NEURILEMMOMA (Schwannoma) home ICD10: D36.1

Een neurilemmoma of Schwannoma is een tumor uitgaande van zenuwen. Histologisch onderzoek (S100 kleuring) toont aan het een Schwannoma is. Komt geïsoleerd voor maar ook (vooral) bij neurofibromatosis. Het kan overal zitten (extremiteiten, m.n. handen en voeten, lichaam, gelaat, lip, tong, verhemelte, intracraniaal).

Schwannoma Schwannoma
Schwannoma Schwannoma

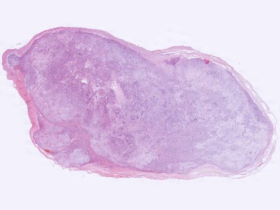
Histologie Schwannoma Histologie Schwannoma
ingescande coupe (zoom) ingescande coupe (zoom)

Bron hoge resolutie PA-foto's: Kevin Kwee en Afdeling Pathologie MUMC. Klik op de afbeelding om in te zoomen.


DD: lipoma, epidermale cyste, perineurioma.

Therapie:
Excisie. Voorzichtige excisie, op kritieke plaatsen waar motorische zenuwen lopen bij voorkeur door de plastische chirurg. Er kunnen zenuwen beschadigd raken door de ingreep.


Author(s):
dr. Jan R. Mekkes. Dermatologist, Amsterdam UMC.

20-12-2023 (JRM) - www.skin-diseases.eu Terug naar homepagina



Diagnosis codes:
ICD10 D36.1 Benigne neoplasma van perifere zenuwen en autonoom zenuwstelsel: neurilemmoma
ICD10 D36.1 Benign neoplasm of peripheral nerves and autonomic nervous system: neurilemmoma
SNOMED 404022001 Neurilemmoma
DBC 3 Benigne tumoren