Bij
acanthosis nigricans ontstaat in de plooien een licht tot donkerbruine pigmentatie,
en een versterkt huidreliëf
(papillomateuze hyperplasie + hyperkeratose). De kleur ontstaat door sterk
aan elkaar hechtende, opeengepakte pigmenthoudende corneocyten. Vooral in oksels,
inguinaal, submammair, in de nek, ook rond mond, op tong en slijmvliezen en
in anogenitaal gebied. Er kunnen ook skin tags (
fibroma molle) bij aanwezig
zijn. De uitgebreide vorm met talrijke papillomen,
wratachtige woekeringen op flanken, handruggen, onderarmen, en vaak
hyperkeratose v.d. handpalmen en voetzolen kan voorkomen bij maligne
adenocarcinomen (zie
acanthosis nigricans maligna). Lichtere vormen bij
endocrinologische afwijkingen (acromegalie, hypofysetumor, Cushing (ook
corticosteroïd-induced),
diabetes met
insulineresistentie), bepaalde geneesmiddelen (OAC), en bij
adipositas met of zonder
endocrinologische afwijkingen (Stein-Leventhal syndroom, type II diabetes).
Mogelijk komt de hyperplasie van de huid tot stand door stimulatie van
insulinereceptoren (hormonaal, metabole dysregulatie, paraneoplastisch).
De meest voorkomende vorm is acanthosis nigricans t.g.v. overgewicht (ook wel pseudo-acanthosis nigricans genoemd). Uitgebreide vormen van acanthosis nigricans, vooral op jonge leeftijd,
kunnen worden veroorzaakt door een mutatie in het FGFR3 gen (fibroblast
growthfactor receptor). Deze mutatie is ook verantwoordelijk voor
achondroplasie, hypochondroplasie, thanatofore dysplasie, Crouzon syndroom,
en SADDAN syndroom (severe achondroplasia with developmental delay and
acanthosis nigricans). De FGFR3 mutatie wordt ook gevonden in verruca
seborroica.
![Acanthosis nigricans (click on photo to enlarge) [source: www.huidziekten.nl] Acanthosis nigricans](../../../images/acanthosis-nigricans-1z.jpg) |
![Acanthosis nigricans (click on photo to enlarge) [source: www.huidziekten.nl] Acanthosis nigricans](../../../images/acanthosis-nigricans-2z.jpg) |
![Acanthosis nigricans (click on photo to enlarge) [source: www.huidziekten.nl] Acanthosis nigricans](../../../images/acanthosis-nigricans-3z.jpg) |
| acanthosis nigricans |
acanthosis nigricans |
acanthosis nigricans |
![Acanthosis nigricans (click on photo to enlarge) [source: www.huidziekten.nl] Acanthosis nigricans](../../../images/acanthosis-nigricans-6z.jpg) |
![Acanthosis nigricans (click on photo to enlarge) [source: www.huidziekten.nl] Acanthosis nigricans](../../../images/acanthosis-nigricans-7z.jpg) |
![Acanthosis nigricans (click on photo to enlarge) [source: www.huidziekten.nl] Acanthosis nigricans](../../../images/acanthosis-nigricans-8z.jpg) |
| acanthosis nigricans |
acanthosis nigricans |
acanthosis nigricans |
DD:
confluent and reticulate papillomatosis (
Gougerot-Carteaud),
terra firma-forme dermatosis (
phaeoderma),
dermatosis neglecta,
verruceuze epidermale naevus.
Lab: glucose, HbA1-c, cholesterol,
triglyceriden, leverfuncties, en zonodig screening op maligniteiten.
