Het
basaalcelcarcinoom (
BCC)
is de meest voorkomende vorm van huidkanker. Vanwege de vergrijzing, in combinatie
met verhoogde expositie aan zonlicht sinds de opkomst van het zontoerisme in
de jaren 60 stijgt de incidentie met 4% per jaar. Uit de PA database (PALGA)
blijkt dat er minstens 25.000 per jaar geëxcideerd worden, voornamelijk door
dermatologen. En dit is nog een onderrapportage, want lang niet alle BCC's worden
histologisch onderzocht, een deel wordt direct behandeld. In 2020 werd een
incidentie voorspeld van 233,5 (prediction interval [PI] 217,7 - 249,2) per
100.000 voor mannen en 225,6 (PI 211,5 - 239,8) per 100.000 voor vrouwen.
![Basaalcelcarcinoom (click on photo to enlarge) [source: www.huidziekten.nl] Basaalcelcarcinoom](../../../images/basaalcel-carcinoom-1z.jpg) |
![Basaalcelcarcinoom (click on photo to enlarge) [source: www.huidziekten.nl] Basaalcelcarcinoom](../../../images/basaalcel-carcinoom-2z.jpg) |
![Basaalcelcarcinoom (click on photo to enlarge) [source: www.huidziekten.nl] Basaalcelcarcinoom](../../../images/basaalcel-carcinoom-arborizing-vessels-1z.jpg) |
| glazig
glanzend tumortje |
glazig
glanzend tumortje |
teleangiëctasieën |
