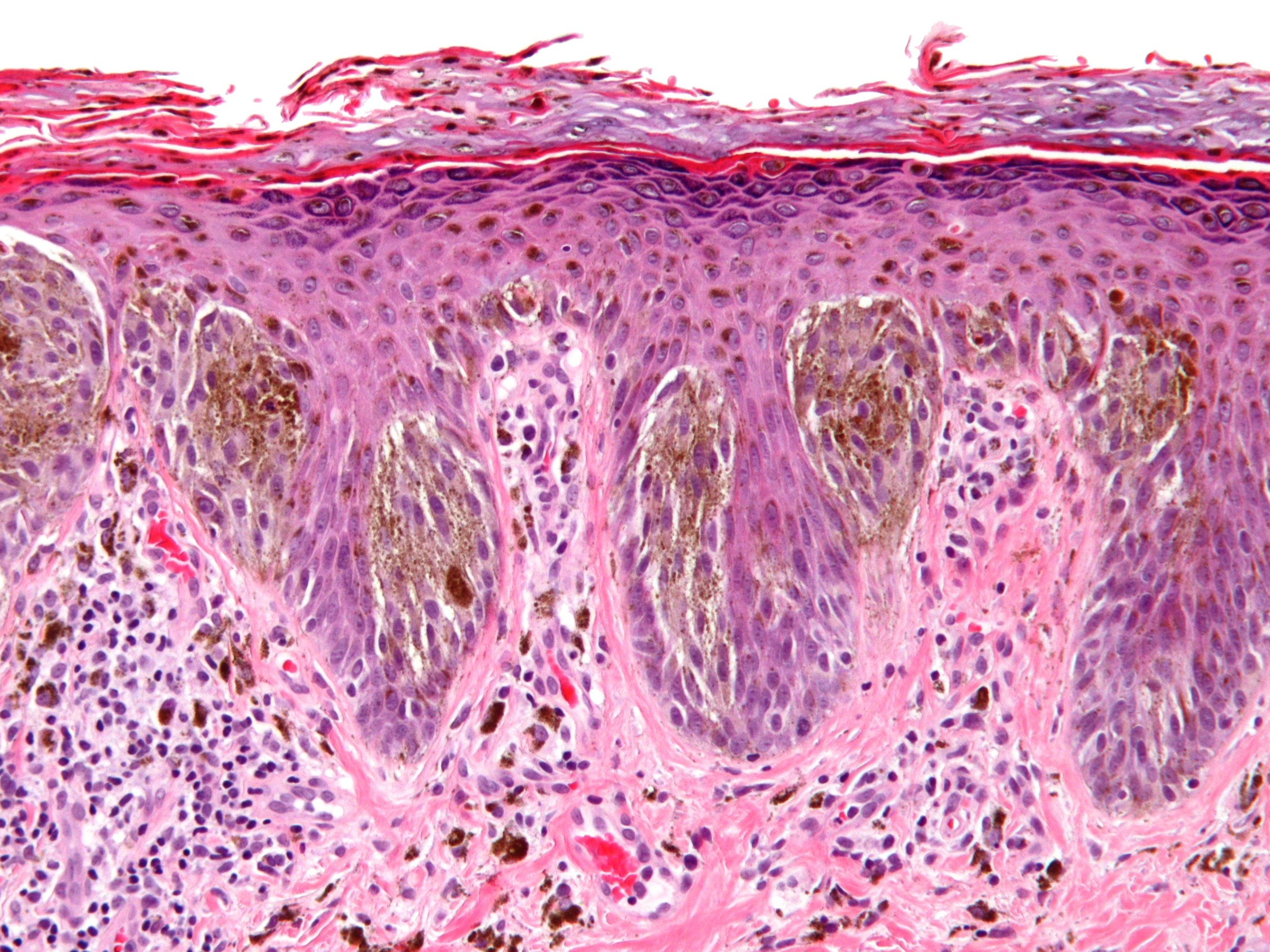
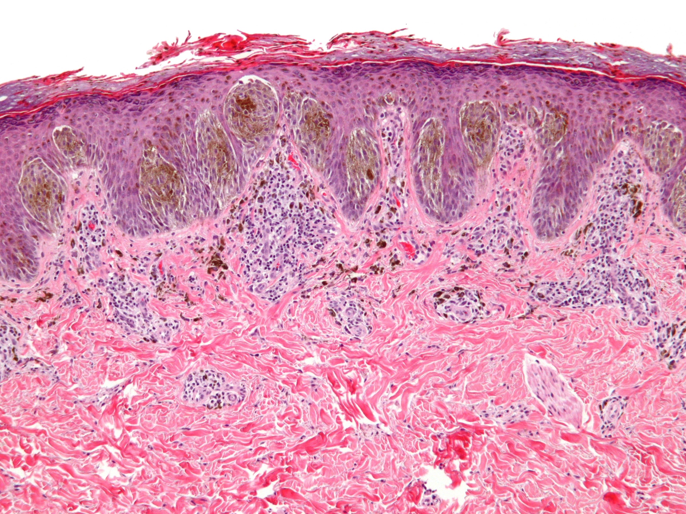
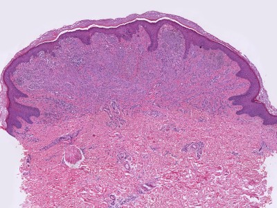
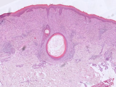
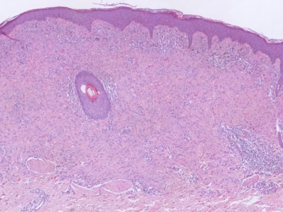
PA: Het karakteristieke PA kenmerk van Spitz tumoren
is de aanwezigheid van grote
spoelvormige cellen en/of
epithelioide cellen (melanocyten die lijken op keratinocyten).