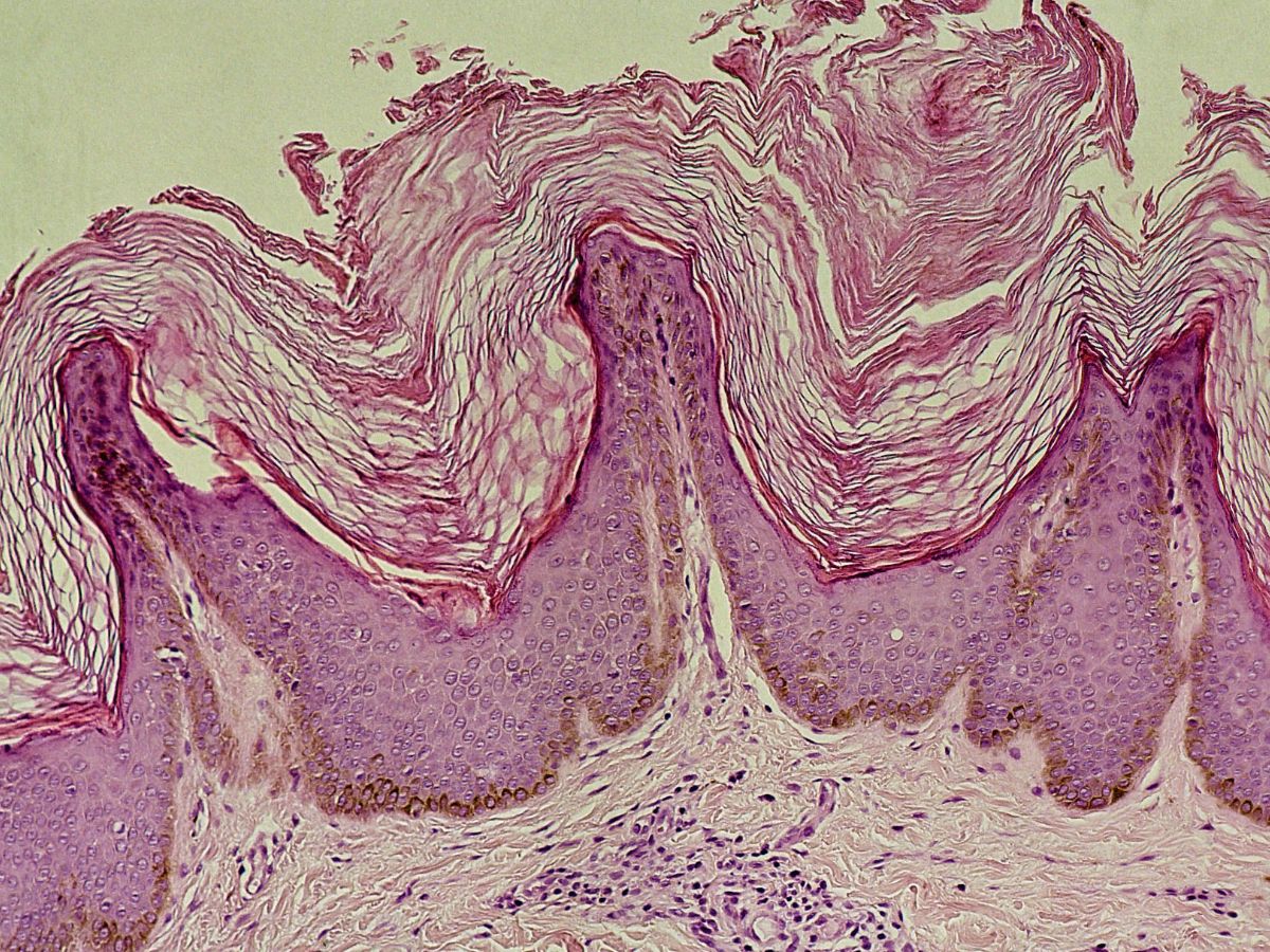
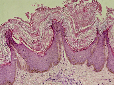
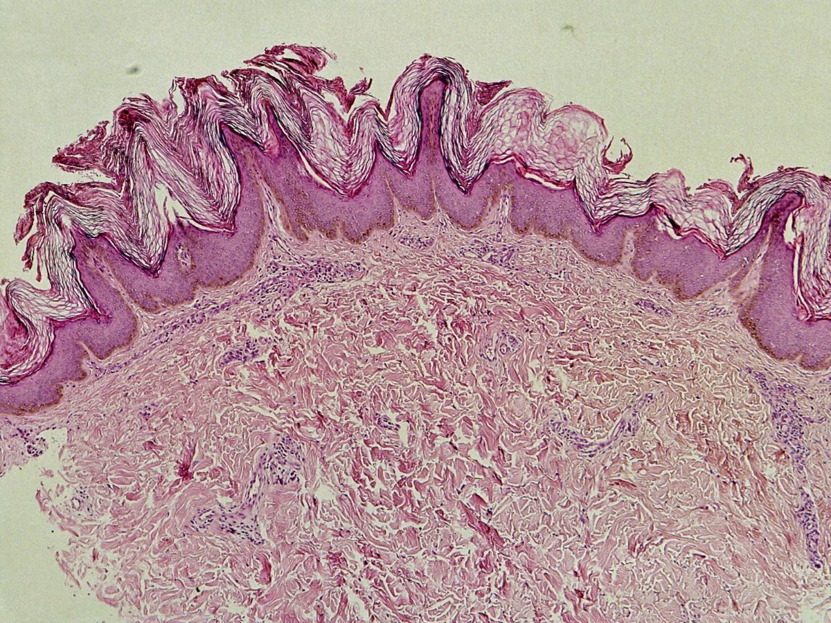
PA:Hyperkeratotische epidermis met hoogoplopende
papillen met vingervormïge projecties; onregelmatige
acanthose en hyperkeratose. Sterk aan elkaar hechtende, opeengepakte
pigmenthoudende corneocyten. Relatief normaal aantal melanocyten, maar sterk
verlengde retelijsten, hetgeen door overprojectie bijdraagt tot de
hyperpigmentatie. De oppervlakkige dermis toont een minimaal perivasculair infiltraat.
PAS-kleuring: geen pityrosporum.
![Acanthosis nigricans (click on photo to enlarge) [source: www.huidziekten.nl] Acanthosis nigricans](../../../images/acanthosis-nigricans-4z.jpg) |
![Acanthosis nigricans (click on photo to enlarge) [source: www.huidziekten.nl] Acanthosis nigricans](../../../images/acanthosis-nigricans-5z.jpg) |
| PA
acanthosis nigricans |
PA
acanthosis nigricans |
Therapie:Gericht op oorzaak, bij adipositas afvallen, bij diabetes
metformine of insuline. Eventueel:
R/ keratolytica: salicylzuur 5% in
vaseline (hogere concentraties irriteren in de plooien).
R/ Differin gel
(adapalene 1 mg/g in carbomeergel, 60 g).
R/ Tretinoïnehydrochinon crème
0.05% / 5% FNA (Cremor tretinoini et hydrochinoni 0.05% FNA), tube à 30 g
(Fagron 103563).
R/ vitamine A preparaten: tretinoïne crème 0.02% of