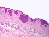
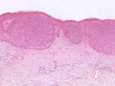
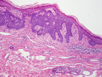
Klinisch beeld:Het basaalcelcarcinoom is meestal
een huidkleurig of licht roze tumortje (nodulair BCC), met een glanzend-glazig
aspect en vertakkende teleangiëctasieën (
arborizing
vessels). Maar er zijn verschillende klinische varianten
van het BCC:
nodulair,
ulcererend,
nodulair/ulcererend,
oppervlakkig,
morpheatype
(scleroserend),
gepigmenteerd, infiltratief, multicentrisch
(multifocaal). Het
basaalcel naevus syndroom
is een aparte entiteit. Het basaalcelcarcinoom komt vooral voor op op zon
ge-exposeerde gebieden, met name gelaat, niet op slijmvliezen, handpalmen,
voetzolen. Basaalcelcarcinomen metastaseren vrijwel nooit en veroorzaken
geen verhoogde kans op overlijden tenzij er sprake is van ernstig patient
delay. De belangrijkste risicofactor is cumulatieve blootstelling aan
ultraviolet licht. Andere risicofactoren zijn genetische predispositie, hoge
leeftijd, immuungecompromitteerde patiënten, en huidtype I of II.
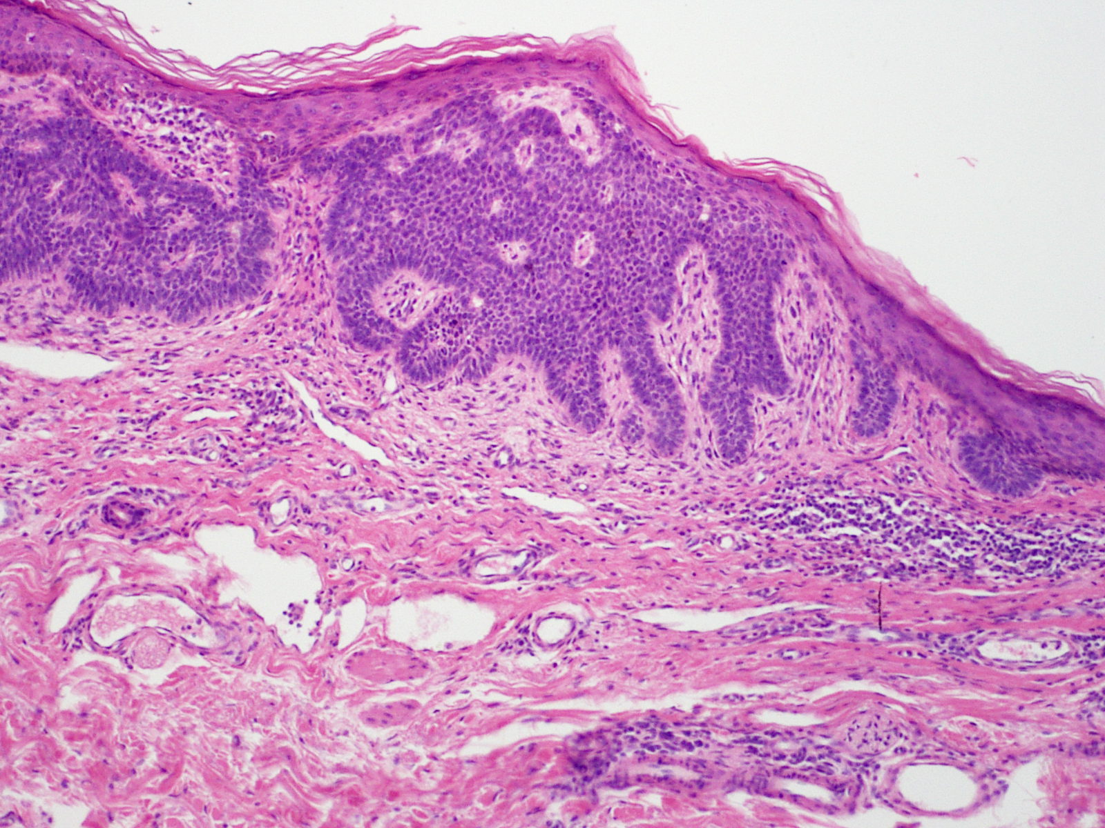
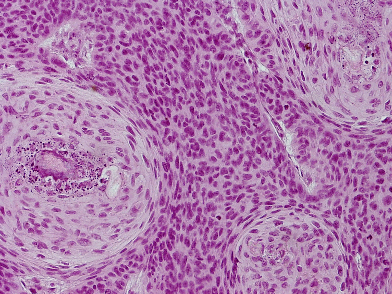
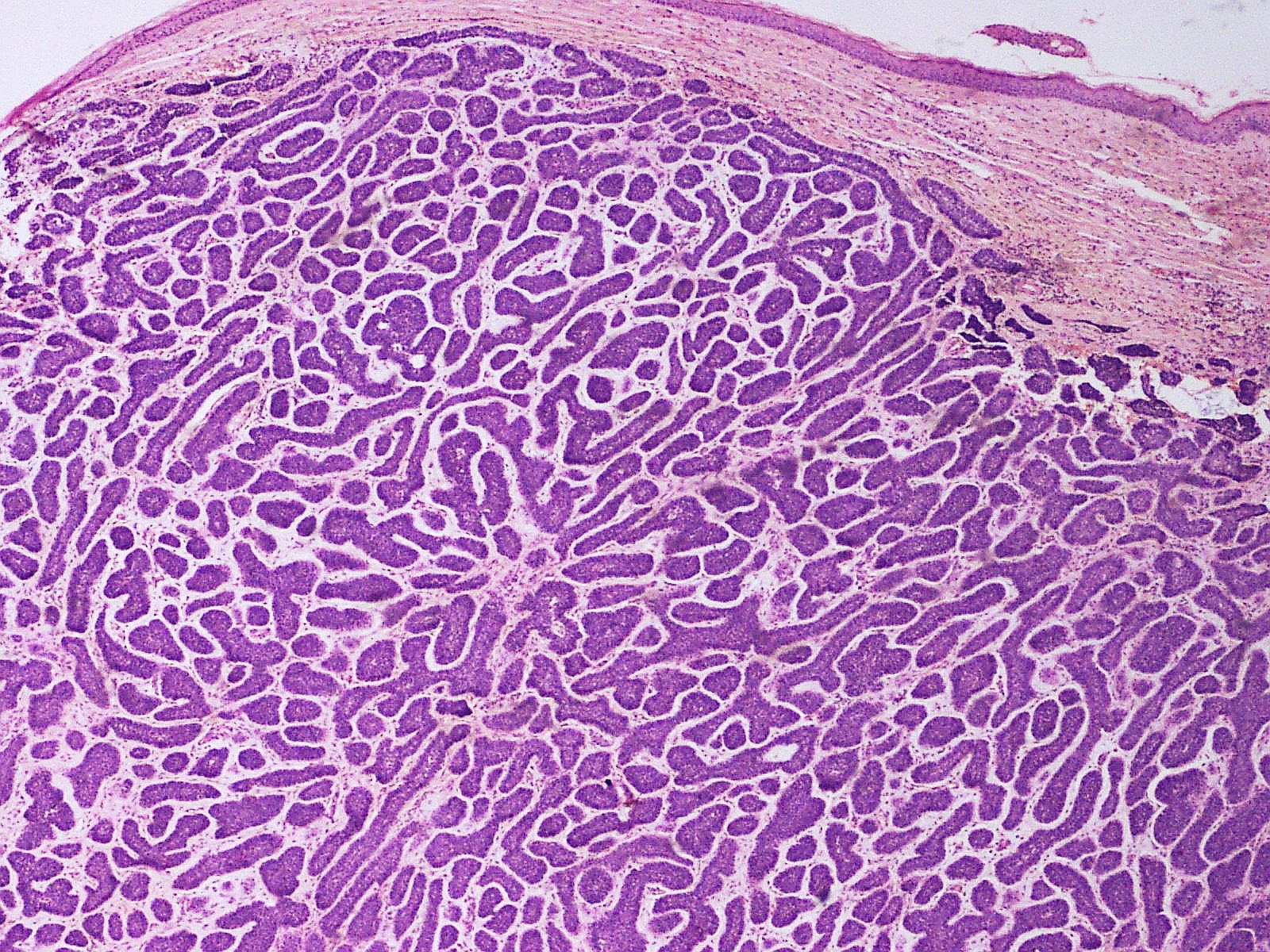