Deze cellen zijn meestal gelegen in nesten hoog in de dermis, soms in de retelijsten
van de epidermis, soms in allebei. Er zijn verschillende histologische en morfologische
varianten van Spitz naevi, afhankelijk van welke chromosomale afwijking (tyrosine
kinase fusies, HRAS of MAP3K8 mutaties) er aanwezig is. Zie voor de correlatie
tussen de genetische afwijking, de klinische presentatie, en het histologisch
beeld het overzichtsartikel van Urso C. uit 2023.
De klassieke benigne
Spitz naevi zijn scherp begrensde symmetrische wigvormige laesies opgebouwd
uit grote junctionele (op de overgang epidermis-dermis) en dermale nesten van
spoelvormige en/of epithelioide melanocytaire cellen. Deze cellen zijn groot,
met veel bleek of matglas-achtig aankleurend cytoplasma en soms fijnkorrelig
pigment. Er is wat kern pleomorfisme, maar weinig of geen mitosen. De junctionele
nesten zijn loodrecht op de epidermis georiënteerd en vaak omgeven door spleetvormige
ruimten, dit zijn artefacten die ontstaan tijdens de bewerking van de coupe.
Melanocyten kunnen opstijgen in de epidermis (ascensie, synoniem pagetosis,
pagetoide verspreiding), meestal beperkt tot de onderste helft van de epidermis,
en transepidermale elininatie van melanocyten komt voor. Op de dermo-epidermale
overgang kunnen bij klassieke Spitz-naevi PAS-positieve eosinofiele hyaline
globuli voorkomen die
Kamino bodies worden genoemd.
Verder is er soms een perivasculair lymfocytair infiltraat. Zie ook de
ingescande
PA-coupe van de
afdeling
pathologie van de University of Toronto, en de ingescande coupes uit het
LUMC hier onder:
Immunohistochemische kleuringen en next generation
sequencingSpitz tumoren kunnen histologisch uitgesproken maligne kenmerken hebben zoals vele mitosen, sterke nucleaire atypie, uitgebreide pagetoïde verspreiding (ascensie in de epidermis), onduidelijke begrenzing, velden met tumorcellen, ulceratie van de epidermis, necrose, en een uitgebreid ontstekingsinfiltraat, en dan sterk lijken op een maligne melanoom. Moleculaire diagnostiek kan dan het onderscheid maken. Worden er tyrosine kinase fusies (ALK, ROS1, NTRK1) of eventueel HRAS mutaties gevonden dan is het waarschijnlijk een Spitz tumor, maar als er BRAF of NRAS mutaties worden gevonden dan is het verdacht voor melanoom.
