MUCINOSIS / MUCINOSEN home ICD10: L98.5

De mucinosen behoren tot de stapelingsziekten van de huid waarbij een door het lichaam zelf aangemaakt product wordt opgeslagen.

Stapelingsziekten van endogeen materiaal:
mucinosen
amyloïdosen
lipoïd proteïnosen
mucopolysaccharidosen
colloïd milium
alkaptonurie
ochronosis
jicht
calcinosis cutis
cutane ossificatie
porfyrieën


Bij de mucinosen is er sprake van toegenomen depositie van mucine in de dermis (soms ook in de subcutis, zelden intra-epidermaal). Het dermale mucine bestaat uit glycosaminoglycanen (vroeger zure mucopolysacchariden genoemd), in het bijzonder hyaluronzuur en in mindere mate de proteoglycanen chondroïtinesulfaat en dermatansulfaat. Deze sterk hydrofiele moleculen zijn in staat om water en elektrolyten vast te houden en spelen zo een belangrijke fysiologische rol in de dermis. Mucine wordt voornamelijk geproduceerd door dermale fibroblasten en in het algemeen wordt aangenomen dat bij de mucinosen sprake is van pathologische overproductie van deze substantie. Het is echter niet uitgesloten dat verminderde afbraak van glycosaminoglycanen een rol speelt bij bepaalde vormen van cutane mucinosis.

Mucine kan in histologische coupes worden aangetoond met speciale kleuringen, zoals alcian blue (bij pH 2,5), toluidine blauw (pH 4) of colloidaalijzer. Bij een verwachte discrete toename van mucine in het lesionale huidbiopt is het zinvol om voor de patholoog ter vergelijking tevens een biopt van normale, peri-lesionale huid af te nemen.

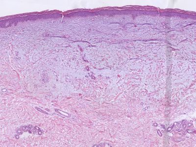
Histologie mucinosis
ingescande coupe (zoom)

Bron hoge resolutie PA-foto: Kevin Kwee en Afdeling Pathologie MUMC. Klik op de afbeelding om in te zoomen.


Voor de indeling van de mucinosen, zie onderstaande tabel. Het begrip lichen myxoedematosus is uit de tabel weggelaten omdat dit verwarring geeft. Met gelokaliseerde lichen myxoedematosus worden focale varianten van mucinosis genoemd, en met gegeneraliseerde lichen myxoedematosus wordt scleromyxoedeem bedoeld.

Mucinosen:
Focale mucinosen
- focale cutane mucinose
- discrete papular mucinosis
- acral persistent papular mucinosis
- self-healing cutaneous mucinosis (juveniele en adulte vorm)
- cutaneous mucinosis of infancy
- nodulaire mucinose
- mucinose bij lupus erythematosus (LE), dermatomyositis, graft-versus-host disease, granuloma annulare
- myxoid (mucoide) cyste, naevus mucinosus, (angio-)myxoma

Folliculaire mucinosen
- primaire mucinosis follicularis, ‘Pinkus-type’ (alopecia mucinosa)
- primaire mucinosis follicularis bij oudere volwassenen
- secundaire mucinosis follicularis bij mycosis fungoides / lymfomen
- secundaire mucinosis follicularis bij chronische discoïde LE (CDLE), lichen simplex chronicus, lichen planus, acne, naevus naevocellularis, pseudolymfoom, insectensteken

Meer diffuse mucinosen
- scleromyxoedeem
- scleroedema adultorum van Buschke Type 1: acuut en passagère, post-febriel/postinfectieus
- scleroedema adultorum van Buschke Type 2: chronisch en langzaam progressief, zonder diabetes mellitus, risico op paraproteïnemie
- scleroedema adultorum van Buschke Type 3: bij diabetes mellitus, chronisch en langzaam progressief (scleroedema diabeticorum’)
- reticulaire erythemateuze mucinose (REM)
- gegeneraliseerd myxoedeem (bij hypothyreoïdie)
- pretibiaal myxoedeem (bij hyperthyreoïdie)


Referenties
1. Hoekzema R, Canninga-van Dijk MR. Stapelingsziekten en de huid. NTVDV 2009;19:71-73.