0.05% FNA (tretinoïne 0.02% in cremor cetomacrogolis).

R/ Calcipotriol.

R/ tazarotene 0.05-0.1% in carbomeerwatergel FNA.

R/ Neotigason (acitretine) in hardnekkige en ernstige gevallen. Start
met 1 dd 10 mg, zonodig ophogen tot 25-30 mg.
R/ Overige opties:
metformine, isotretinoïne, orale contraceptiva.

Chirurgisch verwijderen van skin tags (afknippen, elektrocoagulatie,
cryotherapie).

Dermabrasie, alexandriet- of CO2-laser behandeling.

Indien een kind zich presenteert
met acanthosis nigricans en minstens 2 andere risicofactoren heeft voor het
ontwikkelen van insuline resistentie/ diabetes mellitus type 2 (1ste of 2de
graads familielid met DM 2, etniciteit: native american, african american,
latino, asian, pacific islander, native Alaskan, tekenen van insuline
resistentie (acanthosis nigricans, hypertensie, dyslipidemie, polycysteus
ovarium syndroom), diabetes gravidarum bij moeder tijdens zwangerschap),
doorverwijzen naar een kinderarts voor verdere diagnostiek. Kinderen met
obesitas moeten gescreened worden 'without regard to risk factors'. Elk
kind, onafhankelijk van leeftijd of risico factoren moet bij klachten van
polyurie, polydipsie of onverklaarbaar gewichtverlies en een glucose van
>11,1 mmol/l moet gescreend worden op diabetes mellitus type 2. Zie voor de
overige met acanthosis nigricans geassocieerde syndromen de tabel.