Spitztumoren met maligne kenmerken worden vooral gezien bij adolescenten (11-18 jaar). Met een immunohistochemie panel (BRAF V600E, RAS Q61R, ROS1, ALK, panTRK) is het onderscheid beter te maken. Ook expressie van P16 (een product van CDKN2A) zegt iets, benigne Spitzoïde tumoren zijn vaak P16+ en BRAF V600E-, verlies van P-16 expressie is geassocieerd met maligne gedrag. Mutatie analyse op DNA / RNA niveau met behulp van NGS (next generation sequencing) en FISH (fluorescent in situ hybridisation) geven nog meer informatie, maar deze technieken zijn niet overal beschikbaar. NGS wordt aanbevolen bij Spitzoïde tumoren die 1 of meer van de volgende kenmerken vertonen: tumor
>1 cm, ulceratie, mitosen ≥ 6/mm2, uitbreiding tot in subcutis, groeiende dermale nodus, BRAF V600E+ (melanoom marker), P16 verlies, Ki-67 proliferatie index ≥ 20%), of andere verontrustende histologische of klinische kenmerken. Er zijn NGS panels voor gene fusions (ALK, ROS1, NTRK1, NTRK3, MET, RET, BRAF, MAP3K8), driver mutaties in andere genen (b.v. HRAS), copy-number aberrations (b.v. bi-allelische inactivatie van CDKN2A, dat codeert voor P16 en p14ARF), en TERT promoter mutaties (c.-124C>T, c.-146C>T, or c.-138/-139CC>TT). TERT promoter mutaties bij een atypische Spitzoïde tumor zijn sterk gecorreleerd met maligne gedrag en zelfs fatale afloop, vooral bij BRAF en MAP3K8 positieve tumoren. CDKN2A inactivatie zonder andere afwijkingen zegt niet zoveel.
Vaak worden de begrippen
Spitz melanoma en
Spitzoïd melanoma door elkaar gebruikt maar volgens de ESP-EORTC-EURACAN en WHO classificatie is een
Spitzoïd melanoom een melanoom dat klinisch en histologisch (spoelcellen) lijkt op een Spitz naevus, maar dat toch een melanoom is op basis van genetische kenmerken (de aanwezigheid van de BRAF V600E mutatie of andere melanoomspecifieke mutaties). Een
Spitz melanoom heeft histologisch kenmerken van een Spitz tumor, en meestal ook de specifieke driver mutaties die daarbij kunnen worden gezien, maar niet de mutaties die worden gezien bij een klassiek melanoom.
Therapie:Bij klassieke presentatie (kinderleeftijd (<12
jaar), snel ontstaan, symmetrisch, acra, rood of roodbruin, of gepigmenteerd met een
starburst pattern) is het geoorloofd
om op klinische gronden de diagnose Spitz naevus te stellen en geen excisie
te verrichten maar de laesie te vervolgen. In alle andere gevallen is het verstandiger
om te excideren. Er is geen consensus op dit gebied. Een enquete onder
kinderdermatologen leverde op dat bij een niet gepigmenteerde laesie 50% werd
geëxcideerd en bij een gepigmenteerde laesie 70%.
Bij 255 kinderen
waarbij besloten werd een Spitz naevus te verwijderen, was de PA diagnose bij 82% benigne
Spitz naevus, bij 17% atypische Spitz naevus (niet gespecificeerd in
low-grade of high-grade melanocytoma), en bij 0.5-1% maligne Spitz(oïd)
melanoom (Herzum A. et al., 2023).
In het artikel van Lallas et al.
(2017) over dermatoscopie worden ook adviezen gegeven (expert opinion) over
excisie of vervolgen. Laesies met Spitzoide kenmerken die bij dermatoscopie
asymmetrisch zijn, ongeacht de leeftijd en ongeacht of ze vlak/licht verheven of nodulair zijn, excideren. Bij
symmetrische laesies bij kinderen boven de 12 jaar is het advies ook excideren, met als tweede keus de optie van zorgvuldig vervolgen. Daarmee wordt bedoeld zeer frequente controle, bij
nodulaire laesies na 2,4, en 8 weken en daarna elke 2 maanden, bij
vlakke / licht verheven laesies elke 2-3 maanden. Als er tussen 2 bezoeken
groei optreedt, alsnog excideren. Bij
kinderen onder de 12 jaar met symmetrische nodulaire laesies is het advies ook excisie, met als tweede keus frequente controle na 2,4, en 8 weken en daarna elke 2 maanden. Bij
kinderen onder de 12 jaar met vlakke / licht verheven laesies is vervolgen (controle elke 2-3 maanden tot aan stabilisatie) een optie. Dit geldt vooral voor
gepigmenteerde laesies met een Starburst patroon (Naevus van Reed), die volledig symmetrisch blijven; bij elk ander patroon is er toch weer twijfel of excisie niet een betere keuze is dan vervolgen. Dit artikel bevat een
stroomdiagram, maar bijna alle pijlen gaan naar excisie als eerste keus, behalve de symmetrisch blijvende laesies met Starburst patroon bij kinderen onder de 12 jaar.
