NEURINOMA (NEURINOOM, NEUROOM) home ICD10: D36.1

Een neurinoom (neurinoma, neuroom) is een goedaardige tumor uitgaand van de Schwann cellen die de zenuwen omgeven. Neurinomen kunnen in de huid voorkomen, vooral aan de handen en aan de voeten. Ze kunnen echter ook in onderdelen van het zenuwstelsel ontstaan, zoals in de gehoorzenuwen (acusticus neurinoom, akoestisch neuroom van de achtste hersenzenuw), in oogzenuwen (n. opticus neurinoom) en in het ruggemerg. Hoewel het een goedaardige tumor is kan een neurinoom grote schade aanrichten, door beklemming en verdringing van zenuwen en ze kunnen pijnklachten veroorzaken. Bij een akoestisch neuroom kunnen doofheid en evenwichtsklachten ontstaan. Ook facialis parese, blindheid en dwarslaesies kunnen ontstaan door neurinomen.

Neurinomen kunnen spontaan ontstaan of na trauma. Ook na chirurgische ingrepen waarbij zenuwvezels zijn beschadigd.

Een andere vorm van een neurinoom is het neurinoom van Morton, tussen de tenen, meestal tussen dig 3 en 4. Dit komt vooral voor bij vrouwen na de middelbare leeftijd, men denkt dat het ontstaat door druk op de voorvoet door het lang dragen van te strak zittende schoenen en schoenen met hoge hakken.

Een neurinoom kan worden afgebeeld op een MRI.

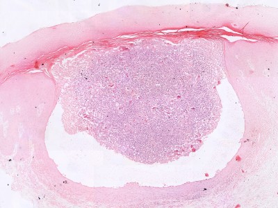
Histologie neurinoom
ingescande coupe (zoom)

Bron hoge resolutie PA-foto: Kevin Kwee en Afdeling Pathologie MUMC. Klik op de afbeelding om in te zoomen.


DD: Schwannoom, lipoom.

Therapie:
Bij pijnklachten of neurologische schade excisie van de tumor door plastisch chirurg, orthopedisch chirurg, neurochirurg, KNO chirurg, afhankelijk van de lokatie.


Author(s):
dr. Jan R. Mekkes. Dermatologist, Amsterdam UMC.

31-05-2023 (JRM) - www.skin-diseases.eu Terug naar homepagina



Diagnosis codes:
ICD10 D36.1 Benigne neoplasma van perifere zenuwen en autonoom zenuwstelsel: neuroma
ICD10 D36.1 Benign neoplasm of peripheral nerves and autonomic nervous system: neuroma
SNOMED 443892003 Neuroma
DBC 3 Benigne tumoren