Een
keratoacanthoom is een nodulaire, snelgroeiende
benigne tumor, uitgaande van de pilosebaceus unit (haarfollikel + talgklier),
1-2 cm doorsnede, met een opgeworpen epitheliale wal en centraal een inzinking
waarin een hoornmassa. Het komt vooral voor op het gelaat, en de overige aan
zonlicht blootgestelde huid. De voorkeursbehandeling bestaat uit
excisie met een marge van 3-5 mm of
curettage.
Het is soms erg moeilijk om een keratoacanthoom klinisch en histologisch
te onderscheiden van een goed gedifferentieerd plaveiselcelcarcinoom. De patholoog
geeft vaak als beoordeling 'keratoacanthoom, goed gedifferentieerd plaveiselcelcarcinoom
niet uit te sluiten', of andersom. Sommige pathologen beschouwen het keratoacanthoom
als een variant van plaveiselcelcarcinoom en noemen het een scc, keratoacanthoma
type. Pathologen willen ook niet graag een verkeerde diagnose stellen en houden
zich op deze manier op de vlakte; de uit Amerika oprukkende claimcultuur in
de geneeskunde speelt daarbij een rol. De gevolgen kunnen ingrijpend zijn: goedaardige
keratoacanthomen op cosmetisch moeilijke plekken (neus, oogleden, gelaat) worden
ruim verwijderd met als gevolg destructie van vitale structuren en lelijke littekens,
terwijl dat eigenlijk niet nodig was geweest. Aan de andere kant kan een als
keratoacanthoom beoordeelde laesie toch een plaveiselcelcarcinoom zijn met kans
op doorgroei en metastasering. De kans daarop is niet groot, want bij deze klinische
presentatie staat in de dd alleen een goed gedifferentieerd plaveiselcelcarcinoom.
De ervaren clinicus kan besluiten dat het een keratoacanthoom is en
geen plaveiselcelcarcinoom. Op klinische kenmerken zoals snelle groei, hoornkrater,
bolvormig, gesteeld en oppervlakkig, alsof het meer op de huid ligt dan er diep
in verzonken. En dan vervolgens besluiten om te
curetteren
en niet te excideren. De voorbeelden hieronder illustreren het, dit zijn allemaal
keratoacanthomen. Keratoacanthoom 1 en 2 worden door de clinicus beoordeeld
als zeker keratoacanthoom; bij keratoacanthoom 3 is er twijfel: dit zou ook
een plaveiselcelcarcinoom kunnen zijn en is geëxcideerd met een marge van 5
mm. Het was een keratoacanthoom.
![Keratoacanthoom (click on photo to enlarge) [source: www.huidziekten.nl] Keratoacanthoom](../../../images/keratoacanthoom-3z.jpg) |
![Keratoacanthoom (click on photo to enlarge) [source: www.huidziekten.nl] Keratoacanthoom](../../../images/keratoacanthoom-5z.jpg) |
| keratoacanthoom
1 |
keratoacanthoom
2 |
![Keratoacanthoom (click on photo to enlarge) [source: www.huidziekten.nl] Keratoacanthoom](../../../images/keratoacanthoom-2z.jpg) |
![Keratoacanthoom (click on photo to enlarge) [source: www.huidziekten.nl] Keratoacanthoom](../../../images/keratoacanthoom-1z.jpg) |
| keratoacanthoom
3 |
keratoacanthoom
4 |
Het voorkeursbeleid bij keratoacanthoom is aan het verschuiven van
curetteren en elektrocoagulatie naar excideren met een marge van 3-5 mm,
zodat de patholoog de hele tumor inclusief bodem kan beoordelen en een
uitspraak kan doen over keratoacanthoom versus scc en eventuele invasieve
groei. In de richtlijn plaveiselcelcarcinoom wordt 4 mm aanbevolen voor een
goed gedfifferentieerd (laag risico) plaveiselcelcarcinoom; deze marge is
dus ook geschikt voor een keratoacanthoom. Het advies om te excideren is
niet gebaseerd op evidence, en wordt beïnvloed door de angst een
plaveiselcelcarcinoom te missen. De PA uitslag helpt daarbij niet. Immers,
of er nu curettage materiaal wordt ingestuurd of de hele geëxcideerde tumor
met marge, de patholoog zal bijna altijd opschrijven dat een goed
gedifferentieerd plaveiselcelcarcinoom niet uit te sluiten is.
De
onderstaande tabel geeft de subtiele verschillen weer tussen keratoacanthoom
en plaveiselcelcarcinoom:
| Klinische verschillen tussen een keratoacanthoom
en een plaveiselcel carcinoom: |
| |
Kerato-acanthoom |
Plaveiselcel carcinoom |
| vorm: |
rond, regelmatig molluscoïd |
onregelmatig, knopvorming |
| grootte: |
eerder groot |
eerder klein |
| kleur: |
geel-rood |
meer rood |
| centrum: |
keratotische prop |
vaak ulcus |
| teleangiëctasieën: |
meestal aanwezig |
meestal niet |
| huid rondom: |
onveranderd |
vaak precancereus |
| consistentie: |
zeer vast |
vast |
| groei: |
snel (weken) |
langzaam (maanden) |