| Boven de 12 jaar: |
Onder de 12 jaar: |
| asymmetrisch |
excideren |
asymmetrisch |
excideren |
symmetrisch, nodulair |
excideren of frequente controle 2,4 en 8 wk, daarna elke
2 mnd - bij groei: excisie |
symmetrisch, nodulair |
excideren of frequente controle 2,4 en 8 wk, daarna elke
2 mnd - bij groei: excisie |
symmetrisch, vlak / verheven |
excideren of controle elke 2-3 mnd - bij groei: excisie |
symmetrisch, vlak / verheven starburst pattern |
vervolgen, controle elke 2-3 mnd tot stabilisatie -
symmetrische groei: vervolgen - asymmetrische groei: excisie |
| |
|
symmetrisch, vlak / verheven overige varianten |
lichte voorkeur voor excisie, of vervolgen elke 2-3 mnd
- bij groei: excisie |
Lallas A. et al. Br J Dermatol 2017;177(3):645-655.
Schildwachtklier onderzoekBij atypische Spitz tumoren
waarbij
sentinel node biopsy werd verricht, waren
de klieren zeer vaak positief (bij 47%), ook bij jonge kinderen (Ludgate MW.
et al., 2009). Het bijzondere is dat deze cellen zich niet maligne
gedroegen: in een serie van 57 patiënten geen klinische lymfkliermetastasen,
geen metastasen op afstand, geen recidieven, geen mortaliteit. Daarom is het
verrichten van een sentinel node procedure niet zinvol.

Diagnostische
excisie met een marge van minimaal 2 mm. Het is belangrijk om dit goed af te
tekenen en desnoods iets ruimer te excideren als dit eenvoudig te doen is, om
zeker te weten dat de naevus in zijn geheel verwijderd is. Dit omdat bij de
PA-diagnose Spitz naevus of low-grade Spitz melanocytoma geen advies tot re-excisie
zal volgen. Is het een Spitzoïd melanoom, dan gelden de regels van een melanoom
(re-excisie met een marge (indien mogelijk) van 1 of 2 cm afhankelijk van de
Breslow dikte, en bespreken van de optie schildwachtklier onderzoek bij stadium
T1b of hoger (< 0.8 mm maar met ulceratie, of 0.8 - 1.0 mm, zonder of met
ulceratie)). Meestal wordt besloten om geen schildwachtklier onderzoek meer
te doen bij Spitzoïde tumoren omdat er geen consequenties aan verbonden
worden. Bij high-grade Spitz melanocytoma wordt een re-excisie met een marge van 5-10 mm aanbevolen.
Bij STUMP is volgens een recent artikel van de Children's Oncology Group (2025)
een marge van 5 mm voldoende (zie onder
STUMP).
Daarom wordt bij een high-grade Spitz melanocytoma meestal ook niet een
grotere marge dan 5 mm aangehouden, ook omdat het vaak gaat om laesies in
het gelaat, en bij kleine kinderen. Bij het klassieke melanoom is ook
onzekerheid ontstaan over of die re-excisies met grote marges van 1 of 2 cm
nog wel zo zinvol zijn, daar loopt onderzoek naar.
| Diagnostiek: |
PA: |
Re-excisie: |
punchbiopt (niet aanbevolen) |
Spitz naevus |
niet nodig |
| low-grade Spitz melanocytoma |
ja, marge 1-3 mm |
| high-grade Spitz melanocytoma* |
ja, marge 5-10 mm |
| Spitz melanoma |
ja, conform melanoom |
| STUMP |
ja, marge 5 mm |
diagnostische excisie 2 mm |
Spitz naevus |
niet nodig |
| low-grade Spitz melanocytoma |
niet nodig |
| high-grade Spitz melanocytoma* |
ja, marge 5-10 mm |
| Spitz melanoma |
ja, conform melanoom |
| STUMP |
ja, marge 5 mm |
* De Children's Oncology Group (2025) stelt dat er geen onderscheid te maken
is tussen high-grade Spitz melanocytoma en Spitz melanoma en beveelt aan dit
te classificeren als Spitz melanoma. Dat betekent een marge van 1 of 2 cm afhankelijk
van de Breslow dikte, indien mogelijk. Bij kritieke locaties, zoals in het gelaat,
met name bij kinderen, is 5 mm ook acceptabel bij de PA diagnosen high-grade
Spitz melanocytoma, Spitzoid melanoma en Spitz melanoma. Bij STUMP, een diagnose
waarbij melanoom niet kan worden uitgesloten, wordt in studies
geen verschil gezien tussen re-excisie met 5 of 10 mm marge, daarom is het advies
bij STUMP nu 5 mm.
Prognose:De prognose van een Spitz naevus
op de kinderleeftijd is goed. Uit de follow-up gegevens blijkt dat het benigne
laesies zijn. Er zijn gevallen bekend van Spitz naevi die later toch een melanoom
bleken te zijn, maar dat bleken oudere kinderen te zijn (vanaf puberleeftijd)
en het aantal case reports is zeer laag.