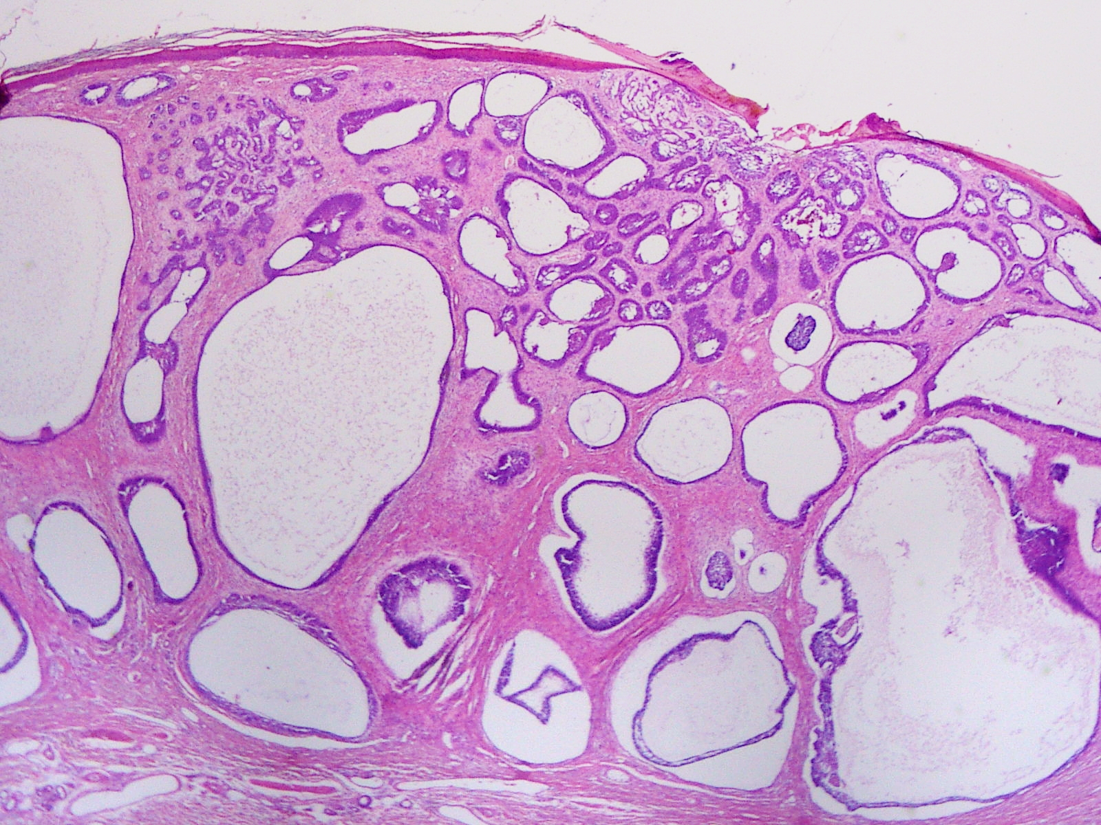
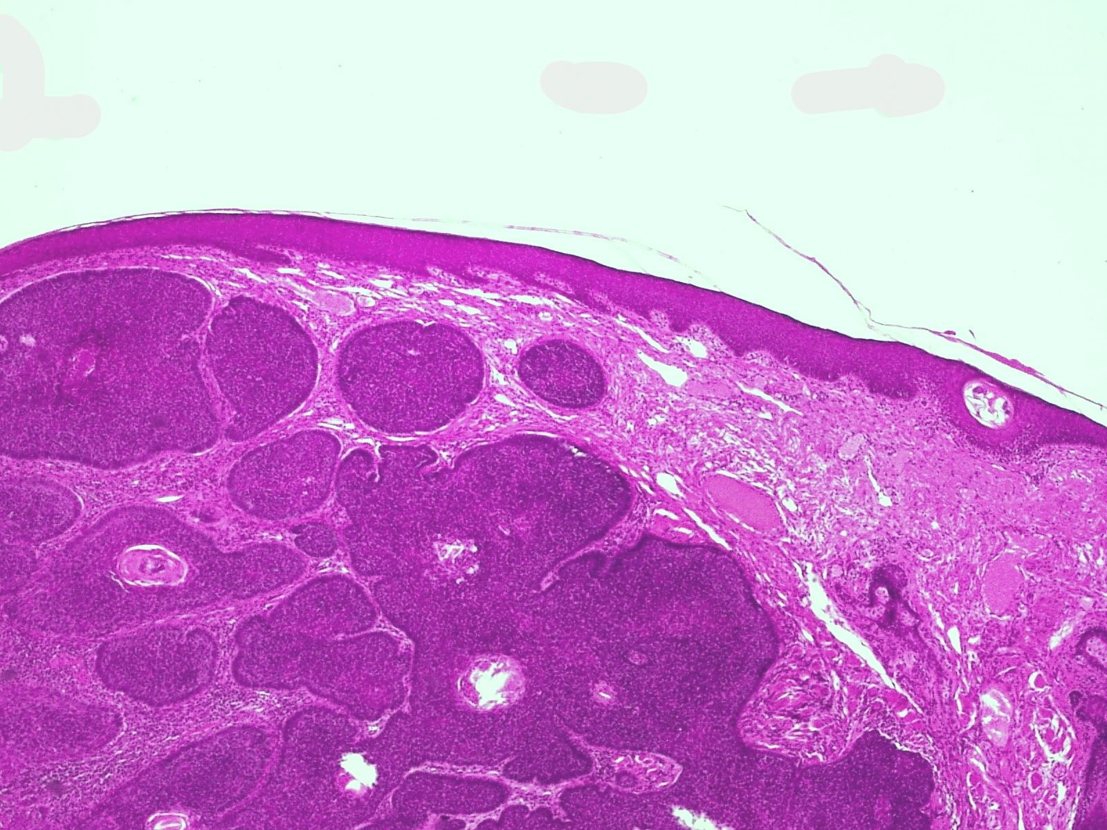
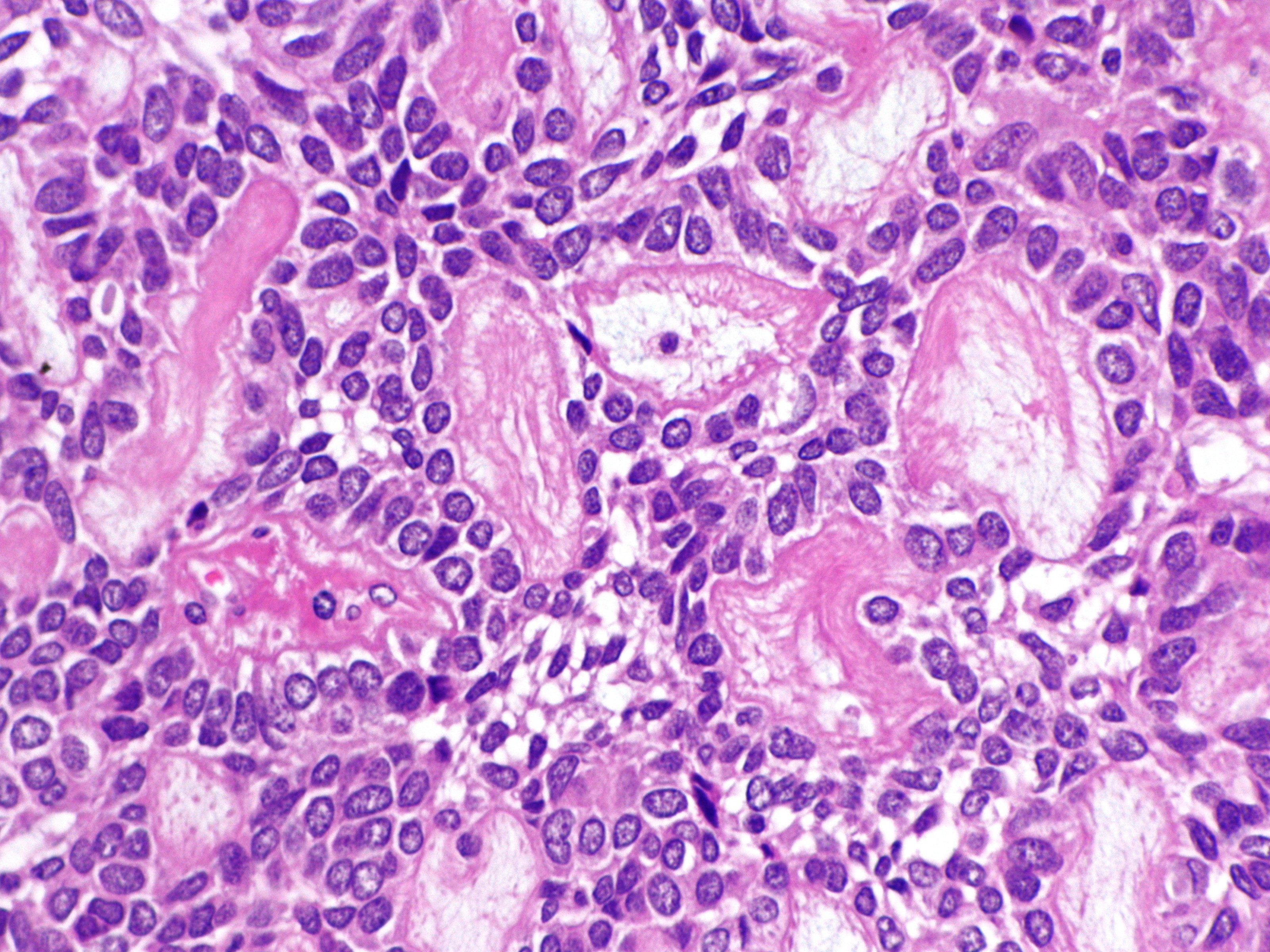
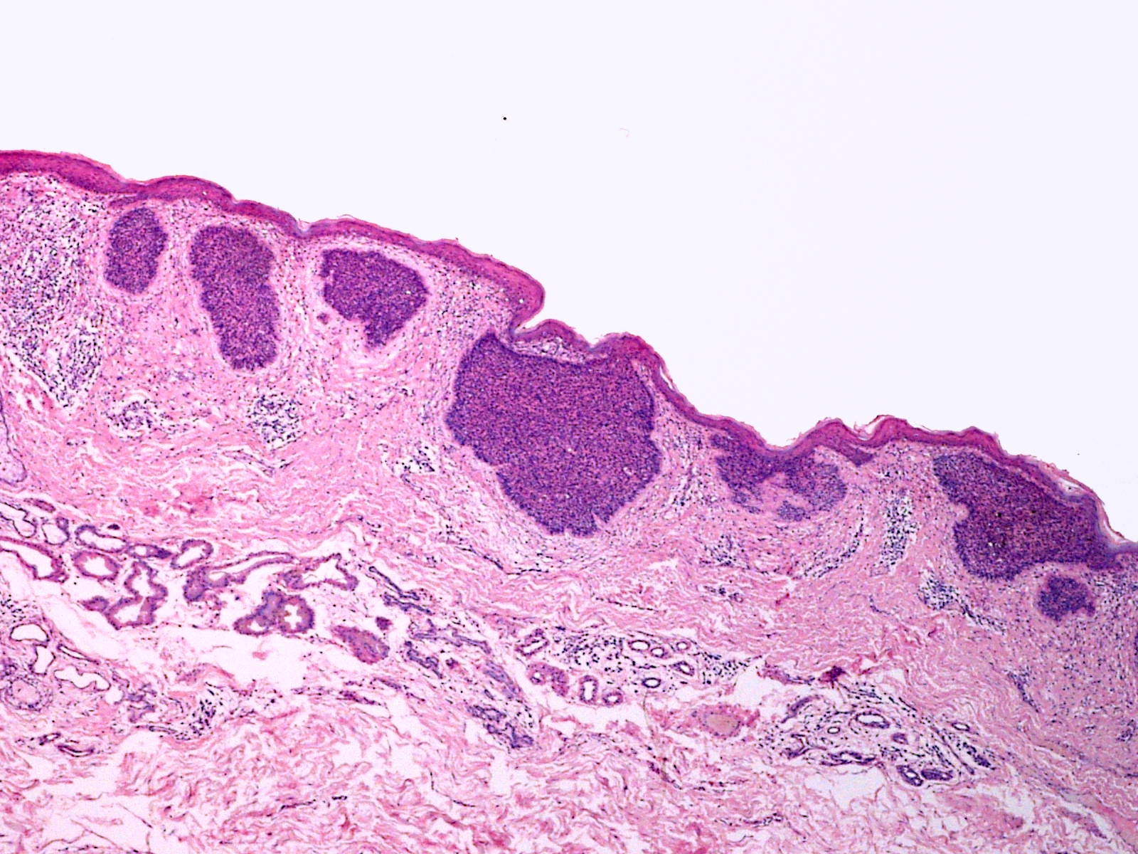
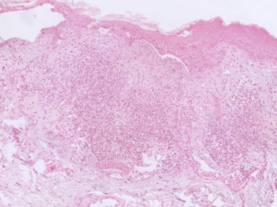
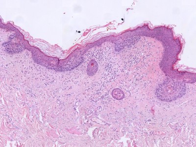
PA nodulair basaalcelcarcinoom:
Verbonden met de epidermis of de haarfollikels, soms schijnbaar zelfstandig
zonder duidelijke relatie hiermee, ziet men epitheel eilanden gekenmerkt door
donkere cellen met relatief weinig cytoplasma. De celgrenzen zijn soms niet
duidelijk en het geheel lijkt te bestaan uit een massa van donkere celkernen,
elk met een smal licht protoplasmarandje en omgeven door een rand van kernen
van hetzelfde type die als palissaden naast elkaar staan op dezelfde wijze als
in het stratum basale en rond de haarpapil. Er zijn geen celbrugjes te zien
zoals in het stratum spinosum; de door de palissadelaag ingesloten kernen lijken
wat ongeordend bij elkaar te liggen. De kernen hebben een regelmatig, uniform
aspect, ze bezitten geen anaplastische kenmerken en tonen geen abnormale mitosen.
Meestal zijn er hoorncysten in het epitheel; er is een directe overgang van
'basaloide' cellen in hoorn en niet, zoals in de epidermis, via voorstadia zoals