| beloop: |
regressie |
progressie |
| slijmvlies: |
ongewoon |
niet ongewoon |
| metastasen: |
niet |
mogelijk |
| leeftijd: |
> 55 jaar |
> 70 jaar |
| |
| Histologische verschillen tussen een keratoacanthoom
en een plaveiselcel carcinoom: |
|
Kerato-acanthoom |
Plaveiselcel carcinoom |
| groei: |
exo- en endophytisch |
endophytisch groeiend |
| diepte: |
niet dieper dan zweetklieren |
geen beperking aan dieptegroei |
| centrum: |
centrale hoorn krater |
centrale ulceratie |
| begrenzing: |
omgeven door epitheel lip |
geen epitheliale lipping |
| omgeving: |
epitheel omgeving onveranderd |
omgeving precancereus veranderd |
| cytoplasma: |
eosinofiel-bleek cytoplasma |
meer basofiel |
| keratinisatie: |
compleet, goed ontwikkeld stratum granulosum |
incomplete keratinisatie |
| abcessen: |
vaak intra-epitheliale neutrofiele abcessen |
zelden |
| acantholyse: |
acantholytische cellen in neutrofiele abcessen |
acantholytische cellen niet gebonden aan neutrofiele abcesvorming |
| atypie: |
cellulaire atypie en abnormale mitosen alleen in vroege stadia |
frequent cellulaire atypie en abnormale mitosen |
| inclusies: |
epitheliale vezelinclusie (elastine, collageen) tot in de hoornmassa |
meer incidenteel |
| infiltraat: |
lymfo's, plasmacellen, neutro's, eo's, histiocyten, reuscellen |
overwegend lymfocyten en plasmacellen |
Keratoacanthomen komen vooral voor bij ouderen (>65 jaar), meer bij
mannen dan bij vrouwen. Het is een frequente tumor (circa 1:1000 onder de blanke
populatie). De oorzaak is niet precies bekend. Zonexpositie is de belangrijkste
factor, mogelijk ook HPV. Bij immuunsuppressie kunnen meerdere keratoacanthomen
ontstaan en ook zeer grote. Keratoacanthomen groeien snel, bereiken in enkele
weken tot 2 maanden de grootte van 1-2 cm. Onbehandeld gaan ze daarna in 4-6
maanden in regressie. Er zijn case reports over keratoacanthomen die uiteindelijk
toch een plaveiselcelcarcinoom bleken te zijn. Er zijn geen cijfers over hoe
vaak dat voorkomt. Klinisch zijn het bolronde huidkleurige of rode nodi met
een glanzend oppervlak en een centrale hoornkrater. De voorkeurslokalisaties
zijn het gelaat en de strekzijden van de armen en handen (sun-exposed areas).
De huid direct eromheen is normaal. Ze kunnen pijnklachten geven door druk op
het onderliggende weefsel. Er bestaat ook een centrifugaal uitbreidende variant
die heel groot kan worden (
keratoacanthoma
centrifugum marginatum). Er bestaat ook een zeldzame erfelijke aandoening
waarbij multipele op keratoacanthomen lijkende goed gedifferentieerde plaveiselcelcarcinomen
voorkomen: zie onder
Ferguson-Smith
disease.
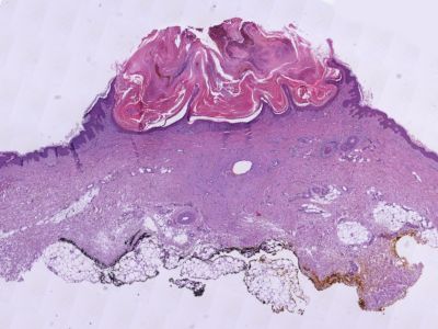
![Histologie keratoacanthoma (click on photo to enlarge) [source: Kevin Kwee / Afdeling Pathologie MUMC] Histologie keratoacanthoma](../../../pacoupes/thumbnails/keratoacanthoom-1.jpg) |
![Histologie keratoacanthoma (click on photo to enlarge) [source: Kevin Kwee / Afdeling Pathologie MUMC] Histologie keratoacanthoma](../../../pacoupes/thumbnails/keratoacanthoom-2.jpg) |
![Histologie keratoacanthoma (click on photo to enlarge) [source: Kevin Kwee / Afdeling Pathologie MUMC] Histologie keratoacanthoma](../../../pacoupes/thumbnails/keratoacanthoom-3.jpg) |
|
ingescande coupe (zoom) |
ingescande coupe (zoom) |
ingescande coupe (zoom) |
Bron
hoge resolutie PA-foto's: Kevin Kwee en Afdeling Pathologie MUMC. Klik
op de afbeelding om in te zoomen.
DD: plaveiselcelcarcinoom,
Merkelceltumor,
cornu cutaneum (op basis van AK, SCC,
verruca, etc),
amelanotisch melanoom,
metastasen,
prurigo nodularis,
Ferguson-Smith disease.
![Keratoacanthoom (click on photo to enlarge) [source: www.huidziekten.nl] Multipele keratoacanthomen](../../../images/KA-coagulatie-1z.jpg) |
![Keratoacanthoom (click on photo to enlarge) [source: www.huidziekten.nl] Multipele keratoacanthomen](../../../images/KA-coagulatie-2z.jpg) |
| multipele
keratoacanthomen |
bij immunosuppressiva |
![Keratoacanthoom (click on photo to enlarge) [source: www.huidziekten.nl] Multipele keratoacanthomen](../../../images/KA-coagulatie-3z.jpg) |
![Keratoacanthoom (click on photo to enlarge) [source: www.huidziekten.nl] Multipele keratoacanthomen](../../../images/KA-coagulatie-4z.jpg) |
| na elektrocoagulatie |
andere
been: excisie |
Therapie:

Excisie met
een marge van 3-5 mm (4 mm wordt nu aanbevolen).

Curettage
met een scherpe lepel. De lepel wordt rondom precies op de marge met kracht
naar binnen gedrukt waarna het keratoacanthoom loskomt van de onderlaag. Bodem
schoonschrapen. Eventueel kan elektrocoagulatie worden gebruikt om bloeden te
stelpen. Elektrocoagulatie kan ook worden gebruikt om een extra laag weg te
nemen van de bodem (bolletje 2 mm in de forced snijstand). Zie voor een voorbeeld
van curettage onder
chirurgische ingrepen,
curettage
van een keratoacanthoom. Als de laesie, met deze techniek niet eenvoudig
loskomt van de onderlaag dan is er twijfel of het wel een keratoacanthoom
is. Stuur het materiaal altijd in voor PA. Als er iets anders uitkomt dan
keratoacanthoom of goed gedifferentieerd plaveiselcelcarcinoom dan is
re-excisie nodig.

Electrocoagulatie.

Cryotherapie.

Ablatieve
laser.

Radiotherapie (bij grote tumoren en/of anatomisch lastige plaatsen (gelaat,
neus)).

Sommigen
noemen ook Mohs chirurgie voor grote of recidiverende tumoren, maar voor het
klassieke kerato-acanthoom is Mohs niet geïndiceerd omdat vanwege de scherpe
begrenzing een deskundig uitgevoerde primaire excisie met een marge van 4 mm
altijd al radicaal is.
Expectatief beleid (spontane regressie afwachten).
NB: de tumor kan heel groot worden en schade aanrichten aan de huid.
Daarnaast zijn er medicamenteuze behandelingen mogelijk (isotretinoïne,
intralesionaal methotrexaat, systemisch methotrexaat, intralesionaal
5-fluorouracil, intralesionaal bleomycine, imiquimod),
maar dat is allemaal inferieur aan excisie of curettage. Ook is het dubieus
of deze behandelingen echt werkten: keratoacanthomen verdwijnen immers ook spontaan
weer.
R/ methotrexaat (oplossing 25 mg/ml) intralesionaal, ampul à 2 ml,
gebruik 0.5-1.5 ml per keer. Injecteer dit in de rand, verdeeld over 4 kwadranten,
en in het centrum. Na circa een week treedt necrose op. Zonodig herhalen na
2 weken.
R/ Efudix (fluorouracil) crème, 5 dd gedurende 2-3 weken.
R/
5-fluorouracil oplossing intra-lesionaal: dagelijks of om de dag 0.1 ml van
een 5% fluorouracil oplossing injecteren in de basis, gedurende 2-3 weken.
R/ isotretinoïne 1 mg/kg/dag gedurende 1 week.
R/ Neotigason (acitretine)
1 mg/kg/dag gedurende 2 maanden (bij multiple en/of recidiverende keratoacanthomen).
R/ methotrexaat 10-15 mg per week (bij multipele en/of recidiverende keratoacanthomen).
Referenties
| 1. |
Ramselaar CG. Keratoacanthoom versus plaveiselcelcarcinoom.
Ned Tijdschr Dermatol Venereol 1991;1:148-151. |
Author(s):dr. Jan R. Mekkes. Dermatologist, Amsterdam UMC.