Referenties
| 1. |
Gelbard SN, Tripp JM, Marghoob AA, Kopf AW,
Koenig KL, Kim JY, Bart RS. Management of Spitz nevi: a survey of
dermatologists in the United States. J Am Acad Dermatol 2002;47(2):224-230.
|
| 2. |
Tlougan BE, Orlow SJ, Schaffer JV. Spitz
nevi: beliefs, behaviors, and experiences of pediatric dermatologists.
JAMA Dermatol 2013;149(3):283-291. |
| 3. |
Urso C. Spitz Tumors and Melanoma in the
Genomic Age: A Retrospective Look at Ackerman's Conundrum. Cancers
(Basel) 2023;15(24):5834.
PDF |
| 4. |
de la Fouchardiere A, Blokx W, van Kempen
LC, Luzar B, Piperno-Neumann S, Puig S, Alos L, Calonje E, Massi
D; ESP Dermatopathology Working Group; EORTC Melanoma Group; EURACAN.
ESP, EORTC, and EURACAN Expert Opinion: practical recommendations
for the pathological diagnosis and clinical management of intermediate
melanocytic tumors and rare related melanoma variants. Virchows
Arch 2021;479(1):3-11.
PDF |
| 5. |
Sargen MR, Barnhill RL, Elder DE, Swetter
SM, Prieto VG, Ko JS, Bahrami A, Gerami P, Karunamurthy A, Pappo
AS, Schuchter LM, LeBoit PE, Yeh I, Kirkwood JM, Jen M, Dunkel IJ,
Durham MM, Christison-Lagay ER, Austin MT, Aldrink JH, Mehrhoff
C, Hawryluk EB, Chu EY, Busam KJ, Sondak V, Messina J, Puig S, Colebatch
AJ, Coughlin CC, Berrebi KG, Laetsch TW, Mitchell SG, Seynnaeve
B. Evaluation and Surgical Management of Pediatric Cutaneous Melanoma
and Atypical Spitz and Non-Spitz Melanocytic Tumors (Melanocytomas):
A Report From Children's Oncology Group. J Clin Oncol 2025;43(9):1157-1167.
PDF |
| 6. |
Patel D, Chawla R, Patel AJK. Clinical features
and outcomes of paediatric Spitz-type lesions. J Plast Reconstr
Aesthet Surg 2024;97:282-286.
PDF |
| 7. |
Yeh I. Melanocytic naevi, melanocytomas and
emerging concepts. Pathology 2023;55(2):178-186.
PDF |
| 8. |
Chatzopoulos K, Syrnioti A, Linos K. Spitz
Melanocytic Tumors: A Fascinating 75-Year Journey. Genes (Basel)
2024;15(2):195.
PDF |
| 9. |
Varey AHR, Williams GJ, Lo SN, Taing CY,
Maurichi A, Santinami M, Scolyer RA, Thompson JF. Clinical management
of melanocytic tumours of uncertain malignant potential (MelTUMPs),
including melanocytomas: A systematic review and meta-analysis.
J Eur Acad Dermatol Venereol 2023;37(5):859-870.
PDF |
| 10. |
Herzum A, Occella C, Vellone VG, Gariazzo L, Pastorino C, Ferro J, Sementa A, Mazzocco K, Vercellino N, Viglizzo G. Paediatric Spitzoid Neoplasms: 10-Year Retrospective Study Characterizing Histological, Clinical, Dermoscopic Presentation and FISH Test Results. Diagnostics (Basel) 2023;13(14):2380.
PDF |
| 11. |
Ferrara G, Argenziano G. The WHO 2018 Classification of Cutaneous Melanocytic Neoplasms: Suggestions From Routine Practice. Front Oncol 2021;11:675296.
PDF |
| 12. |
Ludgate MW, Fullen DR, Lee J, Lowe L, Bradford C, Geiger J, Schwartz J, Johnson TM. The atypical Spitz tumor of uncertain biologic potential: a series of 67 patients from a single institution. Cancer 2009;115(3):631-641.
PDF |
| 13. |
Lallas A, Apalla Z, Ioannides D, Lazaridou E, Kyrgidis A, Broganelli P, Alfano R, Zalaudek I, Argenziano G; International Dermoscopy Society. Update on dermoscopy of Spitz/Reed naevi and management guidelines by the International Dermoscopy Society. Br J Dermatol 2017;177(3):645-655.
PDF |
Author(s):dr. Jan R. Mekkes. Dermatologist, Amsterdam UMC.