stratum spinosum of stratum granulosum. Deze hoorncysten komen voor bij vrijwel
alle vormen en varianten van het carcinoma basocellulare, soms echter vormen
ze een hoofdkenmerk. Het bindweefsel in de cutis blijkt in relatie tot de tumorcellen
mee te groeien, er is geen infiltratieve groei. Dit blijkt o.a. uit het feit
dat zich bij de fixatie vaak spleten vormen op de grens van carcinoom-bindweefsel,
een verschijnsel dat niet bij carcinoma spinocellulare (waarbij wel infiltrerende
groei plaatsvindt) te zien is. Het bindweefsel rond de tumorveldjes bevat vele
jonge fibroblasten en is hier bovendien metachromatisch (zure mucopolysacchariden)
en PAS-positief als bij de haarpapillen. De vaten zijn toegenomen en verwijd;
er is soms opvallend weinig cellulair infiltraat. Soms echter bevindt zich,
vooral vlak bij de tumorveldjes, enig lymfocytair infiltraat. Is ulceratie opgetreden
dan neemt het infiltraat toe en bevat het aan de oppervlakte soms talrijke polynucleaire
granulocyten. Carcinoma basocellulare komt niet aan de slijmvliezen voor. Zie
ook de
ingescande
PA-coupe van de
afdeling
pathologie van de University of Toronto.