![Acanthosis nigricans bij kinderen (click on photo to enlarge) [source: www.huidziekten.nl] Acanthosis nigricans bij kinderen](../../../images/acanthosis-nigricans-9z.jpg) |
![Acanthosis nigricans bij kinderen (click on photo to enlarge) [source: www.huidziekten.nl] Acanthosis nigricans bij kinderen](../../../images/acanthosis-nigricans-10z.jpg) |
![Acanthosis nigricans bij kinderen (click on photo to enlarge) [source: www.huidziekten.nl] Acanthosis nigricans bij kinderen](../../../images/acanthosis-nigricans-11z.jpg) |
| acanthosis nigricans |
acanthosis nigricans |
FGFR3
mutatie |
| Oorzaken van acanthosis nigricans (Higgins et al, Dermatology Online
Journal): |
Insuline resistentie - Acral hypertrophy and muscle cramps
- Acromegaly - Alström syndrome - Ataxia-telangiectasia
(Louis-Bar syndrome) - Cushing syndrome - Diabetes Mellitus Type 2
- Gonadal dysfunction - Ovarian hyperthecosis - Polycystic
ovary syndrome (PCOS, Stein-Leventhal syndrome) - Hyperplasia of the
adrenal cortex, diabetes mellitus, and hypertrophy of the pineal body
(Rabson-Mendenhall syndrome) - Leprechaunism - Lipodystrophy
- Congenital lipodystrophic diabetes with acanthosis nigricans
(Lawrence-Seip syndrome) - Congenital generalized lipodystrophy
(Seip-Berardinelli syndrome) - Familial partial lipodystrophy
(Kobberling-Dunnigan syndrome) - Mental retardation, overgrowth,
remarkable faces, and acanthosis nigricans (MORFAN) - Prader-Willi
syndrome - Type A syndrome (Hyperandrogenism, insulin resistance, and
AN syndrome, or HAIR-AN) - Type B syndrome - Type C syndrome
- Hashimoto’s thyroiditis - Scleroderma - Sjögren’s syndrome
- Systemic lupus erythematosus Fibroblast Growth Factor
(FGF) receptor defect syndromen - Beare-Stevenson cutis gyrata syndrome
- Crouzon’s syndrome with acanthosis nigricans - Severe achondroplasia
with developmental delay and acanthosis nigricans (SADDAN) -
Thanatophoric dysplasia
Overige associaties - Benign
encephalopathy - Congenital adrenal hyperplasia - Costello syndrome
- Hepatolenticular degeneration (Wilson’s disease) - Hirschowitz
syndrome - Hypothyroidism - Kabuki syndrome - Ichthyosis with
hypogonadism (Rud’s syndrome - Primary biliary cirrhosis |
Zeldzame uitgebreide vorm van acanthosis nigricans, waarbij in
bijna 100% van de gevallen een inoperabel gemetastaseerd
adenocarcinoom
wordt gevonden (90% buik, 60% maag). Bij 20% is de huidafwijking het eerste
symptoom. Bij adenocarcinomen van maag, lever, pancreas, slokdarm, galblaas,
ileum, uterus, ovarium, mammae, longen.
![Acanthosis nigricans bij kinderen (click on photo to enlarge) [source: www.huidziekten.nl] Acanthosis nigricans bij kinderen](../../../images/acanthosis-nigricans-maligna-1z.jpg) |
![Acanthosis nigricans bij kinderen (click on photo to enlarge) [source: www.huidziekten.nl] Acanthosis nigricans bij kinderen](../../../images/acanthosis-nigricans-maligna-2z.jpg) |
| acanthosis nigricans
maligna |
acanthosis nigricans
maligna |
Referenties
| 1. |
Kerem N, Guttmann H, Hochberg Z. The autosomal dominant trait of obesity,
acanthosis nigricans, hypertension, ischemic heart disease and diabetes type
2. Horm Res 2001;55:298-304. |
| 2. |
Lebwohl M, Heymann WR, Berth-Jones J,
Coulson I. Treatment of skin disease - Comprehensive therapeutic strategies.
Saunders - Elsevier, New York, Third edition 2010. |
| 3. |
Higgins SP,
Freemark M, Prose NS. Acanthosis nigricans: A practical approach to
evaluation and management. Dermatology Online Journal 2008;14(9):2. |
Author(s):
dr. Jan R. Mekkes. Dermatologist, Amsterdam UMC.
Nathalie A.
Bogaards. Dermatoloog, Huid Medisch Centrum, Amsterdam.