Author(s):
prof.dr. R. Hoekzema. Dermatoloog, VUmc Amsterdam.
dr. J.R. Mekkes. Dermatologist, Amsterdam UMC.

31-05-2023 (RIH / JRM) - www.huidziekten.nl Terug naar homepagina



Diagnosis codes:
ICD10 L98.5 Mucinose van huid
ICD10 L98.5 Mucinosis of the skin
SNOMED 402721001 Mucinosis affecting skin
DBC 27 spacer Diagnose niet nader omschreven

ICD10 L98.5 Mucinose van huid: diffuse cutane mucinose
ICD10 L98.5 Mucinosis of the skin: diffuse cutaneous mucinosis
SNOMED 238945000 Diffuse cutaneous mucinosis
DBC 27 spacer Diagnose niet nader omschreven

ICD10 L98.5 Mucinose van huid: focale cutane mucinosis
ICD10 L98.5 Mucinosis of the skin: focal cutaneous mucinosis
SNOMED 110981005 Cutaneous focal mucinosis
DBC 27 spacer Diagnose niet nader omschreven

ICD10 L98.5 Mucinose van huid: acral persistent papular mucinosis
ICD10 L98.5 Mucinosis of the skin: acral persistent papular mucinosis
SNOMED 238949006 Acral persistent papular mucinosis
DBC 27 spacer Diagnose niet nader omschreven

ICD10 L98.5 Mucinose van huid: self-healing juvenile cutaneous mucinosis
ICD10 L98.5 Mucinosis of the skin: self-healing juvenile cutaneous mucinosis
SNOMED 238947008 Self-healing juvenile cutaneous mucinosis
DBC 27 spacer Diagnose niet nader omschreven

ICD10 L98.5 Mucinose van huid: lupus erythematosus-associated papulonodular mucinosis
ICD10 L98.5 Mucinosis of the skin: lupus erythematosus-associated papulonodular mucinosis
SNOMED 403506000 Lupus erythematosus-associated papulonodular mucinosis
DBC 27 spacer Diagnose niet nader omschreven

ICD10 L98.5 Mucinose van huid: focal primary mucinosis of skin
ICD10 L98.5 Mucinosis of the skin: focal primary mucinosis of skin
SNOMED 402722008 Focal primary mucinosis of skin
DBC 27 spacer Diagnose niet nader omschreven

ICD10 L98.5 Mucinose van huid: secondary catabolic mucinosis of skin
ICD10 L98.5 Mucinosis of the skin: secondary catabolic mucinosis of skin
SNOMED 402723003 Secondary catabolic mucinosis of skin
DBC 27 spacer Diagnose niet nader omschreven

ICD10 L98.5 Mucinose van huid: lichen myxoedematosus
ICD10 L98.5 Mucinosis of the skin: lichen myxoedematosus
SNOMED 111197009 Lichen myxoedematosus
DBC 27 spacer Diagnose niet nader omschreven

ICD10 L98.5 Mucinose van huid: scleromyxedema (Arndt-Gottron)
ICD10 L98.5 Mucinosis of the skin: scleromyxedema (Arndt-Gottron)
SNOMED 402468007 Scleromyxedema
DBC 27 spacer Diagnose niet nader omschreven

ICD10 L98.5 Mucinose van huid: reticulaire erythemateuze mucinose
ICD10 L98.5 Mucinosis of the skin: reticular erythematous mucinosis
SNOMED 238946004 Reticular erythematous mucinosis
DBC 27 spacer Diagnose niet nader omschreven

ICD10 L65.2 Alopecia mucinosa
ICD10 L65.2 Alopecia mucinosa
SNOMED 27382006 Alopecia mucinosa
DBC 12 spacer Haar- en nagelafwijkingen

ICD10 C84.0 Mycosis fungoides: folliculotrope mycosis fungoides
ICD10 C84.0 Mycosis fungoides: folliculotropic mycosis fungoides
SNOMED 404109006 Follicular mucinosis type mycosis fungoides
DBC 14 spacer Maligne dermatosen