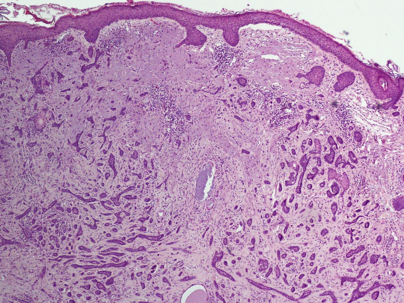
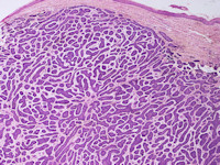
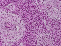
Groeiwijzen (histologische
varianten):Naast klinische varianten worden er ook histologische
varianten onderscheiden. Binnen 1 laesie kunnen verschillende groeiwijzen gecombineerd
voorkomen, een biopt kan niet representatief zijn voor de hele laesie. Sprieterige
en micronodulaire BCC's zijn agressiever dan compacte of superficiële BCC's.
| Verschillende groeiwijzen van het basaalcelcarcinoom |
| 1. |
compact basaalcelcarcinoom (solide, nodulair). Er zijn grote
nesten met duidelijke begrenzing naar het omgevende niet-aangedane
weefsel. De stromareactie is vaak beperkt. |
| 2. |
superficieel basaalcelcarcinoom, zeer oppervlakkige nesten,
vaak multifocaal. |
| 3. |
sprieterig basaalcelcarcinoom, kleine strengetjes van basaloïde
cellen omgeven door desmoplastisch stroma, de begrenzing naar het
omgevende weefsel is vaak onscherp. |
| 4. |
micronodulair basaalcelcarcinoom, groeiend in kleine, fraai
afgeronde nesten elk ongeveer ter grootte van de bulbus van een
haarfollikel. |
Naast deze 4 belangrijkste zijn er nog andere histologische varianten
met plaveiselcellige differentiatie of adnex-differentiatie zoals basosquameus
(
carcinoma basosquamosum), cysteus,
microcysteus, infundibulocysteus, pseudoglandulair (adenoïd), trichoïd, heldercellig (clear
cell), gepigmenteerd (carcinoma basocellulare pigmentosum), multicentrisch (multifocaal).
Zoals vaker bij carcinoma is het niet precies duidelijk van welke cellen
het BCC eigenlijk uitgaat. Op orale mucosa komt bijvoorbeeld geen BCC voor.
In genetisch gemodificeerde muizen (active
Smoothened
mutant (SmoM2) muizen) is d.m.v. activering van Hedgehog signalling gekeken
welke celtypen kunnen overgaan in BCC. Dit blijken niet de stamcellen te zijn
in de bulge van de haarfollikel zoals eerder gedacht, maar rustende (long-term
resident) progenitor celllen in het bovenste gedeelte van het infundibulum van
de follikels, en in de interfolliculaire epidermis. Activatie van de Hedgehog
signalling pathway is een belangrijk signaal voor het ontstaan van een basaalcelcarcinoom.
Diverse
Hedgehog remmers in de vorm van crème of tabletten
worden op dit moment getest en zijn mogelijk een oplossing voor uitgebreide
BCC's en basaalcel naevus syndroom. In de gespecialiseerde oncologische centra
is sinds circa 2015 Erivedge (vismodegib) beschikbaar voor speciale indicaties.
Diagnostiek:De diagnose wordt vermoed op het klinisch beeld
en gesteld door een biopt af te nemen voor PA. Een biopt is nodig om de
groeiwijze vast te stellen. Het komt ook regelmatig voor, vooral bij
nodulaire en superficiële basaalcelcarcinomen, dat de diagnose (door ervaren dermatologen)
gesteld kan worden op het klinisch en/of dermatoscopisch beeld. In dat geval
kan men er ook voor kiezen, bij laag risico BCC (zie verder), om niet eerst
een biopt af te nemen maar de laesie direct te excideren om de patiënt een
extra ingreep te besparen.
Therapie:De meest effectieve en
meest toegepaste behandeling is excisie. In de
richtlijn basaalcelcarcinoom
uit 2024 zijn de basaalcelcarcinomen ingedeeld in
laag risico en
hoog risico op basis van klinische en
histologische criteria, grootte, en locatie. Bij hoogrisico moet het streven
radicale excisie met histologische controle zijn. Bij laag risico kunnen
naast excisie ook andere behandelmethoden worden toegepast. Bij hoogbejaarde patiënten
moet de afweging worden gemaakt of het wel echt nog nodig is om alle basaalcelcarcinomen
te verwijderen. Dit hangt af van leeftijd en vitaliteit, de plaats waar het
zit, de grootte, de groeisnelheid en de hoeveelheid last die het BCC veroorzaakt.
| Prognostische factoren: |
laag risico: |
hoog risico: |
| Klinische criteria: |
| Locatie en diameter |
L-zone ≤ 20 mm M-zone ≤ 10 mm |
L-zone > 20 mm M-zone > 10 mm H-zone |
| Begrenzing |
Matig of scherp begrensd (goed afgrensbaar) |
Onscherp begrensd (niet goed afgrensbaar) |
| Primair of lokaal recidief |
Primair |
Recidief of residu |
| In bestraald gebied |
Nee |
Ja |
| Histologische criteria: |
| Groeipatroon |
Nodulair of superficieel |
Infiltratief/sprieterig of micronodulair |
| Basosquameus carcinoom |
Afwezig |
Aanwezig |
| Invasie niveau |
Dermis/subcutis |
Voorbij subcutis |
| Perineurale invasie |
Afwezig |
Aanwezig |
| (Lymf)angioinvasie |
Afwezig |
Aanwezig |
| Geadviseerde marge: |
3-4 mm |
5 mm |
L-zone (low risk): romp en extremiteiten, met uitzondering van handen,
nagels, genitaliën, enkels en voeten.
