Een
leiomyoom is een benigne proliferatie van glad
spierweefsel, meestal uitgaande van m. arrector pilorum (
piloleiomyoma),
soms van de media van subcutane bloedvaten (
angioleiomyomen)
of van glad spierweefsel in de tepels (areolae mammae) of scrotum (tunica dartos,
dartoïde leiomyomen).
![Leiomyoma (click on photo to enlarge) [source: www.huidziekten.nl] Leiomyoma](../../../images/leiomyoma-1z.jpg) |
![Leiomyoma (click on photo to enlarge) [source: www.huidziekten.nl] Leiomyoma](../../../images/leiomyoma-2z.jpg) |
![Leiomyoma (click on photo to enlarge) [source: www.huidziekten.nl] Leiomyoma](../../../images/leiomyoma-3z.jpg) |
| leiomyomen |
leiomyomen |
leiomyomen |
![Leiomyoma (click on photo to enlarge) [source: www.huidziekten.nl] Leiomyoma](../../../images/leiomyoma-4z.jpg) |
![Leiomyoma (click on photo to enlarge) [source: www.huidziekten.nl] Leiomyoma](../../../images/leiomyoma-5z.jpg) |
![Piloleiomyoma (click on photo to enlarge) [source: www.huidziekten.nl] Piloleiomyoma](../../../images/piloleiomyoom-1z.jpg) |
| leiomyoom |
leiomyoom |
piloleiomyomen |
![Piloleiomyoma (click on photo to enlarge) [source: www.huidziekten.nl] Piloleiomyoma](../../../images/piloleiomyoom-2z.jpg) |
![Piloleiomyoma (click on photo to enlarge) [source: www.huidziekten.nl] Piloleiomyoma](../../../images/piloleiomyoom-3z.jpg) |
![Piloleiomyoma (click on photo to enlarge) [source: www.huidziekten.nl] Piloleiomyoma](../../../images/piloleiomyoom-4z.jpg) |
| piloleiomyomen |
piloleiomyomen |
piloleiomyomen |
Klinisch beeld:Solitaire of multipele noduli/nodi,
roze tot bruin, soms bruingeel van kleur. Piloleiomyomen komen het meest voor
en manifesteren zich in 80% van de gevallen als multipele laesies, op de strekzijde
van de extremiteiten, romp of gelaat en nek. Ze beginnen bij jong-volwassenen
(20-40 jaar) en kunnen 1-2 cm groot worden. Bij aanraking en soms door koude
worden ze pijnlijk, gevoelig, door contractie van de spiervezels.
Angioleiomyomen zijn meestal solitaire
noduli aan de onderbenen, uitgaande van een venewand en komen het meest voor
vanaf middelbare leeftijd, vooral bij vrouwen.
Cutane leiomyomen kunnen
familiair voorkomen (autosomaal dominant). Hierbij bestaat een verhoogde kans
op uterusleiomyomen (syndroom van Reed) of nierkanker (papillaire type II-niercelcarcinomen
of verzamelbuiscarcinomen). Deze syndromen staan bekend onder 'multipele cutane
en uteriene leiomyomatose syndroom' (MCUL,
OMIM
150800) en 'hereditaire
leiomyomatose en niercelkanker syndroom' (HLRCC). In 2002 werd ontdekt dat het
fumaraathydratase (FH)-gen op chromosoom 1q42.3-43 verantwoordelijk is voor
MCUL en HLRCC. Heterozygote mutaties in het FH-gen leiden tot MCUL en HLRCC;
homozygote mutaties veroorzaken het autosomaal recessieve fumarasedeficiëntiesyndroom
(FHD). FHD is een ernstige metabole ziekte die gepaard gaat met mitochondriële
encefalopathie en snel tot de dood leidt. Stapeling van fumaraten bij FH deficiëntie
kan via toename van HIF (hypoxia induced factor) een hypoxierespons uitlokken
met productie van VEGF, PDGF en EGFR. Leiomyomen kunnen ook erytropoëtine produceren
(polycythemie kan ontstaan).
De diagnose HLRCC moet worden overwogen
bij multipele cutane leiomyomen, waarvan minstens 1 histologisch bevestigd (major
criterium), of bij 2 of meer van de volgende minor criteria: type II-papillair
renaalcelcarcinoom voor de leeftijd van 40 jaar, of ernstige symptomatische
uteriene fibromen voor de leeftijd van 40 jaar, of een solitair cutaan leiomyoom
bij iemand met HLRCC in de familie of met een eerstegraadsverwant met niercelcarcinoom
of uterusfibromen.
DD:
glad spiercel hamartoom,
leiomyosarcoma,
rhabdomyoma, rhabdomyosarcoma,
eccrien
poroma,
Kaposi sarcoma,
Spitz naevus,
mastocytose,
naevus van Becker.
Diagnostiek:
Biopt afnemen.
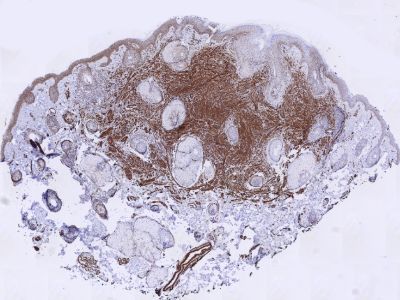
PA:In de dermis een niet goed afgrensbare proliferatie van spoelvormige spiercellen. Wanordelijke bundels van gladde spiervezels, vermengd met verschillende hoeveelheden collageen. De bundels infiltreren tussen huidadnexen zonder aantasting hiervan. De spoelvormige spiercellen hebben rondovale, sigaarvormige kernen met stompe uiteinden en een langgerekt, niet goed afgrensbaar eosinofiel cytoplasma. Geen cytonucleaire atypie, geen mitosen. In het HE preparaat worden ze soms voor fibromen gehouden; met de Van-Gieson-kleuring vallen ze op door gele bundels glad spierweefsel, in allerlei richtingen verlopend, tussen de rood gekleurde collageen vezels. Bij immuunhistochemie is de laesie positief voor desmine en ASMA, S100 is negatief.
