Een
angiolipoma is een lipoom met een vasculaire component.
Deze lipomen kunnen pijnlijk zijn. Kan een variant lipomatosis zijn (zie
lipoma), of onderdeel van het syndroom van
Launois-Bensaude (
benign
symmetrical lipomatosis): diffuse uitgebreide toename van vetweefsel en
soms weke subcutane tumoren, vooral nek, bovenlichaam, bovenarmen, en flanken.
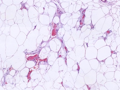
![Histologie angiolipoma (click on photo to enlarge) [source: Kevin Kwee / Afdeling Pathologie MUMC] Histologie angiolipoma](../../../pacoupes/thumbnails/angiolipoom-1.jpg) |
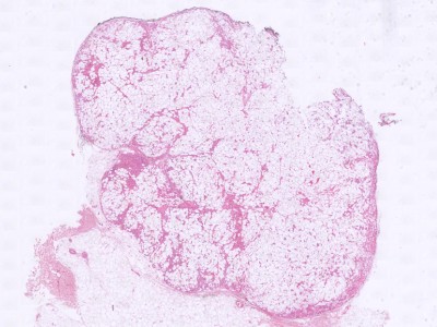
![Histologie angiolipoma (click on photo to enlarge) [source: Kevin Kwee / Afdeling Pathologie MUMC] Histologie angiolipoma](../../../pacoupes/thumbnails/angiolipoom-2.jpg) |
|
ingescande coupe (zoom) |
ingescande coupe (zoom) |
Bron
hoge resolutie PA-foto's: Kevin Kwee en Afdeling Pathologie MUMC. Klik
op de afbeelding om in te zoomen.
DD: zie onder het acroniem
LEND AN EGG.
Therapie:

Excisie van
de gehele laesie.
Author(s):dr. Jan R. Mekkes.
Dermatologist, Amsterdam UMC.