M-zone (medium risk): wangen,
voorhoofd, scalp, nek, pretibiaal, handen, nagels, genitaliën, enkels en
voeten.
H-zone (high risk): gelaat rond de ogen, neus, haargrens, oren en
kaaklijn (zie onderstaande figuur).

H-zone. Bron: NHG standaard verdachte huidafwijkingen 2017.
ExcisieDe geadviseerde marge in de
richtlijn basaalcelcarcinoom uit 2024 is 3-4 mm voor laag-risico BCC en 5 mm voor
hoog-risico BCC. Voor BCC's in het gelaat, vooral op kritieke locaties is 5
mm wel heel erg ruim, zelfs ruimer dan nu voor T1 plaveiselcelcarcinoom wordt
geadviseerd; in de praktijk zullen de meeste dermatologen kiezen voor een 3
mm marge.
In ervaren handen met toepassen van de juiste marge is een conventionele
excisie in meer dan 95% van de gevallen effectief. Door heel goed te kijken,
met veel licht (goede OK-lamp), en daarbij de huid te strekken is vaak de begrenzing
van de laesie duidelijk te zien.
Ook de dermatoscoop is erg behulpzaam bij het zorgvuldig aftekenen van de
tumorbegrenzing. De kans op recidieven is hoger bij sprieterig groeiend BCC
en bij recidief BCC's, en bij BCC's in het gelaat in risico zone's die
worden omschreven als H-zone. In de laatste richtlijn wordt ook een nieuw
medium risico gebied geïntroduceerd, de M-zone.
Het is niet precies
duidelijk waarom BCC's in de H-zone, of M-zone een hogere recidiefkans
hebben. Er is een theorie over embryonale sluitingslijnen waar ingroei in de
diepte makkelijker zou zijn, maar er lopen geen embryonale sluitingslijnen
over de neus of over het voorhoofd, of over de wangen. Een andere hypothese
is dat BCC's dieper ingroeien in gebieden waar terminale haren aanwezig
zijn, dat zou dan een verklaring kunnen zijn voor meer recidieven in de
haargrens en de kaaklijn, die ook in de H-zone vallen. Maar als die
hypothese klopt dan zou het logischer zijn om dieper dan ruimer te
excideren. Er is nog een andere verklaring mogelijk: bij BCC's in het
gelaat, vooral op de neus, rond de mond en vlak bij de oogleden, zullen
artsen altijd van nature geneigd zijn om een zo'n krap mogelijke marge aan
te houden, om geen cosmetisch lelijke littekens of functionele schade aan te
richten in het gezicht. In dat geval ligt de hogere recidiefkans niet aan de
locatie, maar aan de dokter, die krapper uitsnijdt dan eigenlijk had
gemoeten.
Niet radicaal verwijderdBij incompleet geëxcideerd
basaalcelcarcinoom wordt aansluitende re-excisie geadviseerd, vooral als het
defect werd gesloten met een transpositie of transplantaat. Het gehele oorspronkelijke
gebied excideren. Bij laagrisico primaire tumoren, als alleen de perifere snijranden
positief zijn, kan worden afgewacht, omdat zelfs bij tumorpositieve snijranden
de recidiefkans varieert van 17-58%. Een groot deel van deze basaalcel uitlopertjes
wordt dus door het lichaam zelf alsnog opgeruimd. De hoogste recidiefgetallen
worden gezien bij positieve diepe snijranden (bodem niet vrij), bij tumoren
die eerder waren gerecidiveerd en tumoren die waren behandeld met radiotherapie.
In de praktijk blijkt dat bij een re-excisie van een solide basaalcelcarcinoom
dat door de PA werd afgegeven als reikend tot in de rand of tot in de bodem
in meer dan de helft van de gevallen geen tumor meer wordt aangetroffen.
Mohs (micrografische) chirurgieBij Mohs chirurgie wordt
het BCC komvormig uitgesneden en worden alle snijvlakken ter plekke beoordeeld.
Bij aantreffen van tumor in een snijvlak wordt dat segment nogmaals dieper en
wijder geëxcideerd en nagekeken. Mohs chirurgie wordt vooral toegepast voor
BCC's met ongunstige prognostische factoren en voor recidief BCC. Voor primair
BCC met ongunstige prognostische factoren is het recidiefpercentage 3-6% in
vijf jaar, voor recidief BCC in het gelaat is het recidiefpercentage 4,8-10%
in vijf jaar. Voor eenvoudige BCC's is Mohs chirurgie overbehandeling en onnodig
duur omdat daar met de conventionele chirurgie al > 95% succes wordt behaald.
Daarnaast is een BCC niet een gevaarlijke tumor, bij een recidief volstaat een
simpele en beperkte lokale re-excisie om het probleem op te lossen.
Indicaties voor Mohs chirurgie:
- primair BCC in de H-zone > 10 mm;
- primair BCC op oogleden en ala nasi / neuspunt
> 5 mm
- primair BCC in het gelaat buiten de H-zone > 10 mm van een agressief groeitype of
>15 mm met een nodulair groeitype
- recidief BCC in het gelaat
- irradicaal geëxcideerd BCC in het gelaat
RadiotherapieHuidtumoren worden bestraald met elektronen
straling (4-20MeV), orthovoltage röntgenstraling (80-250 kV), interstitiële
radiotherapie (brachytherapie), of fotonenstraling (4-20 MV) (bij grotere en
diep infiltrerende tumoren). Met de moderne apparatuur kan in ieder aangegeven
doelvolume een vrijwel homogene dosis afgegeven worden, terwijl het omgevende
normale weefsel en het achterliggende weefsel gespaard blijven. Hierdoor is
radiotherapie meestal bij elke lokalisatie van de tumor toepasbaar. Ook vormt
onderliggend bot en/of kraakbeen geen contra-indicatie. Radiotherapie is een
effectieve behandeling voor primair BCC wat betreft radicaliteit (recidiefpercentage:
4 tot 7,5% in twee tot vier jaar), voor een recidief BCC is het een minder effectieve
behandeling (recidiefpercentage: 9,5-16% in 5 jaar). Vanwege de weefselsparing
(behoud van de anatomie) is radiotherapie met name geschikt voor lokalisatie
in het gelaat en rond of op het oor.