![Histologie leiomyoma (click on photo to enlarge) [source: Kevin Kwee / Afdeling Pathologie MUMC] Histologie leiomyoma](../../../pacoupes/thumbnails/leiomyoom.jpg) |
![Histologie leiomyoma (ASMA kleuring) (click on photo to enlarge) [source: Kevin Kwee / Afdeling Pathologie MUMC] Histologie leiomyoma (ASMA kleuring)](../../../pacoupes/thumbnails/leiomyoom-ASMA.jpg) |
![Histologie leiomyomatosis (click on photo to enlarge) [source: Kevin Kwee / Afdeling Pathologie MUMC] Histologie leiomyomatosis](../../../pacoupes/thumbnails/leiomyomatose.jpg) |
|
ingescande coupe (zoom) |
ingescande coupe (zoom) |
ingescande coupe (zoom) |
Bron
hoge resolutie PA-foto's: Kevin Kwee en Afdeling Pathologie MUMC. Klik
op de afbeelding om in te zoomen.
Bij een patiënt met bewezen multipele cutane leiomyomen dient een gedetailleerde
(familie)anamnese afgenomen te worden met bijzondere aandacht voor uterusleiomyomen
en nierkanker.
Alle vrouwelijke patiënten dienen minstens eenmalig
naar de gynaecoloog te worden verwezen voor een inwendige echografie.
DNA-onderzoek naar mutaties in het
FH-gen is mogelijk en het wordt aanbevolen dit te doen. Dit kan o.a. worden
verricht in het laboratorium voor
DNA-diagnostiek
van de afdeling Klinische Genetica van het Universitair Medisch Centrum St Radboud
in Nijmegen. Indien er op basis van DNA diagnostiek en/of kliniek sprake is
van het
multipele cutane en uteriene leiomyomatose syndroom,
dan wordt aangeraden om
minstens elke 3 jaar echografie of CT van
de nieren te verrichten in verband met een verhoogde kans op niertumoren.
Lattouf et al. adviseren het volgende nog strengere controleschema voor HLRCC:
| 8 jaar: |
MRI abdomen (éénmalig) |
| vanaf 8 jaar: |
dermatologisch onderzoek jaarlijks |
| 12, 14 en 16 jaar: |
echo abdomen |
| vanaf 18 jaar: |
CT of MRI abdomen jaarlijks (MRI
heeft voorkeur) |
| vanaf 21 jaar: |
gynaecologisch onderzoek en echo
onderbuik jaarlijks |
Therapie:

Solitaire
laesies excideren.
R/ lokale analgetica (xylocaïne zalf of EMLA crème).
R/ systemische analgetica.
R/ bij multipele pijnlijke laesies eventueel calcium-antagonisten
zoals Adalat Oros (nifedipine, 1 dd 30 mg) of Isoptin (verapamil), of α1-receptorblokkers
zoals prazosine (begindosering 2 dd 0.5 mg, maximaal 2 dd 2 mg).
R/ nitroglycerine
(spierrelaxans) spray voor oromucosaal gebruik 0.4 mg/dosis, 1-2 doses onder
de tong bij pijnklachten.
R/ Capsaïcine crème 0.025 - 0.075% FNA.
R/ Neurontin
(gabapentine) 1 dd 300 mg, zonodig geleidelijk ophogen naar 3 dd 300 mg.
R/ methotrexaat in hoge doseringen of intralesionaal.
Referenties
| 1. |
Holst VA, et al. Cutaneous smooth muscle
neoplasms: clinical features, histologic findings, and treatment
options. J Am Acad Dermatol 2002;46:477. |
| 2. |
Badeloe S, Steijlen PM, van Geel M, van Steensel
MAM, Poblete-Gutiérrez P, Frank JA. Van gen naar ziekte; leiomyomatosis
cutis. Ned Tijdschr Geneeskd 2007;151:300-304. |
| 3. |
Reed WB, Walker R, Horowitz R. Cutaneous
leiomyomata with uterine leiomyomata. Acta Derm Venereol 1973;53:409-416. |
| 4. |
Launonen V, Vierimaa O, Kiuru M, Isola J,
Roth S, Pukkala E, et al. Inherited susceptibility to uterine leiomyomas
and renal cell cancer. Proc Natl Acad Sci USA 2001;98:3387-3392. |
| 5. |
Alam NA, Olpin S, Leigh IM. Fumarate hydratase
mutations and predisposition to cutaneous leiomyomas, uterine leiomyomas
and renal cancer. Br J Dermatol 2005;153:11-17. |
| 6. |
Badeloe S, Geel M van, Steensel van MA, Bastida
J, Ferrando J, Steijlen PM, et al. Diffuse and segmental variants
of cutaneous leiomyomatosis: novel mutations in the fumarate hydratase
gene and review of the literature. Exp Dermatol 2006;15:735-741. |
| 7. |
Lattouf JB, Pautler SE, Reaume MN, et al.
Structured assessment and followup for patients with hereditary
kidney tumour syndromes. Can Urol Assoc J 2016;10:E214-E22.
PDF |
Author(s):dr. Jan R. Mekkes. Dermatologist, Amsterdam UMC.