Een
sarcoom is een maligne tumor uitgaande van bindweefsel.
Een
epitheloid sarcoma (epitheloid cell sarcoma)
is een zeldzame maligne mesenchymale tumor, gekarakteriseerd door de aanwezigheid van epithelioid cellen. Het is voor het eerst beschreven door Enzinger in 1970. Het zit vaak aan de distale extremiteiten (vingers, handen, onderarmen, voeten) en het komt vooral voor bij jong volwassenen. Bij een groot deel van de epithelioid sarcomen blijkt het tumor suppressor gen SMARCB1 te zijn geïnactiveerd.
Klinisch beeld:Het begint als een langzaam groeiende en meestal pijnloze tumor, vast tot hard aanvoelend. Ze worden langzaam groter en kunnen gaan ulcereren. Vaak duurt het enige tijd voordat de diagnose is gesteld. Soms zijn er bij presentatie multipele tumoren en soms zijn er ook al metastasen.
![Epitheloid sarcoma (click on photo to enlarge) [source: Samuel Freire da Silva - Dermatology Atlas - Wikidocs - Creative Commons License 3.0] Epitheloid sarcoma](../../../images/epithelioid-sarcoma-1z.jpg) |
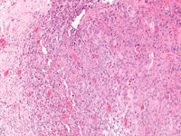
![Epitheloid sarcoma (click on photo to enlarge) [source: Michael Bonert (Nephron) - Wikimedia - Creative Commons License 3.0] Epitheloid sarcoma](../../../images/epithelioid-sarcoma-2z.jpg) |
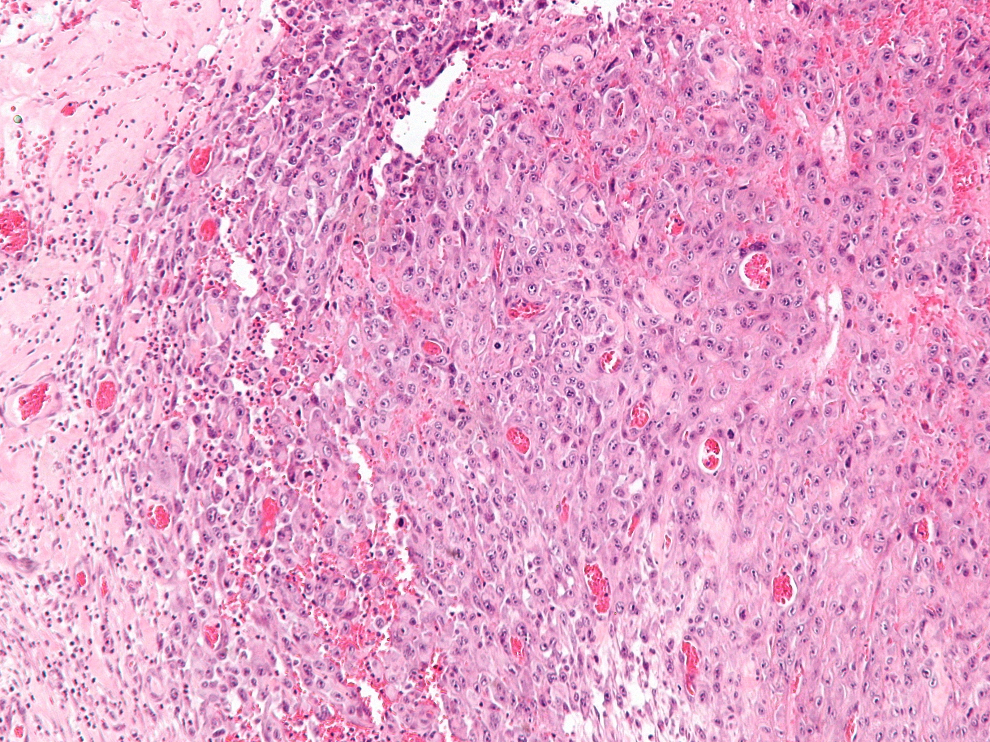
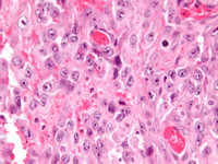
![Epitheloid sarcoma (click on photo to enlarge) [source: Michael Bonert (Nephron) - Wikimedia - Creative Commons License 3.0] Epitheloid sarcoma](../../../images/epithelioid-sarcoma-3z.jpg) |
| epitheloid sarcoma |
epitheloid sarcoma |
epitheloid sarcoma |
Foto: Samuel Freire da Silva -
Dermatology
Atlas (Creative Commons License
3.0).
