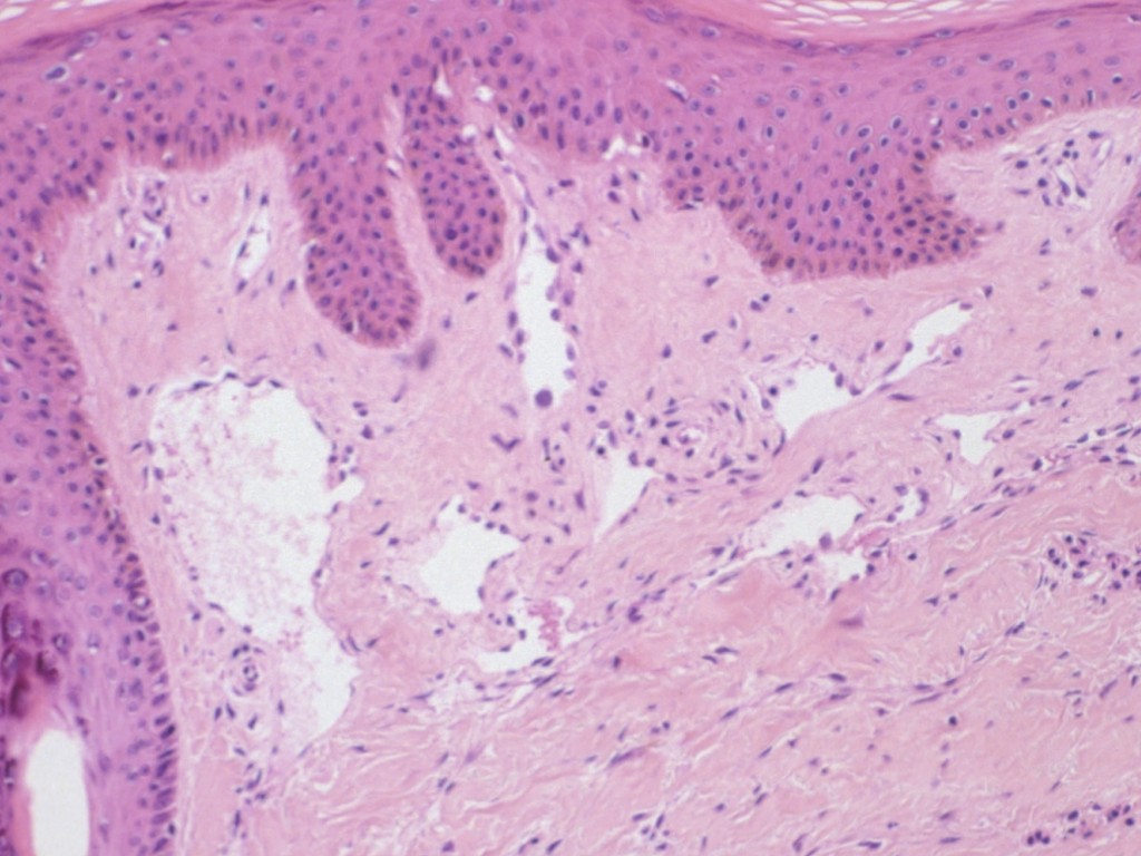
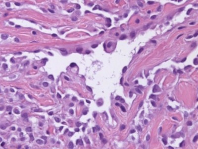
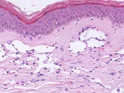
Een
hobnail hemangioma (synoniem:
targetoid
hemosiderotic hemangioma) is een goedaardige
vasculaire tumor
die er klinisch uitziet als een klein hemangioom. Histologisch wordt het gekenmerkt
door endotheel waarvan de kernen als kopspijkertjes (hobnails) uitsteken in
het lumen. De diagnose wordt meestal pas gesteld door de patholoog, op materiaal
dat wordt ingezonden onder diagnosen als hemangioom, dermale naevus, histiocytoma,
lymfangioom, Kaposi sarcoom. De laesies kunnen overal ontstaan, meestal op de
extremiteiten of de rug, en op elke leeftijd (gemiddeld rond de 30 jaar). Uit
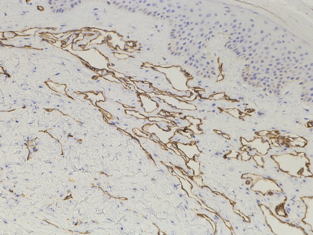
recente studies waarbij markers voor lymfvaten (D2-40 kleuring) zijn gebruikt
is gebleken dat het hobnail hemangioma eigenlijk geen hemangioom is maar een
lymfatische malformatie. Als nieuwe naam wordt
superficial hemosiderotic
lymphatic malformation voorgesteld.
DD: hemangioom,
dermale naevus, fibreus histiocytoma,
dermatofibroom, lymfangioom,
lymfangioendothelioom,
melanoom,
gepigmenteerd basaalcelcarcinoom,
blue naevus,
granuloma pyogenicum,
Kaposi sarcoma,
angiokeratoma circumscriptum.
Therapie

Excisie met
een krappe marge is meestal afdoende. De laesie is niet kwaadaardig en recidiveert
zelden.
Referenties
| 1. |
Trindade F et al. Hobnail hemangioma reclassified
as superficial lymphatic malformation: A study of 52 cases. J Am
Acad Dermatol 2012;66:112. |
Author(s):dr. Jan R. Mekkes. Dermatologist, Amsterdam UMC.