Cryochirurgie
Cryochirurgie wordt de laatste jaren minder vaak toegepast. Cryochirurgie is
eenvoudig en goed toepasbaar op structuren die intact moeten blijven zoals de
oorschelp, traanbuis, kraakbeen, oogleden. Het nadeel is dat er witte littekens
achterblijven, dat de genezingsduur langer is, en dat er geen histologische controle
mogelijk is. In de
hoogtijdagen van cryochirurgie in de jaren 80-90 werden succespercentages behaald
vergelijkbaar met excisie, met een 5-jaars effectiviteit van boven de 95%. Maar
dit betrof wel de echte cryochirurgie uitgevoerd door met de techniek ervaren
dermatologen.
Echte cryochirurgie is niet even een BCC ongecontroleerd aanvriezen
met een Cryac spuitbus, maar omvat de volgende stappen: 1) Aftekenen van de
marge van 3-5 mm; 2) verdoven; 3) het te bevriezen gebied begrenzen met een
neopreen conus van de juiste maat; 4) een krachtige pulserende stikstof straal
richten op het centrum van de cirkel en 2 cycli met ontdooitijd er tussenin
vriezen. De vriestijd moet zodanig zijn dat zich geleidelijk een ijsbal vormt
tot minimaal aan de afgetekende marge. Alleen dan is er garantie dat de juiste
diepte behaald wordt. Deze behandeling werd uitgevoerd met de Frigitronics stikstofapparatuur,
die een krachtige en instelbare straal stikstof produceerde, pulserend. Deze
apparatuur bevatte ook temperatuur sensoren (thermonaalden die in de te
bevriezen tumor werden gestoken), maar is niet meer leverbaar.
Met de
Cryac spuitbus zijn diverse laesies te behandelen, niet alleen benigne
laesies zoals wratten en verrucae seborroicae, maar ook actinische
keratosen, morbus Bowen, en low-risk basaalcelcarcinoom. Het is niet
mogelijk om te zeggen hoelang (hoeveel seconden) er dan bevroren moet
worden, want dat hangt af van de diameter van het gaatje (er zijn 5
verschillende diameters A, B, C, D, E leverbaar), en van hoever de hendel
van de spuitbus wordt ingedrukt. Ook voor de eenvoudige Cryac spuitbus geldt
dat het beste resultaat wordt bereikt door het centrum pulserend te
bevriezen totdat zich een ijsbal vormt die reikt tot de gewenste marge;
daarna deze ijsbal 10 seconden in stand houden door bij te vriezen.
Vervolgens volledig laten ontdooien en daarna nog een keer bevriezen.
 |
 |
 |
 |
 |
| cryotherapie |
ijsbal |
begrenzing
met conus |
Cry-ac |
Frigitronics |
Fotodynamische therapie (PDT)Bij
fotodynamische
therapie (PDT) wordt de huid eerst ingesmeerd met een fotosensitizer (aminolevulinezuur
(ALA) of methylaminolevulaat (MAL)). Deze vormen in metabool actieve cellen
een overmaat aan protoporfyrine IX en na belichting selectieve celdood van sneldelende
cellen. PDT is een goede behandeling voor superficiële BCC's (recidiefpercentage
4,6% na 5 jaar) en voor keratosis actinica, met superieure cosmetische effecten.
Voor diepere en nodulaire BCC's is het ongeschikt, zowel de crème als het licht
komen daarvoor niet diep genoeg.
Curettage
en elektrocoagulatieBij
curettage en
elektrocoagulatie wordt het basaalcelcarcinoom na lokale
verdoving weggeschraapt met een curette. Basaalcelcarcinomen hebben een
zachte consistentie waardoor dit makkelijk gaat. De volgende stap is
coaguleren. Dit is primair bedoeld om de bloeding te stelpen, maar door de
hitte van de behandeling worden ook in een marge rond het BCC alle levende
cellen gedood. Sommige dermatologen gebruiken
alleen curettage,
zonder elektrocoagulatie. Men kan ook
alleen
elektrocoagulatie toepassen. Dit gaat het best met een klein 2 mm bolletje
dat zowel in de snij als coagulatiemodus kan worden gebruikt. Hiermee kan het
weefsel laagje voor laagje worden verdampt tot aan precies de gewenste diepte
en uitbreiding (met marge). Zie voor meer details over de techniek het
hoofdstuk
curettage en elektrocoagulatie bij basaalcelcarcinoom, en onder
elektrocoagulatie.
Het recidiefpercentage na curettage en
elektrocoagulatie is zowel bij de primaire behandeling als bij behandeling
van recidief BCC's gemiddeld iets hoger dan bij conventionele excisie, maar
dit is ook weer sterk afhankelijk van de ervaring van de operateur. Ervaren
dermatologen kunnen met curettage en elektrocoagulatie dezelfde resultaten
bereiken als met chirurgische excisie. Curettage en coagulatie is geschikt
voor laagrisico BCC's, klinisch niet
verdacht voor een agressief groeitype, op laagrisico plaatsen waarbij het
resultaat van de behandeling goed te controleren is.
Er kunnen goede
redenen zijn om te kiezen voor curettage en elektrocoagulatie boven excisie.
Bijvoorbeeld hoge leeftijd (kwetsbare ouderen), geringe
leeftijdsverwachting, comorbiditeiten, dementie, of de eenvoud van de
behandeling. Curettage en elektrocoagulatie is een eenvoudige, goedkope en
snelle techniek. Het kan direct tijdens het consult in de spreekkamer worden
uitgevoerd, en dit kan een groot voordeel zijn in sommige situaties. Daarbij
is het van belang om de verschillende opties met de patiënt te bespreken en
goed in de status te noteren wat de uitkomst was van dit gesprek, welke
therapie keuze werd gemaakt, en waarom. Zie voor meer details en een
overzicht van recente publicaties over de effectiveit van curettage en
elektrocoagulatie bij BCC het hoofdstuk
curettage en elektrocoagulatie bij basaalcelcarcinomen.
Curettage en
elektrocoagulatie kan ook worden toegepast in situaties waarbij excisie niet
meer praktisch uitvoerbaar is, bijvoorbeeld bij patiënten met multipele
grote BCC's waarbij er geen verschuifbare huid meer over is, of bij het
basaalcelnaevus syndroom waarbij er honderden kleine BCC's tegelijk moeten
worden behandeld.