PA-Foto's: Michael Bonert (Nephron) - Wikimedia (Creative Commons License
3.0).
PA:Nodi opgebouwd uit bleke polygonale cellen met een eosinofiel cytoplasma, in de periferie vaak meer spoelcellig. Centraal in de nodi kan necrose ontstaan. De cellen zijn positief voor vimentine, cytokeratinen, EMA (epithelial membrane antigen), CD34 en CA125, en meestal negatief voor S100, desmine, en FLI-1.
Diagnostiek:Biopt, sentinel lymph node procedure wordt toegepast.
MRI van lokale situatie, CT-scan, eventueel een PET scan.
Therapie:Radicale chirurgische excisie met een ruime marge (1-2 cm). Hierbij sneuvelen vingers of delen van de hand, maar omdat dit een agressief sarcoom is, is het helaas nodig. Indien chirurgische excisie niet meer mogelijk is wordt chemotherapie en radiotherapie toegepast, met matig succes.
Als chemotherapie wordt toegepast doxorubicin, doxorubicine + ifosfamide, etoposide + vincristine + dactinomycine + cyclofosfamide, gemcitabine, en pazopanib. Naast conventionele radiotherapie is ook brachytherapy.
Er is een targeted therapie beschikbaar voor epithelioid sarcoma, het middel Tazverik (tazemetostat). Daarnaast zijn er meerdere in ontwikkeling of in de test-fase. De behandeling van epithelioid sarcoma kan het beste gebeuren in een oncologisch centrum met ervaring in de behandeling van weke delen tumoren.
Prognose:Bij het epithelioid sarcoma worden vaak locale recidieven gezien na excisie en het kan metastaseren, vooral naar de regionale lymfklieren, de longen, botten, en hersenen. Verspreiding via de lymfbanen wordt gezien bij 22-48%, metastasen op afstand bij 21-63%. De 5-jaarsoverleving ligt tussen de 50-70%, de 10-jaarsoverleving is 42-55%. De prognose is slechter bij mannen, bij proximale lokalisatie, bij tumoren
> 2 cm en bij tumoren met necrose of vasoinvasieve groei.
Referenties
| 1. |
Enzinger FM. Epitheloid sarcoma. A
sarcoma simulating a granuloma or a carcinoma. Cancer
1970;26(5):1029-1041. |
| 2. |
Levy A, Le Péchoux C, Terrier P, Bouaita
R, Domont J, Mir O, Coppola S, Honoré C, Le Cesne A, Bonvalot S.
Epithelioid sarcoma: need for a multimodal approach to maximize
the chances of curative conservative treatment. Ann Surg Oncol
2014;21(1):269-276. |
| 3. |
Jawad MU, Extein J, Min ES, Scully SP.
Prognostic factors for survival in patients with epithelioid
sarcoma: 441 cases from the SEER database. Clin Orthop Relat Res
2009;467(11):2939-2948. |
| 4. |
de Visscher SA, van Ginkel RJ, Wobbes T, Veth RP, Ten Heuvel SE, Suurmeijer AJ, Hoekstra HJ. Epithelioid sarcoma: Still an only surgically curable disease. Cancer 2006;107(3):606-612. |
Author(s):dr. Jan R. Mekkes. Dermatologist, Amsterdam UMC.