Imiquimod (Aldara) Imiquimod is een immuunmodulator
die via het vrijkomen van cytokines (alpha-interferon, gamma-interferon en interleukine
12) een Th1-reactie induceert met een antiviraal en antitumoraal effect. Imiquimod
kan worden toegepast bij superficieel BCC. Het nadeel is de heftige huidreacties
die kunnen optreden (jeuk, oedeem, eczeem).
R/ imiquimod crème 50 mg/g, sachet à 250 mg crème (Aldara);
5 keer per week (b.v. maandag t/m vrijdag) voor het slapen gaan een dun laagje crème aanbrengen op het te behandelen gebied, inclusief één centimeter huid rondom de tumor, gedurende 6 weken. De crème op de hele behandelplek inwrijven totdat de crème is ingetrokken, circa 8 uur op de huid laten zitten, daarna verwijderen met water en (milde) zeep. Het resultaat van de behandeling beoordelen na
12 weken. Bij onvoldoende effect een andere behandeling toepassen.
5-fluoro-uracil
(Efudix) Het cytostaticum (5-FU) werkt ook selectief en kan worden
toegepast op superficiële BCC's (2 dd gedurende 4-6 weken).
Er zijn geen goede recidiefcijfers bekend. Voor nodulaire, dikkere en andere
typen BCC is het ongeschikt.
R/ 5-fluoro-uracil crème 50 mg/g (Efudix),
tube à 40 g; 2 keer per dag dun aanbrengen op maximaal 500 cm² gedurende 4 weken; niet bedekken met pleister of verband. Na 2 weken controleren (therapietrouw en bijwerkingen), effect na 3 maanden beoordelen. Eventueel nabehandelen met een vette indifferente crème, zoals vaselinecetomacrogolcrème.
Remmers van Hedgehog pathway
Voor speciale
indicaties zoals locally advanced BCC of basaalcelnaevus syndroom is
Erivedge (vismodegib) beschikbaar, en
inmiddels ook Odomzo (sonidegib). Vismodegib en sonidegib behoren tot de
dure geneesmiddelen. De middelen hebben veel bijwerkingen,
waaronder vaak smaakverlies. Hierdoor houden veel patiënten het niet vol. Na
staken van de behandeling komen de basaalcelcarcinomen weer terug.
R/
Erivedge (vismodegib) 1 dd 150 mg. De behandeling voortzetten tot aan ziekteprogressie of onacceptabele toxiciteit.
Bij veel bijwerkingen mag de behandeling worden onderbroken gedurende maximaal 4 weken.
R/ Odomzo (sonidegib) 1 dd 200 mg. De behandeling voortzetten zolang er klinisch voordeel is of tot onverdraaglijke toxiciteit optreedt.
Antilichamen tegen geprogrammeerde
celdood-1(PD-1)-receptorLibtayo (cemiplimab) is sinds 2019 geregistreerd
voor lokaal gevorderd of gemetastaseerd plaveiselcelcarcinoom, sinds 2021 ook
voor lokaal gevorderd of gemetastaseerd basaalcelcarcinoom. Cemiplimab is een
humaan immunoglobuline G4 (IgG4) monoklonaal antilichaam dat zich bindt aan
de geprogrammeerde celdood-1(PD-1)-receptor en daardoor de interactie voorkómt
tussen de PD-1-receptor en de liganden PD-L1 en PD-L2, die tot expressie kunnen
komen in tumoren of andere cellen in de micro-omgeving van de tumor. Hechting
van PD-1 aan deze liganden zorgt voor de remming van T-cel-proliferatie en secretie
van cytokinen. Door blokkering hiervan maakt cemiplimab T-celrespons mogelijk,
waaronder anti-tumor respons.
R/ Libtayo (cemiplimab) 350 mg i.v. elke 3 weken
(behoort tot de
dure geneesmiddelen,
kosten circa € 107.596 per jaar).
Preventie:Het
aantal gevallen van basaalcelcarcinoom kan worden verminderd door de huid
goed te beschermen tegen de zon. Helemaal de zon mijden is ook niet goed,
maar te veel expositie en met name verbranden moet worden voorkomen.
Daarnaast zijn er aanwijzingen dat nicotinamide een beschermend effect
heeft.
Nacontrole, follow-up:
Bij een eenmalig BCC is geen controle nodig. Bij meerdere tumoren
of bij immuunsuppressie is een controle eens per jaar voldoende. Het is altijd
mogelijk om van dit advies af te wijken in speciale gevallen.
Samenvatting
controlebeleid bij basaalcelcarcinoom
● er is 1 basaalcelcarcinoom geconstateerd
(ongeacht locatie) en dit is radicaal verwijderd: geen controle nodig
● instrueer
de patiënt om bij nieuwe verdachte plekjes een afspraak te maken bij de huisarts
voor beoordeling
● bij multipele (twee of meer) basaalcelcarcinomen: controle
1 x per jaar gedurende 3 jaar
● bij patiënten met zeer veel nieuwe en recidief
basaalcelcarcinomen (genetische predispositie, overmatige zonexpositie, immuunsuppressie):
- komt het vasthouden aan de 3 jaar periode per tumor er automatisch op neer
dat ze levenslang onder controle blijven
- kan het nodig zijn
om vaste controles eens in de 6 maanden levenslang af te spreken
Zie
verder onder maligniteiten
controleschema.
Referenties
| 1. |
NVDV werkgroep basaalcelcarcinoom.
NVDV Richtlijn basaalcelcarcinoom 2024. |
| 2. |
Flohil SC, de Vries E, Neumann HA, Coebergh
JW, Nijsten T. Incidence, prevalence and future trends of primary
basal cell carcinoma in the Netherlands. Acta Derm Venereol 2011;91:24-30. |
| 3. |
Youssef KK, van Keymeulen A, Lapouge G, Beck
B, Michaux C, Achouri Y, Sotiropoulou PA, Blanpain C. Identification
of the cell lineage at the origin of basal cell carcinoma. Nature
Cell Biology 2010;12:299-305. |
| 4. |
Breglio KF, Knox KM, Hwang J, Weiss R, Maas K, Zhang S, Yao L, Madden C, Xu Y, Hartman RI, Wheless L. Nicotinamide for Skin Cancer Chemoprevention. JAMA Dermatol 2025;161(11):1140-1147. |
Author(s):dr. Jan R. Mekkes. Dermatologist, Amsterdam UMC.